medigraphic.com
SPANISH

Cirujano General

ISSN 2594-1518 (Electronic)
ISSN 1405-0099 (Print)
  • Contents
  • View Archive
  • Information
    • General Information        
    • Directory
  • Publish
    • Instructions for authors        
    • Send manuscript
  • medigraphic.com
    • Home
    • Journals index            
    • Register / Login
  • Mi perfil

2020, Number 4

<< Back Next >>

Cir Gen 2020; 42 (4)

Castleman's disease of mediastinal location: case report and review of the literature

Álvarez-Morán, Aldo Manuel1; Hernández-Navarrete, Liliana Estefany2
Full text How to cite this article 10.35366/101403

DOI

DOI: 10.35366/101403
URL: https://dx.doi.org/10.35366/101403

Language: English/Spanish [Versi?n en espa?ol]
References: 15
Page: 321-325
PDF size: 229.25 Kb.


Key words:

Castleman\'s disease, mediastinal tumors, B cells, lymphoid nodular hyperplasia.

ABSTRACT

The mediastinum can be part of many pathologies, among which are the growth of anatomical structures ranging from adenomegalies to tumors with diverse histopathological behavior. Being the mediastinum a compartment which harbors anatomical structures of different embryonic origin gives rise to benign tumors that by their growth can compress vascular structures, sharing as malignant entity and whose surgical resolution is the only curative alternative. Castleman's disease is a rare disease characterized by lymphoproliferative growth of B cells, which can be found at the mediastinum and whose surgical treatment is an option when resection is possible. We present the case of Castleman's disease located in the mediastinum, with complete removal of the tumor.



INTRODUCTION

Mediastinal tumor pathologies include a significant number of histologic subtypes, which can be located in one or another mediastinal compartment depending on the type of tissue of origin. Most of anterior mediastinal tumors include thymomas (20%), germ cell tumors (15%) and lymphomas (50-70%). Tumors of the middle mediastinum are mostly cysts and the most common are intestinal duplication cysts. Most posterior mediastinal tumors are of neural origin, and approximately 80% are benign.1

Castleman's disease (CD), first described by Castleman, Iverson and Menendez in 1956, is a rare and heterogeneous disease. It is characterized by proliferative growth of B cells that tends to manifest with the growth of benign tumors of lymphoid tissue. The prevalence of the disease is unknown but has been estimated at less than 1/100,000 population. The localized form is the most frequent (more than 400 cases reported). The multicentric form can also occur in association with HIV (human immunodeficiency virus) infection and manifest at any age. The frequency of symptoms has been evaluated in a French cohort of 117 cases. Localized forms are asymptomatic in 51% of patients and are often discovered by chance. They may cause pain in the thorax or abdomen when the lesion is large (mean diameter of 6 cm with extremes ranging from 1 to 12 cm).2 The sites affected, in order of decreasing frequency, are abdomen, superficial lymph nodes, and mediastinum. Signs are nonspecific in 31% of patients and include asthenia (20%), fever (20%) and weight loss (11%). Multicentric forms are always symptomatic. Weight loss occurs in 69% of patients and fever in 67%. Peripheral lymphadenopathy is observed in 81% of cases, and hepatomegaly and/or splenomegaly in 74%.3

Localized disease is most frequently seen in the abdominal or pelvic regions, while disseminated forms are seen in superficial nodules or in a mediastinal localization.4 Castleman's disease, also known as angio-follicular lymphoid nodular hyperplasia or lymphoid nodular hyperplasia, is an interesting entity because of its peculiar form of clinical presentation and the low frequency of occurrence and presentation in the general population.3 The site where the disease presents can be at any site where lymph nodes are present, or it can also be found in an extra nodal site.

This disease has no gender predilection and usually occurs between the second and third decades of life, with a rare occurrence in children under 13 years of age. Three histological types have been described: hyaline vascular (90%), plasma cell, and a mixed form (10%). In its pathogenesis it has been associated with infectious processes, abnormal cytokine expression or autoimmunity that may cause lymphoid proliferation.4,5

Herpesvirus 8 (HV-8) has been associated with Kaposi's sarcoma, non-Hodgkin's lymphoma, and with the plasma variety of multicentric Castleman's disease.6-11 In this disease, there appears to be overproduction of interleukin-6 (IL-6), which has been associated with plasma cell expression.11-13 The hyaline vascular type has not been linked to cytokine-mediated disorders, it is of regional localization (80-90% of cases), and usually asymptomatic. Some cases of CD are symptomatic when their size is very large and produce compression of surrounding anatomical structures. The plasma cell variety and the mixed form account for 10-20% of localized cases.5,7,8 The plasma cell variety commonly manifests as disseminated disease associated with hepatosplenomegaly (70-80% of cases); it is associated with systemic manifestations, weight loss, polyneuropathy, renal or hepatic failure, and in other cases with polyarthritis or glomerulonephritis, hypergammaglobulinemia, leukopenia, thrombocytopenia, hypoalbuminemia, and proteinuria.4-6 The diagnosis of the disease is based on clinical evaluation including a detailed patient history, laboratory studies and a variety of imaging studies such as computed tomography scan, magnetic resonance imaging, and positron emission tomography. The latter is useful as it gives information on the metabolic activity of the lymphoid nodules, with attenuation values that are lower to those observed in lymphomas.11,12,14

Surgical excision is the treatment of choice in most localized cases with involvement of neighboring structures. Currently, minimally invasive techniques are available for its removal such as video-assisted thoracic surgery (VATS) and robotic surgery (with the Da Vinci equipment), whose results are exceptionally good in the postoperative period with a complete recovery of cases when the surgical removal is complete removal and mediastinal emptying can be performed.15 Adjuvant steroids and/or Rituxan before surgery are useful to reduce tumor size.5-7 Several therapies have been used in multicentric disease such as immunoglobulins, acyclovir, ganciclovir, and combination chemotherapy such as CHOP. Other therapies include the use of angiogenic growth inhibitors. Anti-IL-6 therapies include Suramin and anti-IL-6 receptor antibodies.5,12



CASE REPORT

This is a 47-year-old man who had been managed for 15 years for gout, so he went to rheumatology consultation, where he refers respiratory symptoms of three months of evolution characterized by dry cough in accesses, in addition to facial edema and upper extremities. In his last consultation he requested a routine chest X-ray where a mediastinal widening was observed, so a computed tomography scan was performed, which showed a mass in the middle mediastinum of approximately 7 × 5 centimeters in diameter, with extrinsic compression of the superior vena cava and azygos vein, elevation of the homolateral hemidiaphragm, in addition to severe hepatomegaly (Figure 1).

Laboratory results showed a hemoglobin level of 15 g/dl, hematocrit 48.2%, a white blood cell count of 7,800 per microliter, a platelet count of 182,000, a prothrombin time of 10 seconds, an International Normalized Ratio (INR) of 0.77, partial thromboplastin time of 29.5 seconds, and serum glucose 82 mg/dl, urea 11.5 and uric acid levels of 8.3 mg/dl, a lymphocyte count of 3%, liver function tests in normal range and a HIV serological test negative.

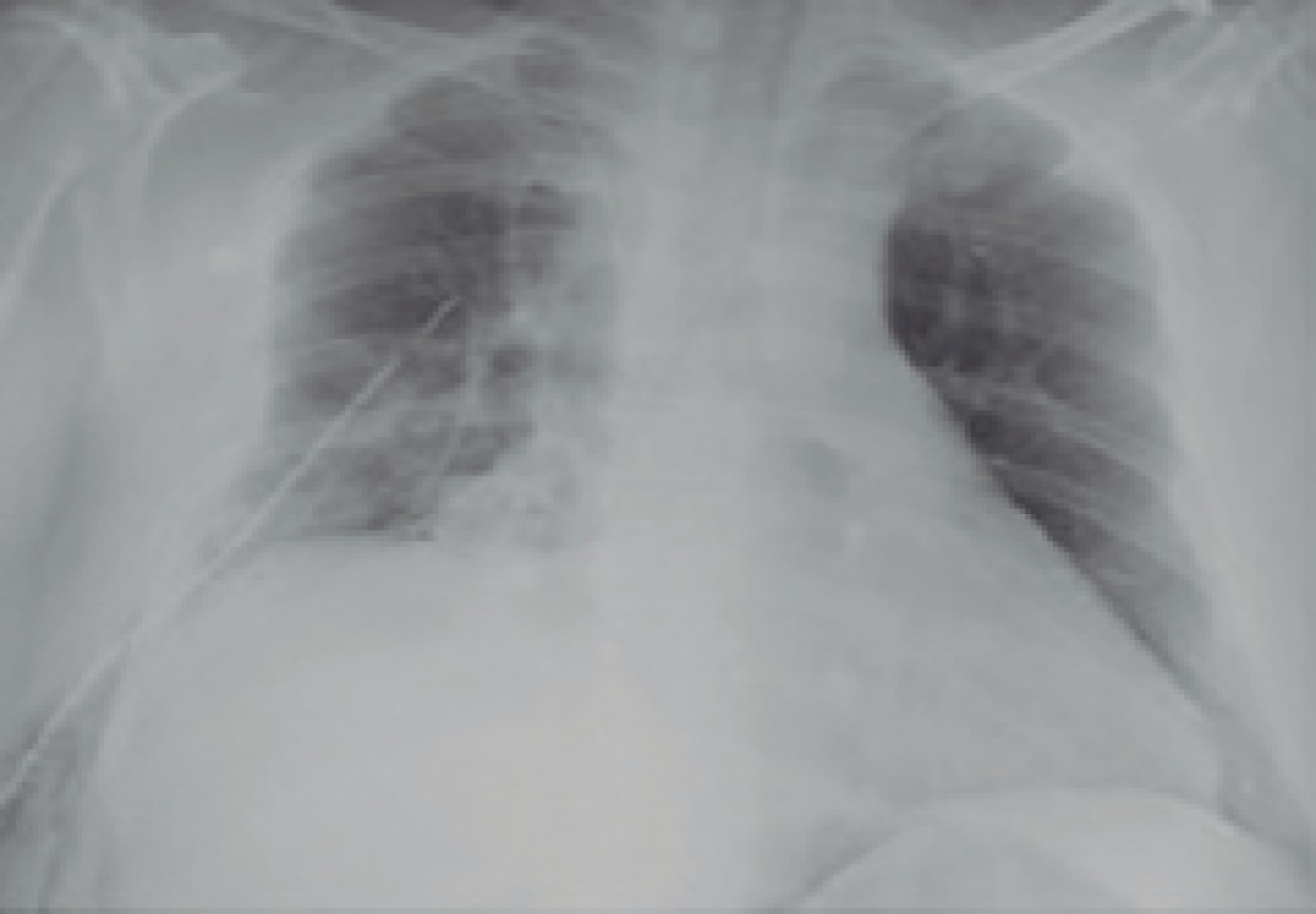
A right posterolateral thoracotomy was performed because we did not have equipment to perform minimally invasive surgery, finding a tumor in the middle mediastinum of approximately 7 × 5 × 4 cm, with a hard consistency, encapsulated, and attached to the lateral wall to the superior vena cava, upper edge of the azygos vein and intrathoracic trachea, and to its lower portion to the azygos vein (Figure 2). The tumor was completely excised (Figure 3). In the immediate postoperative period, the patient showed no complications and was extubated. The control thoracic X-ray showed complete pulmonary expansion (Figure 4).

Macroscopically, histopathology evaluation showed an encapsulated tumor with scarce adherent fibroadipose tissue and fine vascular tracts. The histopathological diagnosis was Castleman's disease, of the hyaline vascular type, with reactive hyperplasia of dendritic cells. The antibody panel performed for CK AE1/AE3 was negative and positive for CD21.

The patient was discharged on the third postoperative day, with follow-up with the hematology and rheumatology services. He received a short course of steroids. At one year there was no tomographic evidence of any mass at the level of the middle mediastinum.



DISCUSSION

Castleman's disease is a rare condition characterized by the proliferative growth of B cells that tends to manifest with benign tumors of the lymphatic tissue, which due to their growth, may compress the neighboring structures. It is an interesting entity due to its peculiar form of clinical presentation and the low frequency of occurrence and incidence in the general population.1,2 The disease can occur anywhere there are lymph nodes, or it may also be seen in an extra-nodal site.

Some authors describe forms located in the abdominal or pelvic cavities in 70% of cases, followed by thoracic location, while disseminated forms are observed with superficial nodules or mediastinal location. It is worth mentioning that our case, since it was located at the mediastinum, it may be considered as a rare location and the symptoms it produced were superior vena cava compression, facial and upper extremity edema, and unspecific respiratory symptoms.

If Castleman's disease is localized, complete surgical excision should be performed and subsequent follow-up is necessary, as it occurred in our case. Clinically, the symptomatology was non-specific, which guided us towards surgical resection as treatment. As mentioned, we currently have minimally invasive techniques such as video-assisted and robotic thoracic surgery (with the Da Vinci equipment), whose results are comparable to conventional surgery, allowing to perform a complete removal of the tumor with mediastinal lymph node emptying, offering so better results in the postoperative recovery time of patients. Therefore, they have become the techniques of choice for the surgical removal of these tumors in those facilities where this resource is available.

Another important aspect to consider in multicentric CD is its association with HIV, so the corresponding tests should be performed, as well as immunostaining to exclude lymphoma. In our patients all these tests were negative. The histopathological study showed that it was of the hyaline vascular type and, as described in the literature, it is of regional localization in 80-90% of cases, and usually asymptomatic. Cases of Castleman's disease are symptomatic when their size is very large and produce compression of surrounding anatomical structures.5,7,8 The plasma cell variety commonly manifests as disseminated disease with hepatosplenomegaly, which does not correspond to this case.

As for non-surgical treatment, different types of chemotherapies have been proposed, such as the CHOP regimen (cyclophosphamide, doxorubicin, vincristine, and prednisone), which has been successful; IFN-alpha, alone or in combination with vinblastine or etoposide, has been shown to be beneficial in some cases. The anti-IL-6 monoclonal antibody can be used.13,14



CONCLUSION

In localized forms of CD, recovery without sequelae after complete surgical excision is achieved in 90% of cases, where minimally invasive techniques, such as VATS and robotic surgery (with the Da Vinci equipment) are the procedures of choice when available in the hospital center. CD is a rare disease, and its anatomical and clinical presentation may be limited to the mediastinum and, due to its growth, at some point may compress vascular structures and part of the aerodigestive tract, which should make us think of this entity as a clinical possibility. Surgical treatment is indicated with subsequent follow-up of the cases due to the probable recurrence of the disease. In addition, being the mediastinum an anatomical compartment of different structures with different embryonic origin, it should make us suspect not only of the pathologies that usually present in this anatomical compartment.


REFERENCES

  1. Ibarra-Pérez C, Kelly-García J, Fernández-Corzo MA. Guía diagnóstico-terapéutica: tumores y masas del mediastino. Rev Inst Nal Enf Resp Mex. 2001; 14: 172-177.

  2. Orphanet. Enfermedad de Castleman. 2014 [consultado 31 de enero 2019]. Disponible en: https://www.orpha.net/consor/cgi-bin/OC_Exp.php?lng=ES&Expert=160

  3. Castleman B, Iverson L, Menendez VP. Localized mediastinal lymphnode hyperplasia resembling thymoma. Cancer. 1956; 9: 822-830.

  4. Palestro G, Turrini F, Pagano M, Chiusa L. Castleman's disease. Adv Clin Path. 1999; 3: 11-22.

  5. Shroff VJ, Gilchrist BF, DeLuca FG, McCombs HL, Wesselhoeft CW. Castleman's disease presenting as a pediatric surgical problem. J Pediatr Surg. 1995; 30: 745-747.

  6. Martino G, Cariati S, Tintisona O, Veneroso S, De Villa F, Vergine M, et al. Atypical lymphoproliferative disorders: Castleman's disease. Case report and review of the literature. Tumori. 2004; 90: 352-355.

  7. Weisenburger DD, Nathwani BN, Winberg CD, Rappaport H. Multicentric angiofollicular lymph node hyperplasia: a clinicopathologic study of 16 cases. Hum Pathol. 1985; 16: 162-172.

  8. Keller AR, Hochholzer L, Castleman B. Hyaline-vascular and plasma-cell types of giant node hyperplasia of the mediastinum and other locations. Cancer. 1972; 29: 670-683.

  9. Lachant NA, Sun NC, Leong LA, Oseas RS, Prince HE. Multicentric angiofollicular lymph node hyperplasia (Castleman's disease) followed by Kaposi's sarcoma in two homosexual males with the acquired immunodeficiency syndrome (AIDS). Am J Clin Pathol. 1985; 83: 27-33.

  10. Pavlidis NA, Skopouli FN, Bai MC, Bourantas CL. A successfully treated case of multicentric angiofollicular hyperplasia with oral chemotherapy (Castleman's disease). Med Pediatr Oncol. 1990; 18: 333-335.

  11. Staskus KA, Sun R, Miller G, Racz P, Jaslowski A, Metroka C, et al. Cellular tropism and viral interleukin-6 expression distinguish human herpesvirus 8 involvement in Kaposi's sarcoma, primary effusion lymphoma, and multicentric Castleman's disease. J Virol. 1999; 73: 4181-4187.

  12. Renne R, Lagunoff M, Zhong W, Ganem D. The size and conformation of Kaposi's sarcoma-associated herpesvirus (human herpesvirus 8) DNA in infected cells and virions. J Virol. 1996; 70: 8151-8154.

  13. Staskus KA, Zhong W, Gebhard K, Herndier B, Wang H, Renne R, et al. Kaposi's sarcoma-associated herpesvirus gene expression in endothelial (spindle) tumor cells. J Virol. 1997; 71: 715-719.

  14. Parravicini C, Corbellino M, Paulli M, Magrini U, Lazzarino M, Moore PS, et al. Expression of a virus-derived cytokine, KSHV vIL-6, in HIV-seronegative Castleman's disease. Am J Pathol. 1997; 151: 1517-1522.

  15. Quevedo AK, Aragón JC, Mancheño FN, Sales BG, Medina CV, García ZA, et al. Enfermedad de Castleman: dos variantes, dos pacientes. Revista de Patología Respiratoria. 2011; 14: 138-142.



AFFILIATIONS

1 Attending Physician, Cardiothoracic Surgery Service, Hospital Angeles Puebla. Mexico.

2 Resident Physician, General Surgery Service, Hospital Universitario de Puebla. Mexico.



CORRESPONDENCE

Dr. Aldo Manuel Álvarez-Morán. E-mail: mdald73@hotmail.com




Received: 03/23/2019. Accepted: 09/06/2019

Figure 1
Figure 2
Figure 3
Figure 4

2020     |     www.medigraphic.com

Mi perfil

C?MO CITAR (Vancouver)

Cir Gen. 2020;42