medigraphic.com
ENGLISH

Revista Mexicana de Cirugía Endoscópica

ISSN 1665-2576 (Impreso)
  • Mostrar índice
  • Números disponibles
  • Información
    • Información general        
    • Directorio
  • Publicar
    • Instrucciones para autores        
    • Envío de artículos
  • medigraphic.com
    • Inicio
    • Índice de revistas            
    • Registro / Acceso
  • Mi perfil

2025, Número 1-4

<< Anterior Siguiente >>

Rev Mex Cir Endoscop 2025; 26 (1-4)


Esplenectomía mano asistida para el tratamiento de linfangioma difuso. Reporte de caso

Cázares-Montañez, Jaime Eduardo1,3; Iturbide-Mauricio, Leonel2,4; Guerrero-Mercado, Abigail2,5; Cabrera-Martínez, Ulises1,6; Domínguez-Cabrera, Guillermo1,7
Texto completo Cómo citar este artículo 10.35366/122145

DOI

DOI: 10.35366/122145
URL: https://dx.doi.org/10.35366/122145
Artículos similares

Idioma: Español
Referencias bibliográficas: 21
Paginas: 34-38
Archivo PDF: 1751.57 Kb.


PALABRAS CLAVE

linfangioma esplénico, malformación benigna, laparoscopía manoasistida, caso clínico.

RESUMEN

Introducción: el linfangioma esplénico es una malformación benigna, que rara vez involucra órganos viscerales. La etiología regularmente es idiopática y suele cursar de forma asintomática; sin embargo, puede generar sintomatología secundaria al gran tamaño. Este caso resulta interesante por su poca frecuencia de presentación y resalta la utilidad de los abordajes manoasistidos por laparoscopía. Caso clínico: se presenta el caso de mujer de 27 años con cuadro de dolor abdominal secundario a esplenomegalia que fue manejada mediante abordaje laparoscópico manoasistido y tuvo una evolución favorable. Los resultados histopatológicos demostraron linfangioma esplénico difuso. Conclusiones: el linfangioma esplénico difuso es una entidad rara poco frecuente en adultos. En este caso clínico con esplenomegalia por linfangioma difuso, el abordaje laparoscópico manoasistido favoreció la resolución quirúrgica del paciente sin eventualidades de morbimortalidad.



ABREVIATURAS:

  • HALS = cirugía laparoscópica mano asistida (hand assisted laparoscopic surgery, por sus siglas en inglés)
  • EL = esplenectomía laparoscópica



INTRODUCCIóN

Los linfangiomas son malformaciones benignas de los vasos linfáticos. En menos de 10% de los casos se involucran órganos viscerales como parte del síndrome de linfangiomatosis, como el mediastino, el tracto gastrointestinal y el retroperitoneo. Sin embargo, rara vez involucran el bazo.

La cirugía laparoscópica mano asistida (HALS, hand assisted laparoscopic surgery, por sus siglas en inglés) es una variante de los abordajes laparoscópicos, que conserva las ventajas de las cirugías de mínima invasión, ésta permite introducir la mano del cirujano, mientras se realizan las maniobras de disección bajo control de la visión directa. Presentamos el caso de una paciente joven con linfangioma esplénico difuso que se resolvió con la técnica HALS y se revisa la literatura asociada.



PRESENTACIóN DEL CASO

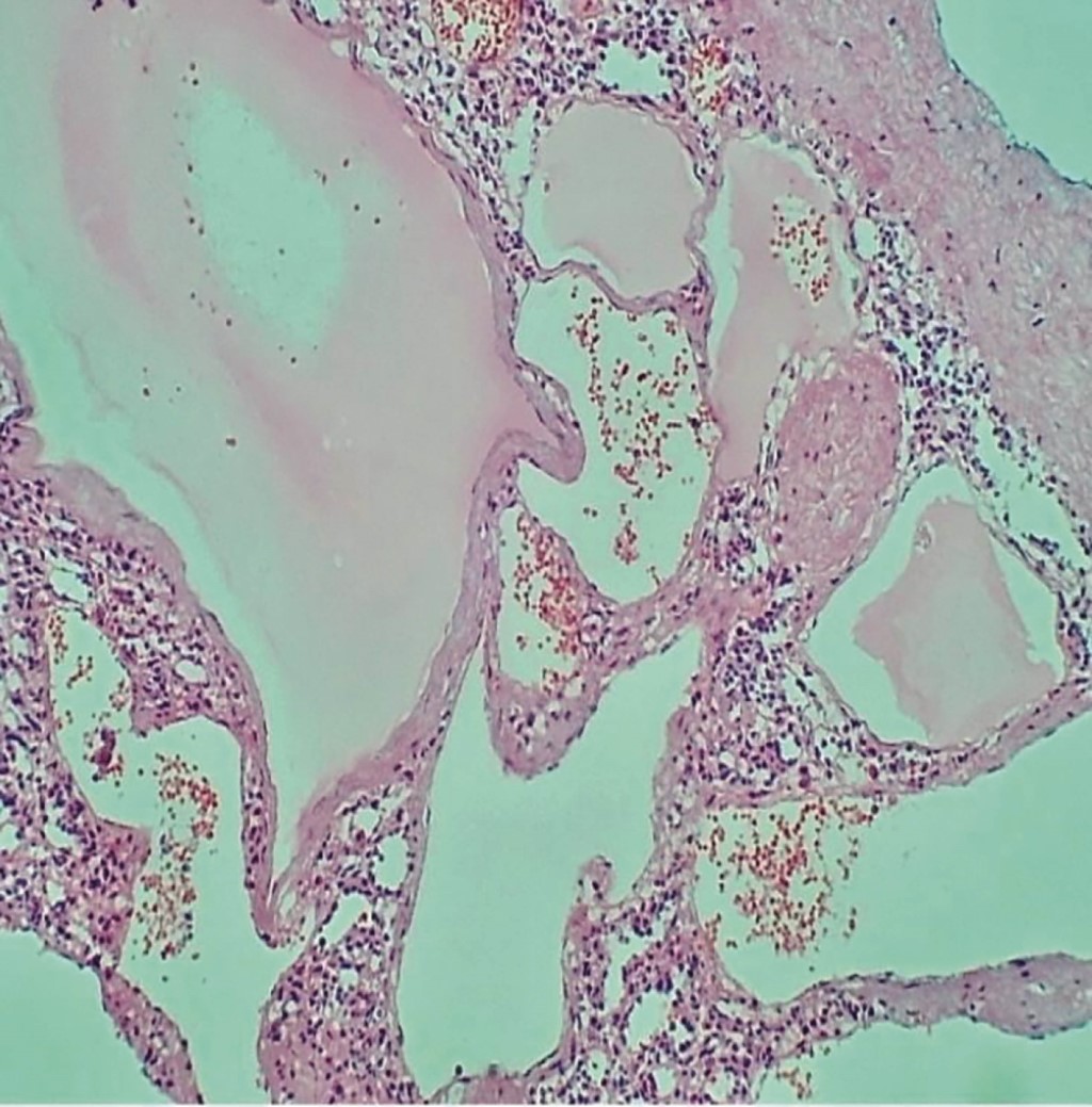
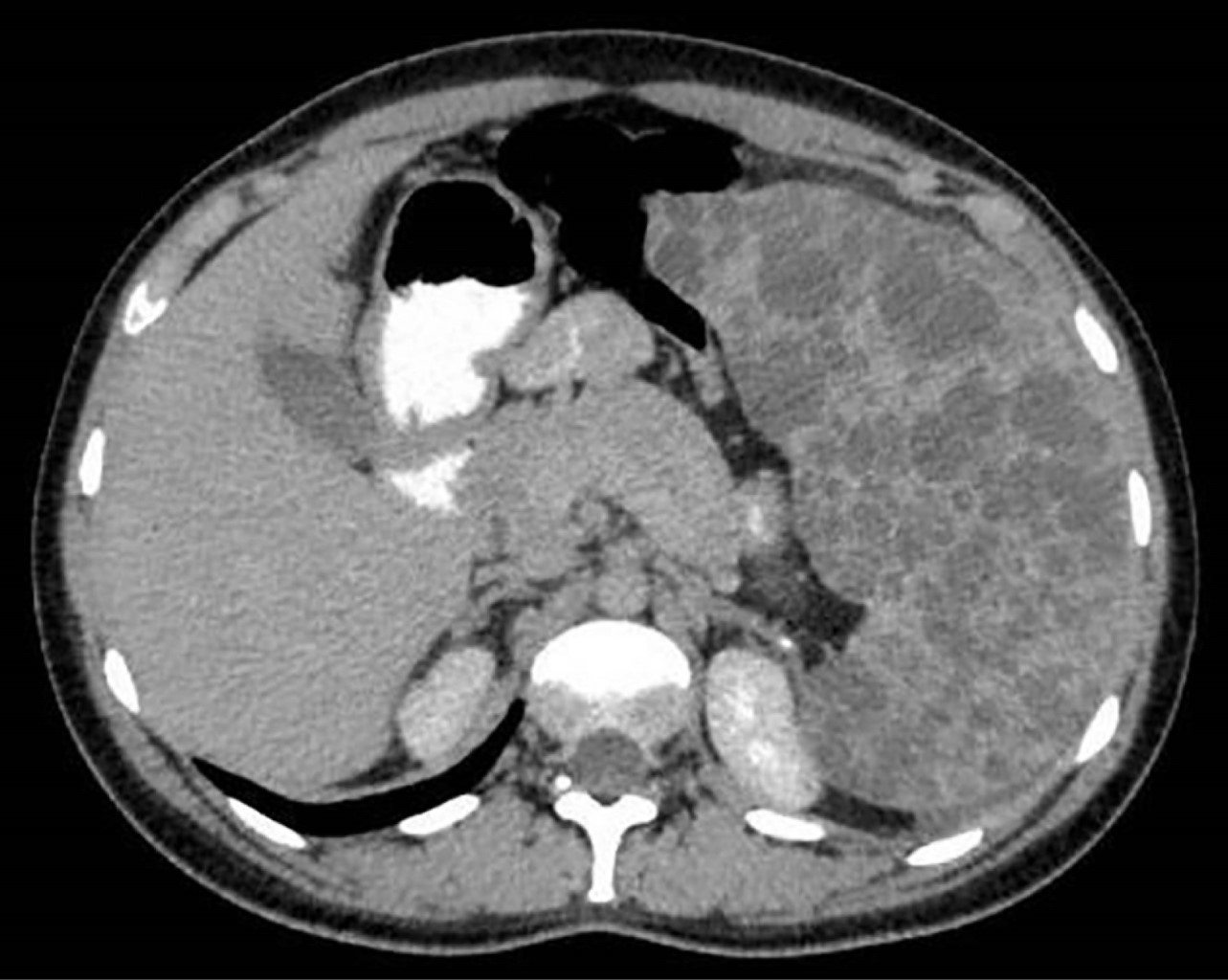
Presentamos el caso de una mujer de 27 años de edad sin antecedentes cronicodegenerativos ni quirúrgicos de importancia. Inició su padecimiento de un mes de evolución, con presencia de cefalea leve, malestar al comer y náuseas, por lo que acudió a valoración médica no especializada. Se prescribe una ecografía abdominal que reporta un tumor esplénico como hallazgo principal. Es referida a consulta médica de especialidad en cirugía general. A la exploración física se encontró abdomen globoso a expensas de visceromegalia, blando, pero no depresible en cuadrante superior y flanco izquierdos, no doloroso, sin datos de irritación peritoneal, extremidades íntegras, con hipotonía en extremidad pélvica izquierda y presencia de hemangioma subcutáneo en miembros pélvicos, sin limitación en los arcos de movimiento. Se realizaron estudios de laboratorio que reportaron de relevante sólo anemia leve (11.6 g/dL) y leucopenia (3.2 × 109/L). La tomografía de abdomen simple reportó esplenomegalia severa, con múltiples imágenes nodulares e hiperdensas, asociado a heterogeneidad del plano graso peritoneal del interior del hueco pélvico, observando imágenes nodulares hiperdensas sugerentes de tejido ganglionar calcificado (Figura 1). Se decidió programar a la paciente para esplenectomía laparoscópica mano asistida por el tamaño del tumor, previo protocolo quirúrgico completo se ingresó a paciente a quirófano, se inició procedimiento, con abordaje laparoscópico abierto, supraumbilical y en línea media con incisión de 8 cm disecando por planos hasta la cavidad, bajo visión directa se colocaron trocares de trabajo, disección mano asistida de hilio esplénico y las fijaciones ligamentosas con energía ultrasónica y bipolar avanzada presentando hemostasia difícil debido a las dimensiones del bazo. Se colocaron Hem-O-Locks proximales y distales, así como clips de titanio, obteniendo hemostasia, se introdujo pieza quirúrgica en bolsa extractora, y se extrajo de la cavidad peritoneal mediante morcelación manual, sin complicaciones, se verifica hemostasia y limpieza de cavidad con 3 litros de solución estéril (Figura 2). Se retiraron trócares y se afrontaron incisiones por planos. La paciente se mantuvo con evolución favorable durante su estancia hospitalaria, sin referir ninguna sintomatología, se egresó al tercer día del periodo posquirúrgico. El resultado de patología reportó bazo multifragmentado y deformado, 33 × 20 × 8 cm de tamaño, peso de 1,180 gramos, con linfagioma esplénico difuso, áreas de parénquima esplénica con esplenitis crónica con congestión y dilatación vascular (Figuras 3, 4 y 5). Se continuó con seguimiento por la consulta externa a los siete y 21 días de la cirugía con evolución favorable. Al día 10 se sometió a doble esquema de vacunación contra Streptococcus pneumonie (Neumococo) y Neisseria meningitidis (Meningococo) sin eventos adversos.



DISCUSIóN

Entre 80-90% de los casos de linfangiomas esplénicos ocurren en niños menores de dos años, en los pacientes adultos son muy raros.1 La mayoría son idiopáticos, de naturaleza benigna y asintomática, por lo tanto, se tratan con un manejo conservador. Sólo casos raros causan esplenomegalia.2 El diagnóstico final se basa en una combinación de hallazgos clínicos, radiológicos e histopatológicos. Con la comprensión de la importancia de las funciones inmunes esplénicas tanto en niños como en adultos, se han producido cambios con respecto al manejo quirúrgico y el abordaje de las lesiones esplénicas.3-6 En cuanto a las características por imagen, son lesiones hipo o anecoicas detectadas por ecografía, masas de baja atenuación y sin realce detectadas por tomografía, e intensidad de señal alta en T2 y baja en T1 en la resonancia magnética (RMN).7 En algunos casos también se describen diferentes características de imagen de los linfangiomas esplénicos, como una masa sólida-quística, ecogenicidad levemente aumentada en la ecografía y realce del contraste de relleno en las imágenes de tomografía tardías y resonancia magnética. Sin embargo, un linfangioma esplénico solitario es difícil de diferenciar de un hemangioma quístico esplénico o un tumor metastásico.8,9

Se recomienda realizar una esplenectomía laparoscópica (EL) cuando se sospecha que un tumor esplénico es benigno o limítrofe.10,11 Desde su primera descripción por Delaitre y Maignien, la EL ha ganado popularidad como el tratamiento de elección para diversas enfermedades benignas y malignas. Debido al mínimo trauma de la pared abdominal, presenta varias ventajas en comparación con la técnica abierta: acelera la recuperación posquirúrgica al reducir el dolor y mejora la función pulmonar, lo que resulta con una menor estancia hospitalaria y una menor discapacidad. Además, presenta una ventaja estética derivada de la ausencia de una cicatriz grande y visible.12-16 La EL se considera en la actualidad el estándar de oro para los bazos normales a moderadamente agrandados. Sin embargo, en el caso de afecciones más desafiantes, como megabazos o pacientes cirróticos, el enfoque laparoscópico se asocia con un alto riesgo de sangrado intraoperatorio y posoperatorio, alta tasa de conversión y una alta morbilidad.17 La HALS es un abordaje terapéutico seguro para la extirpación de megabazos de cualquier tamaño. La técnica de HALS puede superar algunas limitaciones de la EL, reduciendo el riesgo de conversión a cirugía abierta y dando como resultado una evolución posoperatoria similar a la de la laparoscopía convencional. La HALS puede ofrecerse selectivamente a cualquier paciente con esplenomegalia, independientemente del tamaño esplénico, con bajo riesgo de conversión a cirugía abierta.18 Esta técnica implica hacer una incisión de minilaparotomía de 7-8 cm que permite la introducción de la mano del cirujano en el abdomen a través de dispositivos de puerto de mano disponibles comercialmente.19 El uso de la mano no dominante aumenta el control, la exposición y la manipulación local. En particular, permite mejorar la precisión de la manipulación por sentido táctil directo, y al mantener la retroalimentación táctil y la coordinación mano-ojo, el cirujano puede diseccionar las adherencias alrededor del bazo, rodear el pedículo esplénico y el espacio debajo de la cola del páncreas con la mano en la cavidad abdominal.18 La cirugía mínimamente invasiva debe considerarse siempre como el mejor abordaje para la esplenectomía en caso de esplenomegalia de cualquier tamaño. Los límites de la técnica laparoscópica tradicional pueden ser superados cada vez más por las ventajas técnicas del sistema robótico o por el uso de una técnica HALS, dependiendo de la experiencia del cirujano y del tamaño del bazo o de la enfermedad.20 En un estudio realizado por Abdulmalik M.S. Altaf y colaboradores se encontró que la morbilidad asociada con la técnica de HALS es comparable a la de la EL, según las tasas de complicaciones posoperatorias, mortalidad, conversiones a cirugía abierta y la necesidad de transfusión sanguínea. La mayor duración de la cirugía y la estancia hospitalaria posoperatoria en el grupo HALS probablemente están relacionadas con el mayor peso del bazo, la edad del paciente y la proporción de pacientes con diagnóstico de malignidad en este grupo.21



CONCLUSIONES

La técnica de HALS es poco reportada en el ámbito mundial, concluimos que en caso de nuestra paciente fue una técnica segura que conservó los beneficios de una cirugía de mínimo acceso; sin embargo, la elección del tratamiento debe individualizarse en función del tamaño, ubicación y síntomas del linfangioma, así como del estado de salud general. Se recomienda un enfoque multidisciplinario, para optimizar los resultados y minimizar las complicaciones.



AGRADECIMIENTOS

A todo el personal médico y de enfermería del Corporativo Hospital Satélite por todo su trabajo y buen trato a los pacientes.


REFERENCIAS (EN ESTE ARTÍCULO)

  1. Al-Shaikh SA, Mubarak AM, Harb ZF. Splenic lymphangioma in an adult. Saudi Medical Journal. 2017; 38: 1148-1152. Available in: https://doi.org/10.15537/smj.2017.11.20625

  2. Barbaros U, Deveci U, Ozlük Y, Tiriyaki B, Erbil Y, Dinccag A et al. Laparoscopic treatment of splenic lymphangiomas: report of three cases. G Chir. 2007; 28: 403-406.

  3. Dudi-Venkata NN, Houli N, Weinberg L, Nikfarjam M. Laparoscopic partial splenectomy performed by monopolar saline-cooled radiofrequency coagulation. J Laparoendosc Adv Surg Tech A. 2014; 24: 502-505. Available in: https://doi.org/10.1089/lap.2014.0143

  4. Efared B, Bako ABA, Younssa H, Boubacar I, Zabeirou A, Koura HH et al. Splenic lymphangiomas as a common indication for splenectomy: a case series with literature review. BMC Surg. 2022; 22: 446. Available in: https://doi.org/10.1186/s12893-022-01898-0

  5. Giovagnoni A, Giorgi C, Goteri G. Tumours of the spleen. Cancer Imaging. 2005; 5: 73-77. doi: 10.1102/1470-7330.2005.0002.

  6. Li Y, Tian Y, Meng L, Cai H, Wang X, Cai Y et al. The safety and feasibility of laparoscopic partial splenectomy: analysis of perioperative indications from different vascular subtypes and improvement of surgical approach. Surg Endosc. 2024; 38: 7329-7340. doi: 10.1007/s00464-024-11270-3. Epub 2024 Oct 21. Erratum in: Surg Endosc. 2025 Mar 25. Available in: https://doi.org/10.1007/s00464-024-11270-3

  7. Lima M, Reinberg O, Ruggeri G, De Buys Roessingh AS, Gargano T, Soler L et al. 3D virtual rendering before laparoscopic partial splenectomy in children. J Pediatr Surg. 2013; 48: 1784-1788. Available in: https://doi.org/10.1016/j.jpedsurg.2013.06.011

  8. Sangiorgio VFI, Arber DA. Vascular neoplasms and non-neoplastic vascular lesions of the spleen. Semin Diagn Pathol. 2021; 38: 154-158. Available in: https://doi.org/10.1053/j.semdp.2020.07.001

  9. Schilling RF. Spherocytosis, splenectomy, strokes, and heat attacks. Lancet. 1997; 350: 1677-1678. Available in: https://doi.org/10.1016/S0140-6736(05)64276-6

  10. Shi R, Yang P, Guo Y, Tang Y, Luo H, Qin C et al. Laparoscopic anatomical partial splenectomy for extremely rare isolated splenic lymphangioma in an adult: a case report and literature review. Front Oncol. 2024; 14: 1460566. Available in: https://doi.org/10.3389/fonc.2024.1460566

  11. Uranüs S, Kronberger L, Kraft-Kine J. Partial splenic resection using the TA-stapler. Am J Surg. 1994; 168: 49-53. Available in: https://doi.org/10.1016/S0002-9610(05)80070-4

  12. Wang WD, Lin J, Wu ZQ, Liu QB, Ma J, Chen XW. Partial splenectomy using a laparoscopic bipolar radiofrequency device: a case report. World J Gastroenterol. 2015; 21: 3420-3424. Available in: https://doi.org/10.3748/wjg.v21.i11.3420

  13. Yang F, Chen WX. Splenic lymphangioma that manifested as a solid-cystic mass: a case report. World J Gastroenterol. 2013; 19: 781-783. Available in: https://doi.org/10.3748/wjg.v19.i5.781

  14. Zhang Y, Chen XM, Sun DL, Yang C. Treatment of hemolymphangioma of the spleen by laparoscopic partial splenectomy: a case report. World J Surg Oncol. 2014; 12: 60. Available in: https://doi.org/10.1186/1477-7819-12-60

  15. Zhou Z, Zhou J, Wu Z, Peng B. Laparoscopic splenectomy for adult lymphangiomas of the spleen: case series and review of literature. Hepatogastroenterology. 2014; 61: 285-290.

  16. Rosen M, Brody F, Walsh RM, Ponsky J. Hand-assisted laparoscopic splenectomy vs conventional laparoscopic splenectomy in cases of splenomegaly. Arch Surg. 2002; 137: 1348-1352.

  17. Morelli L, Di Franco G, Guadagni S, Rossi L, Palmeri M, Furbetta N et al. Robot-assisted total mesorectal excision for rectal cancer: case-matched comparison of short-term surgical and functional outcomes between the da Vinci Xi and Si. Surg Endosc. 2018; 32: 589-600.

  18. Pietrabissa A, Morelli L, Peri A, Pugliese L, Zonta S, Dionigi P et al. Laparoscopic treatment of splenomegaly: a case for hand-assisted laparoscopic surgery. Arch Surg. 2011; 146: 818-823.

  19. Dai LH, Xu B, Zhu GH. Hand-assisted laparoscopic surgery of abdominal large visceral organs. World J Gastroenterol. 2006; 12: 4736-4740.

  20. Di Franco G, Gianardi D, Bianchini M, Palmeri M, Morelli L. The role of hand-assisted laparoscopic splenectomy for mega spleens in the da Vinci era. J Robot Surg. 2019; 13: 791-792.

  21. Altaf AM, Ellsmere J, Jaap Bonjer H, El-Ghazaly TH, Klassen DR. Morbidity of hand-assisted laparoscopic splenectomy compared to conventional laparoscopic splenectomy: a 6-year review. Can J Surg. 2012; 55: 227-232.



AFILIACIONES

1 Corporativo Hospital Satélite.

2 Hospital Regional de Alta Especialidad de Ciudad Victoria.
ORCID:

3 0009-0008-3231-0907

4 0009-0009-9090-4356

5 0009-0006-4372-5628

6 0009-0007-9736-4861

7 0009-0001-3241-3008



CORRESPONDENCIA

Dr. Leonel Iturbide-Mauricio. E-mail: leonelmauricio3196@gmail.com




Recibido: 07/01/2025. Aceptado: 08/04/2025.

Figura 1
Figura 2
Figura 3
Figura 4
Figura 5

2020     |     www.medigraphic.com

Mi perfil

C?MO CITAR (Vancouver)

Rev Mex Cir Endoscop. 2025;26

ARTíCULOS SIMILARES

CARGANDO ...