medigraphic.com
SPANISH

Revista Mexicana de Cirugía Endoscópica

ISSN 1665-2576 (Print)
  • Contents
  • View Archive
  • Information
    • General Information        
    • Directory
  • Publish
    • Instructions for authors        
    • Send manuscript
  • medigraphic.com
    • Home
    • Journals index            
    • Register / Login
  • Mi perfil

2020, Number 4

<< Back Next >>

Rev Mex Cir Endoscop 2020; 21 (4)

Transabdominal laparoscopic adrenalectomy: initial experience at the Centro Médico ISSEMyM - Lic. Arturo Montiel Rojas

Jaramillo MC, Santana PCA, Utrilla CRR, Rebollar CCA, Camacho HDA
Full text How to cite this article 10.35366/101217

DOI

DOI: 10.35366/101217
URL: https://dx.doi.org/10.35366/101217

Language: Spanish
References: 11
Page: 185-190
PDF size: 237.70 Kb.


Key words:

Adrenalectomy, laparoscopic, minimally invasive, adrenal.

ABSTRACT

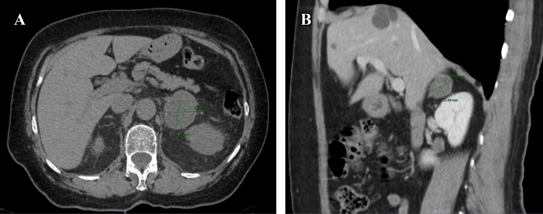
In the minimally invasive surgical era, laparoscopy has become the gold standard for the treatment of many pathologies, it is not the exception in the endocrine area; currently considering laparoscopic adrenalectomy as the gold standard in treatment. Objective: To review the statistics obtained on transabdominal lateral laparoscopic adrenalectomy and the results obtained at the ISSEMyM Medical Center "Lic. Arturo Montiel Rojas" during the 2014-2020 period. Material and methods: Review of the clinical, imaging and histopathological files of patients with a diagnosis of adrenal tumor who have undergone laparoscopic surgery with a transabdominal lateral approach. Results: There were 12 left and three right approaches, the rate of comorbidities by Charlson was I, the predominant gender was female, the conversion rate was zero, the average days of hospital stay were 2.3, the complication rate was zero, and the histopathological diagnosis predominant was adrenal adenoma. Conclusion: In our institute, laparoscopic adrenalectomy with transabdominal approach has been shown to adhere to general statistics. This technique being the standard in the treatment of adrenal pathologies in the appropriate clinical settings, having great importance today as it was in the past.


REFERENCES

  1. Go H, Takeda M, Takahashi H, Imai T, Tsutsui T, Mizusawa T et al. Laparoscopic adrenalectomy for primary aldosteronism: a new operative method. J Laparoendosc Surg. 1993; 3: 455-459.

  2. Gagner M, Lacroix A, Bolté E. Laparoscopic adrenalectomy in Cushing's syndrome and pheochromocytoma. N Engl J Med. 1992; 327: 1033.

  3. Valeri A, Bergamini C, Bellantone R et al. Preface. In: Valeri A, Bergamini C, Bellantone R et al (eds.). Surgery of the adrenal gland. Milano: Springer; 2013: v-vi.

  4. Lombardi CP, Raffaelli M, De Crea C, Sollazzi L, Perilli V, Cazzato MT et al. Endoscopic adrenalectomy: Is there an optimal operative approach? Results of a single-center case-control study. Surgery. 2008; 144: 1008-1014; discussion 1014-1015.

  5. Ball MW, Hemal AK, Allaf ME. International consultation on urological diseases and european association of urology international consultation on minimally invasive surgery in urology: laparoscopic and robotic adrenalectomy. BJU Int. 2017; 119: 13-21.

  6. Henry JF. Minimally invasive adrenal surgery. Best Pract Res Clin Endocrinol Metab. 2001; 15: 149-160.

  7. Lee J, El-Tamer M, Schifftner T, Turrentine FE, Henderson WG, Khuri S et al. Open and laparoscopic adrenalectomy: analysis of the National Surgical Quality Improvement Program. J Am Coll Surg. 2008; 206: 953-959; discussion 959-961.

  8. Elfenbein DM, Scarborough JE, Speicher PJ, Scheri RP. Comparison of laparoscopic versus open adrenalectomy: results from American College of Surgeons-National Surgery Quality Improvement Project. J Surg Res. 2013; 184: 216-220.

  9. Saunders BD, Wainess RM, Dimick JB, Doherty GM, Upchurch GR, Gauger PG. Who performs endocrine operations in the United States? Surgery. 2003; 134: 924-931; discussion 931.

  10. Economopoulos KP, Phitayakorn R, Lubitz CC, Sadow PM, Parangi S, Stephen AE et al. Should specific patient clinical characteristics discourage adrenal surgeons from performing laparoscopic transperitoneal adrenalectomy? Surgery. 2016; 159: 240-248.

  11. Morris L, Ituarte P, Zarnegar R, Duh QY, Ahmed L, Lee J et al. Laparoscopic adrenalectomy after prior abdominal surgery. World J Surg. 2008; 32: 897-903.




Figure 1
Figure 2
Figure 3
Figure 4
Figure 5
Table 1
Table 2
Table 3
Table 4

2020     |     www.medigraphic.com

Mi perfil

C?MO CITAR (Vancouver)

Rev Mex Cir Endoscop. 2020;21