medigraphic.com
SPANISH

Orthotips AMOT

ISSN 2007-8560 (Print)
Órgano Oficial de Difusión Científica de la Federación Mexicana de Colegios de Ortopedia y Traumatología, A.C. (FEMECOT)
  • Contents
  • View Archive
  • Information
    • General Information        
    • Directory
  • Publish
    • Instructions for authors        
  • medigraphic.com
    • Home
    • Journals index            
    • Register / Login
  • Mi perfil

2021, Number 3

<< Back Next >>

Ortho-tips 2021; 17 (3)

Ulna osteomyelitis treated with cryosurgery

López DA, Lechuga GR
Full text How to cite this article 10.35366/100628

DOI

DOI: 10.35366/100628
URL: https://dx.doi.org/10.35366/100628

Language: Spanish
References: 23
Page: 167-173
PDF size: 234.48 Kb.


Key words:

Osteomyelitis, ulna, cryotherapy, surgical management.

ABSTRACT

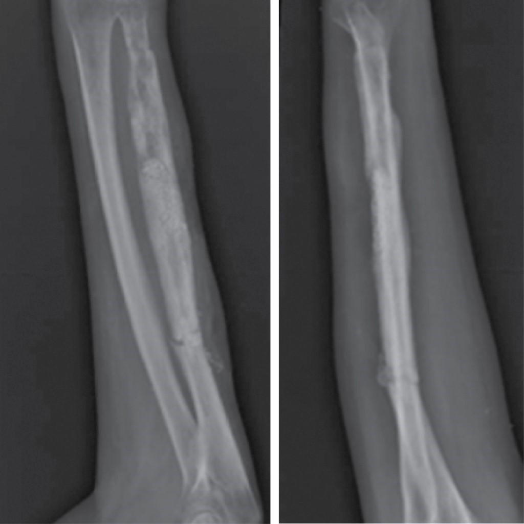
Musculoskeletal infection in children exhibits a wide range of conditions and clinical presentations, which can occur singly or in combination, including complex or systemic forms. These conditions include osteomyelitis (acute, subacute, and chronic), discitis, septic arthritis, abscess, cellulitis. The clinical presentation of children with any of these conditions may have sufficient similar characteristics to create from an initial diagnosis of dilemma up to a complete history; physical examination, laboratory tests, plain radiographs, and advanced imaging can be performed. A wide variety of medical specialties is often involved in the evaluation and treatment of such conditions. The link between the orthopedics and infectology services is essential to achieve the best results in these patients. The treatment of chronic osteomyelitis is challenging, and extensive clinical experience is essential to adequately address this serious complication in pediatric patients. Consequently, the objective of this study is to narrate our experience and present results of the treatment of this pathology, using cryosurgery and bioactive glass. The case of ulna osteomyelitis in a 17-year-old patient is presented.


REFERENCES

  1. Lanza G. Trattato di anatomía e istologia patológica. Editore, Padova, 1975, T II, 12: 636.

  2. Paluska SA. Osteomyelitis. Clin Family Prac. 2004; 6: 127-156.

  3. Riise OR, Kirhus E, Handeland KS, Flato B, Reiseter T, Cvancarova M, et al. Childhood osteomyelitis-incidence and differentiation from other acute onset musculoskeletal features in a population-based study. Pediatrics. 2008; 8: 45-55.

  4. Zalavras CG. Prevention of infection in open-fractures. Infect Dis Clin North Am. 2017; 31: 339-352.

  5. Parsson B, Strauss E. Surgical management of chronic osteomyelitis. Am J Surg. 2004; 188: 57-66.

  6. Konttinen YT, Tagaki M, Mandelin J, Lassus J, Salo J, Ainola M, et al. Acid attack and cathepsin K in bone resorption around total hip replacement prosthesis. J Bone Miner Res. 2001; 16: 1780-1786.

  7. Powerski M, Maier B, Frank J, Marzi I. Treatment of severe osteitis after elastic intramedullary nailing of a radial bone shaft fracture by using cancellous bone graft in Masquelet technique in a 13-year-old adolescent girl. J Pediatr Surg. 2009; 44: 17-19.

  8. Lew DP, Waldfogel FA. Osteomyelitis. Lancet. 2004; 364: 369-379.

  9. Andersson OH, Kangasniemi I. Calcium phosphate formation at the surface of bioactive glass in vitro. J Biomed Mater Res. 1991; 24: 1019-1030.

  10. Day RM. Bioactive glass stimulates the secretion of angiogenetic growth factors and angiogenesis in vitro. Tissue Eng. 2005; 11: 768-777.

  11. Lazzarini L, Mader JT, Cahoun JH. Osteomyelitis in long bones. J Bone Joint Surg. 2004; 86-A: 2305-2318.

  12. Andersson OH, Karlsson KH, Kangasniemi K. Calcium phosphate formation at the surface of bioactive glass in vivo. J Non-Cryst Solids. 1990; 119: 290-296.

  13. Farah CS, Savage NW. Cryotherapy for treatment of oral lesions. Aust Dent J. 2006; 51: 2-5.

  14. Haartemann-Heurtier A, Senneville E. Diabetic foot osteomyelitis. Diabetes Metab. 2008; 34: 87-95.

  15. Stoor P, Soderling E, Grenman R. Interactions between the bioactive glass S53P4 and the atrophic rhinitis-associated microorganism Klebsiella ozaenae. J Biome Mater Res Appl Biomater. 1999; 48: 869-874.

  16. Kujan O, Azzeghaiby SN, Tarakji B, Abuderman A, Sakka S. Cryosurgery of the oral and peri-oral region: a literature review of the mechanism, tissue response, and clinical applications. J Investig Clin Dent 2013; 4: 71-77.

  17. Yeh CJ. Treatment of verrucous hyperplasia and verrucous carcinoma by shave excision and simple cryosurgery. Int J Oral Maxillofac Surg. 2003; 32: 280-283.

  18. Prasad M, Kale TP, Halli R, Kotrashetti SM, Baliga SD. Liquid nitrogen cryotherapy in the management of oral lesions: a retrospective clinical study. J Maxillofac Oral Surg. 2009; 8: 40-42.

  19. Farah CS, Koelmeyer N, Kaney A, Simanovic B. Nitrous oxide cryotherapy for the management of benign lesions of the oral cavity. J Oral Pathol Med. 2019; 48: 611-618.

  20. Emmings FG, Koepf SW, Gage AA. Cryotherapy for benign lesions of the oral cavity. J Oral Surg. 1967; 25: 320-326.

  21. Gage AA. Cryotherapy for oral cancer. JAMA. 1968; 204: 565-569.

  22. Chandler JR. Cryosurgery for recurrent carcinoma of the oral cavity. Arch Otolaryngol. 1973; 97: 319-321.

  23. Lindgren G, Larko O. Cryosurgery of eyelid basal cell carcinomas including 781 cases treated over 30 years. Acta Ophthalmol. 2014; 92: 787-792.




Figure 1
Figure 2
Figure 3
Figure 4
Figure 5
Figure 6
Figure 7
Figure 8
Table 1

2020     |     www.medigraphic.com

Mi perfil

C?MO CITAR (Vancouver)

Ortho-tips. 2021;17