medigraphic.com
SPANISH

Revista ADM Órgano Oficial de la Asociación Dental Mexicana

ISSN 0001-0944 (Print)
Órgano Oficial de la Asociación Dental Mexicana
  • Contents
  • View Archive
  • Information
    • General Information        
    • Directory
  • Publish
    • Instructions for authors        
    • Send manuscript
  • medigraphic.com
    • Home
    • Journals index            
    • Register / Login
  • Mi perfil

2021, Number 3

<< Back Next >>

Rev ADM 2021; 78 (3)

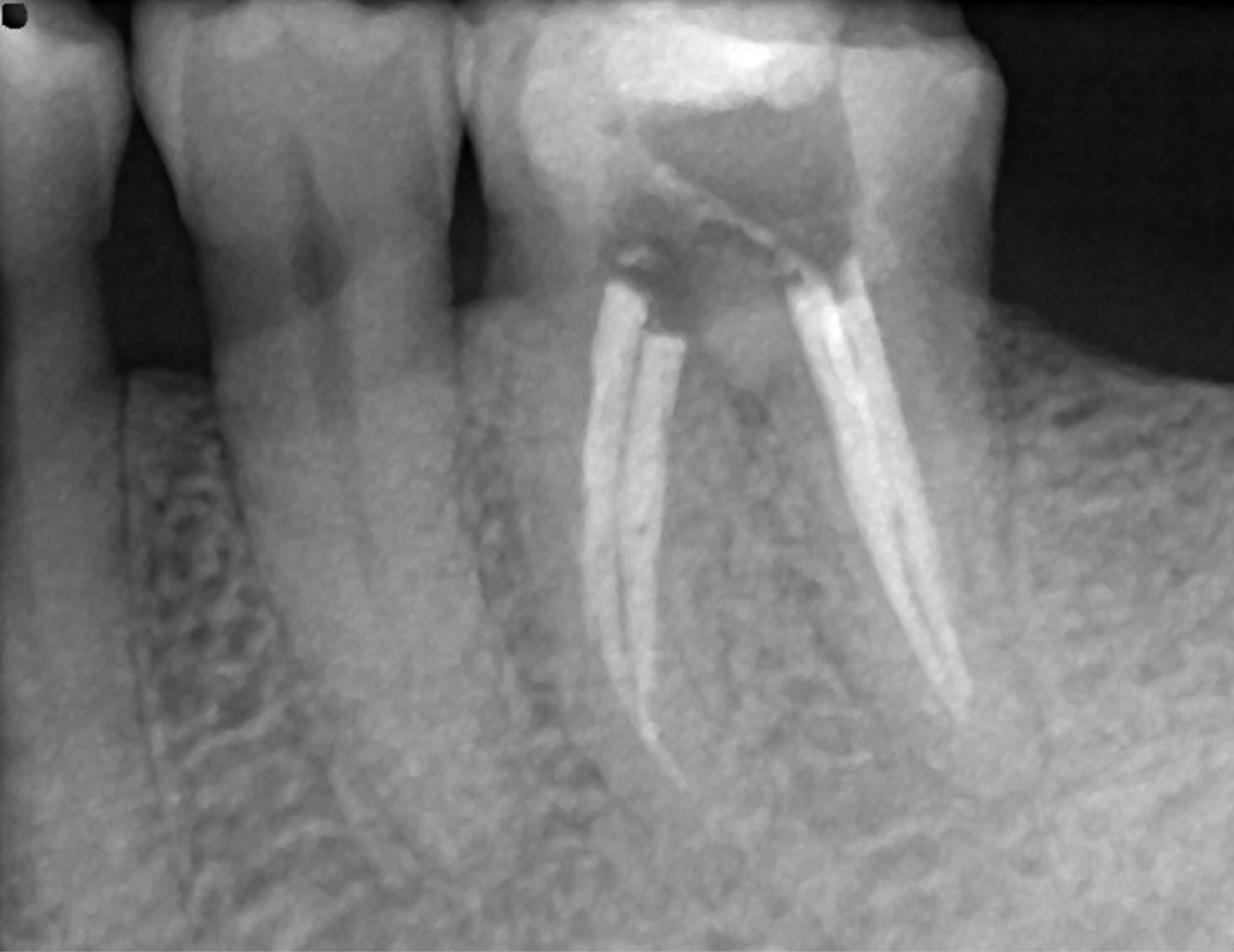
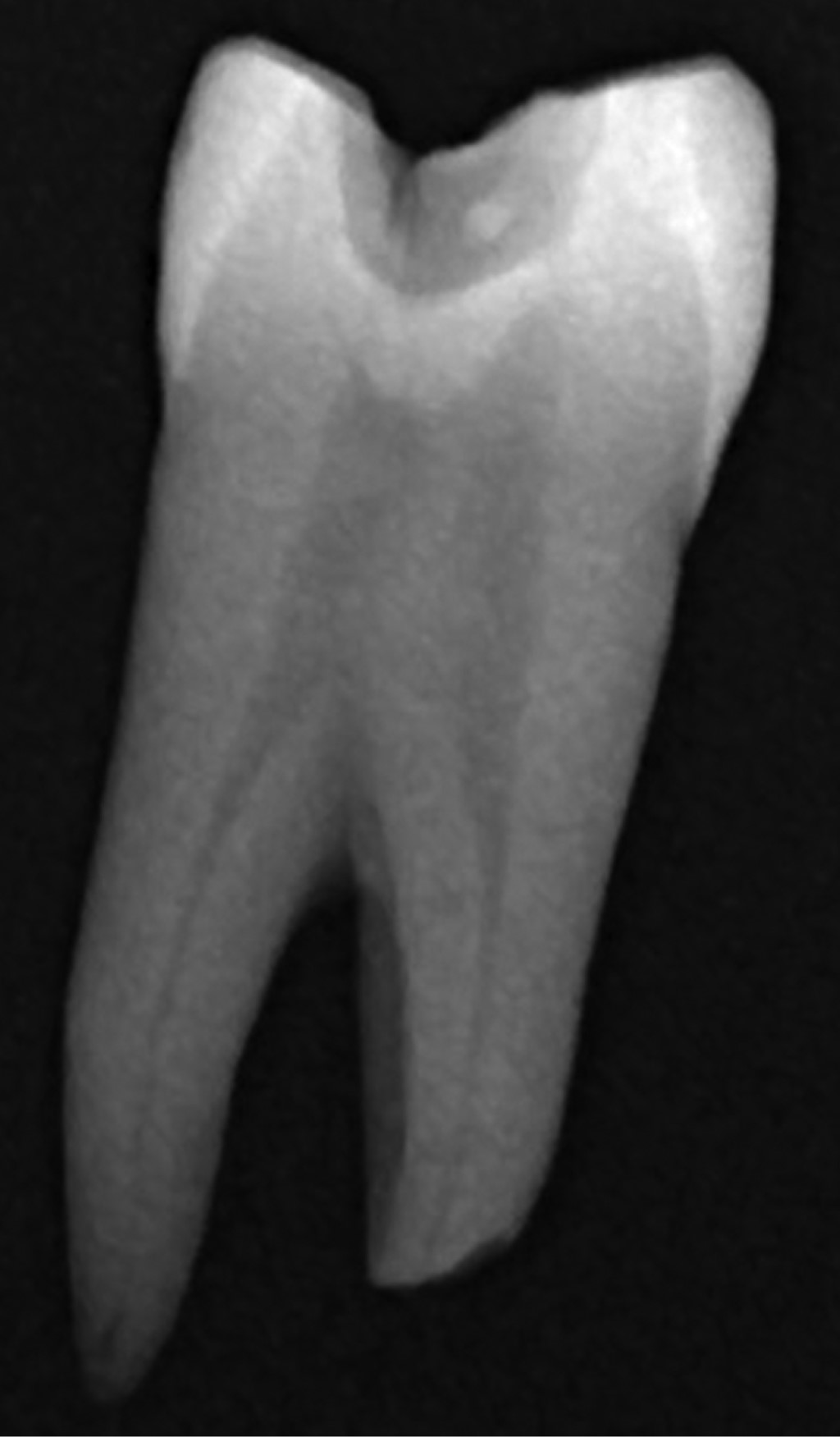
Incidence of dental fractures reported in Chihuahua city during COVID-19 pandemic.

Espinosa TA, Morales RJA
Full text How to cite this article 10.35366/100070

DOI

DOI: 10.35366/100070
URL: https://dx.doi.org/10.35366/100070

Language: Spanish
References: 26
Page: 135-141
PDF size: 301.59 Kb.


Key words:

Vertical fracture, teeth, COVID-19.

ABSTRACT

There are cases of symptomatic vertical fractures that warranted the extraction of affected teeth are presented, over a period of five months during the COVID-19 pandemic in Chihuahua City, Mexico. Material and methods: 26 samples were collected for the study, provided by the dentist who were members of the Graduate Group of the Faculty of Dentistry of the Autonomous University of Chihuahua. Results: The results show differences from what was previously reported regarding the type of tooth involved, sex of patients, coronal restorations and previous endodontic treatments. Conclusions: It can be assumed that changes in the lifestyle of the population, added to permanent distress, may be factors to preserve dental fractures.


REFERENCES

  1. American Dental Association. ADA Interim Guidance or Management of Emergency and Urgent Dental Care. Accessible in: https://www.ada.org/~/media/CPS/Files/COVID/ADA_Int_Guidance_Mgmt_Emerg-Urg_Dental_COVID19.pdf.

  2. Guo H, Zhou Y, Liu X, Tan J. The impact of the COVID-19 epidemic on the utilization of emergency dental services. J Dent Sci. 2020; 15 (4): 564-567.

  3. Yeh CJ. Fatigue root fracture: a spontaneous root fracture in non-endodontically treated teeth. Br Dent J. 1997; 182: 261-266.

  4. Bender IB. Adult root fracture. J Am Dent Assoc. 1983; 107: 413-419.

  5. Lam PP, Palamara JE, Messer HH. Fracture strength of tooth roots following canal preparation by hand and rotary instrumentation. J Endod. 2005; 31: 529-532.

  6. Sathorn C, Palamara JE, Palamara D, Messer HH. Effect of root canal size and external root surface morphology on fracture susceptibility and pattern: a finite element analysis. J Endod. 2005; 31: 288-292.

  7. Cohen S, Berman LH, Blanco L, Bakland L, Kim JS. A demographic analysis of vertical root fractures. J Endod. 2006; 32 (12): 1160-1163.

  8. Sapir S, Shapira J. Clinical solutions for developmental defects of enamel and dentin in children. Pediatr Dent. 2007; 29 (4): 330-336.

  9. Pitts DL, Natkin E. Diagnosis and treatment of vertical root fractures. J Endod. 1983; 9: 338-346.

  10. Cohen S, Blanco L, Berman L. Vertical root fractures: clinical and radiographic diagnosis. J Am Dent Assoc. 2003; 134: 434-441.

  11. Huang HM, Ou KL, Wang WN, Chiu WT, Lin CT, Lee SY. Dynamic finite element analysis of the human maxillary incisor under impact loading in various directions. J Endod. 2005; 31: 723-727.

  12. Huang CC, Chang YC, Chuang MC, Lin HJ, Tsai YL, Chang SH et al. Analysis of the width of vertical root fracture in endodontically treated teeth by 2 micro-computed tomography systems. J Endod. 2014; 40: 698-702.

  13. Goenka, P; Marwah, N; Dutta S. Biological approach for management of anterior tooth trauma: triple case report. J Indian Soc Pedod Prev Dent. 2011; 29 (2): 180-186.

  14. García C, Mendoza A. Traumatología oral en odontopediatría. Diagnóstico y Tratamiento Integral. Madrid. Editorial: Ergon. 2003.

  15. Andreasen JO, Andreasen FM, Andersson L. Texto y atlas a color de lesiones traumáticas a las estructuras dentales. Cuarta Edición. Oxford, Editorial AMOLCA, 2010.

  16. Henostroza G. Adhesión en odontología restauradora. Editorial Ripano. Asociación Latinoamericana de Operatoria Dental y Biomateriales. 2ª. ed. Madrid. 2010.

  17. Stefanello A, González P, Prates R. Odontología restauradora y estética. Editorial Amolca. Brasil. 2005.

  18. Boj JR, Catalá M, García C, Mendoza A. Odontopediatría. Barcelona. Editorial: Masson. 2005.

  19. Witkop CJ Jr. Amelogenesis imperfecta, dentinogenesis imperfecta and dentin dysplasia revisited: problems in classification. J Oral Pathol. 1988; 17 (9): 547-553.

  20. Martín-González J, Sánchez-Domínguez B, Tarilonte-Delgado M, Castellanos-Cosano L, Llamas-Carreras J, López-Frías F et al. Anomalías y displasias dentarias de origen genético-hereditario. Avances en Odontoestomatología. 2012; 28 (6): 287-301.

  21. Ceballos O DM, Espinal GE, Jones M. Anomalías en el desarrollo y formación dental: odontodisplasia. Int J Odontostomat. 2015; 9 (1): 129-136.

  22. De La Hoz-Aizpurua JL, Winocur E. Bruxismo del sueño: revisión actualizada de conceptos y utilidad de la toxina botulínica en su tratamiento. Rev Soc Esp Dolor. 2014; 21 (2): 4-13.

  23. Castellanos SJ. Bruxismo. Nociones y conceptos. Rev ADM. 2015; 72 (2): 63-69.

  24. Manfredini D, Restrepo C, Diaz-Serrano K, Winocur E, Lobbezoo F. Prevalence of sleep bruxism in children: a systematic review of the literature. J Oral Rehabil. 2013; 40 (8): 631-642.

  25. Lange M. The bruxism status examination protocol. Journal of Craniomandibular Function. 2017; 9 (1): 57-69.

  26. Alrusayes AA, Assal NA, Althobity AM, Alfraih YK, Alfraih MI et al. Dentin hypersensitivity: a review of its treatment. Annals of International Medical and Dental Research. 2021; 7 (3): 8-15.




Figure 1
Figure 2
Figure 3
Figure 4
Figure 5
Figure 6
Figure 7
Figure 8
Figure 9
Figure 10
Figure 11
Figure 12
Table 1

2020     |     www.medigraphic.com

Mi perfil

C?MO CITAR (Vancouver)

Rev ADM. 2021;78