medigraphic.com
ENGLISH

Revista Mexicana de Pediatría

ISSN 0035-0052 (Impreso)
  • Mostrar índice
  • Números disponibles
  • Información
    • Información general        
    • Directorio
  • Publicar
    • Instrucciones para autores        
    • Envío de artículos
  • medigraphic.com
    • Inicio
    • Índice de revistas            
    • Registro / Acceso
  • Mi perfil

2025, Número 3

<< Anterior

Rev Mex Pediatr 2025; 92 (3)


Sinostosis radiocubital proximal congénita unilateral

Pachicano-Leal, Juan Luis Tadeo1,4; Cruz-Alcalá, Perla Mayara2,4; Herrera-Flores, Liliana3,4
Texto completo Cómo citar este artículo 10.35366/121500

DOI

DOI: 10.35366/121500
URL: https://dx.doi.org/10.35366/121500
Artículos similares

Idioma: Español
Referencias bibliográficas: 6
Paginas: 120-121
Archivo PDF: 536.12 Kb.


PALABRAS CLAVE

sinostosis, radio, cúbito, malformación congénita, antebrazo.

RESUMEN

La sinostosis radiocubital es una anomalía congénita muy poco frecuente que ocasiona dificultad para la movilidad del antebrazo, la cual puede tener diferentes grados. Presentamos las imágenes de un paciente masculino de nueve años con sinostosis radiocubital.



INTRODUCCIóN

La sinostosis radiocubital congénita también es conocida como deformidad de Sandifort-Lennoire; el primero reconoció la patología en 1793, mientras que el segundo la entendió como causa de enfermedades.1 Es un trastorno poco frecuente que afecta al codo y al antebrazo, caracterizado por un puente fibroso u óseo entre los extremos proximales del radio y el cúbito. La prevalencia oscila entre 1/5,000 y 1/1'000,000 de nacidos vivos, siendo más frecuente en la población de China.2

El origen de esta alteración es por detención en la diferenciación en el plano longitudinal de los esbozos cartilaginosos del radio y el cúbito durante el periodo embrionario, lo que provoca falta de separación del radio y el cúbito. Esta condición puede asociarse a otras anomalías del desarrollo, como atrofia del músculo supinador corto, hipoplasia del pulgar y del primer metacarpiano, luxación de caderas, sinostosis de los huesos del tarso, exóstosis múltiple, o bien, formar parte de algún síndrome, como el de Poland, Cornelia Lange y sindactilia de Cenani-Lenz.3

La presentación clínica depende principalmente de la posición fija de la deformidad del antebrazo, y menos de factores como la estabilidad de la cabeza radial y la edad del niño. La pronación leve del antebrazo puede enmascarar el diagnóstico, ya que las funciones diarias pueden compensarse con las articulaciones del hombro y la muñeca. Sin embargo, la deformidad en pronación extrema del antebrazo afecta las actividades de la vida diaria, reduciendo la calidad de vida.4

Recientemente, el Grupo de Estudio Ortopédico Pediátrico Multicéntrico de China (CMPOS) ha propuesto un nuevo sistema de clasificación basado en radiografías e imágenes por resonancia magnética (IRM). La clasificación del CMPOS consta de tres tipos: I) pseudosinostosis fibrosa con cualquier forma de la cabeza radial; II) sinostosis ósea con o sin cabeza radial dislocada; III) cabeza radial radiográfica inobservable y sinostosis ósea con el cúbito.5

Se recomienda la intervención quirúrgica en casos graves; en particular, cuando existe hiperpronación (≥ 90°), sinostosis bilateral o cuando el ángulo de pronación es > 60°, la indicación de cirugía es absoluta.6



PRESENTACIóN DEL CASO

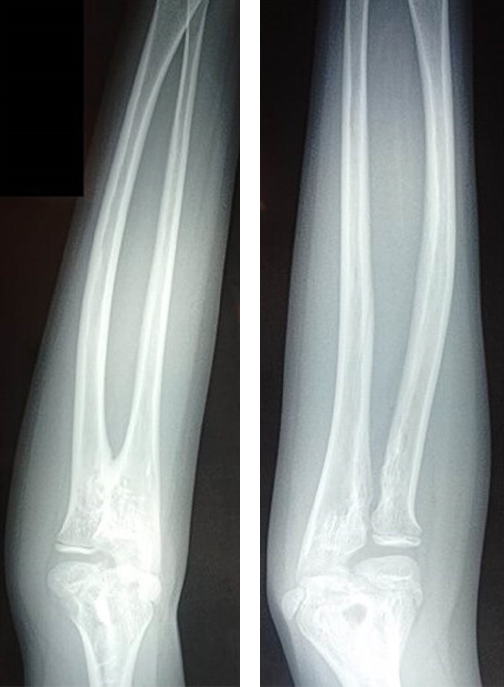
Paciente masculino de nueve años, sin antecedentes personales o heredofamiliares de importancia. La madre refiere que desde el año de edad notó que su hijo tenía dificultad a la supinación del antebrazo izquierdo; sin embargo, al ver que el paciente compensaba los movimientos de la rutina diaria no le dio importancia. En la exploración física, se identificó supinación incompleta del antebrazo izquierdo tanto en flexión como en extensión de codo (Figura 1). El resto de los rangos del movimiento de dicho antebrazo están respetados.

Por las características del cuadro clínico, se decide tomar radiografías radiocubital bilateral (Figura 2). Con los hallazgos radiográficos se llega al diagnóstico de sinostosis radiocubital proximal congénita unilateral, solicitando interconsulta al servicio de traumatología y ortopedia pediátrica. Se decide no brindar tratamiento, y solamente mantener vigilancia por consulta externa.


REFERENCIAS (EN ESTE ARTÍCULO)

  1. Estupiñan LMM. Congenital radioulnar synostosis. MCRR. 2021; 4(6). doi: 10.15520/mcrr.v4i6.153.

  2. Zarantonello P, Trisolino G, Senes FM, Di Gennaro GL, Antonioli D, Catena N et al. Operative and non-operative treatment of congenital radio-ulnar synostosis in children: results from a multicenter study. J Child Orthop. 2025: 18632521251322677. doi: 10.1177/18632521251322677.

  3. Balado-Viloria J, García-Amaro M, Cianchandani-Cianchandani C, Acitores-Suz E. ¿Por qué este niño coge mal los cubiertos? Un caso de sinostosis radiocubital. Rev Pediatr Aten Primaria. 2018; 20(77): 69-72. Disponible en: http://scielo.isciii.es/scielo.php?script=sci_arttext&pid=S1139-76322018000100010&lng=es

  4. Luo X, Li Z, Tang S, Zheng X, Yang X, Cai Y et al. Rotational osteotomy of forearm bones for treatment of congenital radioulnar synostosis in children. J Orthop Surg Res. 2024; 19(1): 873. doi: 10.1186/s13018-024-05393-5.

  5. Hong P, Tan W, Zhou WZ, Zheng Y, Li J, Zheng P et al. The relation between radiographic manifestation and clinical characteristics of congenital radioulnar synostosis in children: a retrospective study from multiple centers. Front Pediatr. 2023; 11: 1117060. doi: 10.3389/fped.2023.1117060.

  6. Bai F, Chen S, Liu L, Tong D, Li P, Rong Y et al. Treatment of congenital radioulnar synostosis using a free vascularized fascia lata graft. Orthop Surg. 2022; 14(6): 1229-1234. doi: 10.1111/os.13226.



AFILIACIONES

1 Consulta externa pediatría

2 Residente tercer año de Pediatría

3 Residente segundo año de Pediatría.

4 Clínica Hospital ISSSTE Constitución, Monterrey, Nuevo León, México.



Conflicto de intereses: los autores declaran que no tienen.



CORRESPONDENCIA

Dr. Juan Luis Tadeo Pachicano-Leal. E-mail: pachikano@hotmail.com




Recibido: 27/01/2025. Aceptado: 24/06/2025

Figura 1
Figura 2

2020     |     www.medigraphic.com

Mi perfil

C?MO CITAR (Vancouver)

Rev Mex Pediatr. 2025;92

ARTíCULOS SIMILARES

CARGANDO ...