medigraphic.com
SPANISH

Revista Mexicana de Cirugía Bucal y Maxilofacial

ISSN 2007-3178 (Print)
Asociación Mexicana de Cirugía Bucal y Maxilofacial, Colegio Mexicano de Cirugía Bucal y Maxilofacial, A.C.
  • Contents
  • View Archive
  • Information
    • General Information        
    • Directory
  • Publish
    • Instructions for authors        
    • Send manuscript
  • medigraphic.com
    • Home
    • Journals index            
    • Register / Login
  • Mi perfil

2021, Number 1

<< Back Next >>

Rev Mex Cir Bucal Maxilofac 2021; 17 (1)

Calcifying odontogenic cyst associated with compound odontoma. Clinical case report and literature review

Cruz LJE, Miranda VJE, Medécigo CD, Valera ICE, Rodríguez RD
Full text How to cite this article 10.35366/100259

DOI

DOI: 10.35366/100259
URL: https://dx.doi.org/10.35366/100259

Language: Spanish
References: 11
Page: 34-38
PDF size: 277.90 Kb.


Key words:

Calcifying cystic odontogenic tumor, Gorlin cyst, odontoma.

ABSTRACT

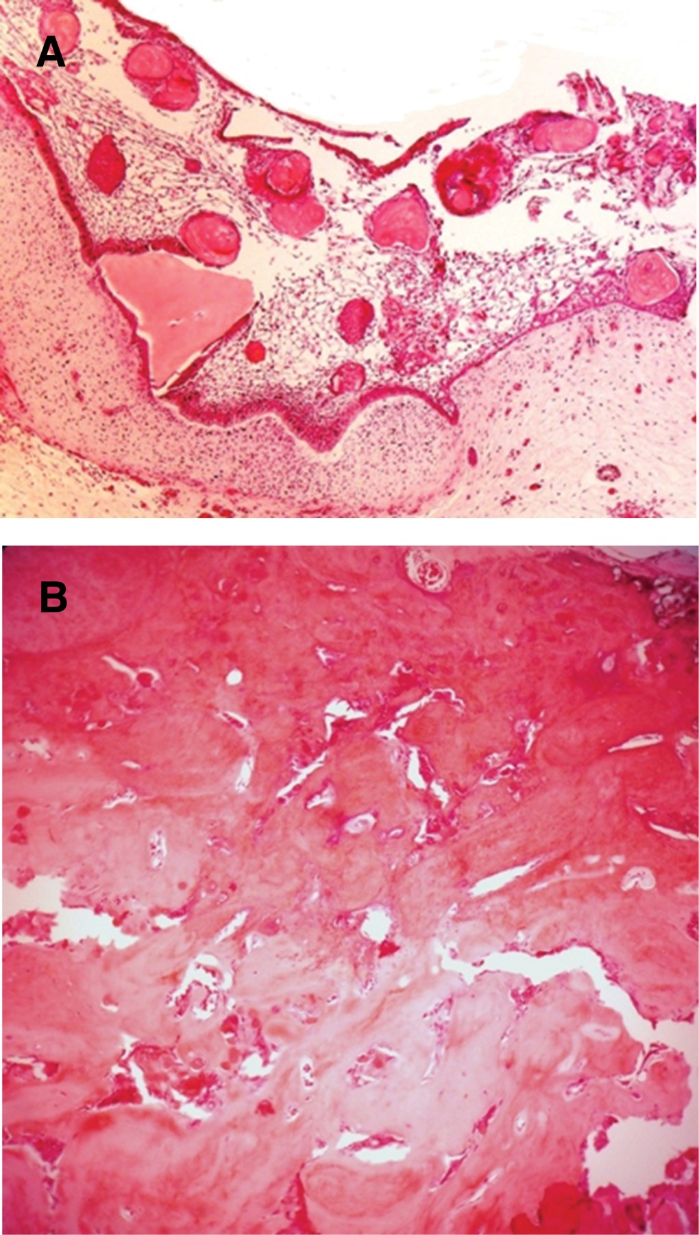
The calcifying odontogenic cyst is a rare pathological entity of the jaws, described for the first time by Gorlin in 1962 as a benign neoplasm that represents between 0.37-2.1% of all odontogenic tumors. It is found within the lesions that develop ghost cells, which has generated much controversy regarding its classification, management and prognosis. Its simultaneous presentation with other pathological entities is extraordinarily atypical, with scarce literature reporting this association. We present the clinical case of a male patient of 12 years of age with definitive histopathological diagnosis of calcifying odontogenic cyst associated to odontoma composed with its surgical management as well as a review of the literature.


REFERENCES

  1. Arora PC, Umarji HR, Kaur A, Arora A, Gupta T. Odontoma-associated calcifying cystic odontogenic tumour: report of a case. Journal of Pierre Fauchard Academy (India Section). 2017; 31 (1): 25-29.

  2. Brierley DJ, Speight PM, Jordan RC. Current concepts of odontogenic tumours: an update. Diagnostic Histopathology. 2017; 23 (6): 266-274.

  3. Ledesma-Montes C, Gorlin RJ, Shear M, Praetorius F, Mosqueda?Taylor A, Altini M et al. International collaborative study on ghost cell odontogenic tumours: calcifying cystic odontogenic tumour, dentinogenic ghost cell tumour and ghost cell odontogenic carcinoma. J Oral Pathol Med. 2008; 37 (5): 302-308.

  4. Martin LH, Speight PM. Odontogenic cysts: an update. Diagn Histopathol. 2017; 23 (6): 260-265.

  5. Moritani N, Nakata N, Yamachika E, Matsumura T, Nagatsuka H, Iida S. A case of a calcifying cystic odontogenic tumor with odontoma in a 5-year-old boy. Journal of Oral and Maxillofacial Surgery, Medicine and Pathology, 2016; 28(5): 421-425.

  6. Radheshyam C, Alokenath B, Kumar H, Abikshyeet P. Calcifying cystic odontogenic tumor associated with an odontome- a diverse lesion encountered. Clin Cosmet Investig Dent. 2015; 7: 91.

  7. Tomich CE. Calcifying odontogenic cyst and dentinogenic ghost cell tumor. Oral Maxillofac Surg Clin North Am. 2004; 16 (3): 391-397.

  8. Abrahams JM, McClure SA. Pediatric odontogenic tumors. Oral Maxillofac Surg Clin North Am. 2016; 28 (1): 45-58.

  9. Sheikh J, Cohen MD, Ramer N, Payami A. Ghost cell tumors. J Oral Maxillofac Surg. 2017; 75 (4): 750-758.

  10. Chindasombatjaroen J, Kakimoto N, Akiyama H, Kubo K, Murakami S, Furukawa S, Kishino M. Computerized tomography observation of a calcifying cystic odontogenic tumor with an odontoma: case report. Oral Surg Oral Med Oral Pathol Oral Radiol Endod. 2007; 104 (6): e52-57.

  11. Chindasombatjaroen J, Poomsawat S, Klongnoi B. Calcifying cystic odontogenic tumor associated with other lesions: case report with cone-beam computed tomography findings. Oral Surg Oral Med Oral Pathol Oral Radiol. 2012; 113 (3): 414-420.




Table 1
Table 2
Figure 1
Figure 2
Figure 3
Figure 4
Figure 5
Figure 6

2020     |     www.medigraphic.com

Mi perfil

C?MO CITAR (Vancouver)

Rev Mex Cir Bucal Maxilofac. 2021;17