medigraphic.com
ENGLISH

Revista del Centro Dermatológico Pascua

ISSN 1405-1710 (Impreso)
  • Mostrar índice
  • Números disponibles
  • Información
    • Información general        
    • Directorio
  • Publicar
    • Instrucciones para autores        
  • medigraphic.com
    • Inicio
    • Índice de revistas            
    • Registro / Acceso
  • Mi perfil

2024, Número 2

<< Anterior Siguiente >>

Rev Cent Dermatol Pascua 2024; 33 (2)


Neoformación vascular

González-González, Maribet1; Domínguez-Ugalde, María Guadalupe2; Trejo-Acuña, Juan Ramón de Jesús2; Corona-Castillo, Paulina Rita3; Reyes-Hernández, Cynthia Guadalupe4
Texto completo Cómo citar este artículo 10.35366/120584

DOI

DOI: 10.35366/120584
URL: https://dx.doi.org/10.35366/120584

Idioma: Español
Referencias bibliográficas: 11
Paginas: 58-61
Archivo PDF: 267.94 Kb.


PALABRAS CLAVE

Sin palabras Clave





CASO CLÍNICO

Se trata de un paciente del sexo masculino, de 30 años de edad, soltero, originario y residente de la Ciudad de México, quien acude por una dermatosis localizada a tronco, del que afecta área genital, y de ésta el prepucio del lado derecho. Dermatosis constituida por una neoformación de 3 × 1.5 × 1 cm, de aspecto vascular, eritematosa, pediculada, simétrica, de bordes regulares bien circunscritos, de superficie lisa brillante, con algunas áreas blanquecinas y algunas exulceraciones. De evolución aguda y dolorosa (Figuras 1 y 2). El resto de la exploración de piel, anexos y la revisión física general, sin alteraciones.

Al interrogatorio refiere un mes de evolución, con la aparición de una "bolita" roja en los genitales, la cual sangraba en forma espontánea, drenando escaso material sanguíneo, que remitía de forma espontánea. Los antecedentes personales patológicos interrogados al momento de su consulta inicial fueron negativos.

El estudio dermatoscópico mostró áreas eritematosas homogéneas, líneas blancas en riel, líneas irregulares vasculares y vasos polimorfos (Figura 3).

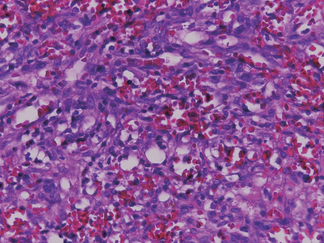
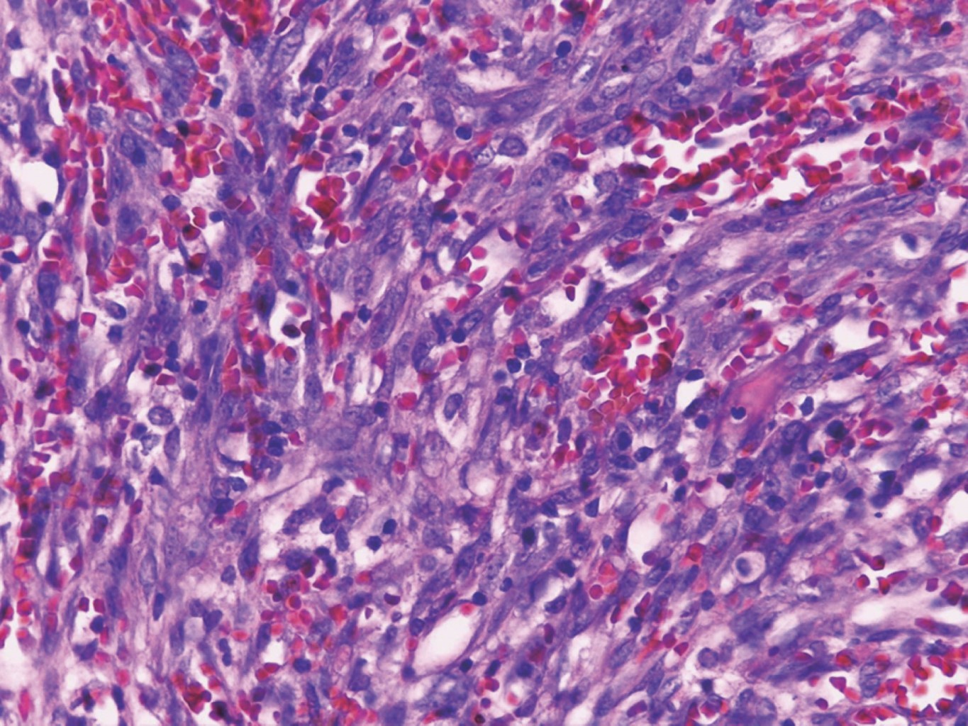
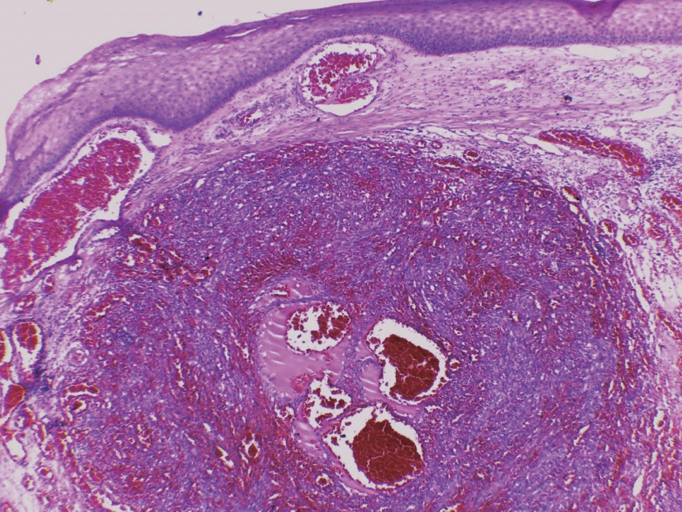
El tratamiento fue mediante escisión por rasurado y electrocauterización (Figura 4). En el estudio histológico se observó una neoformación exofítica cuya epidermis presenta hiperqueratosis paraqueratósica focal, atrofia y zonas ulceradas. En el espesor de la dermis se observan numerosos vasos neoformados dilatados y congestionados cuya pared se encontró formada por una sola hilera de células endoteliales, los cuales se entremezclan con numerosas células fusiformes que siguen diversos trayectos inmersos en un estroma edematoso (Figuras 5, 6 y 7).

Con los datos anteriores, ¿cuál es su diagnóstico?



DIAGNÓSTICO: SARCOMA DE KAPOSI



INTRODUCCIóN

El sarcoma de Kaposi (SK) es una neoplasia vascular, maligna y rara que se origina en las células endoteliales linfáticas y que afecta principalmente la piel y las mucosas, pero también al sistema linfático y a órganos internos como el tracto gastrointestinal, los pulmones o el hígado.1

Su incidencia en la población general es de 1.53 por cada 100,000 habitantes, mientras que en las personas seropositivas para VIH es de 481.54 por cada 100,000.2 En su fisiopatogenia se ha documentado la participación del herpesvirus humano tipo 8; sin embargo, otros factores predisponentes como el género, susceptibilidad genética e inmunosupresión pueden tener un papel importante en su desarrollo.3

En la actualidad están reconocidos cuatro subtipos de sarcoma de Kaposi:

  • 1. Clásico: afecta con mayor frecuencia a hombres de edad avanzada originarios del este de Europa y del Mediterráneo. Se presenta como una mancha azulada roja-café, de lento crecimiento que puede progresar a un nódulo. Las lesiones se ubican principalmente en áreas distales de extremidades.
  • 2. Endémico: éste predomina en pacientes de África. Se presenta de diversas formas clínicas, incluyendo un cuadro clínico parecido al tipo clásico, o bien puede tener un curso agresivo, y diseminarse, lo anterior principalmente observado en adultos, o puede afectar los nódulos linfáticos en niños.
  • 3. Asociado a inmunodepresión por una causa distinta a la infección por VIH: se presenta con múltiples lesiones cutáneas en las extremidades, con evolución benigna.
  • 4. Asociado a infección por VIH (epidémico): se presenta como una enfermedad diseminada de rápida evolución que afecta mucosa oral, piel, nódulos linfáticos y vísceras.4

Clínicamente se caracteriza por la presencia de maculopápulas infiltradas, de aspecto vascular, redondas, bien definidas, eritemato-violáceas, que no desaparecen con la presión. Estas lesiones son indoloras, no pruriginosas y varían en tamaño. La topografía habitual es la cara, el tronco y los sitios acrales.5

La afectación genital es sumamente infrecuente, representando sólo 3% de los casos, y se encuentra sobre todo en pacientes seropositivos para VIH, en quienes suele ser más agresivo.6 Entre 1985 y 2020 se identificaron 16 casos de SK localizado al pene en pacientes seropositivos para VIH; la mayoría de los casos se manifestaron como pápulas o placas violáceas que se ubicaron principalmente en el glande, progresando algunas de ellas a lesiones ulcerosas o necróticas, y otras involucrando el meato uretral causando síntomas urinarios.7

En esta topografía se debe tener en cuenta el diagnóstico diferencial con otras lesiones de características similares, como son: molusco contagioso, condilomas acuminados, enfermedad de Bowen, angiomatosis bacilar, y granuloma piógeno, entre otras.8

El diagnóstico es clínico, pero es necesario confirmarlo por estudio histopatológico en el cual se observan células fusiformes, proliferación de vasos irregulares con hendiduras vasculares, extravasación de hematíes, e infiltrado leucoplasmocitario y glóbulos hialinos intra y extracelulares, así como el característico signo del promontorio. La PCR y la inmunohistoquímica para la detección del antígeno nuclear asociado a latencia (LANA-1) del virus VHH-8 son positivos.9

Existen diversas opciones terapéuticas, la elección de una u otra depende del subtipo de SK, y de si las lesiones son localizadas o diseminadas. En las lesiones localizadas y de tamaño pequeño se puede realizar escisión quirúrgica, radioterapia, criocirugía, láser CO2, terapias intralesionales con vincristina o vinblastina, así como aplicación tópica de imiquimod. En las lesiones diseminadas se prefiere el tratamiento sistémico, siendo los agentes de primera línea la doxorrubicina liposomal pegilada y el paclitaxel.10 En los pacientes seropositivos para VIH el tratamiento indicado es la terapia antirretroviral altamente activa ("HAART" por sus siglas en inglés).11

El pronóstico del SK es variable, con una supervivencia a cinco años en 81% de los casos localizados, y de 47% en los casos diseminados. En los pacientes con SK asociado a VIH el pronóstico se ve influenciado por el conteo de CD4 y la coexistencia con infecciones oportunistas.



COMENTARIO

En este caso clínico, el paciente acudió con una lesión solitaria en pene de probable origen vascular. El diagnóstico de Sarcoma de Kaposi no es frecuente en esa topografía. Ya con el diagnóstico histopatológico, se solicitaron estudios de extensión para detectar la seropositividad para VIH, cuyo resultado fue positivo. Se detectó además un conteo de linfocitos CD4 de 104 cel/mL, así como carga viral 19,706 copias/mL. Se cita un mes posterior, presentándose con dermatosis localizada a extremidad inferior izquierda, de la cual afectaba el pie en dorso del primer ortejo, constituida por una neoformación subcutánea, eritemato-violácea de superficie lisa, brillante, con escama en la periferia de bordes regulares, bien circunscritos (Figura 8). Haciendo correlación clínico-histopatológica y por laboratorio clínico, el caso se clasificó como Síndrome de Inmunodeficiencia Adquirida en estadio C3, por lo que HAART es el tratamiento de elección, el cual se ha visto que disminuye la dermatosis al reducir la carga viral y aumentar la población de células CD4. En el caso motivo de esta presentación, el paciente fue referido a una clínica especializada para su tratamiento integral. Llama la atención que el paciente siempre negó antecedentes personales patológicos y no patológicos relacionados con este padecimiento.

Por otro lado, este caso ilustra claramente como una manifestación cutánea puede ser el reflejo de una enfermedad importante de origen sistémico, así como la importancia de realizar un estudio histopatológico, el cual fue fundamental para el diagnóstico definitivo de la dermatosis.


REFERENCIAS (EN ESTE ARTÍCULO)

  1. Etemad SA, Dewan AK. Kaposi sarcoma updates. Dermatol Clin. 2019; 37: 505-517.

  2. Grabar S, Costagliola D. Epidemiology of Kaposi's sarcoma. Cancers (Basel). 2021; 13: 5692.

  3. Cesarman E, Damania B, Krown SE, Martin J, Bower M, Whitby D. Kaposi sarcoma. Nat Rev Dis Primers. 2019; 5: 9.

  4. Bishop BN, Lynch DT. Kaposi Sarcoma. In: StatPearls. Treasure Island (FL): StatPearls Publishing; 2024. Disponible en: https://www.uptodate.com/contents/classic-kaposi-sarcoma-clinical-features-staging-diagnosis-and-treatment#H3

  5. Dunev VR, Kolev NH, Genov PP, Sachdeva M, Karaivanov MP. Classical form of Kaposi sarcoma localized in penis. Urol Case Rep. 2019; 24: 100856.

  6. Tammam A, Abdulrahman A, Ebrahim M, Mohammad B, Kanan A, Nada S et al. Penile Kaposi Sarcoma as an initial manifestation of HIV infection: A case report and literature review. IDCases. 2022; 29: e01576.X

  7. Garrido A, Sanchez L, Tejerina JA, Miranda A. Sarcoma de Kaposi clásico localizado en pene. Med Cutan Iber Lat Am. 2009; 37: 226-268.

  8. Requena C, Alsina M, Morgado-Carrasco D, Cruz J, Sanmartín O, Serra-Guillén C et al. Sarcoma de Kaposi y angiosarcoma cutáneo: directrices para el diagnóstico y tratamiento. Actas Dermosifiliogr. 2018; 109: 878-887.

  9. Lebbe C, Garbe C, Stratigos AJ, et al. Diagnosis and treatment of Kaposi's sarcoma: European consensus-based interdisciplinary guideline (EDF/EADO/EORTC). Eur J Cancer. 2019; 114: 117-127.

  10. Schneider JW, Dittmer DP. Diagnosis and Treatment of Kaposi Sarcoma. Am J Clin Dermatol. 2017; 18: 529-539. https://pubmed.ncbi.nlm.nih.gov/28324233/

  11. Knights SM, Lazarte SM, Kainthla R, Chiao EY, Nijhawan AE. Mortality disparities among patients with HIV-associated Kaposi's sarcoma in the southern United States. AIDS. 2022; 36: 721-728.



AFILIACIONES

1 Dermatopatóloga.;

2 Médico Adscrito al Servicio de Consulta Externa.;

3 Dermatóloga Egresada.;

4 Residente del Segundo Año de Dermatología.; Centro Dermatológico "Dr. Ladislao de la Pascua", SSCDMX. Ciudad de México, México.



CORRESPONDENCIA

Dra. Guadalupe Domínguez Ugalde. E-mail: 77magu@gmail.com


Figura 1
Figura 2
Figura 3
Figura 4
Figura 5
Figura 6
Figura 7
Figura 8

2020     |     www.medigraphic.com

Mi perfil

C?MO CITAR (Vancouver)

Rev Cent Dermatol Pascua. 2024;33

ARTíCULOS SIMILARES

CARGANDO ...