medigraphic.com
SPANISH

Revista Latinoamericana de Infectología Pediátrica

ISSN 2683-1678 (Print)
Órgano Oficial de la Sociedad
Latinoamericana de lnfectología Pediátrica.
Órgano de la Asociación Mexicana de
Infectología Pediátrica, A.C.
Órgano difusor de la Sociedad Española
de lnfectología
  • Contents
  • View Archive
  • Information
    • General Information        
    • Directory
  • Publish
    • Instructions for authors        
  • medigraphic.com
    • Home
    • Journals index            
    • Register / Login
  • Mi perfil

2021, Number 2

<< Back

Rev Latin Infect Pediatr 2021; 34 (2)

Maternal-fetal SARS-CoV-2 infection

Losada VPX, Vallejo CSH, Portilla ?FE, Romero AAF, Cuenca AMC, Urbano AJF
Full text How to cite this article 10.35366/100549

DOI

DOI: 10.35366/100549
URL: https://dx.doi.org/10.35366/100549

Language: Spanish
References: 13
Page: 100-105
PDF size: 254.00 Kb.


Key words:

COVID-19, SARS-CoV-2, neonatal, pregnancy, vertical transmission.

ABSTRACT

The SARS-CoV-2 infection has stalled the entire world, it is a relatively new virus of which little is known due to its behavior in a few months it became a public health problem to the extent of being classified as a pandemic event due to its high degree of contagiousness. Both clinical and epidemiological efforts have focused on understanding its behavior to slow its spread and address the effects on humanity. So far, little is known about maternal-fetal infection or the possibility of vertical transmission. A case of COVID-19 in neonatal age with a positive rRT-PCR test for SARS-CoV-2 is reported whose mother was diagnosed with the disease prior to birth after presenting respiratory symptoms. Along with a brief review of the literature on the disease.


REFERENCES

  1. Ashraf MA, Keshavarz P, Hosseinpour P et al. Coronavirus disease 2019 (COVID-19): a systematic review of pregnancy and the possibility of vertical transmission. J Reprod Infertil. 2020; 21 (3): 157-168. http://www.ncbi.nlm.nih.gov/pubmed/32685412.

  2. Sun J, He WT, Wang L et al. COVID-19: epidemiology, evolution, and cross-disciplinary perspectives. Trends Mol Med. 2020; 26 (5): 483-495. doi: 10.1016/j.molmed.2020.02.008.

  3. Melo GC, Araújo KCGM. COVID-19 infection in pregnant women, preterm delivery, birth weight, and vertical transmission: a systematic review and meta-analysis. Cad Saude Publica. 2020; 36 (7): e00087320. doi: 10.1590/0102-311x00087320.

  4. Putumayo G. Secretaría de salud departamental Putumayo. Boletín epidemiológico COVID-19. Reporte 25-07-2020. 2020; 21 (1): 1-9.

  5. Ministerio de Salud Colombia. Lineamientos para el manejo clínico de pacientes con infección por nuevo coronavirus COVID-19. Bogotá: Julio de 2020. Disponible en: https://www.minsalud.gov.co/Ministerio/Institucional/Procesos y procedimientos/PSSS03.pdf.

  6. Huila GDEL. Secretaría de Salud Departamental Boletín Epidemiológico No. 12 COVID-19 Huila-Reporte 30-03-2020 Casos confirmados Secretaría de Salud Departamental Seguimiento a Personas. 2020; (12): 19-21.

  7. Karimi-Zarchi M, Neamatzadeh H, Dastgheib SA et al. Vertical transmission of coronavirus disease 19 (COVID-19) from infected pregnant mothers to neonates: a review. Fetal Pediatr Pathol. 2020; 39 (3): 246-250. doi: 10.1080/15513815.2020.1747120.

  8. Khoury R, Bernstein PS, Debolt C et al. Characteristics and outcomes of 241 births to women with severe acute respiratory syndrome coronavirus 2 (SARS-CoV-2) infection at five New York City medical centers. Obstet Gynecol. 2020; 136 (2): 273-282. doi: 10.1097/AOG.0000000000004025.

  9. Wu YT, Liu J, Xu JJ et al. Neonatal outcome in 29 pregnant women with COVID-19: a retrospective study in Wuhan, China. PLoS Med. 2020; 17 (7): e1003195. doi: 10.1371/journal.pmed.1003195.

  10. Kotlyar AM, Grechukhina O, Chen A et al. Vertical transmission of coronavirus disease 2019: a systematic review and meta-analysis. Am J Obstet Gynecol. 2021; 224 (1): 35-53.e3. doi: 10.1016/j.ajog.2020.07.049.

  11. Yoon SH, Kang JM, Ahn JG. Clinical outcomes of 201 neonates born to mothers with COVID-19: a systematic review. Eur Rev Med Pharmacol Sci. 2020; 24 (14): 7804-7815. doi: 10.26355/eurrev_202007_22285.

  12. Baergen RN, Heller DS. Placental pathology in covid-19 positive mothers: preliminary findings. Pediatr Dev Pathol. 2020; 23 (3): 177-180. doi: 10.1177/1093526620925569.

  13. Zaigham M, Andersson O. Maternal and perinatal outcomes with COVID-19: a systematic review of 108 pregnancies. Acta Obstet Gynecol Scand. 2020; 99 (7): 823-829. doi: 10.1111/aogs.13867.




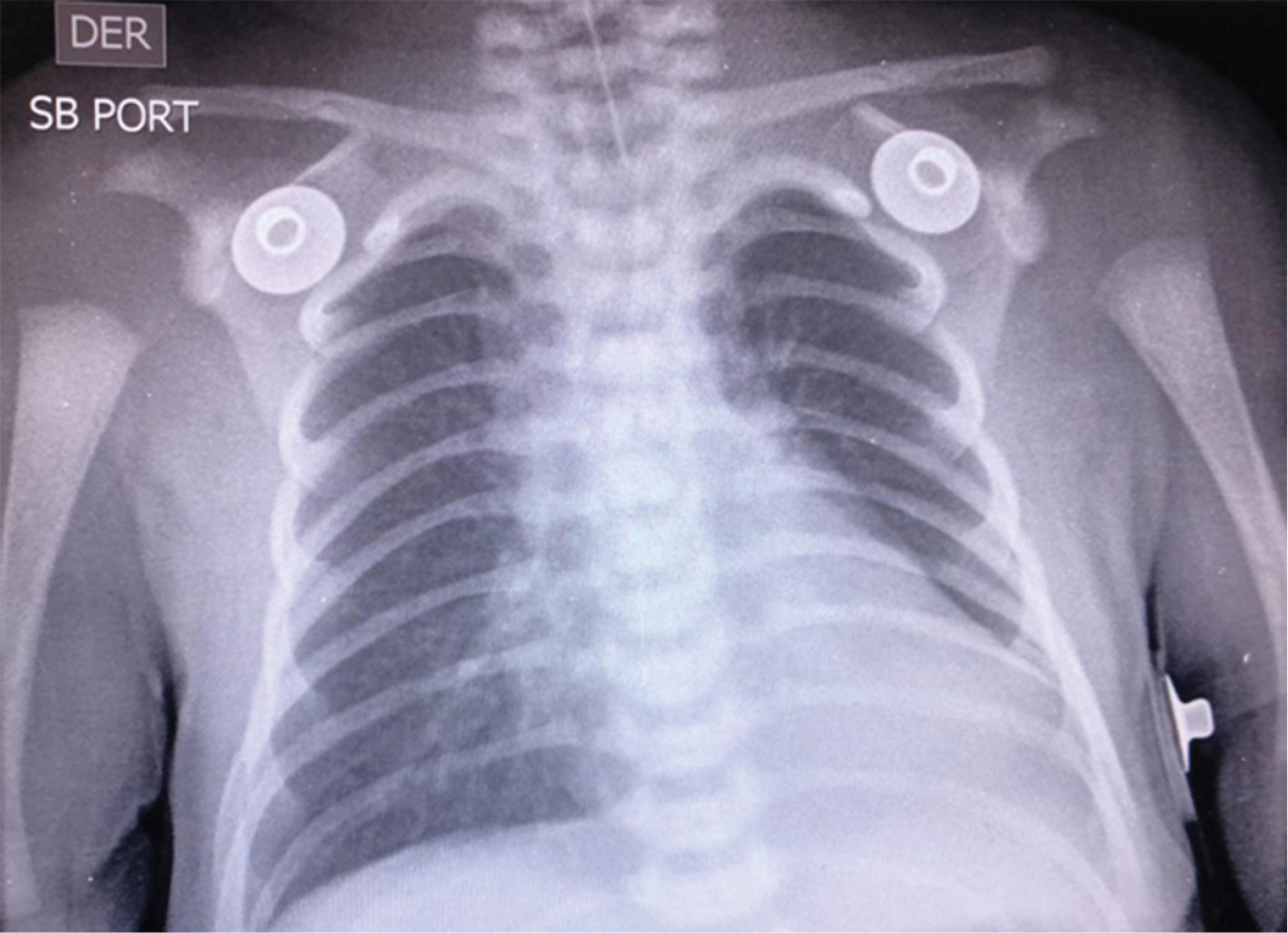
Figure 1
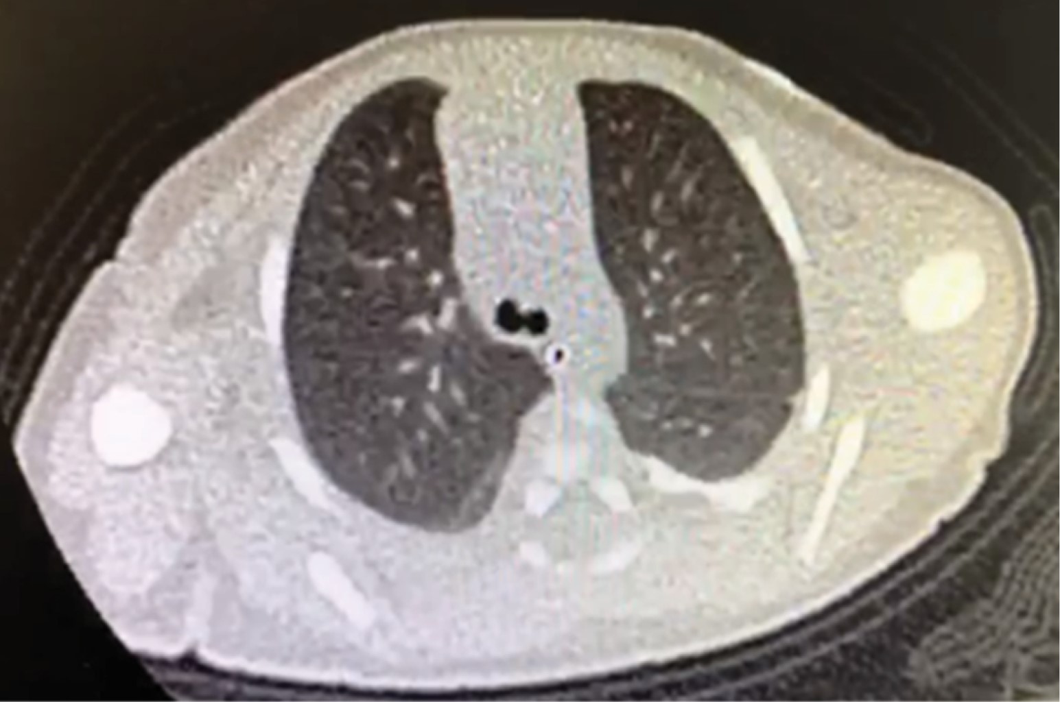
Figure 2
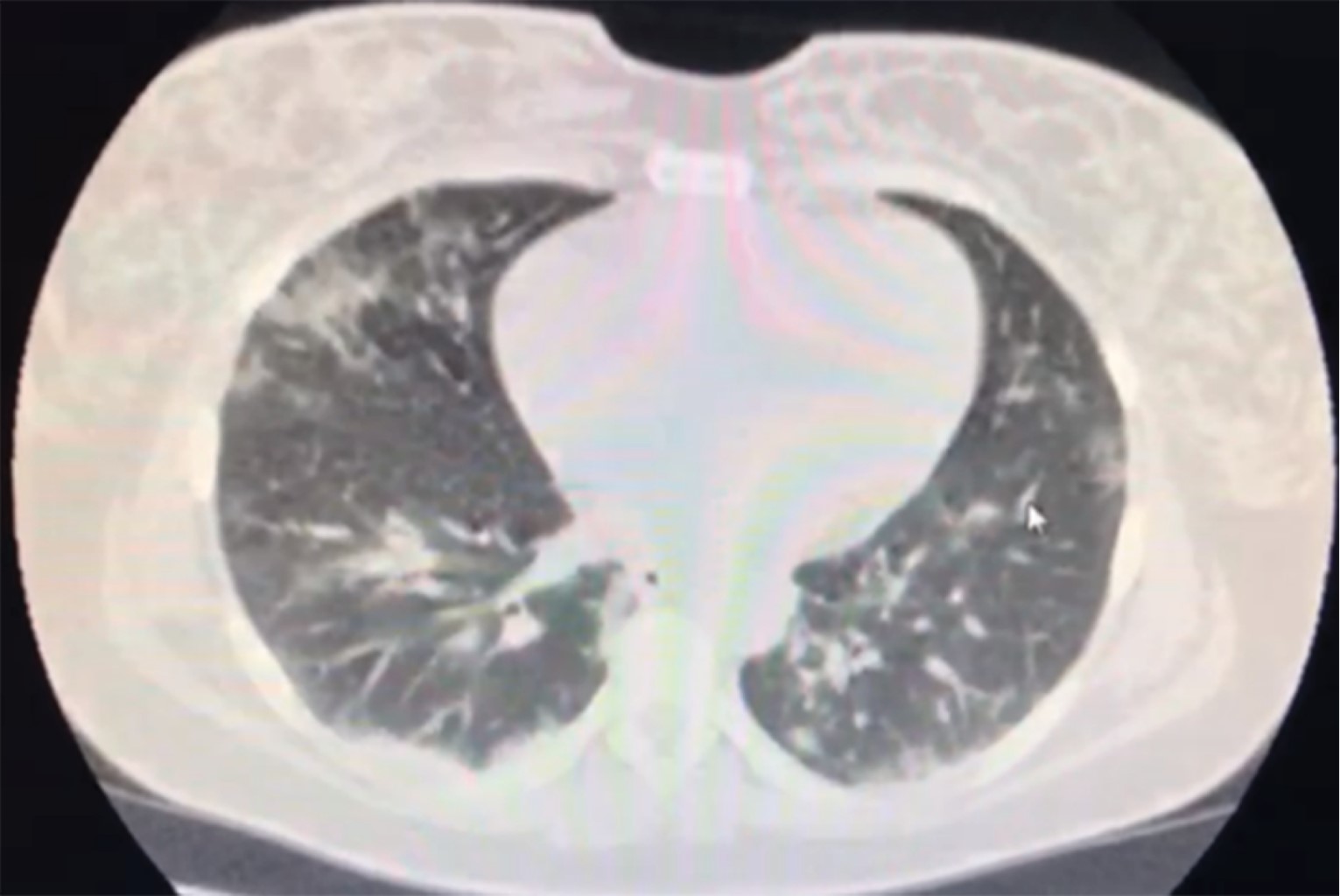
Figure 3
Figure 4

2020     |     www.medigraphic.com

Mi perfil

C?MO CITAR (Vancouver)

Rev Latin Infect Pediatr. 2021;34