medigraphic.com
ENGLISH

Acta Médica Grupo Ángeles

Órgano Oficial del Hospital Ángeles Health System
  • Mostrar índice
  • Números disponibles
  • Información
    • Información general        
    • Directorio
  • Publicar
    • Instrucciones para autores        
    • Envío de artículos
    • Políticas
    • Nombre y afiliación del Comité Editorial
  • Nosotros
    • Plan de gestión e intercambio de datos
    • Objetivos declarados y alcance
  • medigraphic.com
    • Inicio
    • Índice de revistas            
    • Registro / Acceso
  • Mi perfil

2025, Número 6

<< Anterior Siguiente >>

Acta Med 2025; 23 (6)


Luxación inveterada enganchante glenohumeral posterior derecha más lesión de Hill-Sachs reversa. Presentación de caso clínico con revisión de la literatura

Morales Calderón, Carlos Omar1,2,4; De los Santos Montoya, Francisco Adolfo1,3,5; Gómez Moreno, Carlos Emiliano1,2,6; Nares Zazueta, Juliana1,2,7; Castillo Montessoro, Jorge Antonio1,2,8
Texto completo Cómo citar este artículo 10.35366/121693

DOI

DOI: 10.35366/121693
URL: https://dx.doi.org/10.35366/121693
Artículos similares

Idioma: Español
Referencias bibliográficas: 22
Paginas: 528-533
Archivo PDF: 988.63 Kb.


PALABRAS CLAVE

Hill-Sachs reverso, lesión McLaughlin, luxación posterior de hombro, técnica McLaughlin.

RESUMEN

Introducción: la luxación posterior de hombro asociada con fractura de Hill-Sachs reversa son poco frecuentes, sin embargo, suele presentarse en 30-90% de los casos posterior al primer episodio de luxación posterior, condicionando inestabilidad secundaria, reluxación glenohumeral y artrosis temprana. Actualmente, el diagnóstico certero y tratamiento adecuado es un reto para el ortopedista. Caso clínico: se presenta el caso de un paciente masculino de 39 años que sufrió un accidente en motocicleta, con mecanismo de lesión por contusión directa en hombro derecho, diagnosticado a las ocho semanas por resonancia magnética con luxación posterior enganchante de hombro derecho + Hill-Sachs reverso + lesión de subescapular, sometido a tratamiento quirúrgico mediante técnica de McLaughlin abierta. Conclusión: el tratamiento de Hill-Sachs reverso crónico en este paciente, con el procedimiento de McLaughlin abierto, demostró resultados funcionales sin la necesidad de la técnica modificada de Neer.



ABREVIATURAS:

  • AP = anteroposterior
  • EVA = escala visual analógica
  • LHSR = lesión de Hill-Sachs reverso
  • RM = resonancia magnética
  • TC = tomografía computarizada
  • US = ultrasonido



INTRODUCCIóN

Las luxaciones posteriores de hombro son lesiones raras y representan del 2 al 5% de todas las luxaciones de hombro. Entre las causas más comunes se encuentran las convulsiones, traumatismos y descargas eléctricas.1

Las luxaciones posteriores de hombro se asocian en un 30 a 90% de los casos con fracturas por impresión de la parte anteromedial de la cabeza humeral, denominadas lesión de Hill-Sachs reverso (LHSR).2 El diagnóstico se omite en el examen inicial en muchas ocasiones; cerca del 79% de los casos se diagnostica una vez que la lesión se ha vuelto crónica y el hombro se encuentra bloqueado.3

El propósito de este estudio es presentar el caso de un paciente con luxación posterior enganchada crónica tratada con el procedimiento de McLaughlin abierto y su evolución clínica posterior al procedimiento.



CASO CLíNICO

Se presenta el caso de un paciente masculino de 39 años de edad, profesionista, sin antecedentes crónico-degenerativos ni quirúrgicos. Inicia su padecimiento al presentar una caída de su motocicleta, con mecanismo de lesión por contusión directa en el hombro derecho en posición de flexión y aducción, comienza con dolor en el hombro derecho, así como limitación funcional a la abducción, flexión y rotación externa, principalmente.

Acudió a una unidad hospitalaria, donde fue valorado por el Servicio de Urgencias. Se solicitaron radiografías anteroposteriores (AP) de hombro y, al no encontrar nada anormal, fue egresado con el diagnóstico de contusión simple de hombro derecho (pasando desapercibida la luxación posterior); fue manejado con antiinflamatorios orales. Al mes de evolución, el paciente continuó con dolor en el hombro derecho (EVA 6/10), acudió a una unidad de medicina familiar donde le dieron el mismo diagnóstico (contusión simple de hombro derecho) y le recetaron analgésicos. Se le solicitó realizar un ultrasonido (US) de hombro derecho en el que se reportó rotura extensa con hematoma del subescapular, por lo que fue referido a nuestro servicio.

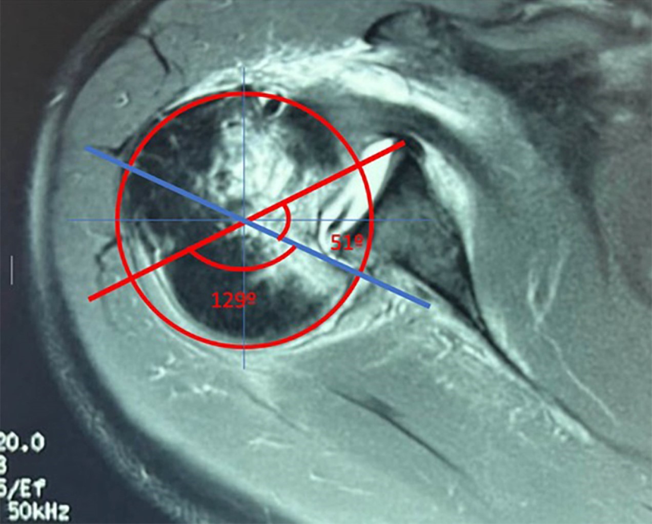
En consulta (ocho semanas desde el accidente), se apreció al paciente con dolor intenso en el hombro derecho (EVA 7/10). A la exploración física del hombro derecho, se observaron arcos de movilidad limitados: flexión 60°, abducción 40°, extensión 15°, aducción 10°, rotación externa 5°. Se solicitó resonancia magnética (RM) simple de hombro derecho, la cual evidenció luxación posterior enganchante de hombro derecho, Hill-Sachs reverso y lesión de subescapular ISAKOS anterior II. Tras la confirmación del diagnóstico, se documentó una fractura por impresión de la cabeza que involucraba el 28.3% de la circunferencia cartilaginosa, sin fracturas relevantes del borde glenoideo posterior. El tamaño del defecto de la cabeza humeral se midió en la RM en un corte axial, justo por debajo de la coracoides. Se colocó un círculo sobre la cabeza humeral y se trazaron líneas que definieron ángulos clave para medir el porcentaje de la superficie articular afectada, con el porcentaje del ángulo del cartílago representando el 100% de la superficie articular y el ángulo del defecto indicando el tamaño estimado del defecto de la cabeza humeral (Figura 1). A las nueve semanas después de la lesión, se realizó tratamiento quirúrgico con reducción abierta y transferencia de subescapular mediante técnica McLaughlin modificada.



TÉCNICA QUIRÚRGICA

El paciente se posicionó en silla de playa, bajo anestesia general. Se realizó un abordaje deltopectoral, se incidió a través de la cápsula y se redujo la luxación. Se identificó una lesión de McLaughlin de 2 × 3 cm, se limpió el defecto y se colocó un ancla de 3.5 mm con suturas. Se identificó el tendón del subescapular y se realizó la transferencia al defecto con el uso del ancla, siendo reforzado con una sutura transósea de alta resistencia, cubriendo el defecto óseo (Figura 2). Se colocó un inmovilizador universal de hombro.



RESULTADOS

A las dos semanas postquirúrgicas, el paciente acudió a consulta para revisión y retiro de los puntos de sutura.

A las tres semanas postquirúrgicas, se retiró el uso del inmovilizador y se indicó iniciar ejercicios pendulares de Codman y movimientos pasivos de hombro.

A las ocho semanas se iniciaron movimientos activos de hombro.

A las 12 semanas postquirúrgicas, el paciente presentó flexión de 180°, abducción 180°, rotación interna T12 y rotación externa 60°, con un puntaje de Constant-Murley de 89 sobre 100 puntos (dolor 10 puntos, actividades diarias 18 puntos, rango de movilidad 36 puntos, fuerza 25 puntos).



DISCUSIóN

A pesar de que las luxaciones posteriores de hombro representan una pequeña parte de las luxaciones de hombro, es fundamental diagnosticarlas oportunamente. Un alto porcentaje de luxaciones posteriores no son diagnosticadas hasta etapas crónicas. Dejar estas lesiones sin tratamiento o manejarlas de forma inadecuada puede conducir a inestabilidad glenohumeral, dolor, disminución de los arcos de movimiento y el desarrollo temprano de cambios degenerativos.4



DIAGNÓSTICO

Se requiere una tomografía computarizada (TC) o una resonancia magnética (RM) para evaluar una LHSR y decidir el tratamiento adecuado. Las luxaciones irreducibles con una LHSR se denominan bloqueadas o enganchadas, y aquellas cuyo periodo de evolución es mayor a tres semanas se consideran crónicas.5 Las LHSR continúan creciendo mientras se encuentran luxadas, lo que subraya la importancia de un diagnóstico correcto y oportuno.

Estudios biomecánicos han demostrado que la inestabilidad posterior se ve altamente afectada por factores óseos y de tejidos blandos. Técnicas avanzadas en imagen, como la TC, RM y la angiografía, han demostrado ser sumamente efectivas para evaluar estos factores anatómicos.6

Las luxaciones posteriores son raras y difíciles de diagnosticar, por lo que la exploración física debe realizarse meticulosamente. Cooper reporta el signo de la luxación posterior, que se manifiesta como la apariencia de "plenitud" posterior del lado afectado, resultando en que la porción anterior aparezca como un hombro plano y vacío.1 También se observa una apófisis coracoides prominente, con severa limitación a la rotación externa y abducción.7 El paciente refiere dolor tanto anterior como posterior en el hombro, con limitación de arcos de movilidad, especialmente a la abducción y rotación externa, debido al bloqueo que produce el enganchamiento. La rotación interna del hombro genera dolor, especialmente en flexión, aducción y rotación interna; el dolor a la rotación externa podría indicar una luxación posterior crónica.8

En una luxación glenohumeral anterior, la cabeza humeral se desplaza anterior e inferiormente, lo que da un aspecto de glena vacía en las radiografías AP de hombro; esto no sucede de igual manera en las luxaciones posteriores, donde la cabeza humeral se luxa hacia atrás sin desplazamiento inferior, resultando en la superposición de la cabeza humeral con la glena en la radiografía AP de hombro. La rotación interna del húmero da la apariencia redondeada de la cabeza humeral en la radiografía AP, conocido como "el signo de la bombilla". Otro signo que ayuda a diagnosticar esta lesión es el "Rim Sign", que se define como un espacio entre el borde medial de la cabeza humeral y el borde anterior glenoideo > 6 mm en las radiografías AP de hombro (Figura 3).9 En caso de sospecha de una luxación posterior de hombro y en ausencia de los signos previamente mencionados, es necesario tomar proyecciones radiográficas adicionales, como la escápula en Y o proyección axilar (Figura 4); esta última es la mejor para demostrar luxaciones posteriores, aunque puede ser difícil de obtener debido al intenso dolor del paciente.

La RM y la TC, además de ayudarnos en el diagnóstico, son de gran utilidad para ayudar al cirujano a analizar la localización y evaluar el porcentaje de pérdida ósea, tanto en la cabeza humeral como en la glena. La RM o la TC son necesarias para evaluar dicho porcentaje, lesiones asociadas y orientar al cirujano hacia la mejor opción de tratamiento.11 Gerber y colaboradores proponen un método para la medición del defecto óseo en RM o TC; en la RM se mide en un corte axial a nivel de la apófisis coracoides o inmediatamente por debajo de la misma, se coloca un círculo sobre la cabeza humeral, se traza una línea desde el centro del círculo hasta el cartílago inmediatamente adyacente a la tuberosidad menor y otra línea desde el centro del círculo hasta el extremo posterior del cartílago adyacente a la inserción del infraespinoso, esta área es el ángulo de superficie articular. Un segundo ángulo, el ángulo del defecto, es el ángulo formado por las líneas que conectan, primero, el límite anterior y, segundo, el límite posterior del defecto con el centro de la cabeza humeral. El porcentaje del ángulo del cartílago representa el 100% de la superficie articular y el ángulo del defecto es el tamaño estimado del defecto de la cabeza humeral.12

Para escoger el tratamiento más adecuado se deben considerar ciertos factores como la edad del paciente, el tamaño de la lesión del cartílago de la cabeza humeral, el tiempo de evolución y lesiones agregadas.



TRATAMIENTO

El tratamiento inicial en una luxación glenohumeral posterior aguda siempre deberá ser una reducción cerrada con inmovilización, que deberá permanecer por seis semanas, y tras esto, iniciar ejercicios de rehabilitación. Los casos con una LHSR menor al 25% tienen un mejor pronóstico.

En casos donde la reducción cerrada no pueda realizarse por la complejidad de la luxación, un retraso en el diagnóstico o si existe una LHSR mayor al 25%, se indica una reducción abierta con reparación del defecto mediante diferentes técnicas quirúrgicas, según el porcentaje de la lesión y si existen lesiones agregadas.

Los defectos en la cabeza humeral de entre un 25 y 45% pueden repararse con el procedimiento presentado por McLaughlin, en el cual el defecto se cubre realizando una tenotomía y transposición del subescapular;3 este procedimiento fue modificado por Hawkins y colegas, en el cual se realiza una osteotomía del troquín y se transfiere al sitio del defecto en la cabeza humeral.13 Harintian y su equipo observaron resultados satisfactorios similares al comparar ambos procedimientos.1

Otra técnica presentada en la literatura es la reconstrucción de la cabeza humeral con aloinjerto en los casos en que exista una importante pérdida ósea. Varios autores recomiendan utilizar aloinjerto de cabeza de fémur para reconstruir la esfericidad de la cabeza humeral, fijándola con tornillos esponjosos, como presenta Gerber y colaboradores en 2014.12,14 En una revisión sistemática, con un total de 206 LHSR, Rinaldi y su grupo no encontraron diferencias significativas al comparar el McLaughlin modificado y la reconstrucción con aloinjerto, concluyendo que un buen resultado se logra a partir de un diagnóstico certero y una selección cuidadosa del tratamiento quirúrgico, fundamentada en la experiencia del cirujano y en las características del paciente.4 Con resultados estadísticamente similares, Buda y colegas añaden que el uso de aloinjertos conlleva un mayor riesgo de desarrollar osteoartritis.15 En los casos que exista, de manera agregada a la LHSR, un defecto en la glena, se ha descrito la colocación de un bloque de cresta iliaca autólogo junto a un procedimiento de McLaughlin modificado.16,17 Una osteotomía rotacional del húmero puede realizarse en pacientes jóvenes con un cartílago sano que presenten un defecto en la cabeza humeral menor al 40%.11,18

En LHSR con un defecto articular mayor al 40 o 50%, dependiendo de la literatura, se recomiendan técnicas de reemplazo articular. La hemiartroplastia de hombro se realiza en los casos en que el cartílago de la cavidad glenoidea esté íntegro.19 Cuando existe un compromiso de esta estructura o presenta signos de osteoartritis severa, las mejores opciones son una artroplastia total de hombro anatómica20 o artroplastia total reversa de hombro.21

Giorgio Ippolito recomienda el procedimiento de McLaughlin artroscópico en luxaciones posteriores irreducibles agudas (menos de tres semanas) con una pérdida ósea menor al 20%. Sugieren el procedimiento modificado por Neer abierto en casos de luxaciones posteriores crónicas (mayor a tres semanas desde la lesión) y con pérdida ósea entre el 20 y 40%. De acuerdo con la escala de Constant, los resultados funcionales finales de nuestro paciente son comparables con los resultados obtenidos en la literatura por Giorgio Ippolito y colaboradores,22 quienes compararon el resultado funcional de 10 pacientes en total, seis sometidos al procedimiento de McLaughlin modificado por Neer y cuatro tratados con McLaughlin artroscópico, obteniendo resultados de Constant score de 81.3 ± 9.8, sin encontrar diferencias en la puntuación entre los pacientes tratados de manera artroscópica versus los que se trataron de manera abierta.



CONCLUSIóN

El tratamiento del Hill-Sachs reverso crónico en este paciente, con el procedimiento de McLaughlin abierto, demostró buenos resultados funcionales sin la necesidad de realizar la técnica modificada de Neer.


REFERENCIAS (EN ESTE ARTÍCULO)

  1. Cooper A. On the dislocations of the os humeri upon the dorsum scapulae, and upon fractures near the shoulder joint. Guys Hosp Rep. 1839; 4: 265-284.

  2. Guehring M, Lambert S, Stoeckle U, Ziegler P. Posterior shoulder dislocation with associated reverse Hill-Sachs lesion: treatment options and functional outcome after a 5-year follow up. BMC Musculoskelet Disord. 2017; 18 (1): 442.

  3. McLaughlin HL. Posterior dislocation of the shoulder. J Bone Joint Surg Am [Internet]. 1952; 34 (3): 584-590. Available in: https://journals.lww.com/jbjsjournal/fulltext/1952/34030/posterior_dislocation_of_the_shoulder.11.aspx

  4. Rinaldi VG, Coliva F, Favero A, Alesi D, Caravelli S, Zaffagnini S et al. From diagnosis to decision-making: a systematic review of the management of reverse Hill-Sachs lesions after posterior shoulder dislocations. J Clin Med. 2024; 13 (7): 2085.

  5. Basal O, Dincer R, Turk B. Locked posterior dislocation of the shoulder: A systematic review. EFORT Open Rev. 2018; 3 (1): 15-23.

  6. Backer HC, Galle SE, Maniglio M, Rosenwasser MP. Biomechanics of posterior shoulder instability - current knowledge and literature review. World J Orthop. 2018; 9 (11): 245-254.

  7. Haritinian EG, Stoica IC, Popescu R, Gheorghievici GL, Nové-Josserand L. Treatment and outcomes of chronic locked posterior shoulder dislocations: a retrospective case series. BMC Musculoskelet Disord. 2023; 24 (1): 82.

  8. Aydin N, Enes Kayaalp M, Asansu M, Karaismailoglu B. Treatment options for locked posterior shoulder dislocations and clinical outcomes. EFORT Open Rev. 2019; 4 (5): 194-200.

  9. Cicak N. Posterior dislocation of the shoulder. J Bone Joint Surg Br. 2004; 86 (3): 324-332.

  10. Ryan J, Whitten M. Bilateral locked posterior shoulder dislocation in a footballer. Br J Sports Med. 1997; 31 (1): 74-75.

  11. Kelly MJ, Holton AE, Cassar-Gheiti AJ, Hanna SA, Quinlan JF, Molony DC. The aetiology of posterior glenohumeral dislocations and occurrence of associated injuries: a systematic review. Bone Joint J. 2019; 101-B (1): 15-21.

  12. Gerber C, Catanzaro S, Jundt-Ecker M, Farshad M. Long-term outcome of segmental reconstruction of the humeral head for the treatment of locked posterior dislocation of the shoulder. J Shoulder Elbow Surg. 2014; 23 (11): 1682-1690.

  13. Hawkins RJ, Angelo RL. Displaced proximal humeral fractures. Selecting treatment, avoiding pitfalls. Orthop Clin North Am. 1987; 18 (3): 421-431.

  14. Martinez AA, Navarro E, Iglesias D, Domingo J, Calvo A, Carbonel I. Long-term follow-up of allograft reconstruction of segmental defects of the humeral head associated with posterior dislocation of the shoulder. Injury. 2013; 44 (4): 488-491.

  15. Buda M, Coco V, Grassi A, Filanti M, Musiani C, Solaro L et al. McLaughlin technique and humeral grafting provide similar results for treatment of reverse Hill-Sachs lesions: A systematic review. J Exp Orthop. 2024; 11 (1): e12001.

  16. Khira YM, Salama AM. Treatment of locked posterior shoulder dislocation with bone defect. Orthopedics. 2017; 40 (3): e501-e505.

  17. Aksekili MA, Ugurlu M, Isik C, Yüksel K, Bicici V, Bozkurt M. Posterior bone block of chronic locked posterior shoulder dislocations with glenoid augmentation: a retrospective evaluation of ten shoulders. Int Orthop. 2016; 40 (4): 813-820.

  18. Ziran B, Nourbakhsh A. Proximal humerus derotational osteotomy for internal rotation instability after locked posterior shoulder dislocation: early experience in four patients. Patient Saf Surg. 2015; 9: 15.

  19. Foruria AM, Antuña S, Rodríguez-Merchán EC. Shoulder hemiarthroplasty: review of basic concepts. Rev Esp Cir Ortop Traumatol. 2008; 52 (6): 392-402.

  20. Lukasiewicz P, McFarland E, Hassebrock JD, McCarthy TP, Sylvia SM, McCarty EC et al. Anatomic glenohumeral arthroplasty: State of the art. J ISAKOS. 2023; 8 (5): 296-305.

  21. Franceschi F, Giovannetti de Sanctis E, Gupta A, Athwal GS, Di Giacomo G. Reverse shoulder arthroplasty: State-of-the-art. J ISAKOS. 2023; 8 (5): 306-317.

  22. Ippolito G, Zitiello M, De Marinis G, D'Angelo F, Surace MF, Ronga M et al. Posterior shoulder dislocation with engaging reverse Hill-Sachs lesion: a retrospective study of ten patients treated with arthroscopy or open reduction and stabilization. J Clin Med. 2021; 10 (7): 1410.



AFILIACIONES

1 Departamento de Artroscopia, Hospital Regional "Lic. Adolfo López Mateos", Instituto de Seguridad y Servicios Sociales de los Trabajadores del Estado. Universidad Nacional Autónoma de México. Ciudad de México, México.

2 Residente adscrito.

3 Médico especialista adscrito.
ORCID:

4 0009-0000-0228-2556

5 0009-0007-6947-9557

6 0009-0007-5206-2640

7 0009-0008-7599-4720

8 0009-0009-6985-514X



Si desea consultar los datos complementarios de este artículo, favor de dirigirse a editorial.actamedica@saludangeles.mx



CORRESPONDENCIA

Carlos Omar Morales Calderón. Correo electrónico: mcarlos2002@gmail.com




Recibido: 16-09-2024. Aceptado: 07-10-2024.

Figura 1
Figura 2
Figura 3
Figura 4

2020     |     www.medigraphic.com

Mi perfil

C?MO CITAR (Vancouver)

Acta Med. 2025;23

ARTíCULOS SIMILARES

CARGANDO ...