medigraphic.com
ENGLISH

Revista Mexicana de Ortopedia Pediátrica

ISSN 2007-087X (Impreso)
Órgano Oficial de la Sociedad Mexicana de Ortopedia Pediátrica
  • Mostrar índice
  • Números disponibles
  • Información
    • Información general        
    • Directorio
  • Publicar
    • Instrucciones para autores        
  • medigraphic.com
    • Inicio
    • Índice de revistas            
    • Registro / Acceso
  • Mi perfil

2025, Número 1-3

<< Anterior

Rev Mex Ortop Ped 2025; 27 (1-3)


Espectro de sobrecrecimiento asociado a PIK3CA (PROS): reporte de caso y revisión de la literatura

Arenas Díaz, Ana Laura1; Díaz Bautista, Karla Josefina2
Texto completo Cómo citar este artículo 10.35366/121649

DOI

DOI: 10.35366/121649
URL: https://dx.doi.org/10.35366/121649
Artículos similares

Idioma: Español
Referencias bibliográficas: 14
Paginas: 34-40
Archivo PDF: 1085.94 Kb.


PALABRAS CLAVE

PROS (espectro de sobrecrecimiento relacionado a PIK3CA), PIK3CA, síndromes de sobrecrecimiento, malformaciones vasculares, síndrome de CLOVES.

RESUMEN

Introducción: el espectro de sobrecrecimiento asociado a mutaciones en el gen PIK3CA (PROS, por sus siglas en inglés) incluye condiciones raras caracterizadas por sobrecrecimiento segmentario, malformaciones vasculares y anomalías multisistémicas. Éstas son ocasionadas por mutaciones somáticas adquiridas durante el desarrollo embrionario. Objetivo: describir los hallazgos clínicos, el abordaje diagnóstico y la fisiopatología del PROS a través del reporte de un caso representativo y revisión de la literatura. Material y métodos: se evaluó a un paciente masculino con diagnóstico presuntivo de escoliosis idiopática. Se realizó exploración clínica, estudios radiológicos y prueba genética. Asimismo, se llevó a cabo revisión de la literatura para sustentar los hallazgos. Resultados: el paciente presentó sobrecrecimiento bilateral de los pies, discrepancia en la longitud de las extremidades inferiores y tumoración de partes blandas dorsales. Los estudios radiológicos descartaron escoliosis, pero evidenciaron aumento de espacios intermetatarsianos y elongación de los calcáneos. La prueba genética dirigida a mutaciones en PIK3CA apoyó la sospecha diagnóstica dentro del PROS. Conclusiones: el PROS representa un grupo heterogéneo de síndromes de sobrecrecimiento con importante repercusión clínica y funcional. La identificación clínica apoyada en estudios de imagen y pruebas moleculares, junto con un enfoque multidisciplinario, son fundamentales para su diagnóstico y manejo.



ABREVIATURAS:

  • CLOVES = congénito, lipomatoso, de sobrecrecimiento, malformaciones vasculares, nevos epidérmicos y anomalías espinales/esqueléticas o escoliosis (Congenital, Lipomatous, Overgrowth, Vascular malformations, Epidermal nevi and Spinal/skeletal anomalies and/or Scoliosis)
  • MCAP = megalencefalia-malformación capilar-polimicrogiria (Megalencephaly-CApillary malformation-Polymicrogyria)
  • PROS = espectro de sobrecrecimiento asociado a PIK3CA (PIK3CA-Related Overgrowth Spectrum)



INTRODUCCIóN

A pesar de que no existe aún una cura, el conocimiento creciente de la fisiopatología molecular ha dado lugar al desarrollo de terapias dirigidas, como los inhibidores de PI3K o mTOR, que actualmente se encuentran en estudio y ofrecen nuevas esperanzas terapéuticas.1,2 Asimismo, el enfoque multidisciplinario permite un manejo más eficaz de las complicaciones ortopédicas, neurológicas, vasculares y funcionales.3,4

El diagnóstico de certeza se basa en la identificación de mutaciones somáticas en el gen PIK3CA, generalmente a través de biopsia del tejido afectado, dada la baja carga mutacional en sangre periférica debido al mosaicismo.5,6 Por ello, la sospecha clínica, apoyada por estudios de imagen y la evaluación interdisciplinaria, sigue siendo fundamental.1,3

Desde el punto de vista clínico, los síndromes PROS se caracterizan por la presencia de sobrecrecimiento segmentario asimétrico, de curso progresivo, generalmente con malformaciones vasculares de tipo venoso, linfático o combinado.6,7 Estos hallazgos suelen acompañarse de alteraciones musculoesqueléticas, como discrepancia de longitud de extremidades, displasia ósea, polidactilia, y compromiso de tejidos blandos profundos.4,6 En muchos casos, los hallazgos clínicos son sutiles en la infancia y progresan con el crecimiento, lo cual puede retrasar el diagnóstico.7

Desde un punto de vista molecular, las mutaciones somáticas activadoras en PIK3CA provocan una disfunción en la vía de señalización PI3K-AKT-mTOR, la cual regula procesos celulares fundamentales como el crecimiento, la proliferación, la diferenciación y la angiogénesis.5,8 La activación constitutiva de esta vía resulta en una proliferación descontrolada de diversos tipos celulares, generando malformaciones vasculares, lipomatosis, sobrecrecimiento óseo o muscular y alteraciones neurológicas.6,9 El momento embriológico en que ocurre la mutación, así como la línea celular afectada, son determinantes clave del fenotipo resultante, lo cual explica la variabilidad clínica observada incluso entre pacientes con mutaciones idénticas.1,7

Los síndromes de sobrecrecimiento asociados a mutaciones en el gen PIK3CA constituyen un espectro clínico heterogéneo y emergente, agrupado bajo el término PROS (PIK3CA-Related Overgrowth Spectrum).1,6 Este grupo incluye entidades como los síndromes CLOVES, Klippel-Trenaunay, megalencefalia-malformación capilar (MCAP), sobrecrecimiento hemicorporal y otros cuadros mal formativos segmentarios, todos caracterizados por sobrecrecimiento tisular somático que compromete múltiples sistemas.2,4 A pesar de su baja prevalencia, estos síndromes tienen un importante impacto funcional, estético y psicológico en los pacientes afectados, especialmente cuando el diagnóstico es tardío o incompleto.7

El objetivo de este caso clínico fue revisar la literatura más reciente sobre los síndromes PROS, describiendo su fisiopatología, manifestaciones clínicas, métodos diagnósticos y estrategias terapéuticas, subrayando mayormente las deformidades musculoesqueléticas a partir del análisis de un caso clínico representativo.



PRESENTACIóN DEL CASO

Paciente masculino de nueve años, producto de embarazo normoevolutivo, sin antecedentes personales ni familiares relevantes, referido a consulta por diagnóstico presuntivo de escoliosis idiopática.

A la exploración física se evidenció aumento de volumen bilateral en ambos pies, de consistencia blanda, sin signos de inflamación; sin embargo, la amplitud del arco plantar anterior sobrepasaba la normalidad (Figuras 1 y 2).

En este mismo sentir, se documentó discrepancia en las medidas de las extremidades inferiores según se muestra en las Tablas 1 y 2.

Los arcos de movilidad de ambos miembros pélvicos se encontraron dentro de parámetros normales.

Adicionalmente, en la columna, se observó aumento de volumen en la región torácica posterior derecha, donde se palpó una tumoración de aproximadamente 12 × 10 cm, de consistencia blanda, no adherida a planos profundos y no dolorosa. No se identificaron estigmas cutáneos asociados (Figura 3).

En las radiografías simples de columna toracolumbar no se observaron signos de escoliosis (Figura 4).

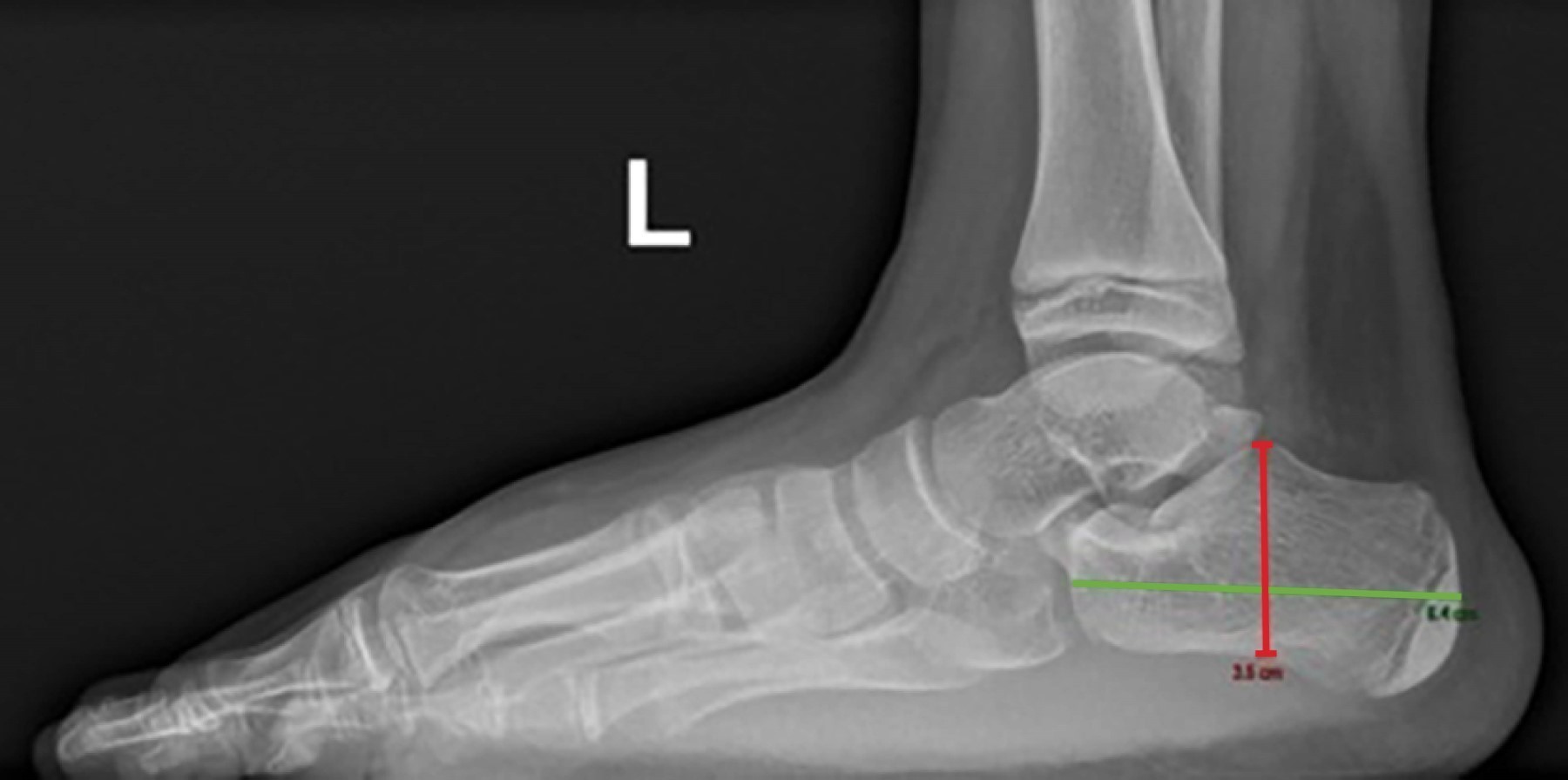
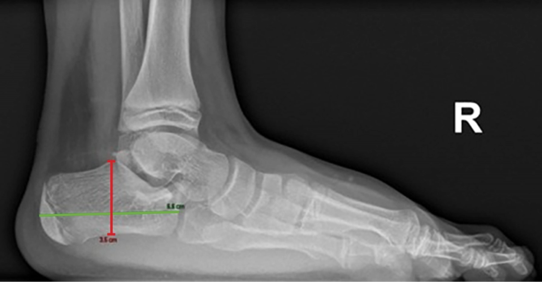
Las radiografías simples de ambos pies mostraron aumento en los espacios intermetatarsianos y del ángulo intermetatarsiano, así como elongación de ambos calcáneos en comparación con los valores esperados para la edad del paciente (Figuras 5, 6 y 7).

Se realizó, además, una resonancia magnética simple de columna lumbar en la que se reportó una lipomatosis epidural lumbosacra (Figura 8).



DISCUSIóN

El PI3K pertenece a una familia de enzimas que participan en la señalización celular relacionada con el crecimiento, proliferación y supervivencia. La isoforma más relevante en PROS es la clase I alfa, codificada por el gen PIK3CA.1 Las mutaciones en este gen provocan activación excesiva de la vía PI3K-AKT-mTOR, lo que causa sobrecrecimiento tisular.2,3 El fenotipo depende del tipo de tejido embrionario afectado y del momento en que ocurre la mutación.4,5

Las malformaciones vasculares están presentes en un 43% y pueden conllevar riesgo de trombosis.6 También pueden observarse polidactilia, sindactilia, alteraciones en las proporciones de los segmentos óseos, como se observa en el caso presentado y tanto anomalías renales como genitales.7,8 Sin embargo, en la literatura nacional o internacional, no hay evidencia que encuadre específicamente las manifestaciones clínicas de nuestro caso, que represente un síndrome de sobrecrecimiento segmentario específico.

El diagnóstico se confirma mediante pruebas genéticas dirigidas a detectar mutaciones en PIK3CA.2,3

El abordaje clínico debe ser multidisciplinario e incluir historia clínica completa, evaluación por imagen y análisis molecular de tejido afectado.5,6

A continuación, se enlistan los criterios de elegibilidad para pruebas de diagnóstico molecular:

  • 1. Requeridos. Sobrecrecimiento segmentario focal o focal (sindrómico o aislado), aparición esporádica y congénito o de inicio en la primera infancia.
  • 2. Recomendados. Disponibilidad de tejido afectado fresco y sin cultivar (piel u otros tejidos).
  • 3. Categorización clínica-formas sindrómicas (al menos dos características, incluyendo el sobrecrecimiento. Sobrecrecimiento (adiposo, muscular, esquelético o cerebral), malformaciones vasculares (capilares, venosas, linfáticas), nevus epidérmico y anomalías acrales (macrodactilia, sindactilia, polidactilia, etcétera).
  • 4. Categorización clínica-formas aisladas. Hemihipertrofia, sobrecrecimiento hemifacial, hemimegalencefalia o megalencefalia displásica, sobrecrecimiento adiposo troncal y macrodactilia u otro sobrecrecimiento acral (manos o pies).9

El diagnóstico de PROS se fundamenta en un fenotipo de sobrecrecimiento segmentario y la confirmación molecular en tejido afectado mediante NGS (Next Generation Sequencing) de alta cobertura y/o ddPCR (droplet digital PCR) para mosaicismos bajos.9

Un resultado negativo no es concluyente para descartar PROS ante una clínica sugestiva; la interpretación requiere correlación fenotípica y, de ser necesario, repetir el estudio con técnicas y muestras de mayor rendimiento.9

El diagnóstico diferencial incluye otros síndromes de sobrecrecimiento de diferente etiología molecular.10

  • 1. Síndrome de Proteus (AKT1). Trastorno en mosaico de inicio posnatal con sobrecrecimiento asimétrico y progresivo; característicos los nevos cerebriformes del tejido conectivo y la adiposidad displásica. Puede coexistir con malformaciones vasculares, pero el sello es la evolución irregular y acelerada en áreas parcheadas; la confirmación suele requerir análisis del tejido afectado para AKT1 p.E17K.9,11
  • 2. Síndrome PTEN-hamartoma (PHTS). Entidad germinal con macrocefalia marcada, hamartomas y estigmas mucocutáneos (por ejemplo, triquilemomas), a menudo con pólipos gastrointestinales y riesgo oncológico elevado; el patrón es sistémico más que segmentario y el hallazgo de una variante en PTEN en sangre apoya el diagnóstico.12,13
  • 3. Megalencefalia/MPPH (AKT3, CCND2, PIK3R2). Cuadro dominado por compromiso neurológico (megalencefalia, alteraciones corticales, epilepsia y retraso); a diferencia de PROS, las malformaciones vasculares complejas son mínimas o ausentes.12,13
  • 4. Esclerosis tuberosa (TSC1/TSC2). Trastorno germinal con epilepsia, tubérculos corticales, nódulos subependimarios (riesgo de SEGA [astrocitoma subependimario de células gigantes]), angiofibromas faciales y lesiones renales (angiomiolipomas); la firma neurocutánea y las variantes TSC1/TSC2 la distinguen de PROS.12,13
  • 5. Parkes-Weber (RASA1/EPHB4). Sobrecrecimiento de extremidad asociado a malformaciones arteriovenosas de alto flujo; clínicamente destacan calor, frémito y soplo, y en casos extensos, insuficiencia cardiaca de gasto elevado. El Doppler/MRA muestra fístulas AV; las variantes en RASA1/EPHB4 ayudan a diferenciarlo de cuadros de bajo flujo típicos de PROS.12,13
  • 6. Beckwith-Wiedemann (11p15) y hemihiperplasia aislada. El espectro BWS (Beckwith-Wiedemann Syndrome) cursa con macroglosia, onfalocele, hipoglucemia neonatal y sobrecrecimiento lateralizado, con alteraciones de impronta en 11p15 y riesgo tumoral (Wilms, hepatoblastoma). La hemihiperplasia aislada comparte asimetría corporal, pero sin malformaciones vasculares complejas; en ambos se recomienda vigilancia tumoral en la infancia.12
  • 7. Neurofibromatosis tipo 1 (NF1). La asimetría segmentaria puede deberse a neurofibromas plexiformes profundos; son claves las máculas café-con-leche, el pecueleo axilar/inguinal y los nódulos de Lisch; la confirmación es germinal en NF1.12
  • 8. Subtipos dentro de PROS: CLOVES y MCAP. CLOVES: lipomatosis troncal infiltrativa, malformaciones capilares/venosas/linfáticas, escoliosis y, en ocasiones, lipomatosis epidural; corresponde a fenotipos de bajo flujo. MCAP: megalencefalia, malformaciones capilares y alteraciones corticales; el pronóstico neurológico domina el curso. En ambos, las variantes somáticas en PIK3CA suelen requerir biopsia de tejido afectado para su detección.5,9,11

Para el diagnóstico diferencial del sobrecrecimiento, la combinación de datos clínicos clave y contexto genético facilita una clasificación temprana. A continuación, se enumeran los indicadores con mayor valor discriminativo entre PROS y otras entidades relacionadas.

  • 1. Inicio y patrón: congénito/temprano y segmentario en PROS versus posnatal progresivo en Proteus; sistémico/germinal en PHTS/TSC/NF1.
  • 2. Tipo de flujo vascular: bajo flujo (venoso/linfático) favorece PROS/CLOVES; alto flujo sugiere Parkes-Weber.
  • 3. Biología molecular y muestra: somático en mosaico (PIK3CA/AKT1) requiere tejido afectado; germinal (PTEN, TSC1/2, NF1) se detecta en sangre.
  • 4. Compromiso neurológico estructural prominente orienta a MPPH/MCAP más que a fenotipos periféricos de PROS.5,9,11,12

El tratamiento combina medidas convencionales y terapias dirigidas cuando la carga de enfermedad compromete la función.12

Sirolimus, como modulador de mTOR, es especialmente útil en malformaciones de bajo flujo (venosas y linfáticas) con dolor, aumento de volumen o compromiso funcional; su objetivo clínico es disminuir el tamaño/edema de las lesiones, atenuar el dolor y mejorar la tolerancia a órtesis y al calzado, creando mejores condiciones para intervenciones locales o quirúrgicas. Requiere monitorización periódica (hemograma, función hepática y perfil lipídico) y vigilancia de efectos adversos (mucositis, citopenias, susceptibilidad a infecciones), con ajustes de dosis según tolerancia y objetivos funcionales.14

Por su parte, alpelisib (inhibidor selectivo de PI3K con aprobación regulatoria desde 2022 para PROS que requiere tratamiento sistémico en ≥ 2 años) se considera en enfermedad grave o multifocal con progresión clínica o limitación funcional significativa. En estos casos, puede reducir el sobrecrecimiento y la carga de lesiones, traducido en mejoría del dolor, de la movilidad y de la participación escolar/laboral. Su uso exige seguimiento clínico y bioquímico dirigido (por ejemplo, glucemia por riesgo de hiperglucemia, además de exantema, diarrea y estomatitis), con coordinación estrecha entre genética, endocrinología y el equipo quirúrgico para optimizar indicaciones y minimizar efectos adversos.14

En la práctica, ambos fármacos pueden emplearse de forma secuencial o como coadyuvantes a tratamientos locales/quirúrgicos para "preparar" una ventana terapéutica (disminuir volumen, dolor y sangrado), reducir la necesidad de resecciones extensas y mejorar el resultado funcional global, dentro de un plan multidisciplinario y con reevaluaciones periódicas del balance beneficio-riesgo.11,14

El manejo ortopédico en PROS se orienta a preservar función, aliviar dolor y facilitar la participación (marcha, uso de calzado, destreza manual), más que a "normalizar" la anatomía. Requiere un enfoque individualizado y multidisciplinario, con planificación longitudinal que considere el crecimiento, la carga vascular/linfática y el riesgo de recurrencia. A continuación, se mencionan las opciones quirúrgicas dirigidas y los objetivos de las intervenciones:

  • 1. Discrepancia de longitud. Menos de 2 cm se maneja con alza contralateral y vigilancia; entre 2-5 cm, epifisiodesis/guía de crecimiento ajustada a la madurez ósea; y si es > 5-6 cm o existen asimetrías complejas, alargamiento en centros especializados.14
  • 2. Deformidades y sobrecrecimiento. Se privilegia un debulking escalonado orientado a la función (dolor, tolerancia a calzado, destreza), evitando resecciones extensas en picos de crecimiento sin un plan longitudinal claro.14
  • 3. Mano-pie (macrodactilia/lipomatosis). Reducción de volumen de partes blandas con o sin acortamientos/epifisiodesis digital; el objetivo es pinza útil, marcha y calzado adecuados, anticipando reintervenciones según evolución.14
  • 4. Columna. Vigilancia seriada clínica y radiológica; corsé y cirugía según criterios habituales, con planificación de incisiones acorde al estado vascular del lecho.14
  • 5. Integración vascular y sistémica. Escleroterapia/láser para lesiones de bajo flujo y, cuando convenga, sirolimus o alpelisib para reducir volumen/dolor y optimizar la ventana quirúrgica.12
  • 6. Rehabilitación temprana. Con objetivo de mejoría de rangos de movilidad, fuerza y función, así como ajuste de ortesis postoperatorias.12

La expectativa de vida en PROS suele ser cercana a la normal cuando no existe compromiso cerebral o visceral importante, mientras que en fenotipos con megalencefalia y epilepsia (como MCAP) permanece incierta.13 En términos funcionales, la evolución depende del fenotipo, de la carga y tipo de malformación vascular, del dolor y de la presencia de discrepancia de longitud, así como del acceso a un manejo multimodal.13 Durante el crecimiento, el cuadro puede progresar y tender a estabilizarse en la adultez; no obstante, la recidiva tras procedimientos de "debulking" es frecuente si no se controla la componente vascular subyacente.12

De forma global, la calidad de vida mejora cuando se implementan planes de atención integrados −ortopédicos, intervencionales y terapias dirigidas−, aunque todavía faltan estudios longitudinales comparativos que cuantifiquen su impacto a largo plazo.



CONCLUSIONES

El espectro de sobrecrecimiento relacionado con mutaciones en PIK3CA (PROS) constituye un conjunto de entidades heterogéneas que plantean un desafío diagnóstico y terapéutico significativo. La variabilidad fenotípica observada en los pacientes refleja tanto la diversidad de tejidos afectados como el momento del desarrollo embrionario en que ocurre la mutación, lo cual explica la dificultad para establecer criterios clínicos uniformes y resalta la necesidad de un abordaje individualizado.

El caso presentado ilustra cómo manifestaciones iniciales aparentemente inespecíficas, como el sobrecrecimiento segmentario de extremidades o las tumoraciones de partes blandas, pueden corresponder a un síndrome genético subyacente, lo que enfatiza la importancia de la sospecha clínica y del uso de herramientas complementarias como los estudios de imagen y las pruebas moleculares.

El diagnóstico preciso permite planificar un seguimiento integral orientado a la detección y manejo temprano de complicaciones ortopédicas, vasculares y funcionales. En este sentido, el trabajo interdisciplinario entre ortopedia, genética, radiología e incluso especialidades como rehabilitación y cirugía vascular, resulta indispensable para mejorar los desenlaces clínicos y la calidad de vida de los pacientes.

En conclusión, el PROS debe considerarse dentro del diagnóstico diferencial de los síndromes de sobrecrecimiento, y su reconocimiento oportuno es fundamental para ofrecer una atención integral, reducir el impacto funcional, estético y psicológico en los pacientes, y sentar las bases para la incorporación futura de terapias moleculares personalizadas.


REFERENCIAS (EN ESTE ARTÍCULO)

  1. Vanhaesebroeck B, Guillermet-Guibert J, Graupera M, Bilanges B. The emerging mechanisms of isoform-specific PI3K signalling. Nat Rev Mol Cell Biol. 2010; 11(5): 329-341.

  2. Kurek KC, Luks VL, Ayturk UM, Alomari AI, Fishman SJ, Spencer SA et al. Somatic mosaic activating mutations in PIK3CA cause CLOVES syndrome. Am J Hum Genet. 2012; 90(6): 1108-1115.

  3. Keppler-Noreuil KM, Rios JJ, Parker VER, Semple RK, Lindhurst MJ, Sapp JC et al. PIK3CA-related overgrowth spectrum (PROS): diagnostic and testing eligibility criteria, differential diagnosis, and evaluation. Am J Med Genet A. 2015; 167(2): 287-295.

  4. Mulligan PR, Prajapati HJS, Martin LG, Patel TH. Vascular anomalies: classification, imaging characteristics and implications for interventional radiology treatment approaches. Br J Radiol. 2014; 87(1035): 20130392.

  5. Canaud G, Hammill AM, Adams D, Vikkula M, Keppler-Noreuil KM. A review of mechanisms of disease across PIK3CA-related disorders with vascular manifestations. Orphanet J Rare Dis. 2021; 16(1): 306.

  6. Chen H, Gao W, Liu H, Sun B, Hua C, Lin X. Updates on diagnosis and treatment of PIK3CA-related overgrowth spectrum. Ann Plast Surg. 2023; 90(5): S209-S215.

  7. Pagliazzi A, Oranges T, Traficante G, Trapani C, Facchini F, Martin A et al. PIK3CA-related overgrowth spectrum from diagnosis to targeted therapy: a case of CLOVES syndrome treated with alpelisib. Front Pediatr. 2021;9: 732836.

  8. Kalo C, Khana F, Jazmati A, Kalo S, Ishkhanian S, Kayyali A et al. PIK3CA-related overgrowth spectrum (PROS): a rare case report. Ann Med Surg (Lond). 2023; 85(5): 2001-2006.

  9. Kuentz P, St-Onge J, Duffourd Y, Courcet JB, Carmignac V, Jouan T et al. Molecular diagnosis of PIK3CA-related overgrowth spectrum (PROS) in 162 patients and recommendations for genetic testing. Genet Med. 2017; 19(9): 989-997.

  10. Martínez-López A, Blasco-Morente G, Pérez-López I, Herrera-Garcia JD, Luque-Valenzuela M, Sánchez-Cano D et al. CLOVES syndrome: review of a PIK3CA-related overgrowth spectrum (PROS). Clin Genet. 2017; 91(1): 14-21.

  11. Gazzin A, Leoni C, Viscogliosi G, Borgini F, Perri L, Iacoviello M et al. Work-up and treatment strategies for individuals with PIK3CA-related disorders: a consensus of experts from the Scientific Committee of the Italian Macrodactyly and PROS Association. Genes (Basel). 2023; 14(12): 2134.

  12. Agradece N, Hammill AM. Síndrome de sobrecrecimiento asociado al gen PIK3CA. 2022. Disponible en: https://rarediseases.org/es/rare-diseases/pik3ca-related-overgrowth-spectrum/

  13. Fuster AI, Serra PC, Riera-Mestre A. PIK3CA-related overgrowth spectrum (PROS): New insight in known diseases. Med Clin (Barc). 2021; 157(10): 483-488.

  14. Douzgou S, Rawson M, Baselga E, Danielpour M, Faivre L, Kashanian A et al. A standard of care for individuals with PIK3CA-related disorders: An international expert consensus statement. Clin Genet. 2022; 101(1): 32-47.



AFILIACIONES

1 Staff médico. Hospital Shriners para Niños, Clínica de Pie y Parálisis Cerebral. Ciudad de México, México.

2 Residente de cuarto año, Traumatología y Ortopedia. Hospital Regional de Villahermosa, PEMEX, Servicio de Traumatología y Ortopedia. Villahermosa, Tabasco, México.



NIVEL DE EVIDENCIA

V



CORRESPONDENCIA

Dra. Karla Josefina Díaz Bautista. E-mail: dra.karlajdiaz.tyo@outlook.com




Recibido: 07/09/2025. Aceptado: 05/10/2025.

Figura 1
Figura 2
Figura 3
Figura 4
Figura 5
Figura 6
Figura 7
Figura 8
Tabla 1
Tabla 2

2020     |     www.medigraphic.com

Mi perfil

C?MO CITAR (Vancouver)

Rev Mex Ortop Ped. 2025;27

ARTíCULOS SIMILARES

CARGANDO ...