medigraphic.com
ENGLISH

Cardiovascular and Metabolic Science

ISSN 2954-3835 (Digital)
ISSN 2683-2828 (Impreso)
Antes Revista Mexicana de Cardiología

Ver Revista Mexicana de Cardiología


  • Mostrar índice
  • Números disponibles
  • Información
    • Información general        
    • Directorio
  • Publicar
    • Instrucciones para autores        
    • Envío de artículos
  • medigraphic.com
    • Inicio
    • Índice de revistas            
    • Registro / Acceso
  • Mi perfil

2021, Número 2

<< Anterior

Cardiovasc Metab Sci 2021; 32 (2)


Divertículo ventricular congénito izquierdo aislado en adulto: un hallazgo inusual en infarto de miocardio asociado a cocaína

Pedraza-Jiménez R, Alanís-Naranjo JM, Morelos-Guzmán M
Texto completo Cómo citar este artículo 10.35366/99748

DOI

DOI: 10.35366/99748
URL: https://dx.doi.org/10.35366/99748
Artículos similares

Idioma: Inglés [English version]
Referencias bibliográficas: 12
Paginas: 105-109
Archivo PDF: 512.43 Kb.


PALABRAS CLAVE

Divertículo ventricular izquierdo, divertículo ventricular aislado, infarto al miocardio, adulto, angiografía coronaria por tomografía computarizada, consumo de cocaína.

RESUMEN

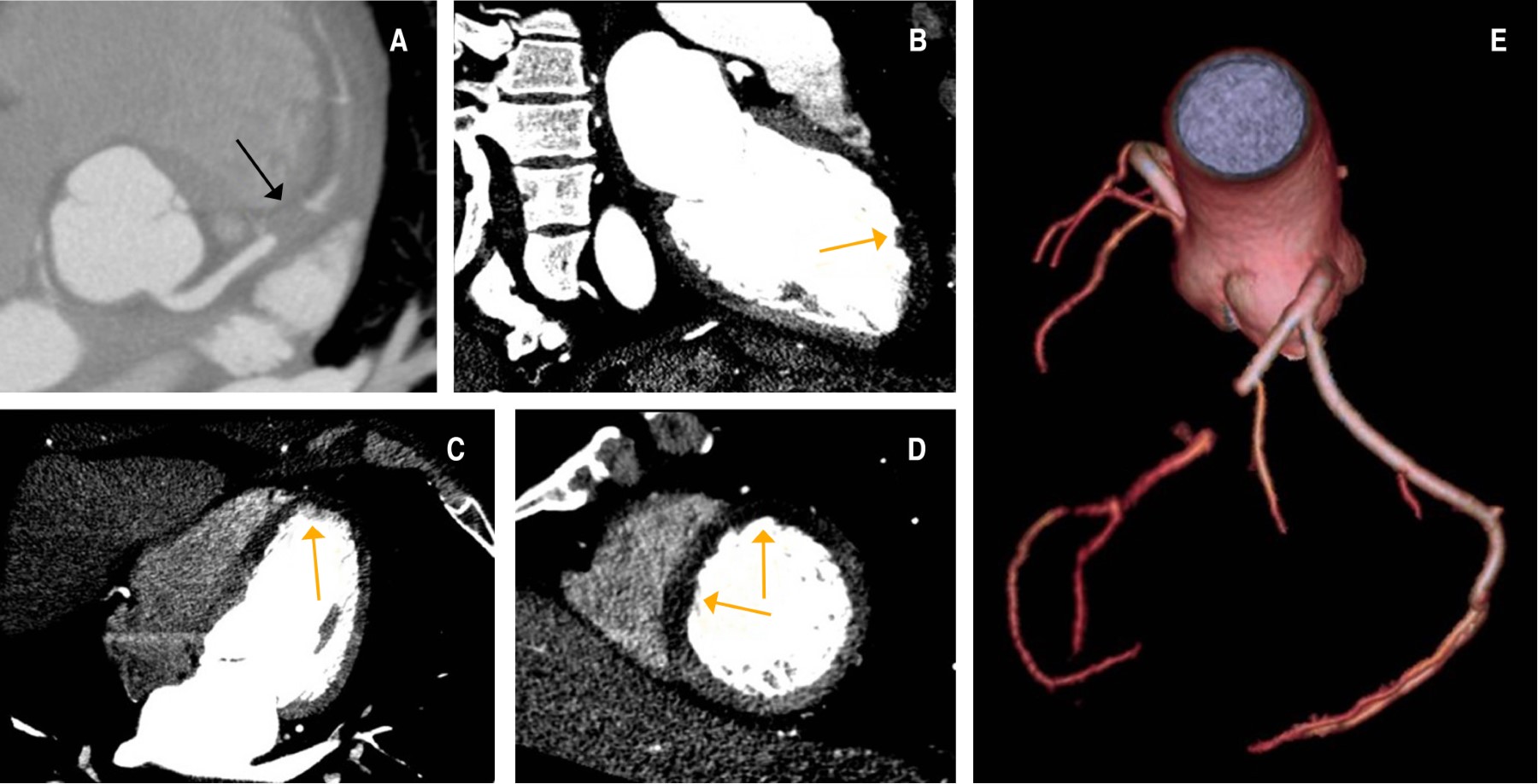
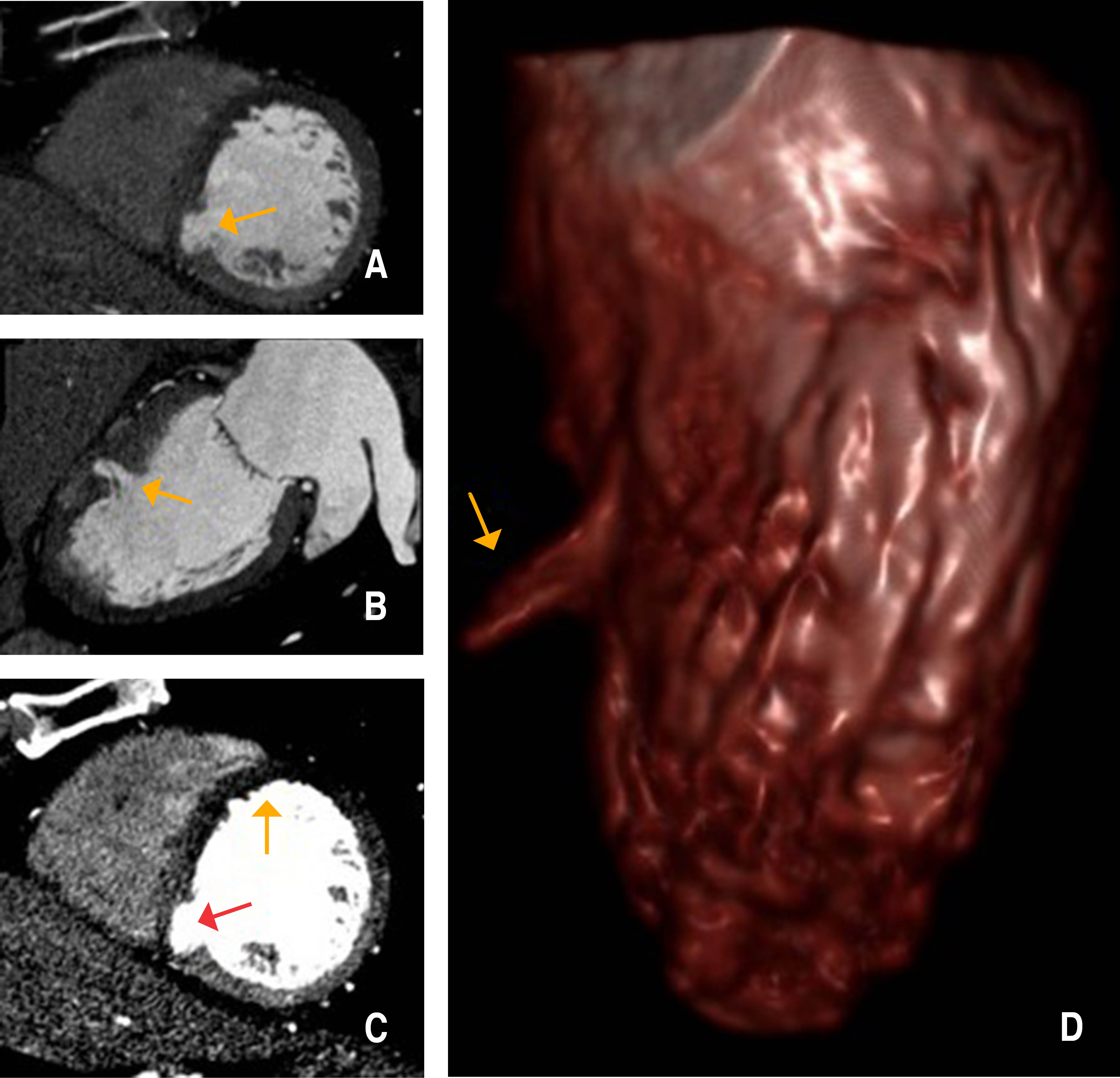
El divertículo ventricular congénito izquierdo (DVCI) consiste en una bolsa de salida de endocardio, miocardio y pericardio, que a menudo se presenta como una proyección de la pared libre del ventrículo, con un cuello estrecho que conecta la cavidad con el ventrículo propiamente dicho. Aunque a menudo se asocia con otras anomalías congénitas cardiacas y extracardiacas, también puede presentarse solo, como un hallazgo incidental en pacientes adultos. Debido a su baja prevalencia general y variabilidad en la presentación, aún no se ha definido un tratamiento estandarizado. Presentamos el caso de un paciente adulto con infarto de miocardio (IM) asociado a cocaína, en el que se evidenció un DVCI septal mediante angio-TC coronaria. Se descartaron otras anomalías cardiacas y el paciente respondió bien al tratamiento médico tras el cateterismo cardiaco; por lo que se prefirió el seguimiento médico y no la cirugía.


REFERENCIAS (EN ESTE ARTÍCULO)

  1. Ohlow MA. Congenital left ventricular aneurysms and diverticula: definition, pathophysiology, clinical relevance and treatment. Cardiology. 2006; 106 (2): 63-72.

  2. Dostálová G, Palecek T, Kuchynka P, Havránek S, Masek M, Hlubocká Z et al. A congenital diverticulum of the left ventricular apex manifested by stroke and recurrent ventricular tachycardia. Cardiovasc Pathol. 2017; 28: 3-6.

  3. Mejia J, Spindel SM, Pawale A, Itagaki S, Boateng P. Congenital left ventricular diverticulum repair in an adult with dual patch technique. J Card Surg. 2020; 35 (7): 1621-1623.

  4. Kosar F, Sahin I, Gullu H. Isolated large true contractile left ventricular diverticulum mimicking ischemia in an adult patient: a case report. Heart Vessels. 2005; 20 (2): 85-87.

  5. Marijon E, Ou P, Fermont L, Concordet S, Le Bidois J, Sidi D, et al. Diagnosis and outcome in congenital ventricular diverticulum and aneurysm. J Thorac Cardiovasc Surg. 2006; 131 (2): 433-437.

  6. Yalonetsky S, Agmon Y, Lessick J. Contrast echocardiographic imaging of left ventricular diverticulum in adult patients. J Am Soc Echocardiogr. 2007; 20 (2): 198.e1-e3.

  7. Goksülük H, Ozcan OU, Uzun C, Turhan S, Tutar E. Left ventricular inferoapical diverticulum associated with normal coronary arteries. Turk Kardiyol Dern Ars. 2014; 42 (5): 464-466.

  8. Kim ST, Park T. Acute and chronic effects of cocaine on cardiovascular health. Int J Mol Sci. 2019; 20 (3): 584.

  9. Li Q, Qu H, Wang H, Wang D, Li P, Liu T. Ventricular diverticulum: a review of the literature. J Card Surg. 2013; 28 (2): 133-138.

  10. Ohlow MA, Von Korn H, Lauer B. Characteristics and outcome of congenital left ventricular aneurysm and diverticulum: analysis of 809 cases published since 1816. Int J Cardiol. 2015; 185: 34-45.

  11. Wybraniec MT, Wróbel W, Myszor J, Mizia-Stec K. Left ventricular diverticulum mimicking cardiac tumor. Echocardiography. 2017; 34 (10): 1548-1551.

  12. Ozaki N, Sato M, Inoue K, Wakita N. Congenital left ventricular diverticulum in an adult patient. Asian Cardiovasc Thorac Ann. 2017; 25 (5): 388-390.




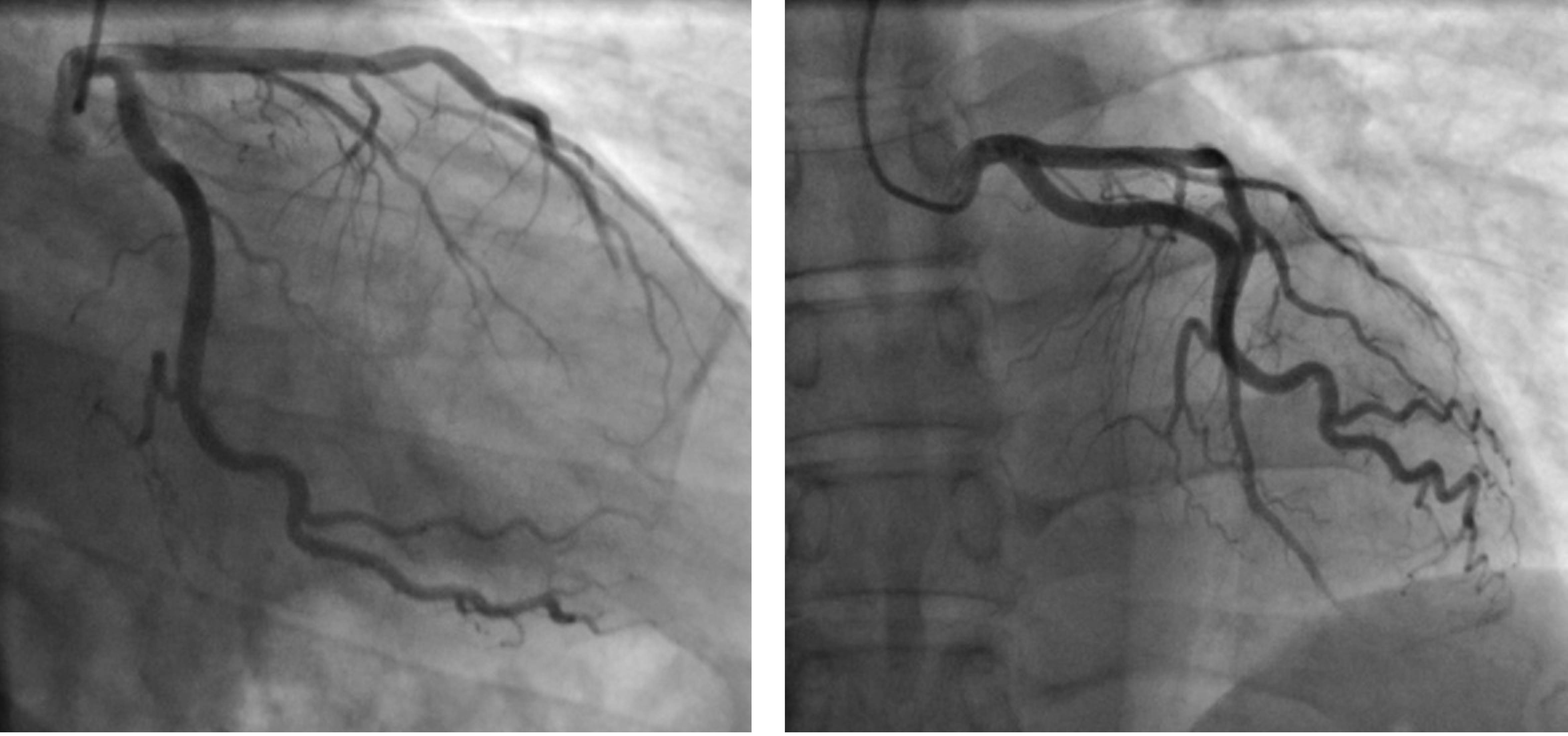
Figura 1
Figura 2
Figura 3
Figura 4

2020     |     www.medigraphic.com

Mi perfil

C?MO CITAR (Vancouver)

Cardiovasc Metab Sci . 2021;32

ARTíCULOS SIMILARES

CARGANDO ...