medigraphic.com
ENGLISH

Revista Latinoamericana de Infectología Pediátrica

ISSN 2683-1678 (Impreso)
Órgano Oficial de la Sociedad
Latinoamericana de lnfectología Pediátrica.
Órgano de la Asociación Mexicana de
Infectología Pediátrica, A.C.
Órgano difusor de la Sociedad Española
de lnfectología
  • Mostrar índice
  • Números disponibles
  • Información
    • Información general        
    • Directorio
  • Publicar
    • Instrucciones para autores        
  • medigraphic.com
    • Inicio
    • Índice de revistas            
    • Registro / Acceso
  • Mi perfil

2025, Número 4

<< Anterior Siguiente >>

Rev Latin Infect Pediatr 2025; 38 (4)


Histoplasmosis hepática sin afectación pulmonar en un paciente pediátrico inmunocompetente. A propósito de un caso

Loor Vera, Eddy Daniel1,3; Vilcacundo Pallo, Darío Gabriel2,4; Proaño De La Cueva, Hernán Javier2,5
Texto completo Cómo citar este artículo 10.35366/122588

DOI

DOI: 10.35366/122588
URL: https://dx.doi.org/10.35366/122588
Artículos similares

Idioma: Español
Referencias bibliográficas: 6
Paginas: 162-167
Archivo PDF: 767.38 Kb.


PALABRAS CLAVE

histoplasma capsulatum, histoplasmosis diseminada, hepática, fiebre de origen desconocido, inmunocompetente.

RESUMEN

La histoplasmosis es un tipo de micosis causada por Histoplasma capsulatum, un hongo dismórfico endémico de zonas con suelos ricos en nitrógeno, cuya razón principal es la contaminación con heces de aves y murciélagos. El principal factor de riesgo es la respuesta inmune deficiente, estos pacientes son susceptibles a infecciones invasivas, como la forma diseminada; sin embargo, pero no se excluye aquellos cuya respuesta inmune es favorable. Este reporte de caso se basa en un preescolar masculino de tres años, sin desnutrición que se presentó con alza térmica, dolor y distensión abdominales, y pérdida de peso; el examen físico detectó hepatomegalia y linfadenopatías; debido a geografía se sospecha de histoplasmosis. Se realiza el diagnóstico mediante biopsia de hígado que evidencia presencia de levaduras intracelulares compatible con H. capsulatum y prueba de inmunodifusión positiva, por lo que se inicia la administración de anfotericina B desoxicolato durante 28 días, pero persisten los picos febriles que oscilaron entre 38 y 40 °C; el día 29 de inicia administración oral de itraconazol, el alza térmica cede a los 35 días. A pesar de las múltiples afectaciones sistémicas, el paciente se encuentra recuperándose exitosamente, y con tratamiento oral de itraconazol según esquema internacional.



INTRODUCCIóN

El Histoplasma capsulatum es un hongo dimórfico que se encuentra a nivel ambiental. La infección en el ser humano ocurre después que se inhalan sus fragmentos, lo cuales viajan a los alveolos y se transforman en levadura.1 Las infecciones principalmente son adquiridas y no se ha reportado casos de transmisión persona a persona, excepto por trasplantes.2,3

Los excrementos de aves y murciélagos favorecen el crecimiento de hongos en el medio ambiente. La inhalación de aerosoles generados cuando se alteran lugares contaminados es un factor de riesgo de infección.1 En la Tabla 1 se muestra un resumen de los microfocos y las actividades que más a menudo predisponen a las infecciones. El aire contaminado en espacios cerrados puede causar una exposición intensa y enfermedades graves. Se han notificado grandes brotes en entornos industriales y escuelas.4,5 Cuando ingresa al huésped, el histoplasma debe evadir la respuesta intracelular y encontrar un nicho favorable para su replicación. Según reportes de casos, se distribuye por todo el mundo; en América del Sur hay cierta prevalencia en países como Brasil, Ecuador, Venezuela, Paraguay, Uruguay y Argentina que se piensa se deben a las características del suelo y las diferencias climáticas.2 En Ecuador hay escasez de datos sobre la carga de entidades de enfermedades fúngicas y los casos reportados.

Los signos y síntomas de esta enfermedad se deben a la inmunocompetencia del huésped –con inmunodeficiencia existe mayor riesgo de síntomas graves–, así como a la virulencia del hongo y la cantidad de fragmentos depositados.2

La forma diseminada tiene mayor prevalencia en personas inmunocomprometidas; el riesgo de diseminación ocurre con mayor frecuencia en persona con VIH/sida cuyo recuento de CD4 es inferior a 200 células. Los síntomas en la forma diseminada incluyen: fiebre, pérdida de peso y problemas respiratorios, linfadenopatías, hepatomegalia y esplenomegalia. La enfermedad diseminada afecta muchos sistemas, entre éstos el endovascular, el nervioso central y glandular.2

En la histoplasmosis diseminada, el órgano más afectado es el hígado en 90%.3 La histoplasmosis hepática sin afectación pulmonar primaria es poco común; se desconoce el espectro completo de la sintomatología hepática por histoplasma, pero se piensa que va más allá de enzimas hepáticas elevadas, hasta colestasis ictérica grave que se acompaña de fiebre y dolor.3

Para el diagnóstico se pueden utilizar algunos métodos, como detección de antígenos, cultivos, microscopia directa en una muestra biológica no pulmonar considerado como el "estándar de oro".3

Los granulomas se vuelven visibles mediante la observación histológica, tinciones de plata metenamina de Grocott-Gomori y ácido peryódico de Schiff son útiles para visualizar organismos de histoplasma en los tejidos, cuya lectura característica es la presencia de necrosis caseosa con cápsula fibrosa circundante que impide la propagación hacia el organismo.3

El diagnóstico a tiempo y el inicio de la terapia antimicótica son muy importantes en pacientes inmunodeficientes, ya que la tasa de mortalidad haciende hasta el 100% de no ser tratados adecuadamente. Los medicamentos más utilizados son anfotericina B e itraconazol; de ésta se prefiere su forma liposomal debido a sus efectos secundarios, tasa de respuesta y mayor supervivencia.3

El objetivo de este artículo es proporcionar información actualizada para realizar rápidamente un diagnóstico clínico en situaciones similares y el inicio temprano del tratamiento para evitar la morbilidad y mortalidad. Se expone la verdadera lucha que representa realizar el diagnóstico rápido de histoplasmosis diseminada en niños sin otra afección médica conocida, especialmente en centros de atención médica con recursos limitados.



CASO CLíNICO

Paciente masculino de tres años, originario de Quevedo-Ecuador, quien reside en una zona urbana, en un sector en construcción de viviendas, sin antecedentes personales de importancia. Niega procesos infecciosos en las semanas más recientes, además no se encuentra inmunodeficiencia en su historial.

Su cuadro actual se remite a 15 días de alza térmica entre 38 a 40 grados previo a su ingreso, con dolor y distensión abdominal, vómitos de contenido alimentario en algunas ocasiones y pérdida de peso, por lo que es llevado a la sala de emergencias. No refiere sintomatología respiratoria.

A la exploración física: Glasgow 15/15, febril, con tensión arterial de 101/67 mmHg, sin taquicardia o signos de dificultad respiratoria, pero con marcada distención abdominal (perímetro abdominal en 58 cm). Los exámenes de laboratorio efectuados al ingreso indican anemia leve (hemoglobina 9.8 g/dL, hematocrito 31.2%), trombocitopenia leve (12,200) y transaminasas elevadas (aspartato aminotransferasa 85.3 U/L y alanina aminotransferasa 63.4 U/L). Se realiza tomografía simple y contrastada de abdomen, la cual reporta tamaño de hígado en 12.9 (valor referencial 6.5-11.5), ganglios mesentéricos y paracólicos de morfología ovalada con diámetro de hasta 9 mm, escaso líquido libre en corredera parietocólica izquierda y abundantes ganglios inguinales. Con base en todos estos datos, se corre FilmArray en heces con positividad para E. coli enteropatogénica, Salmonella, norovirus. Se inicia cobertura con cefalosporina de tercera generación y metronidazol; además, por IgM positivo de toxoplasma se administra tratamiento con clotrimazol que se mantiene por 10 días. Se descartan otras posibles enfermedades como tuberculosis, leptospirosis, fiebre tifoidea, salmonelosis, malaria, hepatitis virales, aspergilosis, Chagas. Es valorado por inmunología: se descarta inmunodeficiencia y trastorno inmunitario.

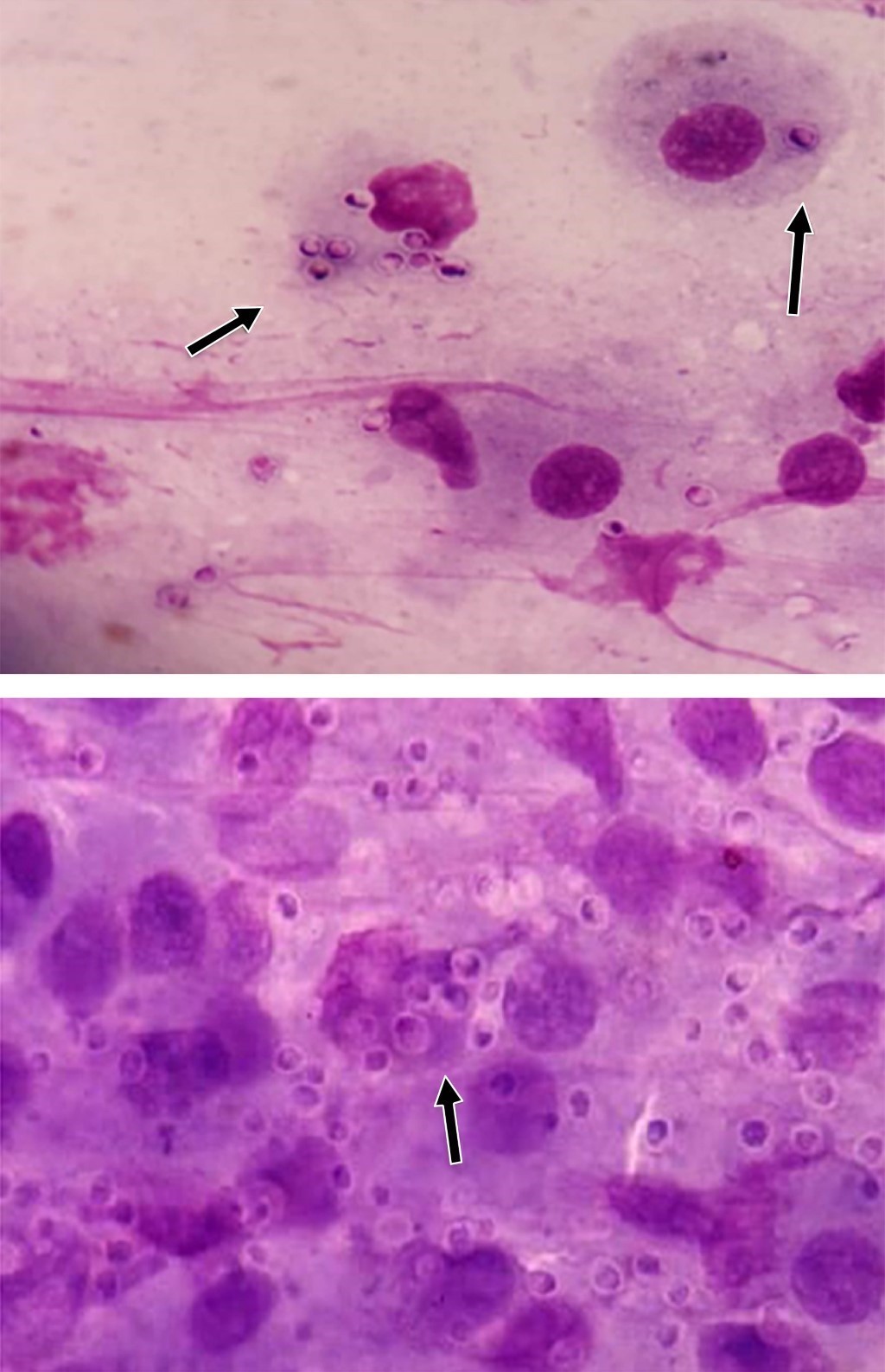
No se obtienen buenos resultados ya que las alzas térmicas continúan diariamente. Presenta cuatro a seis picos febriles entre 38 y 40 °C con duración aproximada de una hora, cediendo a medios físicos y antipiréticos. Debido a la persistencia de la fiebre, el día 28 de hospitalización se decide efectuar estudios invasivos, solicitándose biopsia medular la cual es negativa, biopsia hepática que evidencia presencia de levaduras intracelulares compatible con Histoplasma capsulatum (Figura 1) y prueba de inmunodifusión que resulta positiva; también se realiza su aislamiento en cultivo. En la biopsia de hígado, macroscópicamente se observan infiltraciones blanquecinas (Figura 2); el estudio histopatológico reporta granulomas con centros necrotizantes, células gigantes multinucleadas y esporas que presentan cápsulas claras en asociación con H. capsulatum.

Al conocer el resultado se inicia tratamiento para histoplasmosis diseminada, con la administración de anfotericina B desoxicolato a dosis de 1 mg/kg/día, el cual se aplicó durante 28 días sin interrupciones. Debido a persistencia de la fiebre, el día 29 se inició la administración oral de itraconazol, se pautó por tres días a razón de 4 mg/kg/dosis cada ocho horas; después se pautó dosis de mantenimiento a 4 mg/kg/dosis cada 12 horas; sin embargo, la fiebre persistió hasta el día 35 de tratamiento (el patrón febril duró en total 78 días), cuando de forma brusca desaparece, mejorando el estado general del paciente, el diámetro abdominal empieza a descender, pero la hepatomegalia aún está presente. Es dado de alta a los 71 días de hospitalización, continuando su tratamiento con itraconazol y seguimiento estricto por consulta externa.



DISCUSIóN

La histoplasmosis es causada por el hongo dimórfico Histoplasma capsulatum, que se puede dividir en dos variedades: H. capsulatum var. capsulatum y H. capsulatum var. Duboisii. Este último se encuentra en África, mientras que H. capsulatum var. capsulatum es más frecuente en las otras regiones endémicas (valles de los ríos Ohio y Mississippi en los Estados Unidos, América Central, Sudamérica y África); recientemente se ha informado que la verdadera distribución global de la histoplasmosis es mucho más extendida. En estas áreas geográficas se encuentran conidios de histoplasma en el suelo contaminado con guano de aves y murciélagos, por lo que las actividades que alteran el suelo provocan la liberación de conidios infecciosos en el aire, y la infección se adquiere al inhalar aire contaminado.4,5

Los factores de riesgos identificados en nuestro paciente para adquirir la infección son el que procedía de un sitio en dónde se está movilizando tierra para la construcción de viviendas cercano al domicilio y que la familia realiza la cría de aves de corral, predisponiendo la inhalación de las partículas infecciosas: los microconidios; son esporas de 2 a 5 μm de diámetro que produce el moho, germinan en los bronquiolos distales y alvéolos pulmonares, donde experimentan una transición a fase de levadura. En el huésped normal, después de un mes, se desarrolla una inmunidad específica de linfocitos T; la interleucina 12 y el interferón gamma (IFN-γ) estimulan a los macrófagos para que maten al hongo, controlando así la enfermedad. El factor de necrosis tumoral (TNF) también es fundamental para una inmunidad eficaz del huésped.5

La histoplasmosis en niños puede ser asintomática o presentarse como histoplasmosis pulmonar aguda o histoplasmosis diseminada. Rara vez se informan infecciones aisladas de un solo órgano. La histoplasmosis pulmonar aguda tiende a ser autolimitada y se presenta con fiebre, dolor de cabeza, malestar, dolor en el pecho y tos. Los signos y síntomas de presentación de la histoplasmosis diseminada son fiebre, malestar, anorexia y pérdida de peso, hepatoesplenomegalia, linfadenopatía, ulceración de las membranas mucosas y lesiones cutáneas. Las características clínicas de la histoplasmosis no son específicas y pueden imitar neoplasias malignas o tuberculosis.4

En los niños que viven en áreas endémicas, la histoplasmosis asintomática es común. Sin embargo, los bebés y los pacientes pediátricos inmunodeprimidos tienen mayor riesgo de desarrollar una enfermedad más grave; en los niños inmunocompetentes, la enfermedad suele ser autolimitada y rara vez requiere tratamiento.6 La mayor parte del conocimiento de la histoplasmosis pediátrica se deriva de brotes e informes de casos, y el manejo clínico se basa en datos y experiencia en adultos. Esta brecha en el conocimiento aumenta el riesgo de diagnóstico tardío o diagnóstico inicial erróneo, lo que puede conducir a una enfermedad más grave y, por lo tanto, a morbilidad y mortalidad significativas para los niños que viven en áreas endémicas.6

Presentamos un paciente pediátrico inmunocompetente que ingresa con diagnóstico de fiebre de origen desconocido, que presenta diariamente entre cuatro y seis picos febriles de hasta 40 °C con duración aproximada de una hora, cediendo a medios físicos y antipiréticos. Este patrón febril duró 78 días, además se acompañó de dolor y distensión abdominal; el examen físico y el imagenológico indicaron hígado aumentado de tamaño, presencia de ganglio axilar y pérdida de peso. Después de que con una evaluación intensa no se lograba el diagnóstico, se avanzó a estudios invasivos. Se solicita biopsia hepática, la cual indica presencia de levaduras intracelulares compatible con Histoplasma capsulatum, y prueba de inmunodifusión que resulta positiva, también se realiza su aislamiento en cultivo. El estudio histopatológico reporta granulomas con centros necrotizantes, células gigantes multinucleadas y esporas que presentan capsulas claras en asociación con Histoplasma capsulatum.

Para establecer el diagnóstico de histoplasmosis, se debe demostrar la presencia del hongo mediante histopatología o microscopia directa en una muestra de tejido de un sitio afectado o la recuperación del hongo mediante un cultivo en una muestra de un sitio normalmente estéril; en nuestro caso, la muestra fue tomada del hígado. Para las pruebas de anticuerpos, se encuentran disponibles ensayos estándar que emplean fijación del complemento o inmunodifusión, con sensibilidad informada de hasta 90%. Otro medio diagnóstico y de seguimiento de tratamiento es la prueba de antígenos, que se ha utilizado más comúnmente en muestras de orina con sensibilidades reportadas entre 76 y 90%; esta prueba no se encontraba disponible en nuestro medio, por lo que no fue aplicada.4

La afectación hepática es frecuente en la histoplasmosis diseminada. Se informa que el hígado está afectado en aproximadamente 90% de los pacientes con histoplasmosis diseminada. Sin embargo, la histoplasmosis hepática como signo primario de histoplasmosis sin afectación pulmonar es poco común. Los pacientes con afectación hepática primaria suelen presentar síntomas inespecíficos, como fiebre, fatiga, náuseas, vómitos, pérdida de peso y elevación de las enzimas hepáticas. Pueden presentarse estigmas de enfermedad hepática crónica, hipertensión portal, ascitis y/o varices. Estas características pueden deberse a una enfermedad hepática parenquimatosa crónica resultante de una lesión hepática inducida por histoplasma. Se desconoce el espectro completo de manifestaciones hepáticas de esta enfermedad, pero en la literatura se reporta desde enzimas hepáticas levemente anormales hasta colestasis ictérica grave con fiebre y dolor.3

En la actualidad, el pilar del tratamiento de la histoplasmosis es la terapia antifúngica, por lo que una vez establecido el diagnóstico de histoplasmosis diseminada, pautamos el tratamiento según las guías internacionales, con un tratamiento inicial a base de anfotericina B por cuatro semanas, seguido de itraconazol, con cese de la fiebre al día 35 de tratamiento y mejoría clínica evidente. El paciente fue dado de alta a los 71 días de hospitalización, continuando su tratamiento con itraconazol y seguimiento estricto por consulta externa.

La Guía de la Sociedad Americana de Enfermedades Infecciosas (IDSA) recomienda seguir las indicaciones y regímenes de tratamiento que se utilizan en adultos, en donde indica que se puede utilizar itraconazol para la enfermedad leve a moderada, y para la enfermedad más grave y diseminada se debe utilizar anfotericina B (2-4 semanas) como tratamiento inicial, seguido de itraconazol durante una duración total de tres meses; sin embargo, se recomienda una duración más larga del tratamiento, dependiendo de la gravedad de la histoplasmosis, el uso concomitante de medicamentos inmunosupresores o la inmunodeficiencia primaria. Según un reporte de revisión de casos, la duración del tratamiento fue notablemente larga, con media de 9 ± 7.4 meses; el alto porcentaje de infecciones diseminadas y las condiciones inmunocomprometidas subyacentes ciertamente influyeron en estos cursos de tratamiento prolongados, las concentraciones mínimas séricas de itraconazol deben ser de 1 a 2 μg/mL. Los niveles de antígeno se utilizan para monitorear el tratamiento y el monitoreo debe continuar durante 12 meses después de la terapia para controlar la recaída.4 La antigenuria persistente de bajo nivel (< 2 ng/mL) puede no ser una razón para prolongar el tratamiento en pacientes que han completado el tratamiento adecuado y no tienen evidencia de infección activa.5

La histoplasmosis pediátrica se caracteriza por una morbilidad significativa, con un desenlace fatal en 11 % de los casos.4 El diagnóstico rápido y el inicio de la terapia antimicótica son cruciales en los pacientes inmunodeprimidos, que de lo contrario tienen tasa de mortalidad de 100% si no reciben tratamiento.3



CONCLUSIONES

La enfermedad diseminada por Histoplasma capsulatum presenta signos y síntomas inespecíficos, donde el hígado está afectado en aproximadamente 90% de los pacientes, y puede presentarse como hepatitis granulomatosa, como estigmas de enfermedad hepática crónica, hipertensión portal, que comprende ascitis o varices o con enzimas hepáticas elevadas.

El bajo número de casos de histoplasmosis pediátrica documentados en la literatura hace que el diagnóstico de histoplasmosis en niños requiera de un alto índice de sospecha y mucha concienciación por parte de los médicos, por lo que es importante siempre realizar una historia clínica detallada en los pacientes con fiebre de origen desconocido, y así evidenciar posibles microfocos o actividades asociadas con la histoplasmosis infantil esporádica.

El Ecuador es considerado zona endémica de histoplasmosis, por lo que es de vital importancia establecer un registro nacional de casos, para obtener un mejor conocimiento de la epidemiología clínica y permitir un diagnóstico y tratamiento oportunos.


REFERENCIAS (EN ESTE ARTÍCULO)

  1. Yglesias Dimadi II, Clinton Hidalgo M, Hernández Chavarría VI, Min Kim H, Castro Torres GR. Disseminated histoplasmosis in an indigenous child with malnutrition: a case report. Cureus [Internet]. [July 7, 2023]. Available in: https://www.cureus.com/articles/152733-disseminated-histoplasmosis-in-an-indigenous-child-with-malnutrition-a-case-report

  2. Mittal J, Ponce MG, Gendlina I, Nosanchuk JD. Histoplasma capsulatum: mechanisms for pathogenesis. In: Rodrigues ML, editor. Fungal physiology and immunopathogenesis [Internet]. Cham: Springer International Publishing; 2018, pp. 157-191. (Current Topics in Microbiology and Immunology; vol. 422). Available in: http://link.springer.com/10.1007/82_2018_114

  3. Sayeed M, Benzamin M, Nahar L, Rana M, Aishy AS. Hepatic histoplasmosis: an update. J Clin Transl Hepatol. 2022; 10 (4): 726-729.

  4. MacInnes R, Warris A. Paediatric histoplasmosis 2000-2019: a review of 83 cases. J Fungi (Basel). 2021; 7 (6): 448.

  5. Long SS, Prober CG, Fischer M, Kimberlin D. Principles and practice of pediatric infectious diseases. 6th Edition, Elsevier, 2022.

  6. Ekeng BE, Edem K, Akintan P, Oladele RO. Histoplasmosis in African children: clinical features, diagnosis and treatment. Ther Adv Infect Dis. 2022; 9: 20499361211068592.



AFILIACIONES

1 Médico en posgrado de primer año de Infectología Pediátrica, Universidad San Francisco de Quito (USFQ).

2 Médico en posgrado de primer año de Medicina de Emergencias y Desastres Pediátrica, USFQ.
ORCID:

3 0009-0003-7192-5254

4 0000-0001-6543-1360

5 0000-0003-1914-5288



CORRESPONDENCIA

Eddy Daniel Loor Vera. E-mail: edloor@estud.usfq.edu.ec




Recibido: 08-08-2024. Aceptado: 14-08-2024.

Figura 1
Figura 2
Tabla 1

2020     |     www.medigraphic.com

Mi perfil

C?MO CITAR (Vancouver)

Rev Latin Infect Pediatr. 2025;38

ARTíCULOS SIMILARES

CARGANDO ...