medigraphic.com
ENGLISH

Cirujano General

ISSN 2594-1518 (Digital)
ISSN 1405-0099 (Impreso)
  • Mostrar índice
  • Números disponibles
  • Información
    • Información general        
    • Directorio
  • Publicar
    • Instrucciones para autores        
    • Envío de artículos
  • medigraphic.com
    • Inicio
    • Índice de revistas            
    • Registro / Acceso
  • Mi perfil

2020, Número 1

<< Anterior Siguiente >>

Cir Gen 2020; 42 (1)


Ruptura hepática en el síndrome de HELLP. Revisión del tratamiento quirúrgico

Cruz-Santiago, José1,2; Meza-Jiménez, Guillermo2; Ayala-López, Ernesto Alonso3; Velázquez-García, José Arturo4; Moreno-Ley, Pedro Iván2,5; Robledo-Meléndez, Arlette2; Rivera-Luna, Eunice Nayeli6; Noriega-Salas, Lorena2
Texto completo Cómo citar este artículo 10.35366/92709

DOI

DOI: 10.35366/92709
URL: https://dx.doi.org/10.35366/92709
Artículos similares

Idioma: Español/Inglés [English version]
Referencias bibliográficas: 14
Paginas: 31-37
Archivo PDF: 306.86 Kb.


PALABRAS CLAVE

Síndrome de HELLP, ruptura hepática, hematoma hepático, preeclamsia, hepatectomía.

RESUMEN

Introducción: La ruptura hepática en síndrome de HELLP es una complicación que resulta mortal para el binomio madre-hijo hasta en un 80% de los casos. Múltiples opciones terapéuticas se han descrito, tales como empaquetamiento hepático, resecciones segmentarias, e incluso trasplante hepático para casos severos. Caso clínico: Mujer de 32 años con síndrome de HELLP, se realiza cesárea encontrándose hematoma subcapsular hepático en lóbulo izquierdo, inicialmente se realizó empaquetamiento hepático y ligadura de la arteria hepática común, y hepatectomía izquierda como manejo definitivo. Discusión y conclusiones: El caso reportado fue tratado exitosamente mediante diversos métodos quirúrgicos. El reconocimiento temprano de esta complicación, el manejo quirúrgico agresivo y el apoyo multidisciplinario son las bases para disminuir la morbimortalidad.



INTRODUCCIóN

El síndrome de HELLP recibe este nombre por las entidades clínicas que lo conforman: hemolisis, elevación de enzimas hepáticas y plaquetopenia (las siglas corresponden a los términos en inglés hemolysis, elevated liver enzyme levels, and low platelet levels). Fue descrito inicialmente en 1982 y representa una forma severa de preeclampsia, la cual bioquímicamente se caracteriza por hemólisis, elevación de las enzimas hepáticas y plaquetopenia.1 Tiene una frecuencia de 0.17 a 0.85% de todos los embarazos y su presentación es más común en mujeres multigestas, de raza caucásica y en mujeres de edad avanzada.2 Entre las complicaciones reportadas secundarias a este síndrome se encuentran el desarrollo de hemorragia cerebral, insuficiencia renal, edema pulmonar y ruptura hepática, las cuales ocurren en 12.5 a 65% de todos los casos.3

Los síntomas de ruptura de un hematoma hepático en este síndrome son principalmente la presencia de epigastralgia persistente o dolor en barra en cuadrante superior derecho del abdomen, acompañado de choque hipovolémico; la resolución del embarazo en estos casos es expedita.4

La formación y ruptura de un hematoma subcapsular a nivel hepático representa uno de los eventos más graves para la madre y el producto, el índice de morbimortalidad es muy elevado, por lo que la mayor parte de los casos requieren un manejo quirúrgico oportuno, agresivo y multidisciplinario. La incidencia de estas complicaciones varían entre 1:40,000 a 1:250,000 embarazos.5 La ruptura espontánea del hematoma subcapsular puede presentar sangrado profuso intraperitoneal, poniendo en riesgo la vida de la paciente; dicha entidad se asocia a una mortalidad materna de 60 a 80% y la fetal de 56 a 75%.6 En México, fueron reportadas 79 muertes maternas por ruptura hepática, por Vitelio Velasco en un periodo de 15 años.

Se presenta el caso de una mujer con síndrome de HELLP, la cual cursó con ruptura de hematoma subcapsular hepático y choque hipovolémico severo tratada de manera exitosa en el Hospital de Especialidades del Centro Médico Nacional La Raza.



PRESENTACIóN DEL CASO

Mujer de 32 años con antecedentes obstétricos de tres gestas, dos productos obtenidos por operación cesárea, así como nefrectomía de donación en el año 2011, cursando su tercer embarazo con 34 semanas de gestación aparentemente normal, inicia padecimiento 48 horas previas al ingreso a nuestro centro hospitalario con cuadro clínico caracterizado por dolor abdominal en región epigástrica, diaforesis y elevación de las cifras tensionales, tratada de forma inicial por facultativo con hidralazina, a las 24 horas del inicio del cuadro clínico se agregan náusea y vómito con persistencia de la elevación en las cifras tensionales y hallazgo de plaquetopenia, motivo por el cual se envía a hospital de segundo nivel en donde se diagnostica cuadro de preeclamsia severa y síndrome de HELLP.

A su ingreso, se encuentra con hipertensión de difícil control con tensiones arteriales medias que oscilaban entre 100 y 120 mmHg; los laboratorios iniciales reportados fueron los siguientes: hemoglobina de 10 g/dl, hematocrito 32%, con esquistocitos en el frotis, plaquetas 99,000 mm3, AST 402 U/L, ALT 32 U/L, ácido úrico 4.8 mg/dl, fosfatasas alcalinas 108 U/L; el examen general de orina se reportó como patológico, con proteínas de 400 mg/dl, y leucocitos incontables.

Se realiza USG obstétrico encontrándose producto único vivo con frecuencia cardiaca fetal de 140 latidos por minuto; se realizó operación cesárea de urgencia, obteniéndose producto único vivo y hallazgo de hematoma hepático subcapsular de aproximadamente 10 x 10 cm, por lo cual se realiza laparotomía exploradora en el mismo evento quirúrgico, con empaquetamiento hepático, con una hemorragia de 1,500 ml, ingresando posteriormente a la Unidad de Cuidados Intensivos hemodinámicamente estable, con presión arterial media superior a 70 mmHg. A las dos horas presentó choque hipovolémico, hipotensión arterial, con evidencia de sangrado, hemoglobina de 5.5 g/dl y plaquetas de 80,000 mm3, se realiza nueva exploración quirúrgica encontrándose hemoperitoneo de 1,000 ml y hemorragia hepática a nivel de ligamento redondo e intersección de ambos lóbulos, llevando a cabo nuevo empaquetamiento, reportándose durante el procedimiento sangrado de 1,000 ml. La paciente reingresa nuevamente a la Unidad de Cuidados Intensivos, hasta este momento contabilizándose transfusión de seis concentrados eritrocitarios, 10 bolsas de plasma fresco congelado y seis aféresis plaquetarias; se decide su envío a tercer nivel de atención ingresando a nuestro centro hospitalario en mal estado general, con apoyo mecánico ventilatorio, tensión arterial de 89/58 mmHg y hemoglobina reportada en gasometría arterial de 5 g/dl, así como datos de coagulopatía por consumo. Ingresa de forma directa a quirófano con hallazgos de hemoperitoneo de 1,500 ml y hematoma hepático subcapsular roto en lóbulo izquierdo grado III, se realiza ligadura de la arteria hepática común y arteria hepática izquierda accesoria, así como empaquetamiento hepático con cuatro compresas (Figura 1), se transfunden en el transoperatorio tres unidades de plasma fresco y cinco de concentrados eritrocitarios.

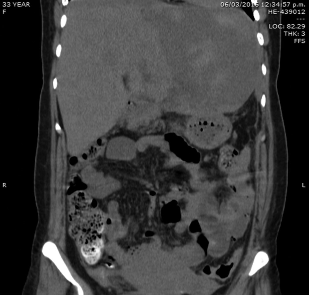
La paciente es trasladada a la Unidad de Cuidados Intensivos estable con presión arterial media de 70 mmHg, se realiza desempaquetamiento hepático a las 48 horas sin evidencia de sangrado activo, apreciándose hígado con adecuada consistencia, coloración, turgencia y con hematoma limitado (Figura 2). Veinticuatro horas después se retira el apoyo ventilatorio mecánico sin complicaciones, presentando adecuada evolución con tolerancia de la dieta, drenajes sin evidencia de sangrado activo; los exámenes de laboratorio a los siete días con hemoglobina de 11 g/dl, plaquetas de 332,000 y tiempos de coagulación dentro de parámetros normales, pruebas de funcionamiento hepático dentro de parámetros normales. Es egresada de la Unidad de Cuidados Intensivos estable, a los nueve días del postoperatorio presenta fiebre persistente, se realiza control tomográfico localizando amplia zona de necrosis en lóbulo hepático izquierdo y hematoma intraparenquimatoso de 15 x 10 centímetros (Figura 3), motivo por el cual se realiza nueva laparotomía exploradora con hallazgo de lóbulo hepático izquierdo necrótico y hematoma extenso de 1,500 ml (Figura 4); se realiza evacuación del hematoma, hepatectomía izquierda (Figura 5).

Posteriormente, la evolución es favorable y se egresa a los 10 días con control tomográfico normal, plaquetas dentro de parámetros normales, pruebas de función hepática sin alteraciones, la proteinuria disminuyó hasta 50 mg/dl. La paciente continuó seguimiento por parte de nefrología, presentando completa recuperación de la función renal, y sin eventos posteriores de hipertensión arterial.



DISCUSIóN

La ruptura hepática en el síndrome de HELLP es una complicación rara con una elevada mortalidad, la cual compromete la vida del binomio madre-hijo. Inicialmente descrita por Abercrombie en 1844; se presenta clínicamente con un cuadro de dolor abdominal predominantemente en el hipocondrio derecho o en epigastrio, dolor a nivel del hombro derecho, náusea, vómito y datos de choque hipovolémico.4 La ruptura hepática se puede presentar antes, durante o posterior al parto.

La causa de la formación de hematomas subscapulares e intrahepáticos en el síndrome de HELLP aún no es bien conocida, se ha demostrado que las pacientes con cuadros de eclampsia desarrollan áreas de necrosis y depósitos de fibrina en los sinusoides hepáticos, causando obstrucción al flujo sanguíneo y distensión hepática, lo cual provoca dolor epigástrico y en hipocondrio derecho;7 el tejido hepático cicatrizante en estos casos tiene mayor riesgo de sufrir ruptura debido a la elevación de la tensión arterial característica de este síndrome, formándose un hematoma subcapsular, el cual tiende a romperse fácilmente ante cualquier traumatismo o a la misma expansión del hematoma.6

La formación del hematoma es más frecuente en el lóbulo hepático derecho; en un estudio realizado por Henny y colaboradores en donde se incluyeron a 75 pacientes con presencia de hematomas hepáticos, se encontró que en 75% de los casos el hematoma estaba en el lóbulo derecho, 11% en el lóbulo izquierdo y 14% en ambos lóbulos.7

El manejo de esta complicación requiere de la sospecha clínica, así como de un diagnóstico temprano y tratamiento agresivo. El diagnóstico debe incluir, además de los exámenes de laboratorio dirigidos a monitorizar las alteraciones propias del síndrome de HELLP (biometría hemática, pruebas de coagulación y de función hepática), estudios de imagen que nos ayuden a determinar el tamaño del hematoma y la cantidad de líquido libre intraabdominal. El ultrasonido es el estudio de elección en la mayoría de los casos, la tomografía computarizada tiene una gran sensibilidad para determinar estas alteraciones; sin embargo, no está indicada como primer estudio en las pacientes que cursan con inestabilidad hemodinámica.

La interrupción del embarazo es parte importante del tratamiento al eliminar el estímulo placentario, por lo cual se deben de iniciar maduradores pulmonares en pacientes con embarazos menores a 34 semanas de gestación y preeclamsia severa, es esencial el control de la presión arterial.4

Se han descrito pocos informes de manejo no quirúrgico en casos de hematomas hepáticos pequeños y contenidos, en los cuales se debe realizar un monitoreo estricto de la evolución del hematoma mediante control radiológico, este tipo de tratamiento únicamente está indicado en pacientes con estabilidad hemodinámica y sin coagulopatía.8,9 La cirugía es el procedimiento de elección, ya que se asocia con una mejor sobrevida, el refinamiento de las técnicas quirúrgicas ha provocado una disminución de la mortalidad con un 30% descrito en algunas series actuales.5

Las opciones quirúrgicas descritas incluyen el empaquetamiento hepático, manejo con selladores de fibrina, sutura directa del tejido hepático dañado, ligadura o embolización de la arteria hepática, lobectomía hepática, trasplante hepático ortotópico, o una combinación de estos procedimientos.10 Las pacientes deben ser tratadas en un centro con experiencia en trauma hepático o por cirujanos especialistas en cirugía hepática y trasplante.

El empaquetamiento hepático por medio de compresas no siempre garantiza buenos resultados ya que las pacientes cursan con plaquetopenia; es importante para realizar un correcto empaquetamiento la completa movilización del hígado, mediante la sección de sus ligamentos. Se debe tener cuidado en casos con hematoma subcapsular contenido, ya que se puede provocar la avulsión de la cápsula hepática.

El control local de la hemorragia hepática, mediante uso de agentes hemostáticos o sutura de la superficie hepática sangrante, tiene un valor limitado con un bajo porcentaje de éxito sobre todo en casos de hematomas extensos.11

La interrupción del flujo de la arteria hepática, ya sea mediante ligadura directa o angioembolización, se ha utilizado en diversas patologías tales como trauma hepático, hematoma roto o hemorragia hepática espontánea, en muchos casos se trata de un método efectivo para el control de la hemorragia.12 En general, la ligadura de la arteria hepática es bien tolerada; es común encontrar elevación transitoria de las enzimas hepáticas, principalmente la aspartato aminotransferasa y alanina aminotransferasa, es importante señalar que en pacientes con patología hepática crónica esto se puede acentuar; es necesaria siempre la realización de colecistectomía, ya que la ligadura proximal al origen de la arteria cística puede provocar gangrena vesicular. Se ha demostrado que el desarrollo de reperfusión hepática mediante arterias colaterales después de la ligadura de la arteria hepática se desarrolla aproximadamente en 10 horas posterior al procedimiento;13 sin embargo, uno de los inconvenientes de este método es el desarrollo de áreas focales de necrosis hepática, las cuales pueden llegar a infectarse.

La ligadura arterial se puede realizar de manera selectiva en la arteria hepática derecha, izquierda o en la arteria hepática común; esto dependerá en gran medida de las características y el sitio del hematoma. Se puede realizar un clampaje transitorio para determinar si hay una disminución del sangrado, y posteriormente realizar el procedimiento definitivo mediante ligadura, descartándose que no existan arterias hepáticas aberrantes. La arteria hepática izquierda generalmente se trata de una rama de la arteria gástrica izquierda, y el origen de la arteria hepática accesoria derecha puede ser a nivel de la arteria mesentérica superior.4 En el estudio realizado por Araujo, se reportó la realización de ligadura de la arteria en un 50% de las pacientes con hematoma hepático, con buenos resultados en el control de la hemorragia hepática y sin evidencia de daño hepático posterior.8

Los casos más severos se presentan cuando ocurre un grado importante de necrosis hepática o desvascularización, cuando ésta es limitada, se pueden realizar resecciones hepáticas anatómicas o no anatómicas, de acuerdo con el área involucrada. En casos de sangrado incontrolable o hepatitis fulminante, el trasplante hepático ortotópico es el tratamiento de elección, el cual debe realizarse antes de que aparezcan complicaciones sépticas o falla multiorgánica.14

El tratamiento en cada caso debe estar inicialmente enfocado en salvar la vida de la paciente, lo cual en ocasiones implica realizar una primera intervención quirúrgica de control de daños, con empaquetamiento hepático y ligadura arterial, envío a la terapia intensiva para mejorar las condiciones generales de la paciente y, en un segundo tiempo, realizar el desempaquetamiento y un second look, en el cual se podrá realizar el tratamiento definitivo. El manejo resolutivo puede implicar la realización de resecciones hepáticas segmentarias, o en los casos más graves el trasplante hepático (Figura 6).

El síndrome de HELLP es una complicación tardía de la preeclampsia-eclampsia, lo cual obliga a enfatizar en la importancia del manejo médico como una de las medidas de prevención más importantes para evitar la ocurrencia de ruptura hepática, además de la importancia del control del embarazo obligado, aun cuando éste sea de bajo riesgo, con el monitoreo de cifras tensionales, y laboratorios que incluyan biometría hemática, pruebas de funcionamiento hepático y examen general de orina, con el objetivo de detectar preeclampsia o eclampsia de forma oportuna.



CONCLUSIONES

La ruptura hepática en el síndrome de HELLP es una complicación grave que continúa teniendo una elevada mortalidad a nivel mundial. El reconocimiento temprano de esta complicación junto con un manejo quirúrgico agresivo y apoyo multidisciplinario son las bases para disminuir la morbimortalidad asociada. Se han descrito múltiples técnicas quirúrgicas con diferentes resultados, es importante evaluar cada caso de acuerdo con su gravedad y referir de manera oportuna a centros especializados en cirugía hepática y trasplante.


REFERENCIAS (EN ESTE ARTÍCULO)

  1. Weinstein L. Syndrome of hemolysis, elevated liver enzymes, and low platelet count: a severe consequence of hypertension in pregnancy. Am J Obstet Gynecol. 1982; 142: 159-167.

  2. Mihu D, Costin N, Mihu CM, et al. HELLP syndrome-a multisystemic disorder. J Gastrointestin Liver Dis. 2007; 16: 419-424.

  3. Reck T, Bussenius-Kammerer M, Ott R, et al. Surgical treatment of HELLP syndrome associated liver rupture an update. Eur J Obstet Gynecol Reprod Biol. 2001; 99: 57-65.

  4. Guía de Práctica Clínica. Detección y tratamiento inicial de las emergencias obstétricas. México: Secretaría de Salud; elaboración 2010 y actualización 2011.

  5. Rinehart BK, Terrone DA, Magann EF, Martin RW, May WL, Martin JN Jr. Preeclampsia-associated hepatic hemorrhage and rupture: mode of management related to maternal and perinatal outcome. Obstet Gynecol Surv. 1999; 54: 196-202.

  6. Revilla RE, Rivera CF, Sarmiento JH, Ruiz OMR, Vásquez RH, López J. Ruptura hepática en una paciente con preeclampsia y ligadura de arteria hepática común. Reporte de un caso. Rev Asoc Mex Med Crit y Ter Int. 2008; 22: 254-259.

  7. Henny CP, Lim AE, Brummelkamp WH, et al. A review of the importance of acute multidisciplinary treatment following spontaneous rupture of the liver capsule during pregnancy. Surg Gynecol Obstet. 1983; 156: 593-598.

  8. Araujo AC, Leao MD, Nobrega MH, et al. Characteristics and treatment of hepatic rupture caused by HELLP syndrome. Am J Obstet Gynecol. 2006; 195: 129-133.

  9. Arias F, Mancilla-Jimenez R. Hepatic fibrinogen deposits in preeclampsia: immunofluorescent evidence. N Engl J Med. 1976; 295: 578-582.

  10. Wilson SG, White AD, Young AL. The management of the surgical complications of HELLP syndrome. Ann R Coll Surg Engl. 2014; 96: 512-516.

  11. Stain SC, Woodburn DA, Stephens AL. Spontaneus hepatic hemorrhage associated with pregnancy treatment by hepatic arterial interruption. Ann Surg. 1996; 224: 72-78.

  12. Loevinger EH, Vujic I, Lee WM, Anderson MC. Hepatic rupture associated with pregnancy: treatment with transcatheter embolotherapy. Obstet Gynecol. 1985; 65: 281-284.

  13. Mays ET, Wheeler CS. Demonstration of collateral arterial flow after interruption of hepatic arteries in man. N Engl J Med. 1974; 290: 993-996.

  14. Hunter SK, Martin M, Benda JA, Zlatnik FJ. Liver transplant after massive spontaneous hepatic rupture in pregnancy complicated by preeclampsia. Obstet Gynecol. 1995; 85: 819-822.



AFILIACIONES

1 Jefe del Departamento de Trasplantes. Hospital de Especialidades del Centro Médico Nacional La Raza, Instituto Mexicano del Seguro Social. Ciudad de México.

2 Cirujano de Trasplante. Hospital de Especialidades del Centro Médico Nacional La Raza, Instituto Mexicano del Seguro Social. Ciudad de México.

3 Director General. Hospital de Especialidades del Centro Médico Nacional La Raza, Instituto Mexicano del Seguro Social. Ciudad de México.

4 Director Médico. Hospital de Especialidades del Centro Médico Nacional La Raza, Instituto Mexicano del Seguro Social. Ciudad de México.

5 Hospital de Especialidades de Veracruz. Hospital de Especialidades del Centro Médico Nacional La Raza, Instituto Mexicano del Seguro Social. Ciudad de México.

6 Nefróloga. Hospital de Especialidades del Centro Médico Nacional La Raza, Instituto Mexicano del Seguro Social. Ciudad de México.



Consideraciones y responsabilidad ética: Privacidad de los datos. De acuerdo a los protocolos establecidos en el centro de trabajo de los autores, estos declaran que han seguido los protocolos sobre la privacidad de datos de pacientes preservado su anonimato. El consentimiento informado del paciente referido en el artículo se encuentra en poder del autor.

Financiamiento: No se recibió apoyo financiero para la realización de este trabajo.

Conflicto de intereses: Los autores declaran que no existe ningún conflicto de intereses en la realización del trabajo.



CORRESPONDENCIA

Dr. José Cruz Santiago. E-mail: jose.cruzs@imss.gob.mx; josecruzsantiago@hotmail.com




Recibido: 18/02/2018. Aceptado: 26/03/2019

Figura 1
Figura 2
Figura 3
Figura 4
Figura 5
Figura 6

2020     |     www.medigraphic.com

Mi perfil

C?MO CITAR (Vancouver)

Cir Gen. 2020;42

ARTíCULOS SIMILARES

CARGANDO ...