medigraphic.com
SPANISH

Revista del Centro Dermatológico Pascua

ISSN 1405-1710 (Print)
  • Contents
  • View Archive
  • Information
    • General Information        
    • Directory
  • Publish
    • Instructions for authors        
  • medigraphic.com
    • Home
    • Journals index            
    • Register / Login
  • Mi perfil

2021, Number 1

<< Back Next >>

Rev Cent Dermatol Pascua 2021; 30 (1)

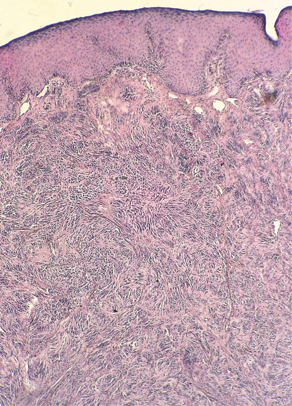
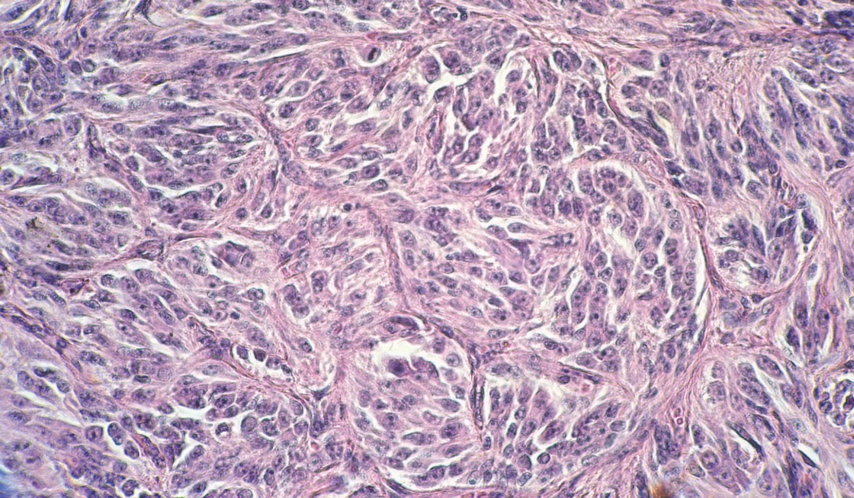
Neoformation in the chin

Ramos-Garibay A, Trejo-Acuña JR, Zárate FLM
Full text How to cite this article 10.35366/100591

DOI

DOI: 10.35366/100591
URL: https://dx.doi.org/10.35366/100591

Language: Spanish
References: 10
Page: 39-42
PDF size: 232.11 Kb.


Key words:

No keywords




REFERENCES

  1. Spitz S. Melanomas of childhood. Am J Pathol. 1948; 24: 591-609.

  2. Ferrara G, Cavicchini S, Corradin MT. Hypopigmented atypical Spitzoid neoplasms (atypical Spitz nevi, atypical Spitz tumors, Spitzoid melanoma): a clinicopathological update. Dermatol Pract Concept. 2015; 5: 45-52.

  3. Herreid PA, Shapiro PE. Age distribution of Spitz nevus vs malignant melanoma. Arch Dermatol. 1996; 132: 352-353.

  4. Dika E, Ravaioli GM, Fanti PA, Neri I, Patrizi A. Spitz nevi and other Spitzoid neoplasms in children: overview of incidence data and diagnostic criteria. Pediatr Dermatol. 2017; 34: 25-32.

  5. Lallas A, Apalla Z, Ioannides D, Lazaridou E, Kyrgidis A, Broganelli P et al. Update on dermoscopy of Spitz/Reed naevi and management guidelines by the International Dermoscopy Society. Br J Dermatol. 2017; 177: 645-655.

  6. Kamino H, Misheloff E, Ackerman AB, Flotte TJ, Greco MA. Eosinophilic globules in Spitz's nevi: new findings and a diagnostic sign. Am J Dermatopathol. 1979; 1: 323-324.

  7. Sainz-Gaspar L, Sánchez-Bernal J, Noguera-Morel L, Hernández-Martín A, Colmenero I, Torrelo A. Nevo de Spitz y otros tumores spitzoides en la infancia. Parte 1: aspectos clínicos, histológicos e inmunohistoquímicos. Actas Dermosifiliogr. 2020; 111: 7-19.

  8. Lallas A, Moscarella E, Longo C, Kyrgidis A, de Mestier Y, Vale G et al. Likelihood of finding melanoma when removing a Spitzoid-looking lesion in patients aged 12 years or older. J Am Acad Dermatol. 2015; 72: 47-53.

  9. Calonje J, Brenn T, Lazar A, Mckee P. McKee's pathology of the skin. 4ª ed. USA: Elsevier; 2012. p. 1182.

  10. Sainz-Gaspar L, Sánchez-Bernal J, Noguera-Morel L, Hernández-Martín A, Colmenero I, Torrelo A. Nevo de Spitz y otros tumores spitzoides en la infancia. Parte 2: características citogenéticas y moleculares. Pronóstico y tratamiento. Actas Dermosifiliogr. 2020; 111: 20-25. doi: 10.1016/j.ad.2019.02.010




Figure 1
Figure 2
Figure 3

2020     |     www.medigraphic.com

Mi perfil

C?MO CITAR (Vancouver)

Rev Cent Dermatol Pascua. 2021;30