medigraphic.com
SPANISH

Revista del Centro Dermatológico Pascua

ISSN 1405-1710 (Print)
  • Contents
  • View Archive
  • Information
    • General Information        
    • Directory
  • Publish
    • Instructions for authors        
  • medigraphic.com
    • Home
    • Journals index            
    • Register / Login
  • Mi perfil

2021, Number 2

<< Back Next >>

Rev Cent Dermatol Pascua 2021; 30 (2)

Neoformation in the external lateral aspect of the left foot

Villanueva-Otamendi A, González-González M, Orozco-Olguín P
Full text How to cite this article 10.35366/101181

DOI

DOI: 10.35366/101181
URL: https://dx.doi.org/10.35366/101181

Language: Spanish
References: 19
Page: 101-104
PDF size: 280.10 Kb.


Key words:

No keywords




REFERENCES

  1. Driban NE. Basaliomas de localización infrecuente. Rev Argent Dermatol. 1987; 68: 114-120.

  2. Wermuth BM, Fajardo LF. Metastatic basal cell carcinoma. A review. Arch Pathol. 1970; 90: 458-462.

  3. Miranda CG, Ker RS, Porto JA, Nascimento LV. Estudo das localizacoes incomuns dos epiteliomas basocelulares. An Bras Dermatol. 1992; 67: 301-304.

  4. Alcalay J, Goldberg LH, Kripke ML, Wolf JE Jr. The sensitivity of Langerhans cells to simulated solar radiation in basal cell carcinoma patients. J Invest Dermatol. 1989; 93: 746-750.

  5. Chavis M, Jacobs AM, Demetri GJ Jr. Basal cell carcinoma: an infrequent pedal reality. J Foot Surg. 1989; 28: 346-351.

  6. Kaufman D, Gralla R, Myskowski PL. Basal cell carcinoma: response to systemic chemotherapy for lung carcinoma. J Am Acad Dermatol. 1988; 18: 306-310.

  7. Parnes R, Safai B, Myskowski PL. Basal cell carcinomas and lymphoma: biologic behavior and associated factors in sixty-three patients. J Am Acad Dermatol. 1988; 19: 1017-1023.

  8. Sandstrom A, Larsson LG, Damber L. Occurrence of other malignancies in patients treated for basal cell carcinoma of the skin. A cohort study. Acta Radiol Oncol. 1984; 23: 227-230.

  9. van Dam RM, Huang Z, Rimm EB, Weinstock MA, Spiegelman D, Colditz GA et al. Risk factors for basal cell carcinoma of the skin in men: results from the health professionals follow-up study. Am J Epidemiol. 1999; 150: 459-468.

  10. Di Fabio N, Feinsilber DG, Cha DM, Reggio SA, Avatte C, Mosca I. Epitelioma basocelular: localizaciones infrecuentes. Rev Argent Dermatol. 1986; 67: 135-138.

  11. Cha DM, Feinsilber DG, Avatte C, Schroh RG. Epitelioma basocelular con diferenciación sebácea de localización infrecuente Rev Argent Dermatol. 1988; 69: 61-66.

  12. Preston DS, Stern RS. Nonmelanoma cancers of the skin. N Engl J Med. 1992; 327: 1649-1662.

  13. Dagatti MS, Cesarios G, Feijóo FN, Martínez M. Epiteliomas basocelulares de localización infrecuente. Arch Argent Dermatol. 2006; 56: 55-58.

  14. Robins P, Rabinovitz HS, Rigel D. Basal-cell carcinomas on covered or unusual sites of the body. J Dermatol Surg Oncol. 1981; 7: 803-806.

  15. Rahbari H, Mehregan AH. Basal cell epitheliomas in usual and unusual sites. J Cutan Pathol. 1979; 6: 425-431.

  16. Abeldaño A, Hernández MI, Demarchi M, Pincay Cedeño L, Brea P, Kien C et al. Carcinoma basocelular de localización infrecuente. Dermatol Argent. 2010; 16: 25-33.

  17. Pearson G, King LE, Boyd AS. Basal cell carcinoma of the lower extremities. Int J Dermatol. 1999; 38: 852-854.

  18. Carlson KC, Connolly SM, Winkelmann RK. Basal cell carcinoma on the lower extremity. J Dermatol Surg Oncol. 1994; 20: 258-259.

  19. Hernández-Zárate SI, Medina-Bojórquez A, López-Tello SAL, Alcalá-Pérez D. Epidemiología del cáncer de piel en pacientes de la Clínica de Dermato-oncología del Centro Dermatológico Dr. Ladislao de la Pascua. Estudio retrospectivo de los últimos ocho años. Dermatol Rev Mex. 2012; 56: 30-37.




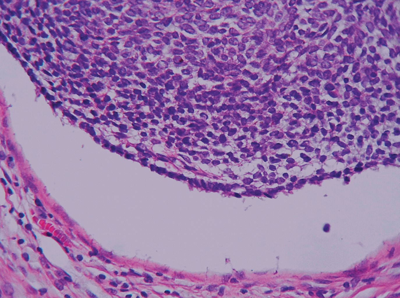
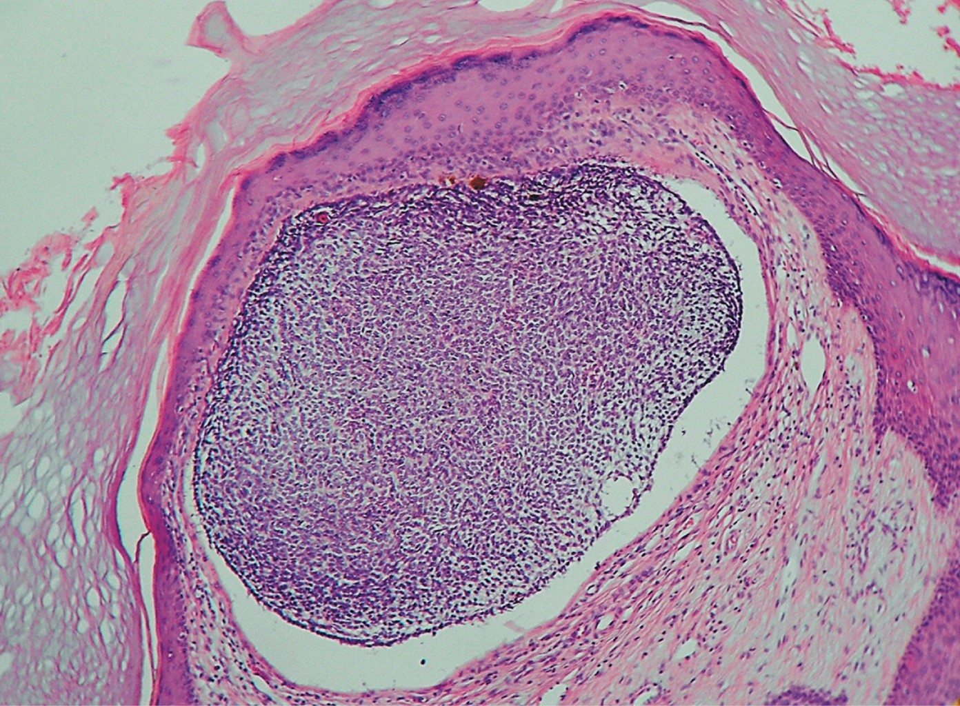
Figure 1
Figure 2
Figure 3
Figure 4
Figure 5

2020     |     www.medigraphic.com

Mi perfil

C?MO CITAR (Vancouver)

Rev Cent Dermatol Pascua. 2021;30