medigraphic.com
ENGLISH

Revista Mexicana de Pediatría

ISSN 0035-0052 (Impreso)
  • Mostrar índice
  • Números disponibles
  • Información
    • Información general        
    • Directorio
  • Publicar
    • Instrucciones para autores        
    • Envío de artículos
  • medigraphic.com
    • Inicio
    • Índice de revistas            
    • Registro / Acceso
  • Mi perfil

2025, Número 3

<< Anterior Siguiente >>

Rev Mex Pediatr 2025; 92 (3)


Recién nacido con miocardiopatía hipertrófica secundaria a variante en el gen MYBPC3

Tomás-Soldevilla, Blanca1; González-Marín, María Aránzazu1,2; Martínez-del Río, Jorge2,3; Beraghi, Matteo1,4
Texto completo Cómo citar este artículo 10.35366/121498

DOI

DOI: 10.35366/121498
URL: https://dx.doi.org/10.35366/121498
Artículos similares

Idioma: Español
Referencias bibliográficas: 15
Paginas: 111-114
Archivo PDF: 864.42 Kb.


PALABRAS CLAVE

miocardiopatía hipertrófica, recién nacido, gen MYBPC3, errores innatos del metabolismo, etiología, soplo cardiaco.

RESUMEN

Introducción: las miocardiopatías son trastornos que cursan con alteración estructural o funcional del músculo cardiaco, pero tienen diferente etiología. Presentamos a un recién nacido con miocardiopatía en quien fue posible identificar una causa genética. Descripción del caso: masculino de 18 días derivado para estudio de un soplo cardiaco sistólico auscultado incidentalmente. Se encontraba asintomático. Mediante estudios de imagen se estableció el diagnóstico de miocardiopatía hipertrófica asimétrica de predominio septal, no obstructiva. Después de descartar causas secundarias, se solicitó estudio genético, en el cual se identificó una variante patogénica en homocigosis en el gen MYBPC3 (NM_000256.3:c.1513_1515delAAG + NC_000011.9:g.47364241_47364243delCTT; NP_000247.2:p.Lys505del). Esta misma variante se encontró en ambos progenitores, pero sin afectación fenotípica. Conclusiones: en pacientes con miocardiopatía, el diagnóstico diferencial deberá incluir causas genéticas, ya que su identificación permite guiar el tratamiento del paciente y brindar consejo genético.



INTRODUCCIóN

Las miocardiopatías son alteraciones de la estructura o función del músculo cardiaco, que se presentan en ausencia de otras enfermedades capaces de explicar dicha afectación. En general, se consideran entidades raras, con incidencia anual global de 1 por 100,000 habitantes. La edad de debut clínico y las características clínicas de presentación son los principales factores que orientan hacia la identificación de la causa específica de la miocardiopatía.1

Los datos clínicos y el electrocardiograma (ECG) orientan la sospecha diagnóstica de una miocardiopatía,2 los cuales justifican la ampliación de estudios, como la ecocardiografía y resonancia magnética. Con estos últimos se establecen tanto los rasgos morfológicos, como hipertrofia, dilatación ventricular o reemplazo adiposo miocárdico; como las características funcionales, que describen el grado y tipo de disfunción ventricular (por ejemplo, sistólica o diastólica; global o regional; o bien, de fisiología restrictiva). Con esta información se clasifican cinco fenotipos de miocardiopatía: 1) hipertrófica (MCH), 2) dilatada (MCD), 3) no dilatada del ventrículo izquierdo (MNDVI), 4) arritmogénica del ventrículo derecho (MCAVD) y 5) restrictiva (MCR).3 Los tipos más frecuentes en pediatría son la MCD, con incidencia de 0.003-0.006%; y la MCH, con incidencia de 0.002-0.005%.4

La etiología de cualquier tipo de miocardiopatía es diversa, siendo mayor entre menor es la edad del paciente. En menores de un año son habituales los errores innatos del metabolismo (EIM), los síndromes y otras causas menos frecuentes, como las enfermedades neuromusculares, infecciones o intoxicaciones. Mientras que, en pacientes con edades mayores, el espectro de enfermedades miocárdicas es muy similar a la de los adultos, las cuales generalmente son por mutaciones en genes codificantes de diversas proteínas del miocardiocito (sarcómero, citoesqueleto, uniones intercelulares, canales iónicos). Su expresión y penetrancia son variables, que se modulan por diferentes factores como edad, sexo, la exposición a tóxicos o las infecciones.

En el estudio de pacientes pediátricos con miocardiopatía, una vez que fueron excluidas las causas secundarias, se debe considerar la etiología genética, guiada por el fenotipo clínico. Presentamos a un recién nacido con miocardiopatía en quien fue posible identificar una causa genética, con el objetivo de ampliar el conocimiento de esta entidad, y para que sirva de base en la identificación de casos similares.



PRESENTACIóN DEL CASO

Masculino de 18 días de edad derivado a cardiología pediátrica por soplo sistólico que fue identificado en una revisión de rutina. A excepción de una infección del tracto urinario por Citrobacter koseri a los 10 días de edad, no tenía antecedentes personales relevantes: gestación normoevolutiva, con parto eutócico a término, peso adecuado para la edad gestacional, periodo perinatal sin incidencias y tamiz metabólico normal. Padres sanos, originarios de España, no consanguíneos, aunque procedentes del mismo pueblo; un hermano sano.

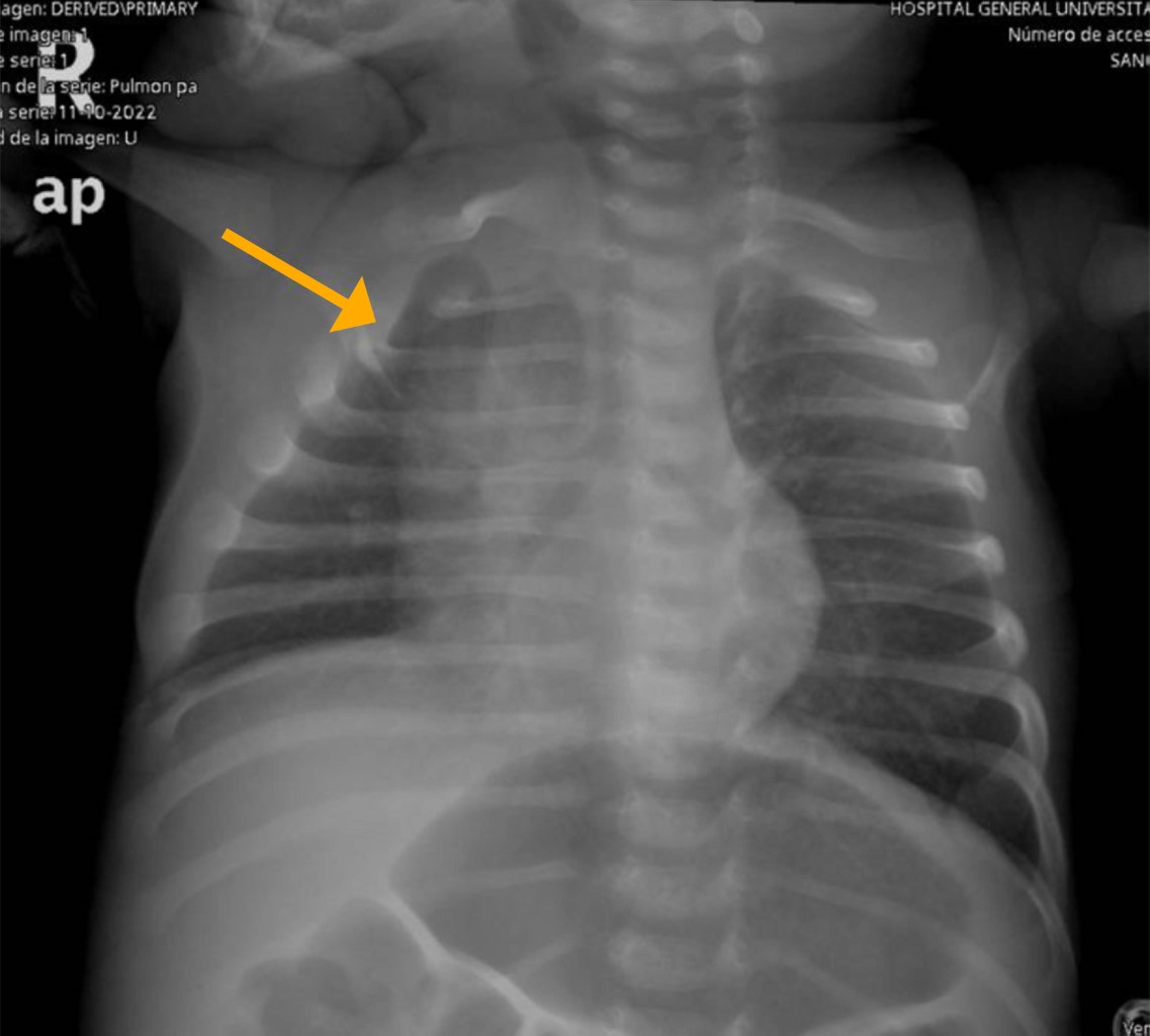
A la exploración, se encontraba asintomático, con peso de 3,950 g y talla 50 cm. No mostraba signos de fatiga durante la alimentación. Signos vitales normales (FC 141 lpm, TA 86/52 mmHg) y pulsos periféricos palpables en las cuatro extremidades. No se identificaron rasgos dismórficos, tampoco alguna masa o megalia abdominal. En precordio se auscultaba soplo sistólico II/VI en borde paraesternal izquierdo. El ECG mostró signos de crecimiento de cavidades derechas, sin otras alteraciones (Figura 1). La radiografía de tórax era normal, sin cardiomegalia (Figura 2).

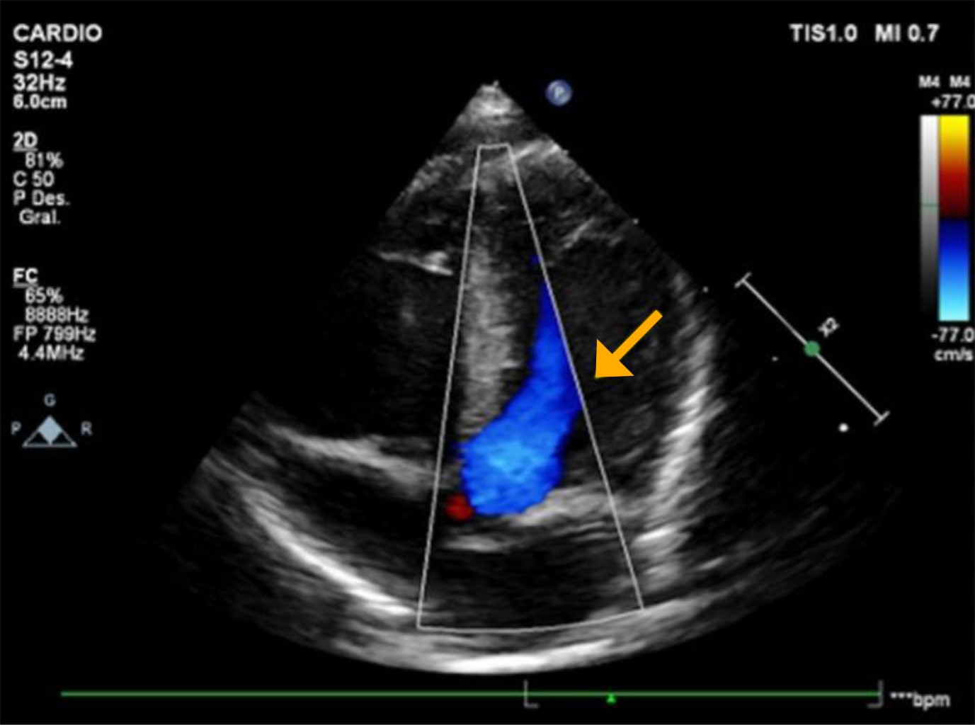
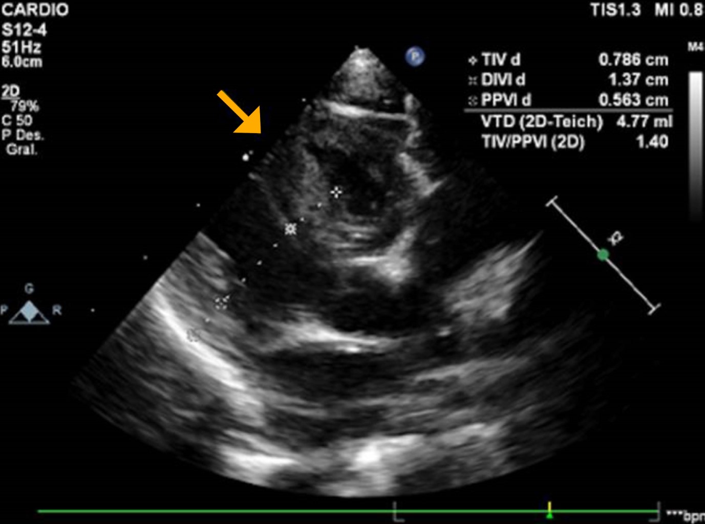
Ante datos sugestivos de miocardiopatía se realizó ecocardiograma transtorácico, que mostró aumento de grosor miocárdico en ventrículo izquierdo, de predominio septal que se consideró grave (tabique interventricular 7.8 mm, z-score +4 para peso y talla). No se evidenciaron datos de obstrucción intraventricular, mientras que la función y contractilidad ventricular estaban conservadas. Se diagnosticó miocardiopatía hipertrófica asimétrica septal no obstructiva (Figuras 3 y 4).

En exámenes de laboratorio, hemograma, bioquímica, gasometría y amonio fueron normales; pero pro-BNP fue de 2,246 pg/mL (valores de referencia en lactantes 28-7,250 pg/mL).5 El cribado para enfermedad de Pompe y Fabry, y de otros EIM (aminoácidos en sangre y orina, pterinas en orina, ácidos orgánicos en orina, perfil de acilcarnitinas, ácido pristánico, ácido fitánico y ácidos grasos de cadena muy larga, creatina y ácido guanidinoacético, ácido pipecólico, test del déficit de adenilosuccinato, liasa, piruvato y lactato, test de porcentaje de transferrina deficiente en carbohidratos, biotinidasa cualitativa y cuantificación de oligosacáridos) resultaron negativos. También se descartaron causas secundarias.

Se solicitó estudio genético, mediante secuenciación de nueva generación (NGS) con un panel compuesto por los genes más frecuentemente asociados a miocardiopatía hipertrófica. Se detectó una variante sarcomérica patogénica en homocigosis en el gen MYBPC3 (NM_000256.3:c.1513_1515delAAG + NC_000011.9:g.47364241_47364243delCTT). Esta variante in-frame afecta a la proteína NP_000247.2:p.Lys505del, correspondiente a la isoforma cardiaca de la proteína C de unión a la beta-miosina. Esta variante ya había sido claramente asociada al desarrollo de miocardiopatía hipertrófica.6

A los 23 meses de edad, el paciente no ha presentado algún problema clínico de tipo cardiológico, tampoco se han detectado arritmias por Holter. Ante la ausencia de arritmias ventriculares solamente se ha mantenido en vigilancia. Sin embargo, tiene riesgo de muerte súbita a los cinco años del 7.2%,7 por lo que ha sido derivado a un centro quirúrgico para valorar implante de desfibrilador automático.

En el estudio genético familiar, sus padres han resultado portadores heterocigotos de la variante, aunque sin expresión clínica ni fenotípica, con ecocardiograma normal. Su hermano no es portador de la variante. Se brindó consejo genético y diagnóstico preimplantacional en el caso de deseo genésico posterior.



DISCUSIóN

Tomando en cuenta el presente caso, en situaciones similares ante un recién nacido o lactante con hipertrofia ventricular deberán descartarse en primer lugar las causas reversibles (como la diabetes gestacional o el tratamiento con corticoides durante la gestación) y las secundarias (cardiopatías congénitas, EIM, infecciones, enfermedades neuromusculares, intoxicaciones).

La sospecha de EIM adquiere especial relevancia; el diagnóstico puede sospecharse especialmente ante signos como hipotonía muscular, hiperCKemia, hipertransaminasemia o consanguinidad. Algunos casos de MCH pueden ser secundarios a glucogenosis de inicio infantil tipo IIa (enfermedad de Pompe), los defectos de la oxidación de ácidos grasos o las alteraciones mitocondriales. En otras enfermedades de depósito la afectación miocárdica se produce más tardíamente, por lo general en la adolescencia, como la glucogenosis tipo IIb (Danon), enfermedad de Anderson-Fabry, enfermedad PRKAG2 (genes LAMP2, GLA, PRKAG2, respectivamente), que se pueden asociar a alteraciones neurológicas, visuales o en el sistema de conducción.8-10

La posible etiología genética de las miocardiopatías deberán considerarse posterior a que el estudio de causas reversibles y secundarias resulten negativas. En este contexto, la sospecha diagnóstica siempre deberá estar guiada por los rasgos fenotípicos, ya que el tipo de estudio genético a realizar variará en función de los signos o síntomas de cada paciente (miocardiopatía aislada, o bien, signos sugestivos de algún síndrome polimalformativo o de entidad concreta). El diagnóstico de ciertas entidades puede ser datos clínicos puntuales, como cuando hay obstrucción del tracto de salida biventricular en contexto de dismorfismos; o bien, las anomalías cutáneas o esqueléticas pueden sugerir síndromes neuro-cardio-facio-cutáneos, como las rasopatías.

En casos de miocardiopatía aislada se podrá plantear un primer estudio con paneles de genes orientados al tipo específico de miocardiopatía, como se realizó en nuestro paciente.11 La MCH aislada suele heredarse como un rasgo genético mendeliano, con patrón de herencia autosómica dominante. La mayoría de los genes implicados codifican proteínas del sarcómero, por lo que se denominan mutaciones sarcoméricas. Destacan los genes de la cadena pesada de la beta-miosina (MYH7) y de la proteína C de unión a la beta-miosina (MYBPC3), responsables en conjunto del 80%. Otros genes descritos son TNNT2, TPM1, MYL2, MYL3, TNNI3 y ACTC1.11-13 Sean heredadas de alguno de los progenitores o de novo, estas mutaciones se caracterizan por tener una expresión variable y penetrancia incompleta, por lo que los portadores pueden presentar o no el fenotipo característico. A veces, esto ocurre en función de la edad: la expresión fenotípica en un paciente portador suele ocurrir en el 5% durante la primera década de la vida y va aumentando 10-20% por década, desde la segunda a la séptima.3 Esto justifica la necesidad de seguimiento en pacientes portadores sin fenotipo al diagnóstico.11 Cuando el debut clínico es temprano, es frecuente que se trate de variantes dobles o compuestas, como es el caso que presentamos, lo cual se asocia a un peor pronóstico.

El pronóstico variará ampliamente en función de la causa de la MCH.14,15 Existen herramientas validadas para la estratificación del riesgo de muerte súbita a cinco años en pacientes pediátricos, como el HCM Risk Kids.7 Estas herramientas pueden ser especialmente útiles, cuando se plantea la duda sobre la necesidad de derivación a un centro quirúrgico para valorar el implante de un desfibrilador automático.


REFERENCIAS (EN ESTE ARTÍCULO)

  1. Cartón-Sánchez AJ, Gutiérrez-Larraya F. Miocardiopatías. Pediatr Integral. 2021; 25(8): 427-436.

  2. Marshall M, Malik A, Shah M, Fish FA, Etheridge SP, Aziz PF et al. Patterns of electrocardiographic abnormalities in children with hypertrophic cardiomyopathy. Pediatr Cardiol. 2024; 45(8): 1692-1701.

  3. Sociedad Europea de Cardiología (ESC). Guía ESC 2023 sobre el manejo de las miocardiopatías. España; 2023. pp. 18-62.

  4. Rath A, Weintraub R. Overview of cardiomyopathies in childhood. Front Pediatr. 2021; 9: 708732.

  5. Nir A, Lindinger A, Rauh M, Bar-Oz B, Laer S, Schwachtgen L et al. NT-pro-B-type natriuretic peptide in infants and children: reference values based on combined data from four studies. Pediatr Cardiol. 2009; 30(1): 3-8.

  6. Helms AS, Thompson AD, Glazier AA, Hafeez N, Kabani S, Rodriguez J et al. Spatial and functional distribution of MYBPC3 pathogenic variants and clinical outcomes in patients with hypertrophic cardiomyopathy. Circ Genomic Precis Med. 2020; 13(5): 396-405.

  7. Norrish G, Ding T, Field E, Ziólkowska L, Olivotto I, Limongelli G et al. Development of a novel risk prediction model for sudden cardiac death in childhood hypertrophic cardiomyopathy (HCM Risk-Kids). JAMA Cardiol. 2019; 4(9): 918-927.

  8. Ackerman MJ, Landstrom AP. Detection of subclinical fabry disease in patients presenting with hypertrophic cardiomyopathy. J Am Coll Cardiol. 2007; 50(25): 2404-2405.

  9. Gehrmann J, Sohlbach K, Linnebank M, Bohles HJ, Buderus S, Kehl HG et al. Cardiomyopathy in congenital disorders of glycosylation. Cardiol Young. 2003; 13(4): 345-351.

  10. Marsico F, D'Andrea C, Parente A, De Martino F, Capasso L, Raimondi F et al. Hypertrophic cardiomyopathy in mitochondrial disorders: description of an uncommon clinical case. Eur J Heart Fail. 2017; 19(9): 1201-1204.

  11. Cobo-Marcos M, Gallego-Delgado M, Garcia-Pavia P. Aplicación práctica de la genética en el manejo de las miocardiopatías. Cardiocore. 2014; 49(2): 52-58.

  12. Rupp S, Felimban M, Schanzer A, Schranz D, Marschall C, Zenker M et al. Genetic basis of hypertrophic cardiomyopathy in children. Clin Res Cardiol. 2019; 108(3): 282-289.

  13. Marian AJ, Braunwald E. Hypertrophic cardiomyopathy: genetics, pathogenesis, clinical manifestations, diagnosis, and therapy. Circ Res. 2017; 121(7): 749-770.

  14. Alexander PMA, Nugent AW, Daubeney PEF, Lee KJ, Sleeper LA, Schuster T et al. Long-term outcomes of hypertrophic cardiomyopathy diagnosed during childhood: results from a national population-based study. Circulation. 2018; 138(1): 29-36.

  15. Tsuda E, Ito Y, Kato Y, Sakaguchi H, Ohuchi H, Kurosaki K. Thirty-year outcome in children with hypertrophic cardiomyopathy based on the type. J Cardiol. 2022; 80(6): 557-562.



AFILIACIONES

1 Servicio de Pediatría del Hospital General Universitario de Ciudad Real

2 Unidad de Cardiopatías Familiares

3 Servicio de Cardiología del Hospital General Universitario de Ciudad Real.

4 Gerencia de Atención Integrada de Ciudad Real. Centro de Salud Bolaños de Calatrava. Bolaños de Calatrava, Ciudad Real, España.



CORRESPONDENCIA

Blanca Tomás-Soldevilla. E-mail: btomass@sescam.jccm.es




Recibido: 04/02/2025. Aceptado: 28/05/2025

Figura 1
Figura 2
Figura 3
Figura 4

2020     |     www.medigraphic.com

Mi perfil

C?MO CITAR (Vancouver)

Rev Mex Pediatr. 2025;92

ARTíCULOS SIMILARES

CARGANDO ...