2025, Número 4
Presentación rara de absceso extraforaminal. Reporte de caso
Idioma: Español
Referencias bibliográficas: 22
Paginas: 311-317
Archivo PDF: 731.77 Kb.
RESUMEN
Introducción: la herniación discal es una patología común a nivel mundial, la mayoría ocurre a nivel de la columna cervical y lumbar y su localización es, por lo general, en el canal espinal de tipo paramedial, pero aproximadamente de 7-12% son de localización extraforaminal. La herniación discal extraforaminal es una condición que se confunde fácilmente con un absceso o neoplasia. La espondilodiscitis también referida como osteomielitis vertebral o discitis séptica, representa del 3-5% de todos los casos de osteomielitis. Su incidencia ha ido en aumento con el tiempo debido al incremento en la tasa de detección. Es una infección del disco intervertebral, el cuerpo vertebral adyacente y/o las estructuras contiguas debido a la introducción de un agente infeccioso, usualmente por la vía hematógena. La distinción entre patología inflamatoria/degenerativa versus infecciosa tiene un gran impacto pronóstico, ya que la osteomielitis no es común y por lo general puede tratarse de manera conservadora, sin embargo, tiene un alto potencial de morbilidad y mortalidad si no es tratada adecuadamente. Presentación del caso: paciente masculino de 62 años que padece hipertensión y cuenta con antecedente de cirugía de hernia discal lumbar en 2014. Inicia, en mayo de 2024, con dolor súbito escala visual análoga (EVA) 10/10 en la región glútea derecha irradiado por la parte posterior del muslo y entumecimiento de la zona tibial anterior y lateral, secundario a saltar de un banco de altura. Se solicitó resonancia magnética (RMN) de columna lumbar en la que se encontró hernia discal extraforaminal L4-L5 derecha. Se programó para infiltración foraminal, sin embargo, no presentó mejoría, por lo que se propuso cirugía para extracción del fragmento extraforaminal con abordaje tubular encontrando la hernia y un absceso extraforaminal, se tomó muestra para cultivo, se realizó aseo quirúrgico y se administraron antibióticos de acuerdo con el antibiograma, estuvo 45 días con esquema de antibioticoterapia con daptomicina y ceftriaxona, seguido por dos meses de trimetoprima/sulfametoxazol y doxiciclina. El paciente tuvo tres reingresos hospitalarios para control del dolor, desarrolló abscesos paraespinales los cuales se resolvieron, cursó con buena evolución clínica, en la última cita de revisión menciona mejoría de la sintomatología, aunque persiste el dolor en el glúteo. Conclusiones: la antibioticoterapia continúa siendo el tratamiento de elección en los pacientes con discitis, a pesar de que el paciente desarrolló abscesos paravertebrales, los estudios de imagen de control mostraron una buena respuesta al tratamiento médico, por lo que se evitó un nuevo procedimiento quirúrgico en este paciente, el cual fue considerado y bien indicado en el momento en que se observaron las colecciones.ABREVIATURAS:
- EVA = escala visual análoga
- IV = intravenosa
- PCR = proteína C reactiva
- RMN = resonancia magnética
- VSG = velocidad de sedimentación globular
INTRODUCCIóN
La herniación discal es una patología común a nivel mundial, la mayoría ocurre a nivel de la columna cervical y lumbar y su localización es, por lo general, en el canal espinal de tipo paramedial y la localización extraforaminal ha sido reportada entre 7-12% en los registros para cirugía espinal de Noruega. Así mismo, la herniación discal extraforaminal es una condición que se confunde fácilmente con un absceso o neoplasia.1-3
La espondilodiscitis es una infección del disco intervertebral, el cuerpo vertebral adyacente y/o las estructuras contiguas debido a la introducción de un agente infeccioso, usualmente por la vía hematógena.4,5 La implicación de un mal diagnóstico es crítica, involucrando intervenciones no necesarias, retraso en el tratamiento adecuado y dolor prolongado al paciente.6 La distinción entre patología inflamatoria/degenerativa versus infecciosa tiene un gran impacto pronóstico debido a que la osteomielitis no es común y puede ser tratada de manera conservadora; sin embargo, tiene un alto potencial de morbilidad y mortalidad si no es tratada adecuadamente.7 El diagnóstico correcto de infección básicamente requiere dos criterios principales: la presencia de una lesión característica en la columna y el aislamiento del patógeno en la sangre o en el sitio infectado.8
El patógeno más comúnmente encontrado es Staphylococcus aureus hasta en 28% de los casos reportados o hasta en la mitad de las causas no tuberculosas. No obstante, hay un número de bacterias gram positivo y gram negativo que han sido encontradas como causantes. Las infecciones por hongos son menos comunes y en general asociadas a estados de inmunocompromiso, siendo Candida albicans la más frecuente hasta en 1-2% de los casos.9 La espondilodiscitis representa del 2-7% de las infecciones esqueléticas en Europa; sin embargo, en las últimas décadas, se ha reportado un aumento en la incidencia por las nuevas posibilidades diagnósticas y los avances en la medicina en general. Tiene predominio en el sexo masculino y una distribución bimodal, es vista en la primera y segunda décadas de la vida en niños, mientras que en adultos tiende a afectar pacientes en la quinta y sexta décadas de la vida.10,11 Las opciones de tratamiento son conservador o quirúrgico, aunque aún no existen protocolos establecidos; su duración es variable entre 6-8 semanas de terapia intravenosa (IV) sola, mientras otros proponen 6-8 semanas IV seguido de dos meses por vía oral. La intervención quirúrgica es ocasionalmente necesaria en pacientes que tiene falla al tratamiento conservador.12
El siguiente caso se presenta debido a que los reportes de la literatura indican una baja incidencia tanto para la infección como para la localización del fragmento herniado, así mismo, el paciente no presentaba datos de infección como fiebre o malestar general ni estudios de laboratorio alterados, los cuales suelen ser signos y síntomas que acompañan al proceso infeccioso.
PRESENTACIóN DEL CASO
Paciente masculino de 62 años con antecedentes personales patológicos de hipertensión y discectomía en el año 2014. Inicia, en mayo de 2024, posterior a saltar de un banco de altura, con dolor súbito EVA 10/10 en la región glútea derecha irradiado por la parte posterior del muslo y entumecimiento de la región tibial anterolateral ipsilateral.
A la exploración física lo encontramos en silla de ruedas por imposibilidad para deambular por el dolor, sensibilidad con hipoestesia en L4 y L5 derecho, fuerza 3/5 según escala de Daniels para la flexión de la cadera derecha modificada por el dolor, Lasegue y Bragard positivos en miembro pélvico derecho.
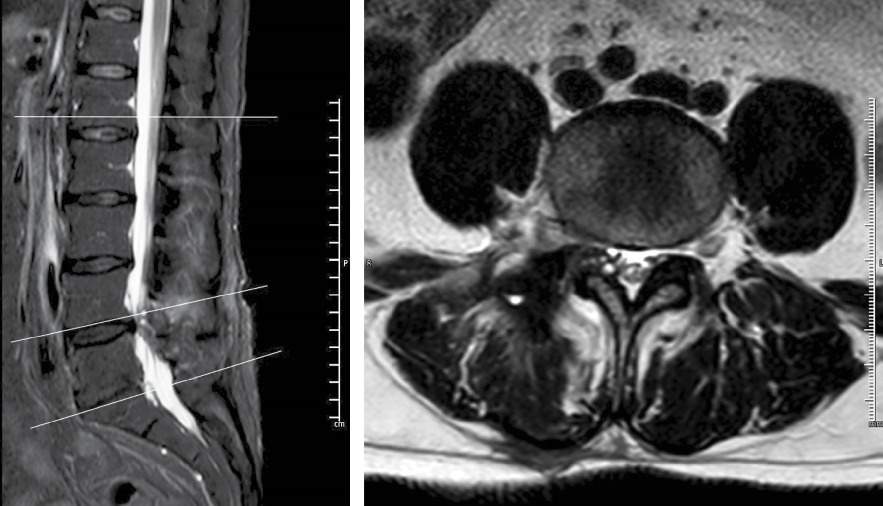
Se solicitó resonancia magnética simple de columna lumbosacra (Figuras 1 y 2), encontrando hernia discal extraforaminal L4-L5 derecha. Se decidió infiltración foraminal por la intensidad del dolor, sin embargo, no presentó mejoría, por lo que se decidió realizar microdiscectomía tubular tres días después. Se solicitaron estudios de laboratorio preoperatorios en los que se reportó leucocitos de 4.8 × 103 cel/mm3 con 44% de neutrófilos, proteína C reactiva (PCR) de 1.5 mg/l, velocidad de sedimentación globular (VSG) de 7 mm/h.
Después de realizar la microdiscectomía tubular, encontramos fragmento discal extraforaminal al igual que salida de material purulento (Figuras 3 y 4). Se tomaron muestras para cultivo, se realizó aseo quirúrgico y terminamos el procedimiento. El microorganismo aislado fue Staphylococcus aureus, por lo que se realizó interconsulta a infectología quien administró medicamento IV dirigido por antibiograma con ceftriaxona 2 gr IV cada 24 horas y daptomicina 500 mg IV cada 24 horas por seis semanas. Fue dado de alta a los cinco días después del procedimiento.
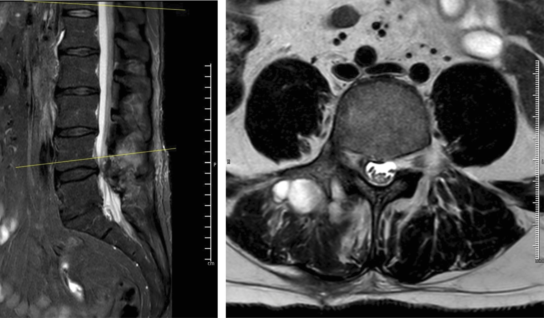
Los estudios de laboratorio en el postquirúrgico inmediato reportaron leucocitos de 14.8 × 103 cel/mm3 con 94% de neutrófilos, VSG de 54 mm/h y PCR 70 mg/l. El paciente reingresó para manejo del dolor en tres ocasiones, y en un estudio de imagen de seguimiento, con un mes de diferencia de la de ingreso, se evidenció la formación de abscesos paravertebrales (Figura 5). Posterior al tratamiento IV, se decidió continuar con trimetoprima/sulfametoxazol y doxiciclina por vía oral por dos meses más. El paciente respondió bien a la antibioticoterapia observando resolución de los abscesos en una nueva resonancia magnética dos meses después del inicio del tratamiento. Así mismo, durante sus reingresos y posterior a ellos, se estuvieron tomando estudios de laboratorio donde se evidenció disminución de los reactantes de fase aguda (PCR de 2.1 mg/l, VSG 26 mm/h).
Durante el seguimiento en la consulta, el paciente refiere mejoría del dolor, aunque presenta parestesias de la pierna ipsilateral desde la rodilla al tobillo siete meses después del procedimiento quirúrgico (Figura 6).
DISCUSIóN
Uy y colaboradores mencionan que las hernias discales extraforaminales representan del 0.7-12% de las hernias discales lumbares en los Estados Unidos, ocurriendo más comúnmente a nivel L4-L5 como lo es en el caso presentado, seguido de L3-L4 y L5-S1. Esto puede resultar en compresión de la raíz nerviosa adyacente del nivel superior, lo que ocasiona que los pacientes se presenten con radiculopatía y hallazgos imagenológicos que pueden asimilar otras patologías de la misma forma que ocurrió en nuestro caso.13
Crombé y colegas comentan que ha habido un aumento en la incidencia de espondilodiscitis piógena en Corea del Sur de 15.35 en el año 2010 a 33.75 en 2019 por 100,000 habitantes y un aumento del 41.6% en los casos entre el 2010-2020 a 14.4/100,000 habitantes, con 59.6% en pacientes mayores de 70 años y 56.2% involucrando la columna lumbar. Esto debido al gran número de población de adultos mayores con enfermedades crónicas como diabetes, falla renal y estados de inmunocompromiso como el uso de esteroides u alguna otra terapia inmunosupresora.14 Así mismo, Herren y colaboradores describen la espondilodiscitis como una entidad usualmente monobacteriana, siendo causada en más del 50% por Staphylococcus aureus, seguido de gram negativos como E. coli (11-25%) en Europa.15 Nuestro paciente fue dado de alta al quinto día, sin embargo, tuvo tres reingresos hospitalarios para el manejo del dolor.
Kramer y colegas mencionan que ha habido una reducción del 15% en la estancia intrahospitalaria entre el 2005 y el 2021, siendo de 24.3 la estancia más prolongada y 10.2 días el menor tiempo, de igual manera, mencionan que los tipos de egreso también cambiaron en este mismo periodo de tiempo, siendo egresados de forma regular hasta el 90% de las ocasiones, aunque el alta por voluntad propia también tuvo un aumento.16
El tratamiento de esta patología depende de la inestabilidad de la columna, el déficit neurológico y el dolor, en nuestro caso, el paciente tenía un fragmento extraforaminal que le estaba causando el dolor y las parestesias, por lo que fue tratado con la microdiscectomía tubular. Al existir pus en el mismo sitio y no haber evidencia de inestabilidad o de la formación de algún absceso en la RMN de ingreso, se optó por continuar el tratamiento antibiótico IV, inicialmente con ceftriaxona hasta obtener el resultado del cultivo. Como mencionan Thavarajasingam y colegas así como Duplan y su equipo, el tratamiento conservador mayormente consiste en antibióticos IV u orales dirigidos al organismo aislado, siendo los regímenes más comunes vancomicina, betalactámicos y linezolid con una duración promedio de cuatro a 12 semanas.17,18 A pesar de que en los estudios de laboratorio del postoperatorio inmediato de nuestro paciente se observó un aumento clínicamente significativo de los reactantes de fase aguda (PCR 70 mg/l y VSG 54 mm/h), estos fueron disminuyendo de manera gradual hasta tener valores de PCR de 0.25 mg/l y VSG de 26 mm/h, lo cual indicó buena respuesta al tratamiento antibiótico.
Los reportes de la literatura indican que el tratamiento quirúrgico está generalmente reservado cuando exista progresión de la infección a pesar del tratamiento antibiótico adecuado y en presencia de absceso epidural, disfunción neurológica o inestabilidad espinal según mencionan Aljawadi y colaboradores.19 En el caso presentado, el paciente tuvo mejoría de la sintomatología en el postquirúrgico inmediato, debido a esto continuamos con el plan terapéutico a base de antibióticos.
Por otra parte, Chen y colegas mencionan que cuando los pacientes aún no cuentan con criterios quirúrgicos, el drenaje guiado por tomografía axial computada parece ser el tratamiento de elección para las colecciones en el espacio intervertebral y epidural.20 El reto terapéutico que presentamos fue en el momento en que el paciente desarrolló abscesos paravertebrales, tomando la importante decisión de no drenar de primera instancia las colecciones debido a que nunca observamos un deterioro importante ni en la sintomatología ni en los estudios de imagen o de laboratorio. La meta del tratamiento de acuerdo con Kim y colegas, es erradicar la fuente de infección en el cuerpo vertebral para restaurar la función y aliviar los síntomas, por lo que nos apegamos a lo sugerido por la literatura tomando en cuenta la ausencia de déficit neurológico.21 Sato y colaboradores reportan que el 50-75% de todos los pacientes responden positivamente al manejo conservador con fusión espontánea a los 6-24 meses del inicio de los síntomas, sin embargo, del 10-20% de los pacientes aún van a requerir tratamiento quirúrgico.22
CONCLUSIONES
La espondilodiscitis continúa siendo una patología multifactorial de difícil diagnóstico y tratamiento, sobre todo si se presenta de una forma poco convencional. La morbimortalidad que conlleva un mal diagnóstico repercute tanto en la toma de decisión terapéutica de primera instancia como en la calidad de vida. Es importante el apoyo de un equipo multidisciplinario que involucre datos clínicos, radiológicos, microbiológicos e histopatológicos, al igual que estudios de laboratorio para determinar probables diagnósticos diferenciales.
REFERENCIAS (EN ESTE ARTÍCULO)
Crombé A, Fadli D, Clinca R, Reverchon G, Cevolani L, Girolami M, et al. Imaging of spondylodiscitis: a comprehensive updated review—multimodality imaging findings, differential diagnosis, and specific microorganisms detection. microorganisms. 2024; 12: 893. Disponible en: https://www.mdpi.com/2076-2607/12/5/893
Thavarajasingam SG, Vemulapalli KV, Vishnu KS, Ponniah HS, Vogel ASM, Vardanyan R, et al. Conservative versus early surgical treatment in the management of pyogenic spondylodiscitis: a systematic review and meta-analysis. Sci Rep. 2023; 13: 15647. Disponible en: https://www.nature.com/articles/s41598-023-41381-1
AFILIACIONES
1 Hospital Centro Médico Puerta de Hierro Andares. Zapopan, Jalisco, México.
2 Fellow Cirugía de columna.
4 Médico Traumatólogo, Ortopedista, Cirujano de columna.
ORCID:
3 0009-0001-9996-7240
5 0000-0002-8024-7032
6 0000-0002-7390-6212
7 0009-0005-6365-9018
8 0009-0000-0421-7942
Conflicto de intereses: los autores declaran no tener conflicto de intereses.
CORRESPONDENCIA
Omar Díaz Olivares. E-mail: omdi@live.com.mxRecibido: 20 de enero de 2025. Aceptado: 04 de febrero de 2025
