medigraphic.com
ENGLISH

Revista Mexicana de Pediatría

ISSN 0035-0052 (Impreso)
  • Mostrar índice
  • Números disponibles
  • Información
    • Información general        
    • Directorio
  • Publicar
    • Instrucciones para autores        
    • Envío de artículos
  • medigraphic.com
    • Inicio
    • Índice de revistas            
    • Registro / Acceso
  • Mi perfil

2025, Número 5

<< Anterior Siguiente >>

Rev Mex Pediatr 2025; 92 (5)


Empiema necessitatis: complicación poco frecuente en niños

Jaramillo-Cerezo, Andrea1; Londoño-Urrea, Sara2; Pérez-García, Pamela2; Manjarrez-Martínez, Ana3; Márquez, Kelly4; Ochoa-Gaviria, Jorge1; Parra-Buitrago, Andrea1,2
Texto completo Cómo citar este artículo 10.35366/122099

DOI

DOI: 10.35366/122099
URL: https://dx.doi.org/10.35366/122099
Artículos similares

Idioma: Español
Referencias bibliográficas: 17
Paginas: 193-196
Archivo PDF: 997.80 Kb.


PALABRAS CLAVE

empiema necessitatis, derrame pleural, neumonía, complicaciones, niños.

RESUMEN

Introducción: el empiema necessitatis es una complicación infrecuente de la neumonía. Ocurre cuando el empiema del espacio pleural se extiende a tejidos blandos adyacentes, creando una fístula entre la cavidad pleural y la piel. Descripción de dos casos: el primer paciente era un preescolar previamente sano, con cuadro clínico de fiebre y aparición de masa en región torácica. Por estudios de imagen se llegó al diagnóstico de empiema necessitatis, requiriendo decorticación del lóbulo inferior izquierdo y manejo antimicrobiano. Aislamiento de Serratia marcescens. El segundo paciente tenía antecedente de enfermedad granulomatosa; el síntoma principal fue la aparición de masa en cara anterior y posterior de tórax. El diagnóstico fue por estudios de imagen, identificando compromiso óseo; el aislamiento fue de Aspergillus flavus. El tratamiento fue con drenaje y con voriconazol durante seis meses. Conclusión: el empiema necessitatis se debe tener presente en pacientes con neumonía complicada, a fin de integrar el diagnóstico y otorgar manejo oportuno.



INTRODUCCIóN

El empiema necessitatis (en latín, "necesita o necesidad") es una complicación poco frecuente en pacientes con neumonía, y es más raro en población pediátrica.1 Ocurre cuando el empiema (pus) pasa del espacio pleural a los tejidos blandos adyacentes, creando una fístula entre la cavidad pleural y la piel, con posterior formación de un absceso subcutáneo, el cual usualmente se ubica en la pared torácica, anterolateral.1-3

Esta complicación fue descrita por primera vez en 1640 por Guillan De Baillon, y posteriormente por Laennec en 1849.3 En 1940 se describieron 115 casos, en donde el 73% eran secundarios a infección tuberculosa.3,4 Los principales agentes etiológicos descritos son las infecciones por Mycobacterium tuberculosis y Actinomyces israelii,5,6 y con menor frecuencia, Staphylococcus aureus, Streptococcus pneumoniae, Escherichia coli, Pseudomonas aeruginosa, Klebsiella pneumoniae y anaerobios.6

Dado que hay pocos casos publicados en niños, el objetivo de este reporte es informar de dos pacientes que presentaron esta complicación, a fin de ampliar su conocimiento para que sirva de base en la identificación de otros casos similares.



PRESENTACIóN DE CASOS

Caso 1: paciente femenina de 19 meses, sin antecedentes de importancia. Su padecimiento es de seis días de evolución con aparición en región toracoabdominal lateral izquierda de una masa indurada y dolorosa, la cual únicamente se acompañó de fiebre (máximo de 39.4°). Al examen físico: peso de 11 kg (P52) y talla de 83 cm (P60); se identificó dificultad respiratoria, así como disminución del murmullo vesicular en base pulmonar izquierda. La masa tenía dimensiones de 10 × 10 cm aproximadamente, y presentaba eritema, calor y dolor a la palpación; además se observó una pápula blanquecina central, pero sin secreción. En los paraclínicas se detectó leucocitosis, neutrofilia (12,400 cel/μL), trombocitosis y elevación de proteína C reactiva (96 mg/L). Los hemocultivos fueron negativos.

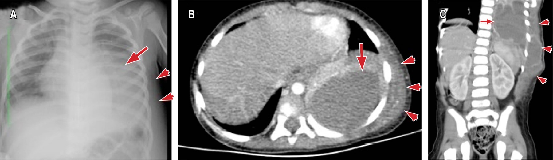
Por ecografía, la masa toracoabdominal era de apariencia líquida, heterogénea, tabicada, de bordes irregulares, sugestiva de colección de partes blandas, además se identificó derrame pleural izquierdo, con contenido particulado, que estaba adyacente a la colección. Por su parte, en la radiografía de tórax se observó opacidad de la mitad inferior del pulmón izquierdo -sugestivo de derrame pleural-, y engrosamiento de los tejidos blandos del hemitórax (Figura 1A). Mientras que en la tomografía de tórax contrastada (Figura 1B y 1C) se delimitó una colección pleural tabicada, de pared gruesa, ubicada en tercio inferior del hemitórax izquierdo, la cual tenía comunicación a tejidos blandos de la pared toracoabdominal del mismo lado. No se identificaron lesiones líticas en la pared costal. Con los hallazgos, se integró el diagnóstico de empiema necessitatis, iniciando manejo antimicrobiano empírico con oxacilina y clindamicina.

Al día siguiente hubo drenaje espontáneo de 200 mL de material purulento. Se realiza desbridamiento y decorticación del lóbulo inferior izquierdo, con lo cual se logra expansión pulmonar; también se decidió la resección de 2 cm de la décima costilla izquierda, por evidencia de rotura de la cortical.

El citoquímico del líquido pleural fue compatible con exudado: pH 7.43, glucosa 157 mg/dL, DHL 714 U/L, proteínas totales 3.62 g/dL, leucocitos 2,770 cel/μL. Por cultivo, se aisló Serratia marcescens, productora de cefalosporinasa, sensible a cefepime, carbapenémicos y amikacina. En conjunto con infectología se inició cefepime, además de continuar con clindamicina por la posibilidad de coinfección por S. aureus. El manejo antibiótico fue 21 días, obteniendo una respuesta adecuada.

Caso 2: paciente masculino de cinco años, quien tenía antecedente de enfermedad granulomatosa crónica, por lo que tenía tratamiento con interferón gamma y profilaxis con trimetoprima sulfametoxazol de manera irregular.

El padecimiento era de tres semanas de evolución, con la identificación de una masa ubicada en la cara anterior y posterior izquierda del tórax. Su crecimiento había sido progresivo, pero sin eritema, calor local o fiebre, pero se describió pérdida de un kg de peso. Al examen físico, la masa tenía dimensiones de 8 × 6 cm en la pared torácica posterior, y de 10 × 8 cm en la parte anterior, que se encontraba dolorosa, adherida a planos profundos y de consistencia dura.

En estudios de laboratorio, había leucocitosis moderada y neutrofilia (8,600 cel/μL), además de anemia, trombocitosis y elevación de la proteína C reactiva (92 mg/L).

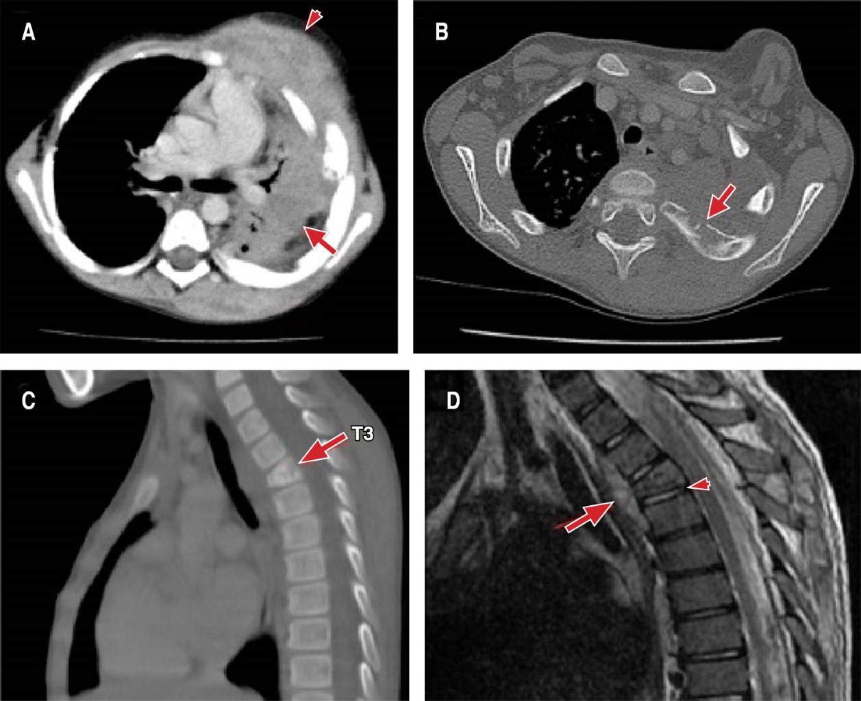
Se realizó tomografía de tórax, evidenciando zona de consolidación -sin realce- del lóbulo superior izquierdo con broncograma aéreo, sugestivo de neumonía necrosante. También se identificaron lesiones líticas en diferentes costillas del lado izquierdo, y lisis en la vértebra torácica T3, así como abscesos en región anterior y posterior del hemitórax izquierdo (Figura 2A-2C). Mediante imágenes de resonancia de columna cérvico-torácica se demostró compromiso de los tejidos blandos prevertebrales a la altura de T3, pero descartando problemas en el disco intervertebral T3-T4 (Figura 2D). Con estos hallazgos se llegó al diagnóstico de espondilitis en T3, osteomielitis de costillas y neumonía necrosante con empiema necessitatis secundario. Se inició manejo con clindamicina.

Se realizó drenaje de material purulento de las colecciones de la pared torácica. En los cultivos hubo aislamiento de Aspergillus flavus. El servicio de infectología indicó manejo con voriconazol por seis meses, llegando a la curación en ese periodo.



DISCUSIóN

El empiema necessitatis es una complicación rara, pero ocurre más en población adulta con factores de riesgo, como el consumo de alcohol, diabetes mellitus tipo 2, enfermedad pulmonar obstructiva crónica, tuberculosis y bronquiectasias; al respecto, ninguno de los dos pacientes que presentamos tenía alguna de estas condiciones.1,7

Esta complicación ocurre cuando el empiema pasa a través de un espacio intercostal, originando un absceso subcutáneo y finalmente, drena a través de la piel; la localización más frecuente es en la pared torácica anterolateral.1,3 Otras ubicaciones incluyen a la pared abdominal, espacio paravertebral, vértebras, esófago, bronquios, mediastino, diafragma, pericardio, flancos y retroperitoneo.3,7-9

La mayoría de los reportes en la literatura son casos aislados. Una revisión de casos publicados en 2004 encontró que los principales agentes etiológicos fueron M. tuberculosis (35%) y Actinomyces (25%). El 40% restante por Escherichia coli, Aspergillus, Staphylococcus aureus y Streptococcus pneumoniae.10-12 Pseudomonas aeruginosa se ha descrito principalmente en pacientes inmunosuprimidos, en pacientes trasplantados de pulmón.12,13 En la revisión de la literatura, no se identificaron otros casos reportados con Serratia marcescens, como se documentó en uno de los pacientes que presentamos.

Por otro lado, es mucho más raro que los casos de empiema necessitatis sean de etiología fúngica; esto sucedió en el otro paciente que describimos con aislamiento de Aspergillus flavus, quien tenía enfermedad granulomatosa crónica. Este paciente es similar a otros casos publicados con esta misma etiología, en donde se ha señalado que el cuadro clínico consiste en fiebre, masa dolorosa y hallazgos pulmonares localizados.14,15

El diagnóstico se basa en una anamnesis exhaustiva y valoración clínica con un alto índice de sospecha.16 Como describe Nakamura et al,1 es habitual pensar inicialmente en una infección de piel y tejidos blandos y, por tanto, son fundamentales los estudios de imagen.16 La tomografía contrastada de tórax es la imagen de elección para demostrar la continuidad de la colección entre la pared torácica y el espacio pleural, lo cual es de ayuda para guiar el tratamiento, como los dos casos.16,17

Además del manejo médico, el tratamiento implica el drenaje quirúrgico del absceso, por toracoscopía y decorticación, e incluso hasta un drenaje quirúrgico amplio. La elección de la vía de acceso se individualiza según la extensión de la infección, estadio del empiema y de la experiencia del equipo quirúrgico.3,4,16


REFERENCIAS (EN ESTE ARTÍCULO)

  1. Nakamura T, Ishikawa K, Murata N, Sato K, Kitamura A, Mori N, Jinta T. Empyema necessitans caused by methicillin-resistant Staphylococcus aureus: a case report and literature review. BMC Infect Dis. 2024; 24(1): 157. doi: 10.1186/s12879-024-09062-0.

  2. Bokhary H, Chaudhry S, Kanigicherla AP, Tariq K, Gooseman MR. Empyema necessitans: a rare complication of chest drains. Cureus. 2024; 16(9): e69931. doi: 10.7759/cureus.69931.

  3. Shieba Y, Ramadan A. Empyema necessitans in a pediatric patient: a case study. Int J Surg Case Rep. 2023; 112: 108932. doi: 10.1016/j.ijscr.2023.108932.

  4. Menon P, Kanojia RP, Rao KL. Empyema thoracis: surgical management in children. J Indian Assoc Pediatr Surg. 2009; 14(3): 85-93. doi: 10.4103/0971-9261.57698.

  5. Rendon A, Rendon RA, Bauerle O. Empyema necessitatis: unique presentation in a coccidioidomycosis case. Am J Respir Crit Care Med. 2015; 191(8): 964-966. doi: 10.1164/rccm.201411-1973LE.

  6. Akgül AG, Orki A, Orki T, Yüksel M, Arman B. Approach to empyema necessitatis. World J Surg. 2011; 35(5): 981-984. doi: 10.1007/s00268-011-1035-5.

  7. Llamas-Velasco M, Domínguez I, Ovejero E, Pérez-Gala S, García-Diez A. Empyema necessitatis revisited. Eur J Dermatol. 2010; 20(1): 115-119. doi: 10.1684/ejd.2010.0809.

  8. Moore FO, Berne JD, McGovern TM, Ravishankar S, Slamon NB, Hertzog JH. Empyema necessitatis in an infant: a rare surgical disease. J Pediatr Surg. 2006; 41(7): e5-7. doi: 10.1016/j.jpedsurg.2006.03.013.

  9. Dietrich DW, Auld DB, Mermel LA. Community-acquired methicillin-resistant Staphylococcus aureus in southern New England children. Pediatrics. 2004; 113(4): e347-e352. doi: 10.1542/peds.113.4.e347.

  10. Ellebrecht DB, Pross MMF, Schierholz S, Palade E. Actinomyces meyeri empyema necessitatis-a case report and review of the literature. Surg J (N Y). 2019; 5(2): e57-e61. doi: 10.1055/s-0039-1693653.

  11. Pinarli FG, Mutlu B, Celenk C, Yildiz L, Elli M, Dagdemir A, Acar S. Pulmonary actinomycosis mimicking chest wall tumor in a child. Jpn J Infect Dis. 2005; 58(4): 247-249.

  12. Freeman AF, Ben-Ami T, Shulman ST. Streptococcus pneumoniae empyema necessitatis. Pediatr Infect Dis J. 2004; 23(2): 177-119. doi: 10.1097/01.inf.0000110625.41967.cc.

  13. Noyes BE, Michaels MG, Kurland G, Armitage JM, Orenstein DM. Pseudomonas cepacia empyema necessitatis after lung transplantation in two patients with cystic fibrosis. Chest. 1994; 105(6): 1888-1891. doi: 10.1378/chest.105.6.1888.

  14. Lampo N, Spiliopoulos A, Licker M, Tschopp JM. Management of postpneumonectomy Aspergillus empyema extending into the thoracic wall: a plea for radical surgery and caution when using liposomal amphotericin B. Interact Cardiovasc Thorac Surg. 2003; 2(4): 682-684. doi: 10.1016/S1569-9293(03)00207-X.

  15. Krishnan-Natesan S, Chandrasekar PH. Current and future therapeutic options in the management of invasive aspergillosis. Drugs. 2008; 68(3): 265-282. doi: 10.2165/00003495-.-

  16. Barberis C, Florencia Veiga M, Tolosa D, Vay C, Schuarzberg P. Empiema necessitatis por Campylobacter rectus. Identificación rápida por MALDI-TOF MS. Rev Argent Microbiol. 2022; 54(4): 305-308. doi: 10.1016/j.ram.2022.03.001.

  17. Stallworth J, Mack E, Ozimek C. Methicillin-resistant Staphylococcus aureus empyema necessitatis in an eight-month-old child. South Med J. 2005; 98(11): 1130-1131. doi: 10.1097/01.smj.0000182504.67855.3b.



AFILIACIONES

1 Hospital Pablo Tobón Uribe, Medellín

2 Clínica Las Américas Auna, Medellín

3 Universidad del Norte, Barranquilla

4 Clínica Santa María del Lago. Bogotá, Colombia.



Conflicto de intereses: los autores declaran que no tienen.



CORRESPONDENCIA

Andrea Jaramillo-Cerezo. E-mail: andreajc97@gmail.com




Recibido: 31/05/2025. Aceptado: 18/09/2025

Figura 1
Figura 2

2020     |     www.medigraphic.com

Mi perfil

C?MO CITAR (Vancouver)

Rev Mex Pediatr. 2025;92

ARTíCULOS SIMILARES

CARGANDO ...