medigraphic.com
ENGLISH

Cirujano General

ISSN 2594-1518 (Digital)
ISSN 1405-0099 (Impreso)
  • Mostrar índice
  • Números disponibles
  • Información
    • Información general        
    • Directorio
  • Publicar
    • Instrucciones para autores        
    • Envío de artículos
  • medigraphic.com
    • Inicio
    • Índice de revistas            
    • Registro / Acceso
  • Mi perfil

2019, Número 4

<< Anterior Siguiente >>

Cir Gen 2019; 41 (4)


Síndrome del capullo abdominal o peritonitis crónica esclerosante encapsulada primaria, una causa rara de obstrucción intestinal en el adulto

Pérez-Ponce, Yisvanth1; Menjivar-Rivera, Oscar Mauricio2; Martínez-Coria, Tatzari2; Gómez-Alvarado, Rocío Zeyla3
Texto completo Cómo citar este artículo Artículos similares

Idioma: Español/Inglés [English version]
Referencias bibliográficas: 18
Paginas: 307-313
Archivo PDF: 293.83 Kb.


PALABRAS CLAVE

Obstrucción intestinal, abdomen en capullo, peritonitis crónica esclerosante encapsulada.

RESUMEN

Introducción: La peritonitis crónica esclerosante encapsulada es una causa rara de obstrucción del intestino delgado. La forma primaria o abdomen en capullo es una extraña malformación del desarrollo caracterizada por el revestimiento de la totalidad o parte del intestino delgado por una vaina de espesor del peritoneo visceral. La membrana es gruesa y fibrótica que recuerda un capullo, la cual involucra intestino delgado y en ocasiones alcanza a cubrir estómago, colon, hígado y bazo. Reporte de caso: Masculino de 35 años de edad en el Centro Médico ISSEMyM Toluca, con dolor abdominal de tres meses de evolución, con múltiples visitas al departamento de urgencias y características clínicas inespecíficas; debido al empeoramiento de su sintomatología, se decidió una exploración quirúrgica inicialmente de manera laparoscópica, con evidencia de asas intestinales con tejido fibrótico que envolvía 75% del intestino delgado. El síndrome de abdomen en capullo es raro; sin embargo, el conocimiento de este tipo de patología es de importancia para el cirujano, ya que su presentación puede ser similar a otras causas de abdomen quirúrgico.



INTRODUCCIóN

La peritonitis crónica esclerosante encapsulada (PCEE) es una causa rara de obstrucción del intestino delgado. La primera descripción fue hecha por Owtschinnikow en 1907, al inicio se le nombró peritonitis crónica fibrosa incapsulata; sin embargo, Foo en 1978 la denominó como abdomen en capullo (AC).1,2 En total se han reportado 50 casos en la literatura médica.3,4

La PCEE se clasifica según su etiología en primaria (idiopática [AC]) y en secundaria (a otras enfermedades, ejemplo: pacientes con diálisis peritoneal ambulatoria crónica, infecciones crónicas, etcétera). La forma primaria o AC es una extraña malformación del desarrollo caracterizada por el revestimiento de la totalidad o parte del intestino delgado por una vaina de espesor del peritoneo accesorio, éste afecta principalmente a mujeres jóvenes procedentes de zonas tropicales o subtropicales.5,6 La membrana es gruesa y fibrótica que recuerda un capullo, la cual involucra intestino delgado y en ocasiones alcanza a cubrir estómago, colon, hígado y bazo.7-9

La presentación clínica de la PCEE primaria o síndrome de abdomen en capullo puede manifestarse como cuadros de oclusión intestinal, ya sea en episodios agudos o subagudos y su principal característica es la forma recurrente de los mismos; están asociados con distensión abdominal, pérdida ponderal, náusea, hiporexia y en ocasiones se manifiesta como masa abdominal al momento de la exploración física.10 En otras ocasiones el AC se presenta de forma asintomática y se identifica como un hallazgo incidental en la laparotomía por otra causa diversa.11

Se presenta el caso de paciente con diagnóstico de obstrucción intestinal recurrente, con etiología de abdomen en capullo o PCEE primaria, en el que se resalta el abordaje diagnóstico, el tratamiento quirúrgico y confirmación histológica de esta rara patología.



PRESENTACIóN DEL CASO

Se trata de paciente masculino de 35 años de edad, sin antecedentes quirúrgicos, alérgicos, transfusionales, traumáticos, crónico degenerativos ni infecciosos previos. Inició padecimiento tres meses previos a internamiento y valoración, con dolor abdominal tipo cólico de aparición insidiosa y progresiva, localizado en epigastrio y mesogastrio, intermitente, con una intensidad de 4/10 llegando hasta 8/10 en la escala visual analógica (EVA). Inició 15 días antes de internamiento, sin referir exacerbantes o atenuantes sólo mejoría clínica al manejo médico con antiespasmódicos al momento de internamiento. Se acompaña de náusea y vómito de contenido gástrico postprandial. Refirió pérdida ponderal alrededor de 19 kg.

A la exploración física se encontró paciente de apariencia acorde a la cronológica, complexión delgada, estado de hidratación en límite, facies de dolor al momento del cólico; deambulación sin complicaciones; signos vitales: frecuencia cardiaca 75 latidos por minuto, frecuencia respiratoria 16 por minuto, tensión arterial 110/70 mmHg, saturación de oxígeno de 94% sin apoyo suplementario. Movimientos de amplexión y amplexación simétricos, murmullo vesicular audible en ambos hemitórax; abdomen blando, depresible, leve dolor a la palpación profunda en epigastrio y mesogastrio, peristalsis hipoactiva, tacto rectal con esfínter anal normotónico, sin datos de tumor a la palpación, restos fecales en guante explorador. Extremidades normotónicas, eumétricas y eutérmicas, sin alteraciones en sensibilidad.

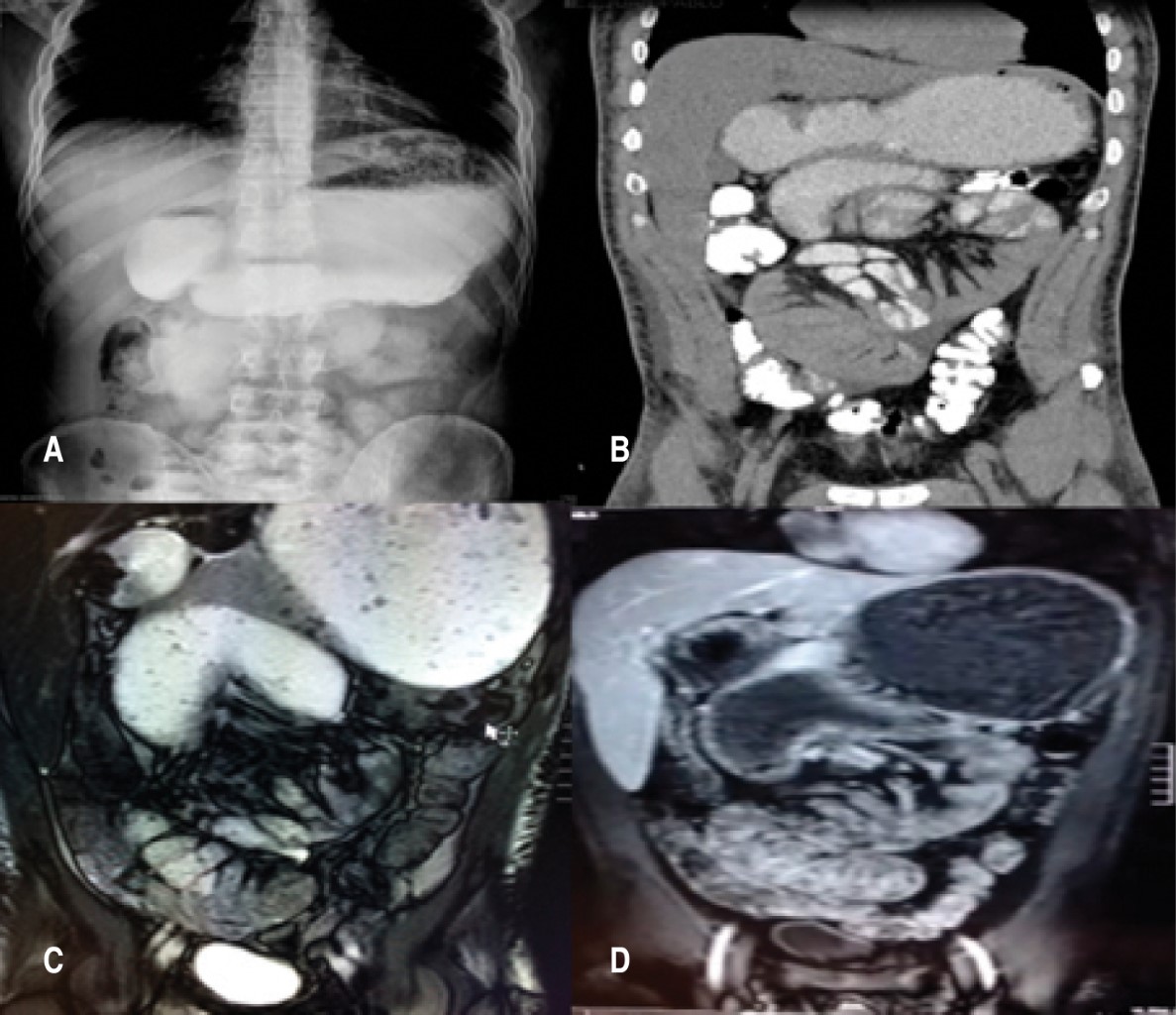
Se protocolizó con pruebas de laboratorio y reportó leucocitos 11.37 x 103/µl, hemoglobina 17.4 g/l, hematocrito 33.8%, glucosa 85 mg/dl, urea 35 mg/dl, creatinina 0.9 mg/dl, sodio 145 mmol/l, potasio 4.3 mmol/l. Sin otra alteración en resto de valores reportados. En la radiografía de abdomen se observó imágenes compatibles con asas de intestino delgado aumentadas de tamaño, niveles hidroaéreos de predominio en epigastrio y mesogastrio, sin datos de aire libre en cavidad. El tránsito intestinal con medio hidrosoluble y la tomografía contraste oral e intravenoso de abdomen, revelaron distensión de asas de intestino delgado a distintos niveles, presencia de gas en ámpula rectal, paso de medio de contraste por delante de arteria mesentérica, ángulo arterial mayor a 25o, se descartó síndrome de pinza mesentérica (síndrome de Wilkie). Se realizó enterorresonancia magnética en la cual se observan las cuatro porciones del duodeno distendidas y aumento de tamaño en yeyuno proximal. Endoscopia en la que se reportó esofagitis C de Los Ángeles, gastropatía crónica folicular, estómago retencionista, distensión en segunda y tercera porción duodenal y por delante de ellas. Con lo que se llegó al diagnóstico de obstrucción intestinal parcial (Figura 1).

Se decidió realizar laparoscopia diagnóstica por falta de resolución del cuadro, la recurrencia del mismo y la falta de certeza diagnóstica sólo como síndrome de oclusión intestinal. Se sometió a tratamiento quirúrgico, el cual se realizó inicialmente con abordaje laparoscópico, mediante puerto laparoscópico umbilical de 10 mm con técnica de Hasson o abierta. Se llevó a cabo laparoscopia diagnóstica con hallazgo de tejido fibrótico mesenquimatoso de tipo peritoneal que cubría mesenterio y fijaba asas intestinales desde ángulo de Treitz hasta válvula ileocecal limitando su movimiento y distensión, desde cara anterior de estómago y borde anterior de colon, formando una segunda pseudo bolsa peritoneal, con presencia de líquido serohemático, 40 ml aproximadamente, superficie lisa, no granulomatosa, que separa la cavidad peritoneal mayor (Figura 2). Por lo anterior se decidió convertir a cirugía abierta, mediante incisión suprainfraumbilical en línea media, se toma muestra de líquido de cavidad, se realizó adherenciolisis y liberación de tejido fibrótico que envolvía 75% del intestino delgado desde el yeyuno hasta el íleon terminal. Se identificó plano de separación entre el tejido mesenquimatoso y el peritoneo visceral intestinal (Figura 3). Asas intestinales sin cambios isquémicos, motilidad conservada, sin presencia de ganglios aumentados de volumen en mesenterio. Se coloca un drenaje tipo Jackson-Pratt hacia hueco pélvico y se cierra cavidad abdominal.

El paciente evolucionó estable, sin palpitaciones, no refirió disnea; mencionó mejoría sintomática en comparación a estado preoperatorio. Se inició y progresó la vía oral a las 24 horas posterior a procedimiento; gasto de drenaje abdominal serohemático en los primeros días. El control radiológico, radiografías de abdomen de pie y decúbito mostraron adecuada distribución de gas intestinal. El paciente se egresó de la unidad al tercer día después del procedimiento quirúrgico, enviando a la consulta externa hospitalaria para seguimiento y control. Su evolución a mediano plazo, al año de seguimiento, con aumento ponderal y sin evidencia clínica de recurrencia de sintomatología obstructiva intestinal. Reporte histopatológico: quiste mesotelial tipo seroso, epiplón, con proceso inflamatorio crónico moderado. Líquido peritoneal, con proceso inflamatorio crónico moderado (Figura 4).



DISCUSIóN

Desde su descripción inicial en 1907 como PCEE y de la denominación de abdomen en capullo por Foo en 1978, se han presentado alrededor de 50 casos en la literatura. Debido a las características histológicas de la PCEE o AC se ha sugerido estar ligada a procesos inflamatorios crónicos de la cavidad abdominal, manifestándose como tejido mesenquimatoso con reacción inflamatoria con presencia de células inflamatorias crónicas y agudas. En ocasiones no se puede identificar el factor asociado con su etiología o PCEE idiopática (abdomen en capullo) o ser secundaria a padecimientos diversos.12

Se desconoce la asociación del estímulo primario que desencadena la reacción inflamatoria para el desarrollo de la enfermedad; no obstante, algunos autores sugieren que la afección está asociada a padecimientos ginecológicos como una peritonitis vírica primaria subclínica, o secundaria a una reacción inmunológica ante infecciones ginecológicas y/o debido a menstruación retrógrada. Existe poco sustento a esta teoría, ya que también se ha presentado en hombres, como el caso aquí expuesto, en mujeres premenopáusicas y en niños.

La PCFI secundaria se ha reportado en asociación con la ingesta de betabloqueadores, diálisis peritoneal crónica ambulatoria, sarcoidosis, lupus eritematoso sistémico, cirrosis hepática, pericarditis constrictiva en tratamiento con propranolol, la instilación intraperitoneal de fármacos, miomatosis uterina, endometriosis o tumores de ovario, tuberculosis y peritonitis recurrente.

La presentación clínica de estos casos está asociada a cuadros de obstrucción intestinal, secundario a estos cambios peritoneales inflamatorios crónicos; sin embargo, la gama de presentación oscila desde casos asintomáticos hasta aquéllos que se manifiestan como agudos (5%) o subagudos (2%), pero la característica más común es que son cuadros recurrentes.13

Setenta por ciento de los casos de PCEE son diagnosticados de forma incidental durante una laparotomía cuando ésta se manifiesta en forma asintomática, el diagnóstico es difícil de concluirse antes de la cirugía porque los resultados de los análisis bioquímicos suelen ser normales y los hallazgos imagenológicos no suelen ser específicos. La radiografía simple de abdomen puede mostrar datos compatibles con síndrome de obstrucción intestinal como encontrar niveles hidroaéreos en asas intestinales y distensión de las mismas, o distribución anormal del patrón de aire en el tubo digestivo. En el caso que reportamos, en la tomografía abdominal con contraste oral e intravenoso se apreció un conglomerado de asas delgadas, rodeadas de una pared de tejido denso. Sin embargo, el diagnóstico preoperatorio del AC requiere un alto grado de sospecha clínica.14

La confirmación del diagnóstico de AC o PCEE primaria se realiza durante la cirugía como un hallazgo en caso de otros padecimientos o durante la laparotomía exploratoria en pacientes con cuadro de obstrucción intestinal, la toma de cultivo y tejido para el estudio patológico confirmará los hallazgos. Lo habitual en esta entidad durante la laparoscopia o laparotomía diagnóstica es encontrar un conglomerado de asas intestinales rodeadas de una membrana densa, observando cierta transición en diámetro de asas en el punto de obstrucción.15 En nuestro caso no encontramos un sitio claro de transición correspondiente con la localización de obstrucción, pero la liberación del recubrimiento peritoneal mejoró la motilidad y continuidad del contenido intestinal, y clínicamente en el postoperatorio no recurrió el cuadro obstructivo intestinal.

El tratamiento de elección es la cirugía, durante ésta debe incluirse la disección de la membrana peritoneal y adherenciolisis extensa; generalmente no hay necesidad de resección de asas intestinal, a menos que éstas muestren cambios isquémicos irreversibles o perforaciones incidentales del tubo digestivo de más de 50% de la circunferencia, con lo que aumenta la morbilidad y la mortalidad. El pronóstico a largo plazo postoperatorio es de evolución adecuada sin complicaciones en 95% de los casos.

En las causas poco frecuentes de obstrucción intestinal como lo es AC o la PCEE primaria, el diagnóstico se hace, en algunos casos, hasta el momento del tratamiento quirúrgico. Los pacientes pueden referir dolor recurrente en abdomen acompañado de vómito postprandial, sintomatología que puede ser confundida con otras causas de obstrucción intestinal como el síndrome pinza de arteria mesentérica superior, hipertrofia pilórica o la presencia de un tumor duodenal, las cuales deben de ser descartadas en el protocolo de estudio.

El paciente del presente caso acudió sin antecedentes quirúrgicos o crónico degenerativos, además de sintomatología digestiva inespecífica. En el protocolo diagnóstico, el estudio endoscópico sugirió cuadro compatible con obstrucción por delante de la segunda porción duodenal; por lo que se continuó el estudio con tránsito intestinal y la tomografía abdominal contrastada, las cuales fueron de utilidad para descartar otras causas de obstrucción intestinal; se refiere de la TAC una sensibilidad y especificidad de hasta el 93%, aunque en el caso presentado sólo aportó datos de distensión poco habitual de asas del yeyuno proximal. La enterorresonancia muestra imagen típica de "coliflor"; sin embargo, no se incluyó en las posibilidades diagnósticas en el preoperatorio.

El diagnóstico definitivo de esta patología suele ser durante el tratamiento quirúrgico y las características histopatológicas del tejido resecado (Tabla 1).

Las etiologías raras como el abdomen en capullo deben realizarse por exclusión y atenderse la urgencia del cuadro mecánico mediante tratamiento quirúrgico. Para descartar procesos infecciosos, durante la cirugía se debe incluir la toma de tejido y cultivos de líquido intraperitoneal.16



CONCLUSIóN

El diagnóstico de la obstrucción intestinal recurrente se realiza al integrar la repetición de los datos clínicos, bioquímicos y radiológicos concomitantes con el cuadro. La tomografía axial computarizada y la enterorresonancia magnética son de utilidad para descartar otras etiologías diagnósticas de la obstrucción intestinal, por lo que deben estar incluidas en el arsenal diagnóstico. El diagnóstico del síndrome de abdomen en capullo (AC) o peritonitis crónica esclerosante encapsulada (PCEE) u otros padecimientos poco frecuentes suelen ser encontrados como hallazgo durante el tratamiento quirúrgico y confirmados según las características histopatológicas del tejido resecado. La etiología de esta enfermedad sigue siendo desconocida.


REFERENCIAS (EN ESTE ARTÍCULO)

  1. Owtschinnikow PJ. Peritonitis chronic fibrosa incapsulata. Arch Klin Chir. 1907; 83: 623-634.

  2. Mordehai J, Kleiner O, Kirshtein B, Barki Y, Mares AJ. Peritoneal encapsulation: a rare cause of bowel obstruction in children. J Pediatr Surg. 2001; 36: 1059-1061.

  3. Foo KT, Ng KC, Rauff A, Foong WC, Sinniah R. Unusual small intestinal obstruction in adolescent girls: the abdominal cocoon. Br J Surg. 1978; 65: 427-430.

  4. Hur J, Kim KW, Park MS, Yu JS. Abdominal cocoon: preoperative diagnostic clues from radiologic imaging with pathologic correlation. AJR Am J Roentgenol. 2004; 182: 639-641.

  5. Tan FL, Loh D, Prabhakaran K. Sclerosing encapsulating peritonitis in a child secondary to peritoneal dialysis. J Pediatr Surg. 2005; 40: e21-e23.

  6. Hazem H. Abdominal cocoon. Appl Radiol. 2003; 32.

  7. Okamoto N, Maeda K, Fujisaki M, Sato H. Abdominal cocoon in an aged man: report of a case. Surg Today. 2007; 37: 258-260.

  8. Cleffken B, Sie G, Riedl R, Heineman E. Idiopathic sclerosing encapsulating peritonitis in a young female-diagnosis of abdominal cocoon. J Pediatr Surg. 2008; 43: e27-e30.

  9. Shiraki K, Sakurai H. Images in clinical medicine. Sclerosing peritonitis. N Engl J Med. 2008; 359: 293.

  10. Sahoo SP, Gangopadhyay AN, Gupta DK, Gopal SC, Sharma SP, Dash RN. Abdominal cocoon in children: a report of four cases. J Pediatr Surg. 1996; 31: 987-988.

  11. Yoon YW, Chung JP, Park HJ, Cho HG, Chon CY, Park IS, et al. A case of abdominal cocoon. J Korean Med Sci. 1995; 10: 220-225.

  12. Wig JD, Goenka MK, Nagi B, Vaiphei K. Abdominal cocoon in a male: rare cause of intestinal obstruction. Trop Gastroenterol. 1995; 16: 31-33.

  13. Kittur DS, Korpe SW, Raytch RE, Smith GW. Surgical aspects of sclerosing encapsulating peritonitis. Arch Surg. 1990; 125: 1626-1628.

  14. Yang JF, Li N, Li JS. Diagnosis and treatment of abdominal cocoon. Zhonghua Wai Ke Za Zhi. 2005; 43: 561-563.

  15. Tu JF, Huang XF, Zhu GB, Liao Y, Jiang FZ. Comprehensive analysis of 203 cases with abdominal cocoon. Zhonghua Wei Chang Wai Ke Za Zhi. 2006; 9:133-135.

  16. Samarasam I, Mathew G, Sitaram V, Perakath B, Rao A, Nair A. El capullo abdominal y una técnica efectiva de tratamiento quirúrgico. Trop Gastroenterol. 2005, de 26 años: 51-53.

  17. Hur J, Kim KW, Suk PM, Yu JS. Capullo abdominal: preoperatorios pistas de diagnóstico de imágenes radiológicas con correlación patológica. AJR Am J Roentgenol 2004, 182: 639-641.

  18. Celicout B, H Levard, Hay J, S Msika, Fingerhut A, E Pelissier: peritonitis esclerosante encapsulante: resultados tempranos y tardíos del tratamiento quirúrgico en 32 casos. Las asociaciones francesas para la investigación quirúrgica. Dig Surg 1998, 15: 697-702.



AFILIACIONES

1 Cirugía y Medicina de Alta Especialidad Sepsis Obesidad y Cirugía Compleja, A.C. Profesor Clínico de Pregrado y Profesor adjunto para la Especialidad de Cirugía General de la Universidad Autónoma del Estado de México (UAEMex), Centro Médico ISSEMyM Toluca.

2 Médico Residente, Cirugía General, Centro Médico ISSEMyM Toluca, Estado de México.

3 Médico Pediatra, Hospital Florencia, Toluca, Estado de México.



Consideraciones y responsabilidad ética: Privacidad de los datos. De acuerdo a los protocolos establecidos en el centro de trabajo de los autores, estos declaran que han seguido los protocolos sobre la privacidad de datos de pacientes preservado su anonimato. El consentimiento informado del paciente referido en el artículo se encuentra en poder del autor.

Financiamiento: No se recibió apoyo financiero para la realización de este trabajo.

Conflicto de intereses: Los autores declaran que no existe ningún conflicto de intereses en la realización del trabajo.



CORRESPONDENCIA

Dr. Yisvanth Pérez Ponce FACS. E-mail: dryisvanthperezponce@hotmail.com




Recibido: 23/04/2018. Aceptado: 30/04/2019

Figura 1
Figura 2
Figura 3
Figura 4
Tabla 1

2020     |     www.medigraphic.com

Mi perfil

C?MO CITAR (Vancouver)

Cir Gen. 2019;41

ARTíCULOS SIMILARES

CARGANDO ...