medigraphic.com
ENGLISH

Revista Mexicana de Ortopedia Pediátrica

ISSN 2007-087X (Impreso)
Órgano Oficial de la Sociedad Mexicana de Ortopedia Pediátrica
  • Mostrar índice
  • Números disponibles
  • Información
    • Información general        
    • Directorio
  • Publicar
    • Instrucciones para autores        
  • medigraphic.com
    • Inicio
    • Índice de revistas            
    • Registro / Acceso
  • Mi perfil

2020, Número 1-3

<< Anterior Siguiente >>

Rev Mex Ortop Ped 2020; 22 (1-3)


Presentación de un informe poco común de osteocondroma de escápula en paciente femenino adolescente

Contreras González, Ricardo Axhbal1; Hernández, Miguel Ángel2; Ardón, Javier3; Osvaldo Fortis, Ignacio3
Texto completo Cómo citar este artículo 10.35366/97453

DOI

DOI: 10.35366/97453
URL: https://dx.doi.org/10.35366/97453
Artículos similares

Idioma: Español
Referencias bibliográficas: 35
Paginas: 30-35
Archivo PDF: 280.73 Kb.


PALABRAS CLAVE

Exostosis, osteocondroma, tumor benigno, escápula.

RESUMEN

Introducción: El osteocondroma es un tumor benigno, el cual se encuentra predominantemente en la metáfisis de huesos largos. No es común que se presente a nivel de la escápula. Puede generar varias manifestaciones clínicas por su efecto de masa. Existen pocos reportes de presentación a nivel de la escápula. Objetivos: Presentamos el caso de paciente femenino de 14 años con antecedente de osteocondromatosis múltiple diagnosticada a los cuatro años de edad con resección quirúrgica en miembro torácico izquierdo y miembro pélvico derecho, quién presenta tumefacción en región dorsal izquierda con aumento de volumen de predominio subescapular, dolor a la palpación y movilidad, con limitación funcional progresiva en hombro izquierdo, asimetría de hombros de dos años de evolución. Es valorada con estudios de imagen con resultado de imagen pediculada de base amplia con forma irregular en relación a osteocondroma. Resultados: La paciente fue manejada de forma quirúrgica satisfactoriamente con abordaje abierto utilizando incisión paraespinal. La paciente no tiene evidencia de recurrencia en un seguimiento de seis meses, se integra a sus actividades cotidianas sin ninguna limitación o molestia a nivel funcional. Conclusiones: La sintomatología más frecuente en los pacientes con tumores óseos cartilaginosos son aumento de volumen y dolor, lo que coincide con nuestro reporte de caso, en el cual se realizó cirugía abierta, con preservación de la articulación glenohumeral, sin ningún tipo de complicación.



INTRODUCCIóN

El osteocondroma es el tumor benigno más común,1,2 también es conocido como una exostosis. El tumor consiste de una lesión compuesta de hueso medular y cortical recubierta de una capa de cartílago hialino ocurrida a una persistencia de osificación endocondral. Tiene dos formas de presentación: puede tener un pedículo o ser de base ancha de implantación (sésil, con un riesgo incrementado de transformación maligna).3-5

El osteocondroma ocurre de manera frecuente como una exostosis osteocartilaginosa solitaria y raramente como una lesión múltiple hereditaria.6,7

La transformación maligna del osteocondroma a condrosarcoma es la preocupación principal y su incidencia en tipo solitario es de 1%. Representan de 10 a 15% de todos los tumores óseos y alrededor de 3% de la población lo padece.8,9

La mayoría son solitarios, aparecen en la zona metafisaria de huesos largos, tienen predilección en fémur, tibia y húmero.10 Su sintomatología es consecuencia de una irritación mecánica o compresión de estructuras vecinas (partes blandas, hueso, nervios periféricos o vasos), por fractura o por transformación maligna.11

El osteocondroma de la escápula es un raro tumor benigno que produce dolor y disfunción mecánica de la articulación cuando se establece en la superficie ventral de la escápula.12 Esta entidad afecta principalmente a los varones en los periodos del crecimiento óseo, entre 10 y 30 años de edad.13

Estas lesiones representan 14.4% de todos los tumores de la escápula y 49% de los tumores benignos de la escápula.14 Rara vez los osteocondromas se encuentran en la superficie de la escápula, estos osteocondromas invocan irritación mecánica que conduce a la formación de la bursa, rotura, e incluso fractura de la escápula. Por lo general no crecen después de la madurez esquelética.15 La transformación maligna debe sospecharse cuando existe un incremento en el tamaño del tumor. En una transformación maligna el espesor del cartílago es mayor a 2 centímetros.16 La complicación más temida es el desarrollo de condrosarcoma, que puede presentarse hasta en 25% de los casos.17

El osteocondroma es generalmente asintomático y descubierto durante un examen radiológico solicitado por otros propósitos (por ejemplo: durante la búsqueda de fracturas después de un trauma). Dependiendo de su localización, el osteocondroma puede en ocasiones causar compresión neurovascular, problemas cosméticos y dolor. Esto regularmente dirige una eliminación con estudio de análisis histopatológico para confirmar el diagnóstico. Los síntomas desaparecen con recuperación completa de la función, lo cual es generalmente aceptado.4,18-21

El diagnóstico se realiza con la valoración física, clínica y exámenes complementarios que incluyen radiografías y la tomografía computarizada, confirmado por el histopatológico previa biopsia.22 La biopsia excisional del osteocondroma sintomático es segura y la función de la extremidad superior no se afecta.22 Las indicaciones para la intervención quirúrgica incluyen la disfunción mecánica de una articulación o tendón en relación con el tamaño de la lesión y el cambio sarcomatoso.23 Muchos autores han informado la realización de la escisión quirúrgica abierta cuando se vuelven sintomáticos con el chasquido doloroso de la escápula.4,24-26



PRESENTACIóN DEL CASO

Paciente femenino de 14.5 años de edad, originaria del Estado de México en área urbana, producto de la gesta I, embarazo normoevolutivo, obtenido por cesárea por oligohidramnios a las 40 semanas de gestación, presentó Apgar 8/9, con peso de 3.350 kg, talla de 55 cm. Antecedente de hepatitis A a los seis años de edad, escarlatina a los tres años de edad, varicela a los nueve años de edad, rotavirus a los 1.6 años de edad.

Inició padecimiento a los tres años con presentación de tumoraciones de miembro pélvico derecho, fue valorada por médico ortopedista quien mantuvo el caso sólo en observación. Acudió a este hospital a los cuatro años de edad, donde se diagnosticó con osteocondromatosis múltiple y se propuso resección de osteocondroma de cúbito izquierdo el día 03 de agosto de 2011 sin complicaciones. Posteriormente el día 01 de agosto de 2013 tuvo resección de osteocondroma de fémur distal derecho.

Ingresó el día 29 de enero de 2019 por presencia de tumefacción en región dorsal de hombro izquierdo, a nivel escapular, de predominio subescapular, con asimetría de hombros, aumento de volumen y dolor a la palpación de dos años de evolución. Ambas extremidades eutróficas, hombro izquierdo en abducción de 90o, flexión de 90o, limitación para rotación interna, externa de 45o, arcos de movilidad de hombro derecho completos al igual para codos, muñecas y región digital bilateral. Fuerza muscular 4/5 para extremidad superior izquierda y 5/5 para extremidad superior derecha, en todos los grupos musculares (Tabla 1), sensibilidad conservada, llenado capilar distal inmediato.

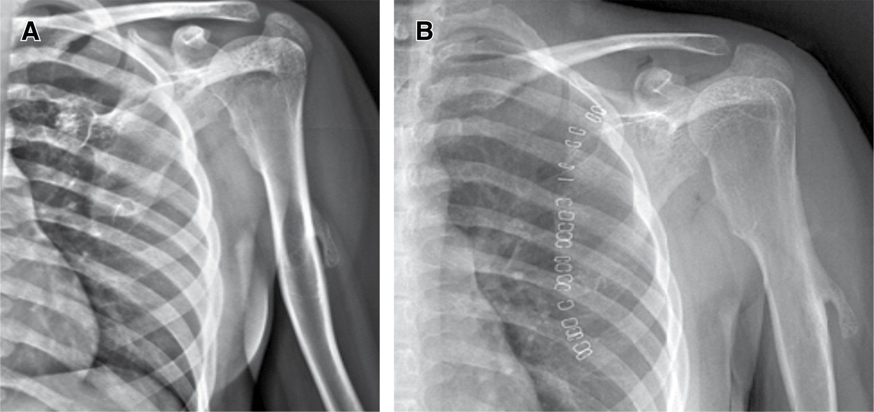
Fue programada el día 30 de enero de 2019 para resección de osteocondroma subescapular izquierdo (Figura 1), con valoración anestésica de IE (ASA I= paciente sano, E= cirugía de emergencia), sin contraindicación quirúrgica. Se coloca en decubito prono, bajo efectos de anestesia general balanceada (Figura 2), se realizó asepsia y antisepsia de extremidad torácica derecha y espalda, con posterior colocación de campos estériles con delimitación de sitio quirúrgico. Se realizó abordaje paraespinal sobre la escápula con desinserción de músculo romboidal de la espina de la escápula y se disecó hacia media, con exposición de pedículo del osteocondroma, se desinserta de su cápsula hasta delimitar todo su tamaño, con posterior corte a la base del osteocondroma con el uso de sierra oscilante y presencia de sangrado mínimo (Figura 3).

1

No se requirió de transfusiones durante trans- y postquirúrgico, no se ocupó aplicación de injerto óseo, sangrado aproximado durante evento quirúrgico mínimo. Se extrajo osteocondroma cuidadosamente con medida de 5.5 × 4.4 × 2.5 cm. Se envió al servicio de Patología (Figura 4)



DISCUSIóN

El osteocondroma es definido como una proyección ósea cubierta de cartílago, la cual surge sobre la superficie externa del hueso, contiene una cavidad medular de la placa de crecimiento y crece vía osificación endocondral por debajo del periostio.27

La sintomatología más frecuente en los pacientes con tumores óseos cartilaginosos de acuerdo con autores como Unni6 y Dorfman28 son aumento de volumen y dolor, lo cual coincide con nuestro reporte de caso.

La Organización Mundial de la Salud describe al osteocondroma como el tumor benigno más común,29 con una incidencia aproximada de 3% en la población general y 30% en todos los tumores benignos óseos.30

Los osteocondromas incrementan de tamaño con el esqueleto en crecimiento, pero de manera usual cesan el crecimiento con la madurez esquelética.26 Éstos son lesiones asintomáticas con afección más frecuente en rodilla, húmero proximal y pelvis, pero raramente surgen en huesos planos, incluyendo la superficie anterior de la escápula.15,21,26,27,31 La capa externa de la cabeza del osteocondroma está formada por cartílago hialino benigno de grosor variable delimitada por pericondrio.15 Sin embargo, esta condición debe ser descartada en casos de involucro en una escápula alada. Además de que estas lesiones son usualmente solitarias, con tamaño aproximado de 4 cm.29

De manera frecuente, los osteocondromas son encontrados de forma incidental; estas lesiones tienden a presentarse de forma asintomática, como crecimientos en masa del hueso involucrado. No obstante, algunas complicaciones como fracturas de la base del tallo de la lesión, inflamación de la bursa, deformidad ósea, pueden causar síntomas significativos como dolor, inflamación o problemas articulares.27 El diagnóstico para el osteocondroma es basado principalmente en la clínica y los hallazgos radiológicos, con la confirmación por histopatología.21

Los diagnósticos diferenciales para escápula alada son divididos en dos grupos: escápula alada verdadera y pseudoescápula alada. El primer grupo se encuentra originado por un crecimiento medial prominente de la escápula, el cual se incrementa con el movimiento de flexión del brazo contra resistencia. Las causas para este primer grupo son parálisis del nervio torácico, parálisis del nervio accesorio espinal, el cual conduce a parálisis del trapecio. Para el segundo grupo, el origen se encuentra en un incremento medial prominente de la escápula, el cual no incrementa con el movimiento de flexión del brazo contra resistencia. Dentro de las causas de este grupo se encuentran los tumores de superficie en la superficie ventral de la escápula (siendo el osteocondroma el más común) o de la superficie dorsal de las costillas, fracturas con mala unión de la escápula o costillas, deformidad cifoescoliosis por involucro de la columna vertebral.21

En México no hay estudios que reporten la incidencia de este padecimiento. Esta condición ha sido reportada en relación a osteocondromatosis múltiple en 14%, y 86% son osteocondromas solitarios sin factor hereditario.5,32,33

En nuestro reporte se estableció en la superficie dorsal de la escápula izquierda con presencia de asimetría de tórax y exostosis palpable. La vasta mayoría de los osteocondromas son asintomáticos; sin embargo, algunos síntomas están relacionados al tamaño y a la localización de la lesión.33

La resección endoscópica es considerada una buena opción en casos seleccionados, con una recuperación funcional temprana y mejores resultados en términos de alivio del dolor, funcionalidad postresección y resultados cosméticos.12,24 En el tratamiento de las malformaciones óseas, la mayoría de las técnicas involucran escisiones abiertas de la exostosis a través de una incisión paraescapular. Van Riet y Van Glabbeek34 describen el uso de la artroscopia escapulotorácica para la resección de un osteocondroma a través de un portal inferior. Ellos también notaron restauración completa de la función del hombro afectado sin dolor y con recuperación a las dos semanas de la cirugía.35 En nuestro caso se realizó cirugía abierta, con preservación de la articulación glenohumeral, sin ningún tipo de complicación.



CONCLUSIONES

Este reporte de caso describe una presentación infrecuente de osteocondroma, en el que se menciona el predominio de presentación en el sexo masculino, ocurriendo en un paciente femenino adolescente, siendo de rara presentación, con limitación funcional y cosméticas, sin presentar evolución a transformación maligna. Se realizó escisión quirúrgica abierta con alivio y recobro de la funcionalidad en esta paciente. La transformación maligna es muy inusual en el osteocondroma. Se realiza seguimiento de seis meses posterior al evento quirúrgico, donde no se presentó infección ni sangrado en el sitio de la herida quirúrgica. Muestra recuperación de la movilidad escapulotorácica en comparación con la contralateral, mejoría en los arcos de movilidad de los músculos romboides, subescapular, supraespinoso, redondo menor, redondo mayor con movimientos completos en toda su amplitud contra gravedad y en contra de una resistencia manual moderada correspondiente a una escala de Daniels 4/5. Posterior al evento quirúrgico no se presentó signo de escápula alada y prueba de Belly press negativa.


REFERENCIAS (EN ESTE ARTÍCULO)

  1. Padua R, Castagna A, Ceccarelli E, Bond' R, Alviti F, Padua L. Intracapsular osteochondroma of the humeral head in an adult causing restriction of motion: a case report. Journal of Shoulder and Elbow Surgery. 2009; 18(4): e30-e31.

  2. Pongkripetch M, Sirikulchayanonta V. Analysis of bone tumors in Ramathibodi hospital, Thailand during 1977-1986: study of 652 cases. J Med Assoc Thai. 1989; 72 (11): 621-628.

  3. Dahlin DC, Unni KK, Bone tumors. In: Dahlin DC, Unni KK, Eds. General Aspects and Data on 8542 cases. 4th ed., Charles C Thomas, Springfield, Ill, USA, 1986. pp. 18-27.

  4. Frost NL, Parada SA, Manoso MW, Arrington E, Benfanti P. Scapular osteochondromas treated with surgical excision. Orthopedics. 2010; 33(11): 804.

  5. Murphey MD, Choi JJ, Kransdorf MJ, Flemming DJ, Gannon FH. Imaging of osteochondroma: variants and complications with radiologic-pathologic correlation. Radiographics. 2000; 20(5): 1407-1434.

  6. Unni KK. Osteochondroma. In: Unni KK, Ed., Dahlin's bone tumors: general aspects and data on 11,087 cases. 5th ed., Lippincott-Raven Publishers, Philadelphia, Pa, USA, 1996. pp. 11-23.

  7. Wise CA, Clines GA, Massa H, Trask BJ, Lovett M. Identification and localization of the gene for EXTL, a third member of the multiple exostoses gene family. Genome Res. 1997; 7(1): 10-16.

  8. Woertler K, Lindner N, Gosheger G, Brinkschmidt C, Heindel W. Osteochondroma: MR imaging of tumor-related complications. Eur Radiol. 2000; 10: 832-840.

  9. Gammanagati S, Gugalani B, Singh N. Large bursa associated with osteochondroma of ventral sacapula. Eur J Radiol. 2004; 51:103-105.

  10. Carpintero P, Del Fresno JA, Carpintero R, Glavez M, Marín MA. Complicaciones de los osteocondromas. Revista Española de Cirugía Osteoarticular. 2009; 237(44): 22-29.

  11. Karasick D, Schweitzer ME, Eschelman DJ. Symptomatic osteochondromas: imaging features. AJR Am J Roentgenol. 1997; 168: 1507-1512.

  12. Perez D, Cano JR, Caballero J, Lopez L. Minimally invasive selection of a scapular osteochondroma. Interact Cardiovasc Thorac Surg. 2011; 13(5): 468-470.

  13. Clement ND, CHE EN, Porter DE. Shoulder exostoses in hereditary multiple exostoses: probability of surgery and maligmant change. J Shoulder Elbow Surg. 2011; 20: 290-294.

  14. Lu MT, Abboud JA. Subacromial osteochondroma. 2011; 34(9): e581-583.

  15. Aaldenink K, Wolf B. Scapular osteochondroma treated with arthroscopic excision using prone positioning. Am J Orthop. 2010; 2: 39.

  16. Ambulgekar RK, Jaiswal N, Prajyot KG, Rohit TD, Berlia R. A case report of a rare location solitary osteochondroma: scapula 2015. Nigerian Journal of Basic and Clinical Sciences. 2015; 12(2): 126-128.

  17. García-Lamazares M, Someso-Orosa E, Zamora-Casal A, Rodríguez-Moldes E. Osteocondromatosis múltiple familiar: a propósito de un caso. Semergen. 2013; 39: 171-174.

  18. Jindal M. Delayed presentation of osteochondroma at superior angle of scapula-a case report. J Orthop Case Rep. 2016; 6(3): 32-34.

  19. Chillemi C, Franceschini V, Ippolito G et al. Osteochondroma as a cause of scapular winging in an adolescent: a case report and review of the literatura. Journal of Medical Case Reports. 2013; 7(1): 220.

  20. Ermi? MN, Aykut US, Durakba?a MO, Ozel MS, Bozku? FS, Karaka? ES. Snapping scapula syndrome caused by subscapular osteochondroma. Eklem Hastalik Cerrahisi. 2012; 23(1): 40-43.

  21. Tittal P, Pawar I, Kapoor SK. Pseudo-winging of scapula due to benign lesions of ventral surface of scapula–two unusual causes. J Clin Orthop Trauma. 2015; 6(1): 30-35.

  22. Mehmet NE, Umit SA, Mehmet OD, Mustafa SO, Ferdi SB, Eyup SK. Snapping Scapula Syndrome caused by subscapular osteochondroma. Eklem Hastalik Cerrahisi. 2012; 23(1): 40-43.

  23. Espín VL, Vidal VA, Espín RG. Osteocondroma escapular: un caso infrecuente. Int J Med Surg Sci. 2016; 3(4): 1031-1034.

  24. Fageir M, Edwards M, Addisson A. The surgical management of osteochondroma on the ventral surface of the scapula. J Pediatr Orthop B. 2009; 18(6): 304-307.

  25. Kwon O, Kelly JI. Delayed presentation of osteochondroma on the ventral surface of the scapula. Int J Shoulder Surg. 2012; 6(2): 61-63.

  26. Abat F, Trullols L, Alvarez C, Peiró A, Olivera D, Gracia I. The snapping scapula as a symptom of a tumour in the scapulothoracic region. Española de Cirugia Ortopedica y Traumatologia. 2014; 57(2): 123-128.

  27. Mohsen MS, Moosa NK, Kumar P. Osteochondroma of the scapula associated with winging and large bursa formation. Med Princ Pract. 2006; 15: 387-390.

  28. Dorfman AD, Czerniak B. Bone tumors. St Louis, Mosby, 1998. pp. 253-440.

  29. Fletcher CD, Unni KK, Mertens F; World Health Organization; International Academy of Pathology. Pathology and genetics of tumours of soft tissue and bone. Lyon: IARC Press, France. 2002. p. 4.

  30. Alatassi AR, Koabana S, Almugebel I, Alshehr A. Scapular osteochondroma with winging: a case report. Int J Surg Case Rep. 2018; 45: 138-142.

  31. Nascimento AT, Claudio GK. Snapping scapula: arthroscopic resection of osteochondroma of the subscapularis superomedial angle. Case report and literature review. Rev Bras Ortop. 2017; 52: 220-223.

  32. Unni KK, Inwards CY. Dahlin's bone tumors: general aspects and data on 10,165 cases. 6th ed. Wolters Kluwer/Lippincott Williams & Wilkins, Philadelphia, PA, USA, 2010.

  33. Bovee VMG, Heymann D, Wuyts W. Osteochondroma. WHO classification of tumours of soft tissue and bone. In: Fletcher CDM, Bridge JA, Hogen- doorn PCW, Mertens F, Eds., International agency for research on cáncer. Lyon, France, 2013. pp. 250-251.

  34. Van Riet RP, Van Glabbeek F. Arthroscopy resection of a symptomatic snapping subscapular osteochondroma. Acta Orthop Belg. 2007; 73(2): 252-254.

  35. Cammarata-Scalisi F, Sánchez-Flores R, Stock-Leyton F, Labrador-Chacón N, Cammarata-Scalisi G. Exostosis múltiple hereditaria. Reporte de un caso y diagnóstico diferencial de las encondromatosis. Acta Ortop Mex. 2012; 26: 388-392.



AFILIACIONES

1 Médico Residente de tercer año de Traumatología y Ortopedia, Hospital IMSS Puebla.

2 Médico Adscrito de la clínica de mano, Hospital Shriners para niños, Ciudad de México.

3 Médico Residente de Ortopedia Pediátrica Hospital Shriners, Ciudad de México.



NIVEL DE EVIDENCIA

IV



CORRESPONDENCIA

Ricardo Axhbal Contreras González. E-mail: axbhal@hotmail.com




Recibido para publicación: 20/06/2020. Aceptado: 04/11/2020.

Figura 1
Figura 2
Figura 3
Figura 4
Figura 5
Tabla 1

2020     |     www.medigraphic.com

Mi perfil

C?MO CITAR (Vancouver)

Rev Mex Ortop Ped. 2020;22

ARTíCULOS SIMILARES

CARGANDO ...