medigraphic.com
SPANISH

Revista del Centro Dermatológico Pascua

ISSN 1405-1710 (Print)
  • Contents
  • View Archive
  • Information
    • General Information        
    • Directory
  • Publish
    • Instructions for authors        
  • medigraphic.com
    • Home
    • Journals index            
    • Register / Login
  • Mi perfil

2021, Number 2

Next >>

Rev Cent Dermatol Pascua 2021; 30 (2)

Cutaneous sinus histiocytosis. Clinicopathological study of 33 patients at the Centro Dermatólogico Pascua

Navarrete FG, Ramos GJA, González GM, Laguna MJP, Domínguez UMG
Full text How to cite this article 10.35366/101175

DOI

DOI: 10.35366/101175
URL: https://dx.doi.org/10.35366/101175

Language: Spanish
References: 29
Page: 61-67
PDF size: 630.67 Kb.


Key words:

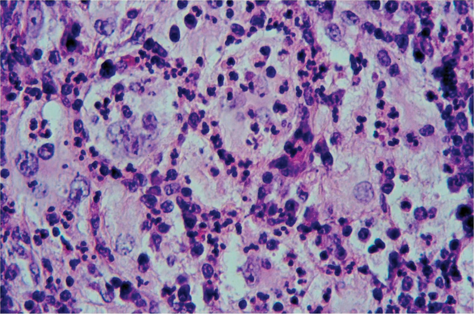
Cutaneous sinus histiocytosis, emperipolesis, Rosai-Dorfman disease.

ABSTRACT

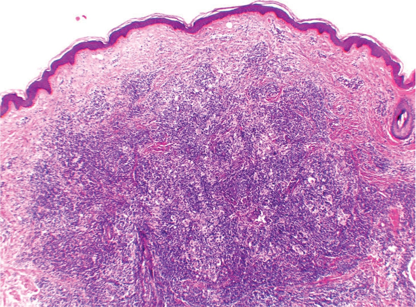
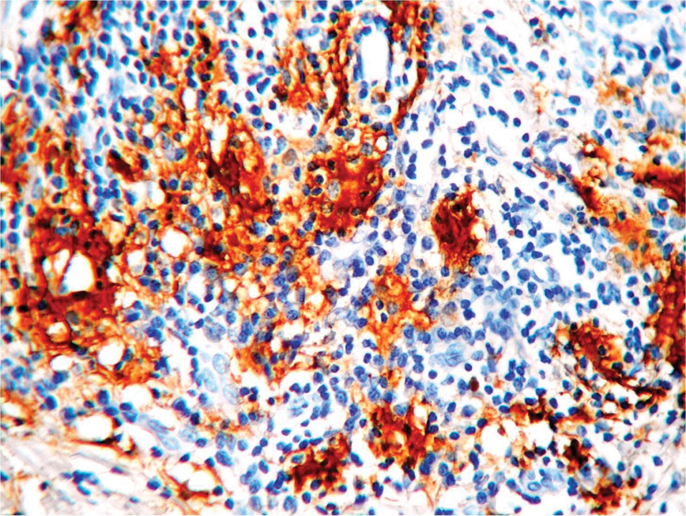
Introduction: Cutaneous sinus histiocytosis (CSH) is a clinical form of Rosai-Dorfman disease or sinus histiocytosis with massive lymphadenopathy (SHLM), this variety limited to the skin is considered rare. Objective: To know the epidemiology and clinical-pathological characteristics of this entity in the Centro Dermatológico "Dr. Ladislao de la Pascua" (CDP) in Mexico City. Material and methods: A retrospective, cross-sectional, descriptive and observational study was performed with the records of the CDP Dermatopathology department in 34 years (1985-2019). Cases with histological diagnosis of sinus histiocytosis and only cutaneous disease (by clinical data) where selected. Results: A total of 33 cases were found, the female gender predominated in 24; the age was between nine and 90 years, with a median of 36. The most frequent location was the face, the clinical aspect was diverse; most cases were chronic and with an asymptomatic evolution. Histologically, the image was characteristic, emperipolesis was observed in all cases. Conclusions: Cutaneous sinus histiocytosis (CSH) is not as rare as was previously thought, we consider that its recently increase in diagnosis relies on greater clinical and histological knowledge of this disease, hence our interest in communicating this series of cases.


REFERENCES

  1. Rosai J, Dorfman RF. Sinus histiocytosis with massive lymphadenopathy. A newly recognized benign clinic-pathological entity. Arch Pathol. 1969; 87: 63-70.

  2. Rosai J, Dorfman RF. Sinus histiocytosis with massive limphadenopathy: a pseudolinfomatous benign disorder. Analysis of 34 cases. Cancer. 1972; 30: 1174-1188.

  3. Destombes P. Adénites avec surcharge lipidique de I'enfant au de I'adulte jeune, observées aux Antilles et au Mali (quatre observations). Bull Soc Pathol Exot Filiales. 1965; 58: 1169-1175.

  4. Thawerani N, Sanchez RL, Rosai J, Dorfman RF. The cutaneous manifestations of sinus histiocytosis with massive limphadenopathy. Arch Dermatol. 1978; 114: 191-197.

  5. Gaul M, Chang T. Cutaneous Rosai-Dorfmann disease. Cutis. 2019; 103: 171-173.

  6. Lazar AP, Esterly NB, González-Cruzi F. Sinus histiocytosis clinically limited to the skin. Pediatric Dermatol. 1987; 4: 247-253.

  7. Mac-Moune LF, Lam WY, Chin CW, Ng WL. Cutaneous Rosai-Dorfman disease presenting as a suspicious breast mass. J Cutan Pathol. 1994; 21: 377-382.

  8. Pérez A, Rodríguez M, Febrer I, Aliaga A. Sinus histiocytosis confined to the skin. Case report and review of the literature. Am J Dermatopathol. 1995; 17: 384-388.

  9. Moon KJ, Ick YW, Min KS, Lee M. Sinus Histiocytosis (Rosai-Dorfman Disease) Clinically Limited to the Skin. Acta Derm Venereol. 1999; 79: 363-365.

  10. Kroumpouzos G, Demierre MF. Cutaneous Rosai-Dorfman disease: histopathological presentation as inflammatory pseudotumor. A literature review. Acta Derm Venereol. 2002; 82: 292-296.

  11. Kenneth KK, Yoke TP, Thamboo TP. Bilateral cauliflower ear deformity: an unusual presentation of cutaneous Rosai-Dorfman disease. Plast Reconstr Surg. 2004; 13: 967-969.

  12. Beltrán G, Navarro F, Meza B, Bravo F, Santos R. Enfermedad de Rosai-Dorfman Cutánea: Tratamiento con nitrógeno líquido. Dermatol Perú. 2004; 14: 200-203.

  13. González-Conde E, Domínguez-Malagón H, Cano-Valdez AM. Enfermedad de Rosai-Dorfman cutánea. Patología. 2005;43(1): 42-43.

  14. Chan CC, Chu CY. Dapsone as a potential treatment for cutaneous Rosai-Dorfman disease with neutrophilic predominance. Arch Dermatol. 2006; 142: 428-430.

  15. Zaragoza NV, Martínez CL, Alegre de Miguel V, Vilata CJJ. Enfermedad de Rosai-Dorfman cutánea. Piel. 2008; 23(5): 227-9.

  16. Quispetira J, Moisés C, Paredes A, Sánchez G, Pacheco M, Carbajal T. Enfermedad de Rosai-Dorfman cutánea: reporte de caso y revisión de la literatura. Folia dermatol. Peru 2009; 20: 91-94.

  17. Cook-Norris, Hayes BB, Robb C, Boyd AS, Zic JA. Purely cutaneous Rosai-Dorfman disease. Int J Dermatol. 2009; 48: 439-440.

  18. Cabrera HN, Fernández VMS, Verdejo G, Casas JG. Enfermedad de Rosai-Dorfman: forma clínica acneiforme. Dermatol Argent. 2010; 16: 23-26.

  19. Fung THT. Cutaneous Rosai-Dorfman disease presenting as a solitary thigh mass. Hong Kong J Orthop. 2010; 14: 13-15.

  20. Fumerton R, Ball N, Zhou Y. Refractary cutaneous Rosai-Dorfman disease responsive to cryotherapy. Cutis. 2011; 87: 296-299.

  21. Navarrete G, Novales J, Pinto D, Martínez C, Ramos-Garibay A. Histiocitosis sinusal cutánea (enfermedad de Rosai-Dorfman). Comunicación de cuatro casos. Med Cutan Iber La Am. 1996; 24: 39-43.

  22. Navarrete FG, Novales J, Jurado SCF, Medina CD, Lopeztello SL, Mendoza AL. Histiocitosis sinusal cutánea. Estudio clínico-patológico. Dermatol Rev Mex. 2001; 45(4): 173-179.

  23. Brenn T, Calonje E, Granter SR, Leonard N, Grayson W, Fletcher CD, McKee PH. Cutaneous Rosai-Dorfman disease is a distinct clinical entity. Am J Dermatopathol. 2002; 24: 385-391.

  24. Ortiz-Hidalgo C, Cuesta-Mejías T, Ochoa-Ochoa C, Valenzuela-Espinosa A, Toussaint-Caire S. Enfermedad de Rosai-Dorfman, limitada a la piel. Informe de cuatro casos. Gac Med Mex. 2003; 139: 1-6.

  25. Wang KH, Chen WY, Liu HN, Huang CC, Lee WR, Hu CH. Cutaneous Rosai-Dorfman disease: clinicopathological profiles, spectrum and evolution of 21 lesions in six patients. Br J Dermatol. 2006; 154: 277-286.

  26. Kong YY, Kong JC, Shi DR, Lu HF, Zhu XZ, Wang J et al. Cutaneous Rosai-Dorfman Disease: a clinical and histopathologic study of 25 cases in China. Am J Surg Pathol. 2007; 31: 341-350.

  27. Emile JF, Abla O, Fraitag S, Horne A, Harocle J, Donadieu J et al. Revised classification of histiocytoses and neoplasm of the mecrophage-dendritic cell lineages. Blood. 2016; 127: 2672-2681.

  28. Bruce-Brand C, Schneider JW, Schubert P. Rosai-Dorfman disease: an overview. J Clin Pathol. 2020; 73: 697-705.

  29. Goyal G, Young JR, Koster MJ, Tobin WO, Vassallo R, Ryu JH et al. The Mayo Clinic Histiocytosis Working Group Consensus Statement for the Diagnosis and Evaluation of Adult Patients with Histiocytic Neoplasms: Erdheim-Chester Disease, Langerhans Cell Histiocytocis and Rosai-Dorfman Disease. Mayo Clin Proc. 2019; 94: 2054-2071.




Figure 1
Figure 2
Figure 3
Figure 4
Table 1

2020     |     www.medigraphic.com

Mi perfil

C?MO CITAR (Vancouver)

Rev Cent Dermatol Pascua. 2021;30