medigraphic.com
SPANISH

Medicina Crítica

  • Contents
  • View Archive
  • Information
    • General Information        
    • Directory
  • Publish
    • Instructions for authors        
  • Policies
  • Lineamientos
  • medigraphic.com
    • Home
    • Journals index            
    • Register / Login
  • Mi perfil

2021, Number 4

<< Back Next >>

Med Crit 2021; 35 (4)

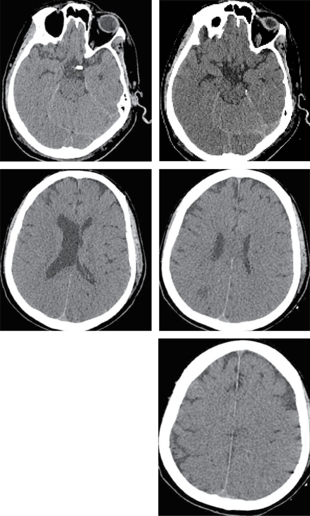
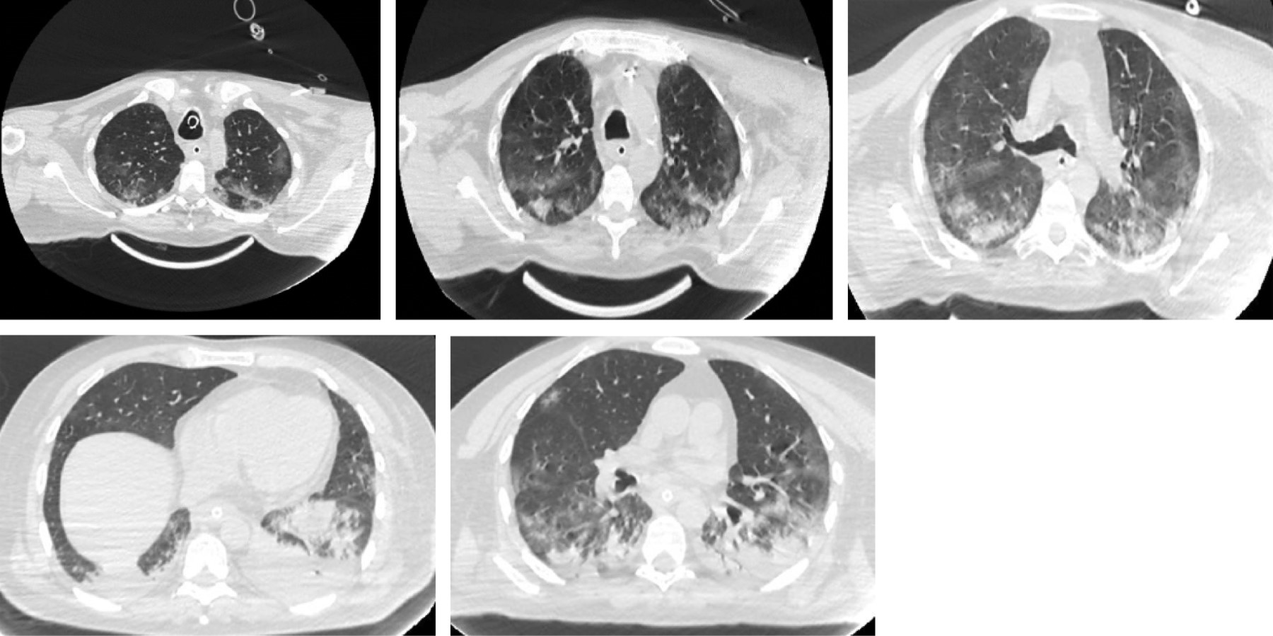
Subarachnoid hemorrhage in a patient with severe COVID-19 pneumonia, secondary to disseminated intravascular coagulation

Amaya DLIO, González RSE, Díaz AFA, Díaz CM
Full text How to cite this article 10.35366/101161

DOI

DOI: 10.35366/101161
URL: https://dx.doi.org/10.35366/101161

Language: Spanish
References: 9
Page: 216-219
PDF size: 265.86 Kb.


Key words:

COVID-19, disseminated intravascular coagulation, subarachnoid hemorrhage.

ABSTRACT

This is a case report of a 63-year-old patient with SARS-CoV-2. Secondary to COVID-19 showing signs of severe pneumonia he is admitted to the intensive care service, requires advanced airway support and anticoagulation treatment at therapeutic doses. Derived from right hand thrombosis a tomographic study was carried out, reporting the diagnosis of Fisher 3 subarachnoid hemorrhage, the anticoagulation was suspended after 5 days, melena-type evacuations and expenditure by nasogastric tube in coffee grounds are manifested, with data of 95,000/μL thrombocytopenia, 198 mg/dL fibrinogen, INR 1.30, TTP 20.4 s, TP 12.7 s, meeting criteria of disseminated intravascular coagulation. The presentation of this case seems interesting because of the association that COVID-19 infection has to the alteration of such coagulation cascade, showing secondary bleeding.


REFERENCES

  1. Middeldorp S, Coppens M, van Haaps TF, et al. Incidence of venous thromboembolism in hospitalized patients with COVID-19. J Thromb Haemost. 2020;18(8):1995-2002.

  2. Guan W, Ni Z, Hu Y, et al. Clinical characteristics of coronavirus disease 2019 in China. N Engl J Med. 2020;382:1708-1720.

  3. Magro C, Mulvey JJ, Berlin D, et al. Complement associated microvascular injury and thrombosis in the pathogenesis of severe COVID-19 infection: a report of five cases. Transl Res. 2020;220:1-13.

  4. Tang N, Li D, Wang X, Sun Z. Abnormal coagulation parameters are associated with poor prognosis in patients with novel coronavirus pneumonia. J Thromb Haemost. 2020;18(4):844-847.

  5. Gralinski LE, Bankhead A 3rd, Jeng S, et al. Mechanisms of severe acute respiratory syndrome coronavirus-induced acute lung injury. mBio. 2013;4(4):e00271-13.

  6. Hariri Lida, Hardin C. Corey. COVID-19, angiogenesis, and ARDS endotypes. N Engl J Med. 2020;383:182-183.

  7. Tang N, Bai H, Chen X, Gong J, Li D, Sun Z. Anticoagulant treatment is associated with decreased mortality in severe coronavirus disease 2019 patients with coagulopathy. J Thromb Haemost. 2020;18(5):1094-1099.

  8. Iba T, Levy JH, Warkentin TE, et al. Diagnosis and management of sepsis-induced coagulopathy and disseminated intravascular coagulation. J Thromb Haemost. 2019;17(11):1989-1994.

  9. Levi M, van der Poll T. Coagulation and sepsis. Thromb Res. 2017;149:38-44.




Figure 1
Figure 2
Figure 3
Table 1

2020     |     www.medigraphic.com

Mi perfil

C?MO CITAR (Vancouver)

Med Crit. 2021;35