medigraphic.com
SPANISH

Acta Médica Grupo Angeles

Órgano Oficial del Hospital Angeles Health System
  • Contents
  • View Archive
  • Information
    • General Information        
    • Directory
  • Publish
    • Instructions for authors        
    • Manuscript submission
    • Policies
    • Names and affiliations of the Editorial Board
  • About us
    • Data sharing policy
    • Stated aims and scope
  • medigraphic.com
    • Home
    • Journals index            
    • Register / Login
  • Mi perfil

2021, Number 2

<< Back Next >>

Acta Med 2021; 19 (2)

Subcutaneous filariasis

Guerrero ED, González VC, Bieletto TO, Luna TA
Full text How to cite this article 10.35366/100455

DOI

DOI: 10.35366/100455
URL: https://dx.doi.org/10.35366/100455

Language: Spanish
References: 8
Page: 276-279
PDF size: 237.83 Kb.


Key words:

Filariasis, filaria, onchocerca, onchocerciasis.

ABSTRACT

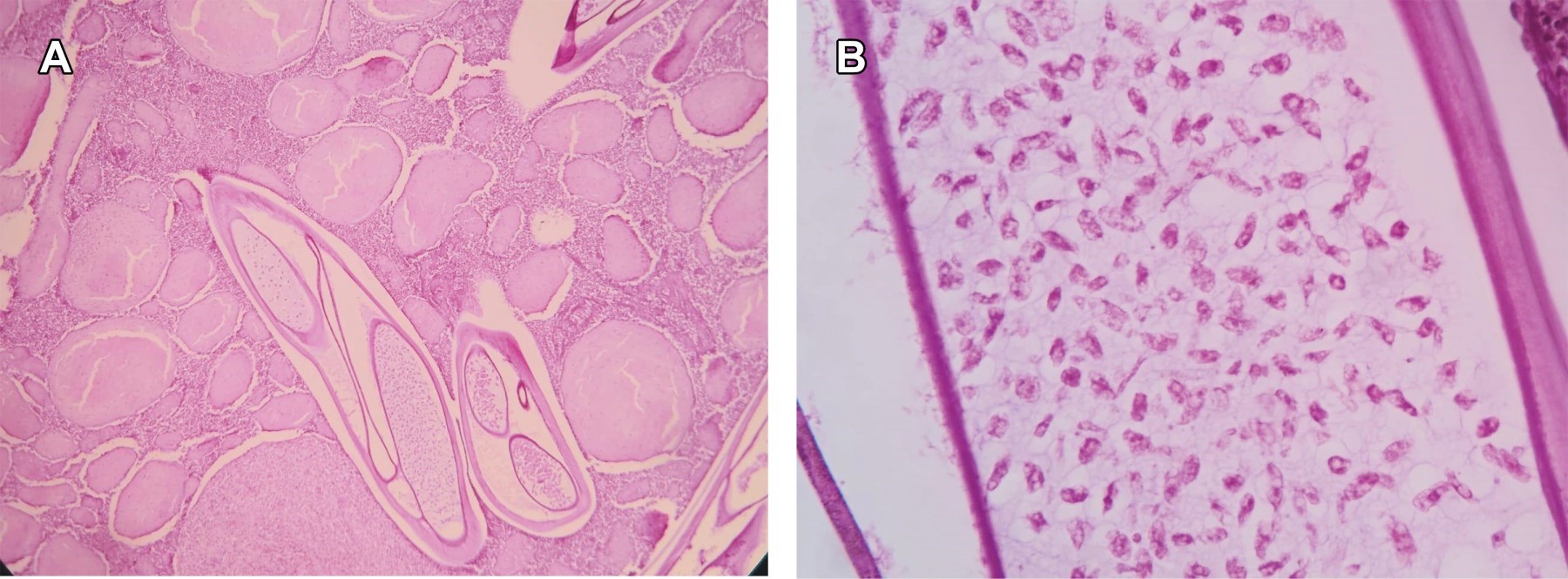
Filariasis is a group of parasitic diseases mainly affecting the lymphatic system and skin, produced by nematodes of the Filarioidea family. There are almost 200 different types of filaria worldwide and just a few parasitizing human beings. Transmission being through insects as a vector. Filariasis are considered as "neglected diseases" by the World Health Organization. Diagnosis is made by demonstrating microfilariae in circulating blood or skin where it can be visualized with auxiliary imaging methods. Although mortality is low, the morbidity associated is not only for the physically disabilities, but also mental, social, and financial losses that contribute to stigma and poverty. In this article, the case of a 63 years old man with onchocercal filariasis is presented, evaluating live parasites by scanning a cutaneous nodule in the nape with an evolution of four years histologically documented.


REFERENCES

  1. Filariasis epidemiología y situación mundial @ www.amse.es [Internet]. Disponible en: https://www.amse.es/informacion-epidemiologica/112-filariasis-epidemiologia-y-situacion-mundial.

  2. Díaz-Menéndez M, Norman F, Monge-Maillo B, Pérez-Molina JA. Las filariasis en la práctica clínica. Enferm Infecc Microbiol Clin. 2011; 29 (Supl. 5): 27-37.

  3. Albert DC. Tratamiento de las filariosis [Trabajo de Grado]. Universidad Complutense, Facultad de Farmacia; 2018.

  4. Sectorial P, Salud D. Programa de acción específico eliminación de la oncocercosis 2013-2018. 2013; Disponible en: http://www.cenaprece.salud.gob.mx/descargas/pdf/PAE_EliminacionOncocercosis2013_2018.pdf.

  5. Aparicio F, Vega Y, Hidalgo M, García D, De la Paz N, Martínez F. Filariasis linfática por Brugia. Presentación de un caso. Mediciego [Internet]. 2016; 22 (1): 59-54. Disponible en: http://www.revmediciego.sld.cu.

  6. Lymphatic-filariasis@www.who.int [Internet]. Available from: https://www.who.int/es/news-room/fact-sheets/detail/lymphatic-filariasis.

  7. López J, Valiente-Echeverría F, Carrasco M, Mercado R, Abarca K. Identificación morfológica y molecular de filarías en una comuna semi-rural de la Región Metropolitana, Chile. Rev Chilena Infectol. 2012; 29 (3): 248-289.

  8. Lloveras SC. Viajeros a América del Sur. Rev Chilena Infectol. 2011; 28 (6): 520-528.




Figure 1
Figure 2
Figure 3

2020     |     www.medigraphic.com

Mi perfil

C?MO CITAR (Vancouver)

Acta Med. 2021;19