medigraphic.com
SPANISH

Orthotips AMOT

ISSN 2007-8560 (Print)
Órgano Oficial de Difusión Científica de la Federación Mexicana de Colegios de Ortopedia y Traumatología, A.C. (FEMECOT)
  • Contents
  • View Archive
  • Information
    • General Information        
    • Directory
  • Publish
    • Instructions for authors        
  • medigraphic.com
    • Home
    • Journals index            
    • Register / Login
  • Mi perfil

2021, Number 3

<< Back Next >>

Ortho-tips 2021; 17 (3)

Aggressive chondroblastoma of the cuboid, unusual location. Case report and literature review

Cárdenas PGJ, Gonzales MMT, Hernández MM
Full text How to cite this article 10.35366/100627

DOI

DOI: 10.35366/100627
URL: https://dx.doi.org/10.35366/100627

Language: Spanish
References: 20
Page: 162-166
PDF size: 258.95 Kb.


Key words:

Chondroblastoma, benign aggressive tumor, cryosurgery.

ABSTRACT

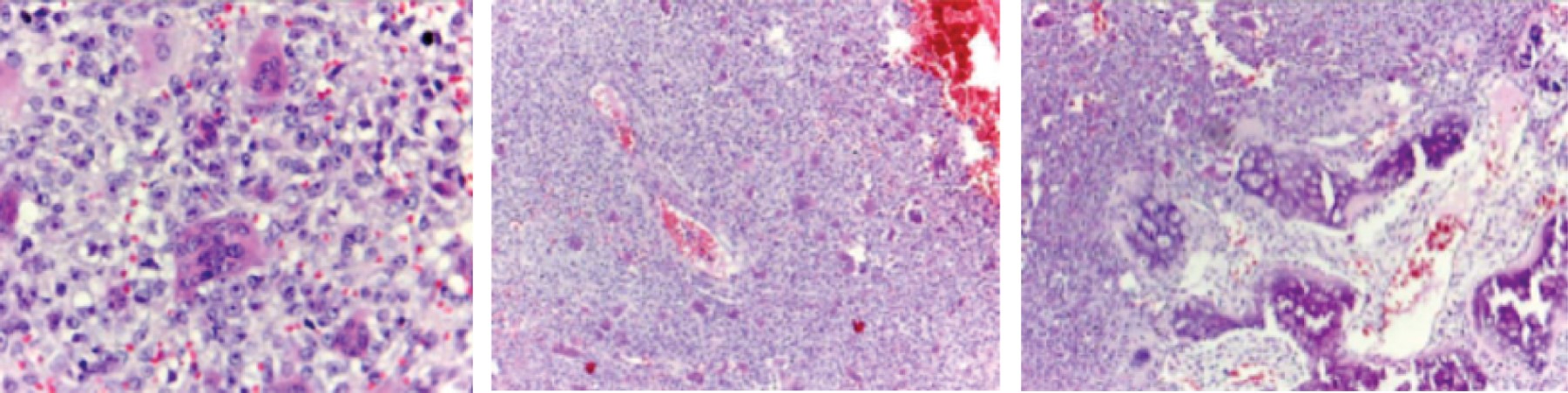
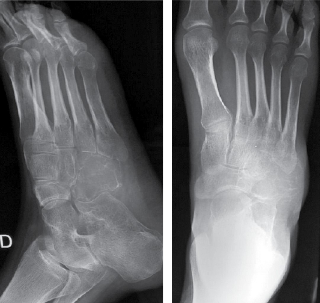
The case of a cuboid chondroblastoma in a 15-year-old woman is presented. This tumor presents an aggressive behavior which does not respond to treatment by curettage, bone grafting and adjuvant cryosurgery in the tissues affected by the tumor. The torpid evolution subsequently forces the need of a radical resection. Despite being classified as an aggressive benign tumor, a mention is made of the possibility of pulmonary metastases and local aggressiveness in some cases, such as that of this patient.


REFERENCES

  1. Ramos LP, Sánchez PS. Tumores óseos del pie. Servicio de cirugía ortopédica y traumatología. Complejo asistencial Universitario de León. Revista del Pie y Tobillo. 2011; 25 (1): 6-19.

  2. Schajowicz F. Tumores y lesiones seudotumorales de huesos y articulaciones. Buenos Aires: Médica Panamericana; 1982, pp. 146-161.

  3. Enneking WF. Staging of musculoskeletal neoplasm international skeletal society, division of orthopedic surgery. University of Florida College of Medicine, Gainesville, FL. 1985; 32: 666. doi: 10.1007/BF00350572

  4. Mora RFG, Cortes GJ. Condroblastoma primario agresivo, reporte de caso y revisión de la literatura. Rev Mex Ortop Ped. 2008; 10 (1): 5-9.

  5. Méndez LJM, Carballo GA, Salva CG. Condroblastoma de astrágalo: localización inusual. Rev Esp Cir Osteoart. 1997; 32: 100-102.

  6. López-Sastre Núñez A, Gómez Robledo J, Ortiz Gómez JA, Prieto Montaña JB. Salarrullana Verda J. Condroblastoma benigno del fémur. Rev Ortop Traumatol 1995; 39: 319-322.

  7. Zhang K, Gao Y. Chondroblastoma of the Talus: a case report and literature review. The Journal of Foot & Ankle Surgery. 2012; 51: 262-265.

  8. Álvarez LA. Tumores óseos primarios. Revisión del tema. AMC. 2003; 7 (2): 215-229.

  9. Adler CP, Kozlowski KK. Primary bone tumors and tumorous conditions in children. Berlin: Springer-Verlag; 1993, pp. 9-119.

  10. Dittrich RJ. Mecanismo de lesión tisular en criocirugía. Revista de la Asociación Médica Argentina. 2008; 121 (3): 29-39.

  11. De Zavala S, Torres J, Bosi S. Condroblastoma a propósito de un caso. Revista Española de Cirugía Osteoarticular. 1983; 18: 47-51.

  12. Aronson RS, Hart WS, Martel W. Metaphyseal chondroblastoma. AJR Am J Roentgenol. 1976; 127: 686-688.

  13. Huvos, AG, Higinbotham NL, Marcove RC. Agressive behaviour and metastases with report of a new case. Clin Orthop. 1977; 126: 266-272.

  14. Reyes CV, Kathuria S. Recurrent on aggressive chondroblastoma of the pelvis with malignant neoplastic changes. Am J Surg Pthol. 1979; 3: 449-455.

  15. Fernández JS, Baudet EM, Vilches TJ, Sabate SC, Ayllon GA. Condriblastoma benigno. Rev S Traum Ort. 1988; 8: 253-259. https://www.researchgate.net/profile/Jose-Sueiro-Fernandez/publication/309728238_Condroblastoma_Benigno/links/5821fe3908aed9ccec638778/Condroblastoma-Benigno.pdf

  16. Matejovsky Z, Povysil C. Benign and aggressive chondroblastoma. Journal of Bone & Joint Surgery British. 2004; 86B (Suppl. 3): 270.

  17. Toy PC, France J, Randall RL, Neel MD, Shorr RI, Heck RK. Reconstruction of noncontained distal femoral defects with polymethylmethacrylate and crossed-screw augmentation: a biomechanical study. J Bone Joint Surg Am. 2006; 88 (1): 171-178.

  18. Moreno LF, Moreno E, Ramírez SO, Tecualt R, Amaya RA, Morfin PA. Tumores óseos benignos de comportamiento agresivo. Orthotips. 2008; 4: 2.

  19. Cates JM, Rosenberg AE, O'Connell JX, Nielsen GP. Chondroblastoma-like chondroma of soft tissue: an under-recognized variant and its differential diagnosis. Am J Surg Pathol. 2001; 25 (5): 661-666.

  20. Dahilin DC, Ivins JC. Benign chondroblastoma. A study of 125 cases. Cancer. 1972; 30: 401-413.




Figure 1
Figure 2
Figure 3
Figure 4
Figure 5
Figure 6

2020     |     www.medigraphic.com

Mi perfil

C?MO CITAR (Vancouver)

Ortho-tips. 2021;17