medigraphic.com
SPANISH

Acta Ortopédica Mexicana

ISSN 2992-8036 (Electronic)
ISSN 2306-4102 (Print)
Órgano Oficial del Colegio Mexicano de Ortopedia y Traumatología
  • Contents
  • View Archive
  • Information
    • General Information        
    • Directory
  • Publish
    • Instructions for authors        
  • medigraphic.com
    • Home
    • Journals index            
    • Register / Login
  • Mi perfil

2021, Number 1

<< Back

Acta Ortop Mex 2021; 35 (1)

Acquired flat foot of the adult by posterior tibial dysfunction. Options for surgical treatment

Núñez-Samper M, Llanos-Alcázar L, Viladot-Pericé R, Viladot-Voegeli A, Álvarez-Goenaga F, Bailey E, Parra-Sánchez G, Caldiño-Lozada I, López-Gavito E, Parra-Téllez P
Full text How to cite this article 10.35366/100938

DOI

DOI: 10.35366/100938
URL: https://dx.doi.org/10.35366/100938

Language: Spanish
References: 139
Page: 92-117
PDF size: 840.09 Kb.


Key words:

Tibialis posterior disfunction, spring ligament, acquired adult flat foot.

ABSTRACT

We present the possible etiopatogenic causes of posterior tibial dysfunction or painful flat foot of the adult and the cause-and-effect relationship that may exist. We also expose the gradation of the lesion and the different therapeutic options for the surgical treatment of the deformity. Since 1939, multiple articles have been published, which have been endorsed by clinical, experimental, electromyographic and biomechanical studies; publications that have been consulted and evaluated for the development of this review. In our opinion: the dysfunction of the posterior tibial is caused in principle by a failure of the plantar navicular calcaneus ligament (spring ligament), the main passive stabilizer of the internal plantar arch. This failure would, in time, mean an increase in work of the posterior tibial tendon, in itself "insufficient", which would go into fatigue, until it reached a partial or total rupture. Published work on soft-part procedures acting on the posterior tibial tendon in stage II has not had the expected result in the natural history of deformity. Arthrodesis, on the other hand, has been effective in other stages, but is associated with a loss of movement dynamics in the back foot and increased pressure on adjacent joints.


REFERENCES

  1. Ananthakrisnan D, Ching R, Tencer A, Hansen ST Jr, Sangeorzan BJ. Subluxation of the talocalcaneal joint in adults who have symptomatic flatfoot. J Bone Joint Surg Am. 1999; 81(8): 1147-54.

  2. Johnson KA, Strom DE. Tibialis posterior tendon dysfunction. Clin Orthop Relat Res. 1989; (239): 196-206.

  3. Hicks JH. The foot as a support. Acta Anat (Basel). 1955;25(1): 34-45.

  4. Mann RA. Biomechanics of the foot and ankle. In: Mann RA, Coughlin MJ (eds). Surgery of the foot and ankle. St Louis: Mosby; 1993. pp. 3-43.

  5. Thordarson DB, Schmotzer H, Chon J, Peters J. Dynamic support of the human longitudinal arch. A biomechanical evaluation. Clin Orthop Relat Res. 1995; (316): 165-72.

  6. Huang CK, Kitaoka HB, An KN, Chao EY. Biomechanical evaluation of longitudinal arch stability. Foot Ankle. 1993; 14(6): 353-7.

  7. Deland JT, de Asla RJ, Sung IH, Ernberg LA, Potter HG. Posterior tibial tendon insufficiency: which ligaments are involved? Foot Ankle Int. 2005; 26(6): 427-35.

  8. Davis WH, Sobel M, DiCarlo EF, Torzilli PA, Deng X, Geppert MJ, et al. Gross, histological, and microvascular anatomy and biomechanical testing of the spring ligament complex. Foot Ankle Int. 1996; 17(2): 95-102.

  9. Campbell KJ, Michalski MP, Wilson KJ, Goldsmith MT, Wijdicks CA, LaPrade RF, et al. The ligament anatomy of the deltoid complex of the ankle: a qualitative and quantitative anatomical study. J Bone Joint Surg Am. 2014; 96(8): e62.

  10. Kobezda T. The role of the foot in the mechanism of shock absorption. Biomechanica Hungarica. 2009; 2: 31-8.

  11. Jones RL. The human foot. An experimental study of its mechanics, and the role of its muscle and ligaments in the support of the arch. Am J Anat. 1941; 68: 1-39.

  12. Hicks JH. The mechanics of the foot. IV. The action of muscles on the foot in standing. Acta Anat (Basel). 1956; 27(3): 180-92.

  13. Houtz SJ, Fischer FJ. Function of leg muscles acting on foot as modified by body movements. J Appl Physiol. 1961; 16: 597-605.

  14. Imhauser CW, Siegler S, Abidi NA, Frankel DZ. The effect of posterior tibialis tendon dysfunction on the plantar pressure characteristics and the kinematics of the arch and the hindfoot. Clin Biomech (Bristol, Avon). 2004; 19(2): 161-9.

  15. Basmajian JV, Stecko G. The role of muscles in arch support of the foot. J Bone Joint Surg Am. 1963; 45: 1184-90.

  16. Núñez-Samper M. Análisis anatomo funcional y estadístico de los sistemas estadísticos de la bóveda plantar del pie plano. Tesis doctoral. Madrid: Universidad Complutense; 1980.

  17. Mann R, Inman VT. Phasic activity of intrinsic muscles of the foot. J Bone Joint Surg Am. 1964; 46: 469-81.

  18. Núñez-Samper M, Llanos Alcázar LF, Gómez Pellico L. Importancia de la musculatura plantar como soporte activo de los arcos del pie plano. Rev Ortop Traum. 1986; 30(5): 495-506.

  19. Suzuki N. An electromyographic study of the role of muscles in arch support of the normal and flat foot. Nagoya Med J. 1972; 17(3): 57-79.

  20. Sulowska I, Oleksy L, Mika A, Bylina D, Soltan J. The influence of plantar short foot muscle exercises on foot posture and fundamental movement patterns in long-distance runners, a non-randomized, non-blinded clinical trial. PLoS One. 2016; 11(6): e0157917.

  21. Kitaoka HB, Luo ZP, An KN. Effect of the posterior tibial tendon on the arch of the foot during simulated weightbearing: biomechanical analysis. Foot Ankle Int. 1997; 18(1): 43-6.

  22. Dullaert K, Hagen JE, Simons P, Gras F, Gueorguiev B, Richards RG, et al. Influence of tibialis posterior muscle activation on foot anatomy under axial loading: A biomechanical CT human cadaveric study. Foot Ankle Surg. 2017; 23(4): 250-4.

  23. Borton DC, Saxby TS. Tear of the plantar calcaneonavicular (spring) ligament causing flatfoot. A case report. J Bone Joint Surg Br. 1997; 79(4): 641-3.

  24. Kadakia AR, Kelikian AS, Barbosa M, Patel MS. Did failure occur because of medial column instability that was not recognized, or did it develop after surgery? Foot Ankle Clin. 2017; 22(3): 545-62.

  25. Gazdag AR, Cracchiolo A 3rd. Rupture of the posterior tibial tendon. Evaluation of injury of the spring ligament and clinical assessment of tendon transfer and ligament repair. J Bone Joint Surg Am. 1997; 79(5): 675-81.

  26. Orr JD, Nunley JA 2nd. Isolated spring ligament failure as a cause of adult-acquired flatfoot deformity. Foot Ankle Int. 2013; 34(6): 818-23.

  27. Larrainzar-Garijo R, Cifuentes de la Portilla C, Gutiérrez-Narvarte B, Díez-Nicolás E, Bayod J. Effect of the calcaneal medializing osteotomy on soft tissues supporting the plantar arch: A computational study. Rev Esp Cir Ortop Traumatol (Engl Ed). 2019; 63(2): 155-63.

  28. Greisberg J, Assal M, Hansen ST Jr, Sangeorzan BJ. Isolated medial column stabilization improves alignment in adult-acquired flatfoot. Clin Orthop Relat Res. 2005; (435): 197-202.

  29. Yeap JS, Singh D, Birch R. Tibialis posterior tendon dysfunction: a primary or secondary problem? Foot Ankle Int. 2001; 22(1): 51-5.

  30. Subhas N, Sundaram M. Isolated spring ligament tear demonstrated on magnetic resonance imaging. Orthopedics. 2007; 30(1): 70-2.

  31. Tryfonidis M, Jackson W, Mansour R, Cooke PH, Teh J, Ostlere S, et al. Acquired adult flat foot due to isolated plantar calcaneonavicular (spring) ligament insufficiency with a normal tibialis posterior tendon. Foot Ankle Surg. 2008; 14(2): 89-95.

  32. Williams G, Widnall J, Evans P, Platt S. Could failure of the spring ligament complex be the driving force behind the development of the adult flatfoot deformity? J Foot Ankle Surg. 2014; 53(2): 152-5.

  33. Pasapula C, Devany A, Fischer NC, Wijdicks CA, Hübner T, Reifenscneider F, et al. The resistance to failure of spring ligament reconstruction. Foot (Edinb). 2017; 33: 29-34.

  34. Pasapula C, Devany A, Magan A, Memarzadeh A, Pasters V, Shariff S. Neutral heel lateral push test: The first clinical examination of spring ligament integrity. Foot (Edinb). 2015; 25(2): 69-74.

  35. Pisani G. About the pathogenesis of the so-called adult acquired pes planus. Foot Ankle Surg. 2010; 16(1): 1-2.

  36. Brodell JD Jr, MacDonald A, Perkins JA, Deland JT, Oh I. Deltoid-Spring ligament reconstruction in adult acquired flatfoot deformity with medial peritalar instability. Foot Ankle Int. 2019; 40(7): 753-61.

  37. Myerson M, Solomon G, Shereff M. Posterior tibial tendon dysfunction: its association with seronegative inflammatory disease. Foot Ankle. 1989; 9(5): 219-25.

  38. Funk DA, Cass JR, Johnson KA. Acquired adult flat foot secondary to posterior tibial-tendon pathology. J Bone Joint Surg Am. 1986; 68(1): 95-102.

  39. Frey C, Shereff M, Greenidge N. Vascularity of the posterior tibial tendon. J Bone Joint Surg Am. 1990; 72(6): 884-8.

  40. Prado MP, de Carvalho AE Jr, Rodrigues CJ, Fernandes TD, Mendes AA, Salomao O. Vascular density of the posterior tibial tendon: a cadaver study. Foot Ankle Int. 2006; 27(8): 628-31.

  41. Núñez Samper M, Llanos Alcázar LF, Martín Guinea J, Gómez Pellico L. Análisis funcional y estadístico de los sistemas estáticos de la bóveda plantar. Chirurgia del Piede. 1984; 8(3): 147-50.

  42. Bluman EM, Title CI, Myerson MS. Posterior tibial tendon rupture: a refined classification system. Foot Ankle Clin. 2007; 12(2): 233-49.

  43. Raikin SM, Winters BS, Daniel JN. The RAM classification: a novel, systematic approach to the adult-acquired flatfoot. Foot Ankle Clin. 2012; 17(2): 169-81.

  44. Viladot R, Viladot A Jr, Álvarez F. Pie plano laxo infantil. En: Kellam JF. Actualizaciones en cirugía ortopédica y traumatología. 2a ed. Barcelona: Masson; 2001. pp. 229-37.

  45. Herráiz Hidalgo L, Carrascoso Arranz J, Recio Rodríguez M, Jiménez de la Peña M, Cano Alonso R, Álvarez Moreno E, et al. Disfunción del tendón tibial posterior: ¿qué otras estructuras están implicadas en el desarrollo del pie plano adquirido del adulto? Radiologia. 2014; 56(3): 247-56.

  46. Jennings MM, Christensen JC. The effects of sectioning the spring ligament on rearfoot stability and posterior tibial tendon efficiency. J Foot Ankle Surg. 2008; 47(3): 219-24.

  47. Lee MS, Maker JM. Revision of failed flatfoot surgery. Clin Podiatr Med Surg. 2009; 26(1): 47-58.

  48. Mosier-LaClair S, Pomeroy G, Manoli A 2nd. Operative treatment of the difficult stage 2 adult acquired flatfoot deformity. Foot Ankle Clin. 2001; 6(1): 95-119.

  49. Maker JM, Cottom JM. Surgical management of stage 2 adult acquired flatfoot. Clin Podiatr Med Surg [Internet]. 2014; 31(3): 381-9. Available in: http://dx.doi.org/10.1016/j.cpm.2014.03.002

  50. Hibbs RA. Muscle bound feet. NY Med J. 1914; 17(C): 797-9.

  51. Barouk P, Barouk LS. Clinical diagnosis of gastrocnemius tightness. Foot Ankle Clin [Internet]. 2014; 19(4): 659-67. Available in: http://dx.doi.org/10.1016/j.fcl.2014.08.004

  52. Viladot R, Pons M, Alvarez F, Omaña J. Subtalar arthroereisis for posterior tibial tendon dysfunction: a preliminary report. Foot Ankle Int. 2003; 24(8): 600-6.

  53. Wake J, Martin K. Posterior tibial tendon endoscopic debridement for stage I and II posterior tibial tendon dysfunction. Arthrosc Tech. 2017; 6(5): e2019-22.

  54. Walley KC, Greene G, Hallam J, Juliano PJ, Aynardi MC. Short- to mid-term outcomes following the use of an arthroereisis implant as an adjunct for correction of flexible, acquired flatfoot deformity in adults. Foot Ankle Spec. 2018; 12: 122-30.

  55. Charwat-Pessler CG, Hofstaetter SG, Jakubek DE, Trieb K. Interference screw for fixation of FDL transfer in the treatment of adult acquired flat foot deformity stage II. Arch Orthop Trauma Surg. 2015; 135(10): 1369-78.

  56. Conti MS, Jones MT, Savenkov O, Deland JT, Ellis SJ. Outcomes of reconstruction of the stage II adult-acquired flatfoot deformity in older patients. Foot Ankle Int. 2018; 39(9): 1019-27.

  57. Moseir-LaClair S, Pomeroy G, Manoli A 2nd. Intermediate follow-up on the double osteotomy and tendon transfer procedure for stage II posterior tibial tendon insufficiency. Foot Ankle Int. 2001; 22(4): 283-91.

  58. Weil LS Jr, Benton-Weil W, Borrelli AH, Weil LS Sr. Outcomes for surgical correction for stages 2 and 3 tibialis posterior dysfunction. J Foot Ankle Surg. 1998; 37(6): 467-71; discussion 550.

  59. Sangeorzan BJ, Mosca V, Hansen ST Jr. Effect of calcaneal lengthening on relationships among the hindfoot, midfoot, and forefoot. Foot Ankle. 1993; 14(3): 136-41.

  60. Grice DS. An extra-articular arthrodesis of the subastragalar joint for correction of paralytic flat feet in children. J Bone Joint Surg Am. 1952; 34A(4): 927-40.

  61. Viladot A. Surgical treatment of the child's flatfoot. Clin Orthop Relat Res. 1992; (283): 34-8.

  62. Maxwell JR, Carro A, Sun C. Use of the Maxwell-Brancheau arthroereisis implant for the correction of posterior tibial tendon dysfunction. Clin Podiatr Med Surg. 1999; 16(3): 479-89.

  63. Myerson MS. Adult acquired flatfoot deformity: treatment of dysfunction of the posterior tibial tendon. Instr Course Lect. 1997; 46: 393-405.

  64. Barouk LS. Gastrocnemius proximal release. In: Barouk LS. Forefoot reconstruction. Paris: Springer; 2003.

  65. Ruiz Nasarre A, Álvarez Goenaga F, Viladot Pericé R, Fernández de Retana P. Doble artrodesis del tarso por vía medial: primeros dieciséis casos. Rev Pie Tobillo. 2013; 27(2): 92-7.

  66. Viladot Voegeli A, Fontecilla Cornejo N, Serrá Sandoval JA, Alvarez Goenaga F, Viladot Pericé R. Results of subtalar arthroereisis for posterior tibial tendon dysfunction stage IIA1. Based on 35 patients. Foot Ankle Surg. 2018; 24(1): 28-33.

  67. Pinney SJ, Lin SS. Current concept review: acquired adult flatfoot deformity. Foot Ankle Int. 2006; 27(1): 66-75.

  68. Kitaoka HB, Luo ZP, An KN. Reconstruction operations for acquired flatfoot: biomechanical evaluation. Foot Ankle Int. 1998; 19(4): 203-7.

  69. Haddad SL, Myerson MS, Younger A, Anderson RB, Davis WH, Manoli A 2nd. Symposium: adult acquired flatfoot deformity. Foot Ankle Int. 2011; 32(1): 95-111.

  70. Silver CM, Simon SD, Spindell E, Litchman HM, Scala M. Calcaneal osteotomy for valgus and varus deformities of the foot in cerebral palsy. A preliminary report on twenty-seven operations. J Bone Joint Surg Am. 1967; 49(2): 232-46.

  71. Dwyer FC. Osteotomy of the calcaneum for pes cavus. J Bone Joint Surg Br. 1959; 41-B(1): 80-6.

  72. Koutsogiannis E. Treatment of mobile flat foot by displacement osteotomy of the calcaneus. J Bone Joint Surg Br. 1971; 53(1): 96-100.

  73. Mann RA, Thompson FM. Rupture of the posterior tibial tendon causing flat foot. Surgical treatment. J Bone Joint Surg Am. 1985; 67(4): 556-61.

  74. Myerson MS, Badekas A, Schon LC. Treatment of stage II posterior tibial tendon deficiency with flexor digitorum longus tendon transfer and calcaneal osteotomy. Foot Ankle Int. 2004; 25(7): 445-50.

  75. Pomeroy GC, Manoli A 2nd. A new operative approach for flatfoot secondary to posterior tibial tendon insufficiency: a preliminary report. Foot Ankle Int. 1997; 18(4): 206-12.

  76. Fayazi AH, Nguyen HV, Juliano PJ. Intermediate term follow-up of calcaneal osteotomy and flexor digitorum longus transfer for treatment of posterior tibial tendon dysfunction. Foot Ankle Int. 2002; 23(12): 1107-11.

  77. Wacker JT, Hennessy MS, Saxby TS. Calcaneal osteotomy and transfer of the tendon of flexor digitorum longus for stage-II dysfunction of tibialis posterior. Three- to five-year results. J Bone Joint Surg Br. 2002; 84(1): 54-8.

  78. Guyton GP, Jeng C, Krieger LE, Mann RA. Flexor digitorum longus transfer and medial displacement calcaneal osteotomy for posterior tibial tendon dysfunction: a middle-term clinical follow-up. Foot Ankle Int. 2001; 22(8): 627-32.

  79. Sammarco GJ, Hockenbury RT. Treatment of stage II posterior tibial tendon dysfunction with flexor hallucis longus transfer and medial displacement calcaneal osteotomy. Foot Ankle Int. 2001; 22(4): 305-12.

  80. Hadfield M, Snyder J, Liacouras P, Owen J, Wayne J, Adelaar R. The effects of a medializing calcaneal osteotomy with and without superior translation on Achilles tendon elongation and plantar foot pressures. Foot Ankle Int. 2005; 26(5): 365-70.

  81. Matheis EA, Spratley EM, Hayes CW, Adelaar RS, Wayne JS. Plantar measurements to determine success of surgical correction of stage iib adult acquired flatfoot deformity. J Foot Ankle Surg. 2014; 53(5): 562-6.

  82. Arangio GA, Salathe EP. A biomechanical analysis of posterior tibial tendon dysfunction, medial displacement calcaneal osteotomy and flexor digitorum longus transfer in adult acquired flat foot. Clin Biomech (Bristol, Avon). 2009; 24(4): 385-90.

  83. Den Hartog BD. Flexor digitorum longus transfer with medial displacement calcaneal osteotomy. Biomechanical rationale. Foot Ankle Clin. 2001; 6(1): 67-76.

  84. Brodsky JW. Preliminary gait analysis results after posterior tibial tendon reconstruction: a prospective study. Foot Ankle Int. 2004; 25(2): 96-100.

  85. Horton GA, Myerson MS, Parks BG, Park YW. Effect of calcaneal osteotomy and lateral column lengthening on the plantar fascia: a biomechanical investigation. Foot Ankle Int. 1998; 19(6): 370-3.

  86. Bolt PM, Coy S, Toolan BC. A comparison of lateral column lengthening and medial translational osteotomy of the calcaneus for the reconstruction of adult acquired flatfoot. Foot Ankle Int. 2007; 28(11): 1115-23.

  87. Doty JF, Alvarez RG, Asbury BS, Rudd JN, Baxter WB. Arteriovenous fistula and pseudoaneurysm of the posterior tibial artery after calcaneal slide osteotomy: a case report. Foot Ankle Int. 2010; 31(4): 329-32.

  88. Krause FG, Pohl MJ, Penner MJ, Younger AS. Tibial nerve palsy associated with lateralizing calcaneal osteotomy: case reviews and technical tip. Foot Ankle Int. 2009; 30(3): 258-61.

  89. Ptaszek AJ, Aminian A, Schneider JR, Milos S. Lateral plantar artery pseudoaneurysm after calcaneal osteotomy: a case report. Foot Ankle Int. 2006; 27(2): 141-3.

  90. Saxena A, Patel R. Medial displacement calcaneal osteotomy: a comparison of screw versus locking plate fixation. J Foot Ankle Surg. 2016; 55(6): 1164-8.

  91. Kendal A, Ball T, Rogers M, Cooke P, Sharp R. Minimally invasive calcaneal osteotomy; a safe alternative to open calcaneal osteotomy with fewer complications. Orthop Proc [Internet]. 2018; 96-B(Supp 17).

  92. Jowett CR, Rodda D, Amin A, Bradshaw A, Bedi HS. Minimally invasive calcaneal osteotomy: A cadaveric and clinical evaluation. Foot Ankle Surg. 2016; 22(4): 244-7.

  93. Kheir E, Borse V, Sharpe J, Lavalette D, Farndon M. Medial displacement calcaneal osteotomy using minimally invasive technique. Foot Ankle Int. 2015; 36(3): 248-52.

  94. Evans D. Relapsed club foot. J Bone Joint Surg Br. 1961; 43: 722-33.

  95. Evans D. Calcaneo-valgus deformity. J Bone Joint Surg Br. 1975; 57(3): 270-8.

  96. Mosca VS. Calcaneal lengthening for valgus deformity of the hindfoot. Results in children who had severe, symptomatic flatfoot and skewfoot. J Bone Joint Surg Am. 1995; 77(4): 500-12.

  97. Dumontier TA, Falicov A, Mosca V, Sangeorzan B. Calcaneal lengthening: investigation of deformity correction in a cadaver flatfoot model. Foot Ankle Int. 2005; 26(2): 166-70.

  98. Hix J, Kim C, Mendicino RW, Saltrick K, Catanzariti AR. Calcaneal osteotomies for the treatment of adult-acquired flatfoot. Clin Podiatr Med Surg. 2007; 24(4): 699-719.

  99. Guha AR, Perera AM. Calcaneal osteotomy in the treatment of adult acquired flatfoot deformity. Foot Ankle Clin. 2012; 17(2): 247-58.

  100. Hintermann B, Knupp M, Barg A. Peritalar instability. Foot Ankle Int. 2012; 33(5): 450-4.

  101. Prissel MA, Roukis TS. Incidence of nonunion of the unfixated, isolated evans calcaneal osteotomy: a systematic review. J Foot Ankle Surg. 2012; 51(3): 323-5.

  102. Haeseker GA, Mureau MA, Faber FW. Lateral column lengthening for acquired adult flatfoot deformity caused by posterior tibial tendon dysfunction stage II: a retrospective comparison of calcaneus osteotomy with calcaneocuboid distraction arthrodesis. J Foot Ankle Surg. 2010; 49(4): 380-4.

  103. Zwipp H, Rammelt S. Modified Evans osteotomy for the operative treatment of acquired pes planovalgus. Oper Orthop Traumatol. 2006; 18(2): 182-97.

  104. Hintermann B, Valderrabano V, Kundert HP. Lengthening of the lateral column and reconstruction of the medial soft tissue for treatment of acquired flatfoot deformity associated with insufficiency of the posterior tibial tendon. Foot Ankle Int. 1999; 20(10): 622-9.

  105. Dunn SP, Meyer J. Displacement of the anterior process of the calcaneus after Evans calcaneal osteotomy. J Foot Ankle Surg. 2011; 50(4): 402-6.

  106. Frankel JP, Turf RM, Kuzmicki LM. Double calcaneal osteotomy in the treatment of posterior tibial tendon dysfunction. J Foot Ankle Surg. 1995; 34(3): 254-61.

  107. Myerson MS. Adult acquired flatfoot deformity. J Bone Joint Surg. 1996; 78A: 780-92.

  108. Kohls-Gatzoulis J, Angel JC, Singh D, Haddad F, Livingstone J, Berry G. Tibialis posterior dysfunction: a common and treatable cause of adult acquired flatfoot. BMJ. 2004; 329(7478): 1328-33.

  109. Mann RA. Acquired flatfoot in adults. Clin Orthop Relat Res. 1983; (181): 46-51.

  110. Mehta SK, Kellum RB, Robertson GH, Moore AR, Wingerter SA, Tarquinio TA. Radiographic correction of stage III posterior tibial tendon dysfunction with a modified triple arthrodesis. Foot Ankle Int. 2013; 34(10): 1355-63.

  111. Bono JV, Jacobs RL. Triple arthrodesis through a single lateral approach: a cadaveric experiment. Foot Ankle. 1992; 13(7): 408-12.

  112. Ryerson E. The classic: arthrodesing operations on the feet. Clin Orthop Relat Res. 1977; 122: 4-9.

  113. Wapner KL. Triple arthrodesis in adults. J Am Acad Orthop Surg. 1998; 6(3): 188-96.

  114. Smith RW, Shen W, Dewitt S, Reischl SF. Triple arthrodesis in adults with non-paralytic disease. A minimum ten-year follow-up study. J Bone Joint Surg Am. 2004; 86(12): 2707-13.

  115. Saltzman CL, Fehrle MJ, Cooper RR, Spencer EC, Ponseti IV. Triple arthrodesis: twenty-five and forty-four-year average follow-up of the same patients. J Bone Joint Surg Am. 1999; 81(10): 1391-402.

  116. Pell RF 4th, Myerson MS, Schon LC. Clinical outcome after primary triple arthrodesis. J Bone Joint Surg Am. 2000; 82(1): 47-57.

  117. Rosenfeld PF, Budgen SA, Saxby TS. Triple arthrodesis: is bone grafting necessary? The results in 100 consecutive cases. J Bone Joint Surg Br. 2005; 87(2): 175-8.

  118. Ahmad J, Pedowitz D. Management of the rigid arthritic flatfoot in adults: triple arthrodesis. Foot Ankle Clin. 2012; 17(2): 309-22. doi: 10.1016/j.fcl.2012.03.008.

  119. Lambrinudi C. New operation of drop-foot. Br J Surg. 1927; 15: 193-200.

  120. Ryerson EW. Arthrodesing operations on the feet. J Bone Joint Surg Am. 1923; 5: 453-71.

  121. Wetmore RS, Drennan JC. Long-term results of triple arthrodesis in Charcot-Marie-Tooth disease. J Bone Joint Surg Am. 1989; 71(3): 417-22.

  122. Bluman EM, Myerson MS. Stage IV posterior tibial tendon rupture. Foot Ankle Clin. 2007; 12(2): 341-62.

  123. Smith JT, Bluman EM. Update on stage IV acquired adult flatfoot disorder: when the deltoid ligament becomes dysfunctional. Foot Ankle Clin. 2012; 17(2): 351-60.

  124. Peterson KS, Hyer CF. Surgical decision making for stage IV adult acquired flatfoot disorder. Clin Podiatr Med Surg. 2014; 31(3): 445-54.

  125. Conti MS, Ellis SJ, Chan JY, Do HT, Deland JT. Optimal position of the heel following reconstruction of the stage II adult-acquired flatfoot deformity. Foot Ankle Int. 2015; 36(8): 919-27.

  126. Kunas GC, Probasco W, Haleem AM, Burket JC, Williamson ERC, Ellis SJ. Evaluation of peritalar subluxation in adult acquired flatfoot deformity using computed tomography and weightbearing multiplanar imaging. Foot Ankle Surg. 2018; 24(6): 495-500.

  127. Jeng CL, Bluman EM, Myerson MS. Minimally invasive deltoid ligament reconstruction for stage IV flatfoot deformity. Foot Ankle Int. 2011; 32(1): 21-30.

  128. Colin F, Zwicky L, Barg A, Hintermann B. Peritalar instability after tibiotalar fusion for valgus unstable ankle in stage IV adult acquired flatfoot deformity: case series. Foot Ankle Int. 2013; 34(12): 1677-82.

  129. Parra PT. Manejo de la disfunción del tibial posterior. Ortho-tips. 2006; 2(4): 277-84.

  130. Pasapula C, Cutts S. Modern theory of the development of adult acquired flat foot and an updated spring ligament classification system. Clin Res Foot Ankle. 2018; 5(3): 1000247.

  131. Mueller TJ. Acquired flatfoot secondary to tibialis posterior dysfunction: biomechanical aspects. J Foot Surg. 1991; 30(1): 2-11.

  132. Yeap JS, Birch R, Singh D. Long-term results of tibialis posterior tendon transfer for drop-foot. Int Orthop. 2001; 25(2): 114-8.

  133. Mizel MS, Temple HT, Scranton PE Jr, Gellman RE, Hecht PJ, Horton GA, et al. Role of the peroneal tendons in the production of the deformed foot with posterior tibial tendon deficiency. Foot Ankle Int. 1999; 20(5): 285-9.

  134. Myerson MS, Corrigan J, Thompson F, Schon LC. Tendon transfer combined with calcaneal osteotomy for treatment of posterior tibial tendon insufficiency: a radiological investigation. Foot Ankle Int. 1995; 16(11): 712-8.

  135. Deland JT, Arnoczky SP, Thompson FM. Adult acquired flatfoot deformity at the talonavicular joint: reconstruction of the spring ligament in an in vitro model. Foot Ankle. 1992; 13(6): 327-32.

  136. Jahss MH. Spontaneous rupture of the tibialis posterior tendon: clinical findings, tenographic studies, and a new technique of repair. Foot Ankle. 1982; 3(3): 158-66.

  137. Jahss MH. Tendon disorders of the foot and ankle. Philadelphia: W.B. Saunders; 1991. pp. 1461-513.

  138. Dyal CM, Feder J, Deland JT, Thompson FM. Pes planus in patients with posterior tibial tendon insufficiency: asymptomatic versus symptomatic foot. Foot Ankle Int. 1997; 18(2): 85-8.

  139. Niki H, Hirano T, Okada H, Beppu M. Outcome of medial displacement calcaneal osteotomy for correction of adult-acquired flatfoot. Foot Ankle Int. 2012; 33(11): 940-6.




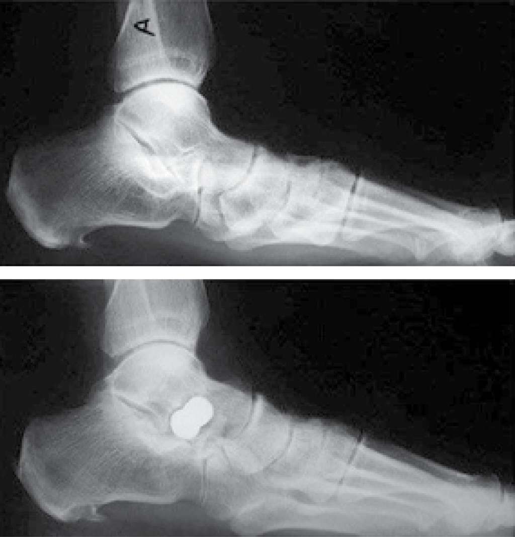
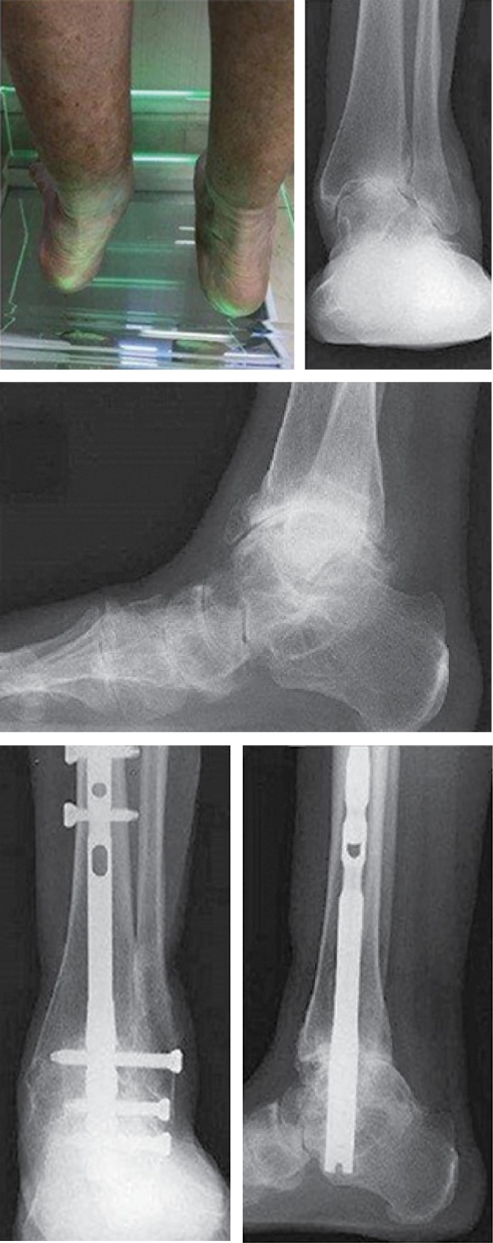
Figure 1
Figure 2
Figure 3
Figure 4
Figure 5
Figure 6
Figure 7
Figure 8
Figure 9
Figure 10
Figure 11
Table 1
Table 2

2020     |     www.medigraphic.com

Mi perfil

C?MO CITAR (Vancouver)

Acta Ortop Mex. 2021 Ene-Feb;35