medigraphic.com
ENGLISH

Revista Mexicana de Cirugía Endoscópica

ISSN 1665-2576 (Impreso)
  • Mostrar índice
  • Números disponibles
  • Información
    • Información general        
    • Directorio
  • Publicar
    • Instrucciones para autores        
    • Envío de artículos
  • medigraphic.com
    • Inicio
    • Índice de revistas            
    • Registro / Acceso
  • Mi perfil

2020, Número 1

<< Anterior

Rev Mex Cir Endoscop 2020; 21 (1)


La hernia paraduodenal como reto diagnóstico-terapéutico y su abordaje por mínima invasión

Chávez-Magallón, Rodolfo1; Beristain-Hernández, José Luis1
Texto completo Cómo citar este artículo 10.35366/97614

DOI

DOI: 10.35366/97614
URL: https://dx.doi.org/10.35366/97614
Artículos similares

Idioma: Español
Referencias bibliográficas: 8
Paginas: 54-57
Archivo PDF: 195.18 Kb.


PALABRAS CLAVE

Hernia paraduodenal, hernia interna congénita, hernia de Treitz.

RESUMEN

Introducción: Las hernias internas congénitas son una condición poco común y representan menos de 1% de las hernias abdominales. La oclusión intestinal por una hernia interna ocurre en 0.25-0.9%. La hernia paraduodenal o hernia de Treitz es la hernia interna más común (53%). Deben ser consideradas como posibilidad diagnóstica siempre que se presente un paciente con oclusión intestinal sin antecedente de cirugía abdominal y en el que se hayan descartado otras causas. Presentación del caso: Hombre de 61 años de edad, quien se presenta con dolor abdominal crónico, sin antecedentes de cirugía abdominal. Posterior a protocolo de estudio de laboratorio, en la tomografía axial computada se encuentra una imagen sugestiva de hernia paraduodenal izquierda. Se realiza laparoscopía diagnóstica, donde se encontró una hernia interna paraduodenal izquierda, misma que se libera y reduce sin complicaciones. El paciente es egresado a los tres días de posoperado, asintomático. Conclusiones: La hernia paraduodenal fue descrita inicialmente por Neubauer en 1786, la teoría más aceptada sobre la fisiopatología fue descrita por Andrews en 1923, sugiriendo un error embriológico durante la rotación del intestino medio primitivo sobre la arteria mesentérica superior. Se presentan con mayor frecuencia en hombres y en el lado izquierdo, y al menos 50% de los pacientes con hernia paraduodenal desarrollará oclusión intestinal.



INTRODUCCIóN

La hernia interna es una protrusión anormal de una víscera (comúnmente intestino delgado) a través de un defecto, que puede ser congénito o adquirido.1 Es una patología relativamente rara, producto de la herniación del intestino a través de un defecto en el peritoneo o mesenterio, resultado de un defecto en la rotación del intestino medio.2

Las hernias internas son una condición poco común, representan menos de 1% de las hernias abdominales.1 La oclusión intestinal debida a una hernia interna ocurre en 0.25-0.9% aproximadamente.3 Pueden clasificarse de acuerdo con su ubicación; las más comunes son las hernias paraduodenales, que representan más de 50% de las hernias internas, seguida de la pericecal (13%), del hiato de Winslow (8%), transmesentérica (8%), del mesocolon sigmoides (6%), pélvica o supravesical (6%) y transomental (1-4%).4,5

La hernia paraduodenal es una hernia interna que se forma cerca del ligamento de Treitz,6 por lo que también es conocida como hernia de Treitz;2 debe ser considerada como posibilidad diagnóstica siempre que se presente un paciente con oclusión intestinal sin antecedentes quirúrgicos abdominales.7 Las hernias paraduodenales pueden ser clasificadas a su vez en derecha e izquierda, siendo la izquierda la más común (75%).3



PRESENTACIóN DEL CASO

Hombre de 61 años de edad, sin antecedentes quirúrgicos abdominales, con historia de dolor abdominal de un año de evolución, el cual se presenta de manera intermitente, localizado en hemiabdomen izquierdo; ha recibido manejo con analgésicos, antiespasmódicos y otros medicamentos sin mejoría significativa.

Acude de forma espontánea al Servicio de Urgencias, con dolor abdominal en hemiabdomen izquierdo, en esta ocasión de 72 horas de evolución, relacionado con la ingesta de alimentos; niega otra sintomatología.

El estudio de laboratorio realizado al ingreso mostró lo siguientes resultados: glucosa 89 mg/dL, creatinina sérica 1 mg/dL, sodio 141 mmol/L, potasio 4.4 mmol/L, TGP 18 U/L, TGO 18 U/L, DHL 320 U/L, amilasa 72 U/L, bilirrubina total 0.37 mg/dL, hemoglobina 15.7 g/dL, leucocitos K/µL, neutrófilos 41.4%, plaquetas 169,000/µL.

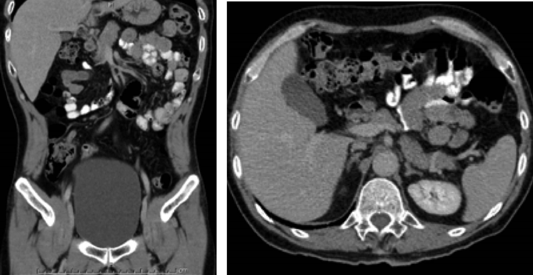
Se realiza estudio de imagen tomografía axial computarizada con doble contraste (oral e intravenoso), donde se observa conglomerado de asas de yeyuno en cuadrante superior izquierdo, cerca del ligamento de Treitz, sin paso del medio de contraste hacia el íleon, sugerente de hernia interna (Figura 1).

Ante la presencia de un paciente con dolor abdominal crónico, con datos sugestivos de hernia interna, se decide realizar laparoscopía diagnóstica de forma urgente. Con la colocación de tres trocares, el primero de 12 mm a 1 cm por arriba de la cicatriz umbilical, el segundo y tercero en el flanco derecho e izquierdo, respectivamente, ambos de 5 mm (Figura 2). Se Inicia el abordaje con la identificación del ligamento de Treitz (Figura 3); se continuó con la exploración del intestino delgado hasta identificar la hernia interna paraduodenal izquierda en el sitio de oclusión (Figura 4), la cual se encontró sin cambios isquémicos intestinales, por lo que se libera cortando con electrocoagulación, reduciendo la hernia sin complicaciones (Figura 5).

El paciente presentó evolución posquirúrgica favorable y fue egresado a los tres días de posoperado, asintomático. Se mantuvo en seguimiento durante un año sin presentar recidiva por lo que se dio de alta definitiva.



DISCUSIóN

La hernia paraduodenal fue descrita inicialmente por Neubauer en 1786 y clasificada por Treitz en 1827.8 Existen múltiples teorías sobre la fisiopatología en la formación de la hernia interna; la más aceptada fue descrita por Andrews en 1923, quien sugiere un error embriológico durante la rotación del intestino medio primitivo.1 La arteria mesentérica superior constituye el eje de esta rotación e irriga el intestino medio.

La hernia paraduodenal izquierda involucra la fosa de Landzert, la cual está localizada lateral a la cuarta porción del duodeno y posterior a la vena mesentérica inferior y a la arteria cólica izquierda.3 Se presenta con mayor frecuencia en hombres y en el lado izquierdo, en una proporción 3:1 en comparación con la hernia paraduodenal derecha, también conocida como hernia de Waldeyer.1,8

Al menos 50% de los pacientes con hernia paraduodenal desarrollarán oclusión intestinal, por lo que se recomienda la cirugía en todos los casos.6 Algunos casos pueden presentar sintomatología desde los primeros años de vida, en nuestro paciente ésta inició de manera tardía a los 60 años de edad.



CONCLUSIONES

Debemos tener siempre en cuenta el diagnóstico en pacientes con oclusión intestinal, así como alto nivel de sospecha en casos sin antecedentes quirúrgicos abdominales. Es importante identificar y buscar de forma intencionada defectos de la rotación del intestino al realizar una laparoscopía diagnóstica, ya que pueden pasar desapercibidos durante la cirugía.

En casos de abordaje laparoscópico en oclusión intestinal o de pacientes con hernias internas, siempre se sugiere realizar el abordaje mediante técnica de Hasson, colocando el primer trocar en línea media, a 1 cm por arriba de la cicatriz umbilical, introduciendo lente de la cámara para verificar posición adecuada, y posteriormente la inducción del neumoperitoneo a 10 a 12 mmHg con dióxido de carbono a una velocidad de 12 mmHg/min.

Se sugiere la colocación de dos trocares adicionales, de 5 mm en línea media clavicular derecha e izquierda, 3 cm por debajo de la cicatriz umbilical, mismos que servirán para la instrumentación, tracción y disección.

Se procede a realizar la revisión de la cavidad abdominal, realizando con una pinza intestinal corta la tracción del colon transverso con dirección cefálica, a fin de identificar la emergencia del yeyuno y, a partir del ligamento de Treitz, se inicia la exploración del intestino delgado hasta identificar el sitio de oclusión para liberarlo y, en caso necesario, realizar resección intestinal.


REFERENCIAS (EN ESTE ARTÍCULO)

  1. Kadhem S, Ali MH, Al-Dera FH, Alzayer NA, Alyagoub HM. Left paraduodenal hernia: case report of rare cause of recurrent abdominal pain. Cureus. 2020; 12: e7156.

  2. Kabbani D, Salem A, Holloway DK. Paraduodenal herniation: an internal herniation in a virgin abdomen. Int J Surg Case Rep. 2014; 5: 1148-1150.

  3. Kulkarni GV, Salgaonkar HP, Sharma PC, Chakkarvarty NR, Katara AN, Bhandarkar DS. Laparoscopic repair of left paraduodenal hernia: Report of two cases and review of the literature. Asian J Endosc Surg. 2016; 9: 157-160.

  4. Husain A, Bhat S, Roy AK, Sharma V, Dubey SA, Faridi MS. Internal hernia through paraduodenal recess with acute intestinal obstruction: a case report. Indian J Surg. 2012; 74: 354-355.

  5. Sakamoto T, Lefor AK. Laparoscopic reduction and repair of a left paraduodenal hernia. BMJ Case Rep. 2019; 12: e232098.

  6. Wakabayashi M, Kono S, Takahashi T. Laparoscopic repair of acute small bowel obstruction due to left paraduodenal hernia: A case report. Int J Surg Case Rep. 2018; 51: 194-199.

  7. Hussein M, Khreiss M, Al-Helou G, Alaeddine M, Elias E, Abi Saad GS. Laparoscopic repair of a left paraduodenal hernia presenting with acute bowel obstruction: report of a case. Surg Laparosc Endosc Percutan Tech. 2012; 22: e28-e30.

  8. Morán JM, Salas J, Sanjuán S, González G, Gallello A, Serrano A et al. Incarceración retroperitoneal del yeyuno en una hernia paramesocólica izquierda. Cir Pediatr. 2002; 15: 168-171.



AFILIACIONES

1 Departamento de Cirugía General. Hospital de Especialidades "Dr. Antonio Fraga Mouret" del Centro Médico Nacional La Raza del Instituto Mexicano del Seguro Social.



CORRESPONDENCIA

José Luis Beristain-Hernández. Seris y Zaachila S/N, Col. La Raza, 02900, Azcapotzalco, Ciudad de México, México. Tel: 55 5724-5900, ext. 23168. E-mail: jlberistain@yahoo.com




Recibido para publicación: 24/06/2020. Aceptado: 07/10/2020.

Figura 1
Figura 2
Figura 3
Figura 4
Figura 5

2020     |     www.medigraphic.com

Mi perfil

C?MO CITAR (Vancouver)

Rev Mex Cir Endoscop. 2020;21

ARTíCULOS SIMILARES

CARGANDO ...