medigraphic.com
ENGLISH

Anales Médicos de la Asociación Médica del Centro Médico ABC

ISSN 0185-3252 (Impreso)
Revista de la Asociación Médica del Centro Médico ABC
  • Mostrar índice
  • Números disponibles
  • Información
    • Información general        
    • Directorio
  • Publicar
    • Instrucciones para autores        
  • medigraphic.com
    • Inicio
    • Índice de revistas            
    • Registro / Acceso
  • Mi perfil

2020, Número 4

<< Anterior Siguiente >>

An Med Asoc Med Hosp ABC 2020; 65 (4)


Descripción clínica y manejo de pacientes con trauma orbitario

Olvera Morales, Osiris1; García Flores, Alba Nayeli1; Schiappapietra Gerez, Juan Manuel2; Pinto Álvarez, Carmen Ivón2; Rodríguez Chávez, Leticia Nicte2; Rodríguez Cabrera, Lourdes 1,3
Texto completo Cómo citar este artículo 10.35366/97462

DOI

DOI: 10.35366/97462
URL: https://dx.doi.org/10.35366/97462
Artículos similares

Idioma: Español
Referencias bibliográficas: 22
Paginas: 255-261
Archivo PDF: 366.71 Kb.


PALABRAS CLAVE

Trauma orbitario, ocular, periorbitario.

RESUMEN

Introducción: La exploración oftalmológica es crítica en la evaluación inicial de casos con traumatismo craneofacial. El conocimiento de la anatomía orbitaria, periocular, ocular y la sospecha de lesiones ocultas son básicas para restablecer la anatomía y función adecuadas. Objetivo: Describir características clínicas de sujetos con trauma orbitario para el reconocimiento temprano de lesiones graves. Material y métodos: Estudio descriptivo, retrospectivo y transversal, revisión de expedientes de casos con traumatismo orbitario, periorbitario y fracturas de órbita. Documentamos datos demográficos, mecanismo, tipo y sitio del trauma, datos clínicos y de imagen, y su asociación con lesiones del área periocular y ocular. Resultados: Dieciocho pacientes referidos a órbita y oculoplástica, con edad 2 a 77 años. El 92.3% con trauma orbitario contuso. El 7.7% trauma palpebral penetrante, 20% con fractura del piso orbitario (95% fracturas blowout). Un 5% con herida de vía lagrimal, 69% con compromiso del globo ocular y compromiso de la visión en 58%. El 7.7% fue hospitalizado. Al 20% se le pidió tomografía computada. Se evisceró un paciente con trauma penetrante palpebral y lesión grave del globo ocular. Un caso con cuerpo extraño orbito-palpebral. Ninguno con daño neurológico. Todos recibieron esteroides y analgésicos orales. Antibióticos orales en un sujeto. Todos con tratamiento oftálmico tópico. Se utilizó IBM SPSS Statistics V21.0. Conclusiones: El manejo adecuado es crucial para el pronóstico, tras la estabilización sistémica es importante una historia clínica exhaustiva, conocer el mecanismo, el tiempo de evolución y el manejo establecido, y una exploración oftalmológico-orbitaria completa. En sospecha de lesiones óseas o de tejidos intraorbitarios, solicitar estudios imagen.



INTRODUCCIóN

La exploración oftalmológica es crítica en la evaluación inicial de casos con traumatismo craneofacial y orbitario. Se debe valorar la visión y la integridad del globo ocular. Se debe sospechar cuerpos extraños intraoculares, hemorragia orbitaria o lesión del nervio óptico. Se debe explorar el contorno facial y orbitario, la integridad de los párpados y de la vía lagrimal. El reconocer tempranamente estas lesiones y ofrecer tratamientos adecuados puede restablecer la anatomía y función normales.1,2 En los casos politraumatizados, la prioridad se basa en la estabilización bajo las normas de priorización de actuación del soporte vital avanzado traumatológico, por lo que se requiere un abordaje multidisciplinario.3,4

La cavidad orbitaria es una estructura ósea con forma piramidal cuadrangular, de base anterior y vértice posterior en el cráneo. El tercio medio de las paredes es más delgado y propenso a fracturarse, la pared medial (lámina papirácea del hueso etmoides) es la más delgada pero estable por el aire contenido en las celdillas; y en el piso (hueso maxilar) en la porción medial al canal del nervio infraorbitario es delgada, lo que la hace más susceptibles a fracturas.3,5,6 Las fracturas orbitarias sin involucro del borde óseo se conocen como "fracturas puras". Se han propuesto tres teorías como mecanismos de las fracturas. 1. La fuerza directa que ejerce el globo ocular contra la pared orbitaria durante el impacto, ocasiona una fractura blowout, con el borde orbitario intacto.5,6 2. La teoría hidráulica: un traumatismo ocular contuso ejerce un aumento en la presión intraorbitaria, ocasionando una fractura mayor en las paredes delgadas. 3. El mecanismo de transmisión directa: el impacto en el borde anterior de la órbita genera una fuerza directa sobre las paredes más delgadas, lo que ocasiona una disrupción sin que se fracture el borde orbitario.3,7 Las fracturas orbitarias representan más del 40% de todas las fracturas faciales, se asocian con complicaciones como alteración en la posición del globo ocular, diplopía y pérdida visual significativa o pérdida total hasta en el 64% de los casos.8 Las fracturas del piso y de la pared medial corresponden al 81% de todas las fracturas de órbita.5,6 La pared medial es el sitio más común de fracturas (45.8%), seguido por las fracturas del piso (29.4%), y después las fracturas inferomediales (24.6%). La fractura blowout se presenta más en hombres jóvenes de 21 a 30 años por un asalto.6 En 35% de las mujeres con fracturas orbitarias, se debe sospechar como causa agresión intrafamiliar, en ausencia de antecedente de accidente vehicular. La etiología más común es por asalto en 36 a 47%,9 seguida del trauma por colisión en vehículos motorizados 32%, caídas 8%, deportes 11%, ocupacional 3%, y por heridas con proyectil de arma de fuego 2%.6,10 Las manifestaciones clínicas son: limitación de los movimientos oculares; visión doble; posición anormal del globo ocular; asimetría facial; equimosis periorbitaria; áreas de hiper o hipoestesia en la mejilla; y depresión o hundimiento del borde óseo orbitario.11 Los cuerpos extraños se sospechan en personas que hayan recibido un impacto de alta velocidad (proyectil por arma de fuego, objetos metálicos o de madera a gran velocidad),10 y en aquéllos con una herida con sitio de entrada o laceración.11 La tomografía computada (TC) corrobora o descarta la presencia de cuerpo extraño intraocular o intraorbitario. Los de origen orgánico (madera) se extraen, ya que pueden generar infecciones severas. Los inorgánicos sólo si causan complicaciones o están anteriores, y los localizados en tejidos orbitarios posteriores se dejan a menos que causen complicaciones en estructuras anatómicas significativas.12 El trauma palpebral contuso se debe a golpe directo con un objeto romo, ocasiona edema, equimosis y ptosis. El trauma palpebral abierto (heridas abiertas simples) pueden ser superficiales: laceraciones o abrasiones; y no comprometen el margen palpebral. Las heridas abiertas complejas involucran el margen palpebral o todo el espesor del párpado. En heridas del canto medial se debe sospechar involucro de la vía lagrimal.13 El 5% de los traumas oculares se asocian a heridas de tejidos perioculares; el 81% son laceraciones de la vía lagrimal y el 61% son deformidades palpebrales.14,15 Las heridas penetrantes de los párpados obligan a pensar en lesión del globo ocular, y la posibilidad de cuerpos extraños intraoculares. El 55% de casos con traumatismos faciales presenta trauma ocular u orbitario.16 Las perforaciones oculares y rupturas del globo ocular tienen estadísticamente peor pronóstico; la hemorragia vítrea, desprendimiento de retina, ruptura coroidea y endoftalmitis son factores de mal pronóstico visual e incrementan el riesgo de ceguera. El 65% de los ojos lesionados muestran mejoría visual si el manejo es adecuado y oportuno.17

Una exploración oftalmológica ordenada descarta o detecta estructuras involucradas; conocer la anatomía ocular, periocular y de la órbita es útil para detectar alteraciones y sospechar lesiones ocultas. Se debe descartar compromiso del globo ocular, de la vía lagrimal, lesión del nervio óptico o de los múscu­los extraoculares.10 En la inspección del área periocular se observa edema, hematoma, aumento de volumen, asimetría y/o presencia de heridas. En las heridas penetrantes del canto medial puede haber lesión de los canalículos lagrimales.14,15 La palpación cuidadosa de los bordes óseos ayuda a detectar asimetrías y/o depresiones, dolor, crepitación, aumento o disminución de la sensibilidad en áreas específicas en la región periocular;11 la limitación en los movimientos oculares puede deberse a edema de tejidos, hemorragia intraorbitaria o lesión directa de los músculos por avulsión o atrapamiento en un sitio de fractura; la exploración de los reflejos pupilares ayuda a sospechar afección del nervio óptico, del quiasma o del tracto óptico; la asimetría en el diámetro entre una y otra pupila podría indicar lesión penetrante del globo ocular.13 Si existe o no alteración de la visión en traumatismos severos hay que sospechar una afección importante o incluso pérdida de la visión. En sujetos conscientes, se debe hacer una exploración en lámpara de hendidura, para determinar el estado del globo ocular, si está íntegro, explorar para búsqueda de laceraciones conjuntivales o lesiones corneales, se debe tomar la presión intraocular, ya que un ojo hipotónico sugiere la posibilidad de perforación ocular o daño intraocular; también es importante explorar el iris, el cristalino, y bajo dilatación pupilar explorar el fondo de ojo para descartar hemorragia vítrea, lesiones retinianas, lesión en la papila del nervio óptico o cuerpos extraños intraoculares.13 Cuando se sospeche o corrobore un globo ocular perforado, es mejor hacerlo en un quirófano, por médicos y con equipo especializado. La TC se usa en la evaluación de casos con trauma craneofacial y proporciona detalles de estructuras óseas y de tejidos blandos. Se observa expansión de los huesos, herniación grasa y/o atrapamiento muscular por el fragmento óseo, detecta alteraciones en el contenido e integridad del globo ocular, describe las partes blandas intraorbitarias y lesiones tisulares, se pueden reconocer patrones comunes de fracturas orbitarias, ayuda a localizar cuerpos extraños intraoculares e intraorbitarios; los cuerpos extraños orgánicos pueden no ser detectados. Los estudios de imagen guían las decisiones de manejo médico y/o quirúrgico, y se aumenta la exactitud de reconstrucción orbitaria al planear el procedimiento quirúrgico.18,19



MATERIAL Y MéTODOS

Se realizó un estudio retrospectivo, observacional, descriptivo y transversal. Se revisaron expedientes de casos con traumatismo orbitario y periocular en un centro de referencia oftalmológico en 2019. Se evaluó: edad y género; mecanismo y su etiología; órbita afectada; existencia de compromiso neurológico; compromiso ocular; manifestaciones clínicas; presencia de fracturas orbitarias; compromiso de agudeza visual; tratamiento médico y/o quirúrgico otorgado; y estudio de imagen solicitado. Se realizó análisis de estadística descriptiva para las variables demográficas con medias y porcentajes, así como medidas de tendencia central, y se utilizó un paquete estadístico IBM SPSS Statistics V21.0.

Caso clínico 1

Mujer de tres años con traumatismo directo en región orbitaria izquierda (palo de piñata), fue valorada y referida sin datos de compromiso neurológico y con esquema de antibióticos orales. Ultrasonido ocular con integridad del globo ocular izquierdo. Presenta edema y equimosis bipalpebral, agudeza visual en ambos ojos: fija luz, sigue con la mirada e intenta tomar objetos pequeños. Movimientos oculares normales. En quirófano se observaron laceraciones corneales epiteliales lineales en meridiano de las II y III, sangre en el ángulo iridocorneal (hipema) y opacidad del cristalino. Fondo de ojo con hemorragia vítrea. Hemorragias subconjuntivales en meridiano de las V, se extrajo una astilla que generó una herida lamelar conjuntival y escleral, la cual se cerró. Herida de piel en ceja se cierra con puntos simples, la herida de espesor completo en el párpado inferior izquierdo se extiende hacia conjuntiva del fondo de saco inferior, lesión en porción interna del canalículo lagrimal inferior, que requirió intubación con tubo de silicón (Figura 1). Se explora el borde óseo inferior y el piso anterior de la órbita, ambos sin datos de fractura; se observaron y retiraron diminutos fragmentos de madera en conjuntiva y hacia el piso anterior de la órbita (Figura 2); se irriga con antibióticos y se cierra por planos. Se resuelve con manejo médico y tratamiento tópico ocular, la hemorragia vítrea, la uveítis traumática y el hipema. En segundo tiempo quirúrgico, se opera la catarata traumática. A los seis meses se retiró tubo de silicón de la vía lagrimal, corroborándose su permeabilidad y función.

Caso clínico 2

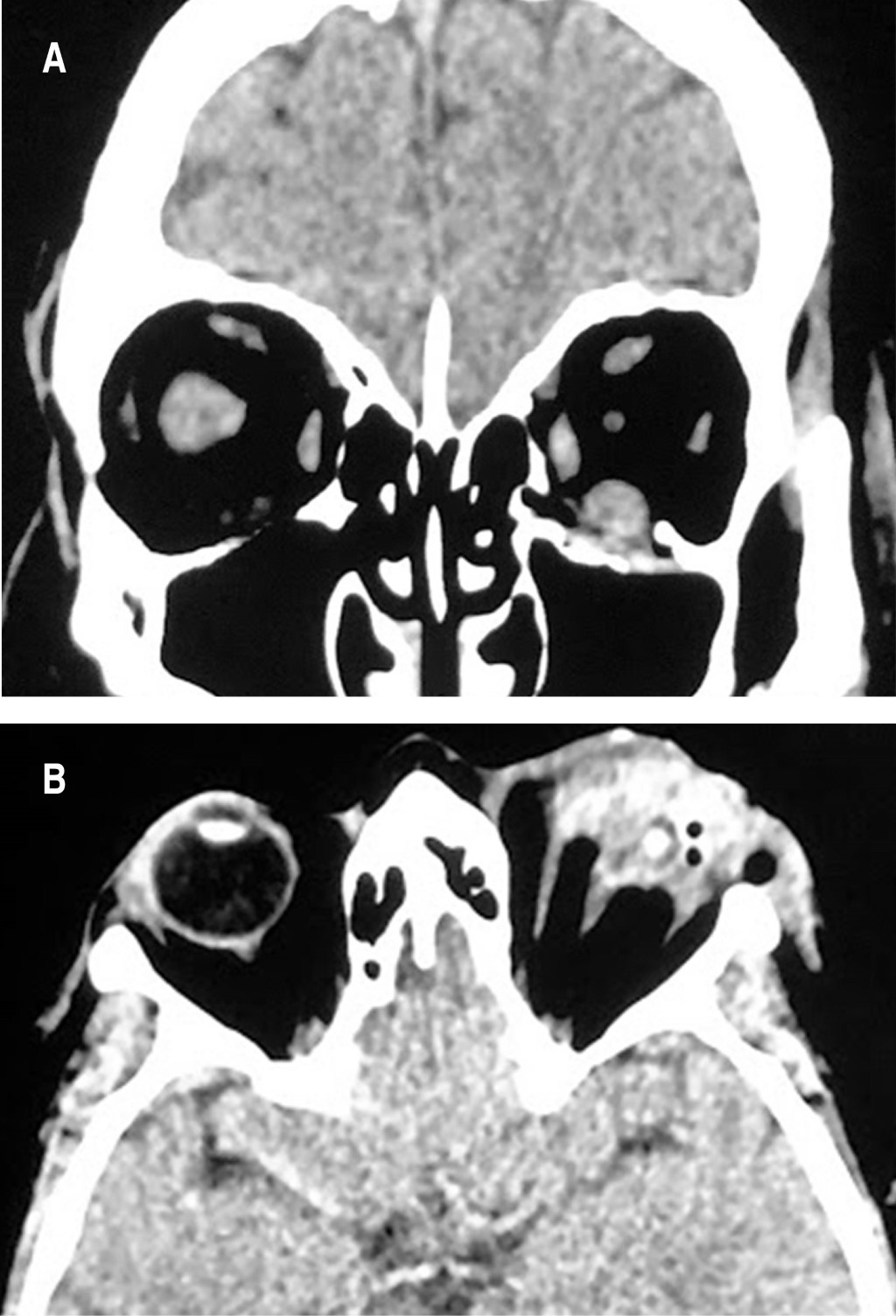
Hombre de 45 años con trauma directo por explosión de fuego artificial en región orbitaria izquierda, refiere dolor, sangrado y pérdida visual. Presenta restos hemáticos, edema y equimosis bipalpebrales. Agudeza visual en ojo izquierdo: no percepción de luz (NPL) (ojo sin visón); neurológicamente sin compromiso; la TC de órbitas muestra fractura del piso de la órbita con leve desplazamiento inferior del fragmento hacia el seno maxilar; aumento de volumen en el músculo recto inferior; y pérdida de la anotomía del globo ocular (Figura 3). Se observan laceraciones en piel, herida penetrante en ambos párpados izquierdos con involucro del margen palpebral y tarso, con heridas penetrantes en córnea, esclera con salida de iris y úvea (Figura 4). Se realiza evisceración (retiro de la córnea y todo el contenido intraocular, conservando esclera y conjuntiva), se coloca un implante esférico de ácido poliláctico (PLA) en el espacio intraescleral y cierre por planos. Inicia tratamiento tópico ocular mixto (antibiótico/esteroides), y antiinflamatorios esteroideos orales. Se decide manejo conservador de la fractura por no cumplir criterios quirúrgicos. A las seis semanas se coloca prótesis ocular cosmética.

Caso clínico 3

Hombre de 43 años con golpe contuso con un puño, refiere poco dolor y niega baja visual. Se observa hematoma y ligero edema bipalpebral derecho, movimientos oculares conservados, hemorragia subconjuntival en 360 grados, y herida palpebral con laceración del canalículo inferior de la vía lagrimal. En el segmento anterior, se observa celularidad moderada en cámara anterior. Fondo de ojo sin alteraciones. No se palpa solución de continuidad en el borde óseo orbitario. Se realiza dacriointubación de la vía lagrimal con tubo de silicón bajo anestesia general (Figura 5). Se indica tratamiento tópico ocular para la uveítis traumática, y medicamento mixto (antibiótico con esteroide) para la vía lagrimal y herida palpebral. En 10 días se resuelve la uveítis. A los seis meses se retira el tubo de silicón, con vía lagrimal funcional.



RESULTADOS

Se revisaron 65 expedientes de casos con traumatismo orbitario, periocular y ocular, 18 pacientes (29.2%) fueron referidos al Departamento de Órbita y Oculoplástica. El rango de edad fue de 2 a 77 años, con una media de 36 años. La edad más afectada fue de 21 a 30 años. 76.9% fueron hombres y 23.1% mujeres. El lado más afectado con 54% fue el derecho, 42% izquierdo, 4% fueron bilaterales. Las causas etiológicas encontradas fueron: 45% por violencia, en 24.6% en el hogar, en 15% por caída y 4% secundario a mordedura de perro, en un 11.4% no se especificó el mecanismo del trauma. Dicho mecanismo en 92.3% fue trauma orbitario contuso, de éstos el 26.7% requirió cirugía. En 7.7% trauma palpebral penetrante, de estos el 80% requirió cirugía para la reconstrucción palpebral; el 98.5% recibió algún tratamiento médico o quirúrgico. Todos recibieron tratamiento con esteroides y analgésicos orales; el 30% había recibido previamente tratamiento con antiinflamatorios. El uso de antibióticos orales se reportó en una niña con traumatismo directo con el palo de piñata. A todos se les indicó tratamiento oftálmico tópico: gotas y/o ungüentos mixtos. De los 18 pacientes, 20% presentó fractura de órbita, con 95% tipo blowout, un paciente (5%) fractura de trípode. La pared más afectada fue el piso en 85%, las órbitas izquierda y derecha se vieron afectadas en 50% respectivamente; un caso con bilateral. Con respecto al involucro del borde óseo, el 77% de las fracturas fue pura y el 23% impura, un tercio de las fracturas se asoció a atrapamiento de músculo rectoinferior. El 88.9% de los casos con fractura presentaron diplopía al inicio y en todos se evidenció alguna alteración (edema o hematoma) de los músculos extraoculares por TC. Con respecto a los criterios para considerar la reparación quirúrgica de la fractura: a) en el 69% de los casos con fractura de piso, la extensión o tamaño fue de más de 50% de su longitud, b) el 85% de los casos presentó enoftalmos mayor de 2 mm y c) en el 85% hubo diplopía en los 30 grados centrales. Por lo que el 39% de los casos requirió tratamiento quirúrgico, en los que se utilizó medpor como material de osteosíntesis, excepto en un caso que se utilizó medpor combinado con malla de titanio. El 54% de los casos sólo requirió tratamiento conservador, y en 7% no ameritó ningún tratamiento. Lesiones asociadas con compromiso de vía lagrimal en 5%. En 69% se documentó algún compromiso del globo ocular, de éstos, el 58% tuvo un compromiso de la visión. Un paciente (5.5%) con traumatismo penetrante a nivel palpebral y herida penetrante del globo ocular, requirió evisceración por imposibilidad de cierre primario del globo ocular. Un caso (5.5%) por trauma penetrante directo al globo ocular también fue eviscerado. Ningún sujeto presentó daño neurológico, sólo un paciente (5.5%) se describió con cuerpo extraño orbito-palpebral (orgánico), el cual se retiró. Sólo 7.7% requirió hospitalización. Al 20% se les solicitó tomografía computada.



DISCUSIóN

Los casos con traumatismos que involucran la cara y la cabeza pueden asociarse con lesiones de la región orbitaria, de los tejidos perioculares, incluso comprometer el globo ocular y, por lo tanto, ser lesiones que amenazan la visión. En varias ocasiones son politraumatizados y requieren atención prioritaria de vida. Nuestro objetivo es mostrar que la exploración oftalmológica, una vez estabilizado el paciente, es importante y debe realizarse de manera completa y debe incluir la valoración orbitaria y ocular para identificar lesiones graves que pongan en peligro la función visual, como lesión penetrante o perforante de los tejidos perioculares, trauma directo del globo ocular, y todas aquéllas que requieran un tratamiento temprano para garantizar la restauración de la anatomía y la función adecuadas. Incluso lesiones que puedan ser superficiales en los tejidos periorbitarios pueden acompañarse de fracturas orbitarias y poner en riesgo la visión. Similar a lo que reportan Erdmann D6 y Shin JW,9 encontramos que el rango de edad es de 36 años, y que el género más afectado (76.9%) fueron hombres, y 23.1% mujeres. Similar que en otras series, encontramos que la etiología fue: 45% por violencia, en 24.6% en el hogar, en 15% por caída y 4% secundario a mordedura de perro, en un 11.4% no se especificó el mecanismo del trauma.

En nuestra investigación, de los 18 pacientes con traumatismo orbitario, el 20% presentó fractura de órbita, de éstos el 95% fueron de tipo blowout, y el 5% con fractura de trípode. La pared más afectada fue el piso de la órbita en 85% de los casos, lo que concuerda con varios estudios que han reportado que hasta el 55% de los traumas faciales presentan lesiones óculo-orbitarias, y otros estudios reflejan que el 20% de los casos con traumas faciales presentan fracturas orbitarias y pueden asociarse con pérdida de la visión.20 Dentro de las lesiones asociadas con los traumatismos orbitarios, los cuerpos extraños intraorbitarios se presentan en pacientes quienes recibieron un impacto de alta velocidad, como ocurrió en uno de los sujetos, ocasionado por un impacto con objeto a gran velocidad, o en otras ocasiones con un proyectil de arma de fuego o un accidente con maquinaria industrial; sin embargo, deben sospecharse aun con traumatismos relativamente triviales. Se requiere tener en mente esta posibilidad, ya que un cuerpo extraño retenido puede dar lugar a complicaciones orbitarias graves.21 Las lesiones traumáticas del globo ocular son tan frecuentes como las de la órbita y tejidos perioculares, todas ellas pueden ser causa de daño visual severo.22 Estudios han demostrado que este tipo de lesiones, como el globo ocular abierto, y lesiones del nervio óptico tienen una incidencia mayor con trauma facial entre el 3 y 7%, como lo reportamos en dos de los casos con trauma penetrante al globo ocular (11%) que requirieron evisceración. Como hospital de referencia oftalmológico, las personas se presentan con valoraciones por otras disciplinas, entre ellos neurología/neurocirugía, ya que se deben descartar lesiones cerebrales y aquéllas que comprometen el estado de alerta, para poder realizar cirugías complejas de reparación de fracturas, reparación de vías lagrimales y para restaurar la anatomía y función ocular. El uso generalizado de antibióticos orales es controversial, y sólo se reportó en una niña con el traumatismo directo y cuerpo extraño intraorbitario, y por el riesgo alto de desarrollar celulitis orbitaria y endoftalmitis secundaria a cuerpo extraño orgánico. Todos fueron manejados con medicamentos oftálmicos específicos, y el 98.5% recibió algún tratamiento médico con esteroides orales.



CONCLUSIONES

Por la estrecha relación anatómica, el trauma craneofacial se asocia con lesiones de órbita, de tejidos perioculares y del globo ocular. El médico que recibe y atiende a sujetos traumatizados, sobre todo en cara, debe conocer la gran variabilidad de presentación de lesiones orbito-oculares, tanto aquellas lesiones graves evidentes o las que pudieran estar ocultas, y las que los médicos especializados puedan sospechar. El manejo adecuado de los traumatismos orbitarios puede ser complejo, es crucial para el pronóstico que se haga un diagnóstico y referencia oportunos. Tras la estabilización sistémica, se debe realizar una historia clínica exhaustiva y una exploración oftalmológica y orbitaria completas. Por lo anterior, es ideal contar con médicos especializados en áreas donde se atienden casos con trauma craneofacial.


REFERENCIAS (EN ESTE ARTÍCULO)

  1. Cepela MA, George CE. Orbital trauma. Curr Opin Ophthalmol. 1997; 8 (5): 64-69.

  2. Go JL, Vu VN, Lee KJ, Becker TS. Orbital trauma. Neuroimaging Clin N Am. 2002; 12 (2): 311-324.

  3. Roth FS, Koshy JC, Goldberg JS, Soparkar CN. Pearls of orbital trauma management. Semin Plast Surg. 2010; 24 (4): 398-410.

  4. Gönül E, Erdo?an E, Ta?ar M, Yeti?er S, Akay KM, Düz B et al. Penetrating orbitocranial gunshot injuries. Surg Neurol. 2005; 63 (1): 24-30; discussion 31.

  5. Felding UNA. Blowout fractures - clinic, imaging and applied anatomy of the orbit. Dan Med J. 2018; 65 (3): B5459.

  6. Erdmann D, Follmar KE, Debruijn M, Bruno AD, Jung SH, Edelman D et al. A retrospective analysis of facial fracture etiologies. Ann Plast Surg. 2008; 60 (4): 398-403.

  7. Ahmad F, Kirkpatrick NA, Lyne J, Urdang M, Waterhouse N. Buckling and hydraulic mechanisms in orbital blowout fractures: fact or fiction? J Craniofac Surg. 2006; 17 (3): 438-441.

  8. Morris C, Tiwana PS. Diagnosis and treatment of midface injuries. Chapter 17. In: Fonseca R, editor. Oral and maxilofacial trauma. 4th edition. St Louis, MO: Saunders; 2013. pp. 416-450.

  9. Shin JW, Lim JS, Yoo G, Byeon JH. An analysis of pure blowout fractures and associated ocular symptoms. J Craniofac Surg. 2013; 24 (3): 703-707.

  10. Song YS, Yokota H, Ito H, Yoshida A. Temporal posttraumatic limited ocular movement with suspected trapdoor fracture. Clin Ophthalmol. 2014; 8: 1535-1538.

  11. Solís BA. Abordaje inicial del trauma ocular en el I nivel de atención. Rev Med Cos Cen. 2011; 68 (598): 301-306.

  12. Fulcher TP, McNab AA, Sullivan TJ. Clinical features and management of intraorbital foreign bodies. Ophthalmology. 2002; 109 (3): 494-500.

  13. Alonso-Martín A, Bengoa-González A. Actuación en urgencias ante un traumatismo orbitario. Boletín de la Soc Oftalmo de Madrid. 2018; 58.

  14. Pérez-Llanes A, Cárdenas-Pérez FY, Hernández-Sánchez Y, Estarada-Amador B, Gómez-Cabrera C, Agramonte-Centelles I. Presentación de dos casos de traumatismo palpebral severo. Rev Cub Oftal. 2012; 25 (2): 336-341.

  15. Long JA. Tann TM. Eyelid and lacrimal trauma. In: Kuhn F, Pieramici D. Ocular trauma. Principles and practice. New York: Thieme; 2008. V: 373-382.

  16. Poon A, McCluskey PJ, Hill DA. Eye injuries in patients with major trauma. J Trauma. 1999; 46 (3): 494-499.

  17. Kuhn F, Morris R, Witherspoon CD, Mann L. Epidemiology of blinding trauma in the United States Eye Injury Registry. Ophthalmic Epidemiol. 2006; 13 (3): 209-216.

  18. Betts AM, O’Brien WT, Davis BW, Youssef OH. A systematic approach to CT evaluation of orbital trauma. Emerg Radiol. 2014; 21 (5): 511-513.

  19. Bord SP, Linden J. Trauma to the globe and orbit. Emerg Med Clin North Am. 2008; 26 (1): 97-123, vi-vii.

  20. Ashar A, Kovacs A, Khan S, Hakim J. Blindness associated with midfacial fractures. J Oral Maxillofac Surg. 1998; 56 (10): 1146-1150; discussion 1151.

  21. Sale-Higgins S, Pedraza-Alarcón R, Pinzón-Navarro M. Manejo quirúrgico de las fracturas orbitarias. Repertorio de Medicina y Cirugía. 2003; 12 (3): 128-133.

  22. Araoz-Medina V. Lesiones óculo-orbitarias en pacientes con traumatismo craneofacial. Rev Mex Oftalmol. 2005; 79 (3): 155-158.



AFILIACIONES

1 Médica Oftalmóloga. Alta Especialidad en Órbita y Oculoplástica. Adscrita al Departamento de Órbita y Oculoplástica del Instituto Fundación Conde de Valenciana IAP. Sede Centro. México.

2 Médico Residente de Alta Especialidad en Órbita y Oculoplástica. Instituto Fundación Conde de Valenciana IAP. México.

3 Centro Médico ABC Santa Fe. México.



CORRESPONDENCIA

Dra. Osiris Olvera Morales. Conde de Valenciana-Centro Médico ABC Santa Fe. Chimalpopoca Núm. 14, Col Obrera, 06800, Alcaldía Cuauhtémoc, Ciudad de México. Teléfono: 55 5611-5788; Consultorio: 55 5604-9814. E-mail: draosiris@hotmail.com




Recibido: 03/09/2020. Aceptado: 24/11/2020.

Figura 1
Figura 2
Figura 3
Figura 4
Figura 5

2020     |     www.medigraphic.com

Mi perfil

C?MO CITAR (Vancouver)

An Med Asoc Med Hosp ABC. 2020;65

ARTíCULOS SIMILARES

CARGANDO ...