medigraphic.com
SPANISH

Alergia, Asma e Inmunología Pediátricas

Órgano Oficial del Colegio Mexicano de Alergia, Asma e Inmunología Pediátrica y de la Asociación Latinoamericana de Pediatría
  • Contents
  • View Archive
  • Information
    • General Information        
    • Directory
  • Publish
    • Instructions for authors        
  • medigraphic.com
    • Home
    • Journals index            
    • Register / Login
  • Mi perfil

2021, Number 2

<< Back

Alerg Asma Inmunol Pediatr 2021; 30 (2)

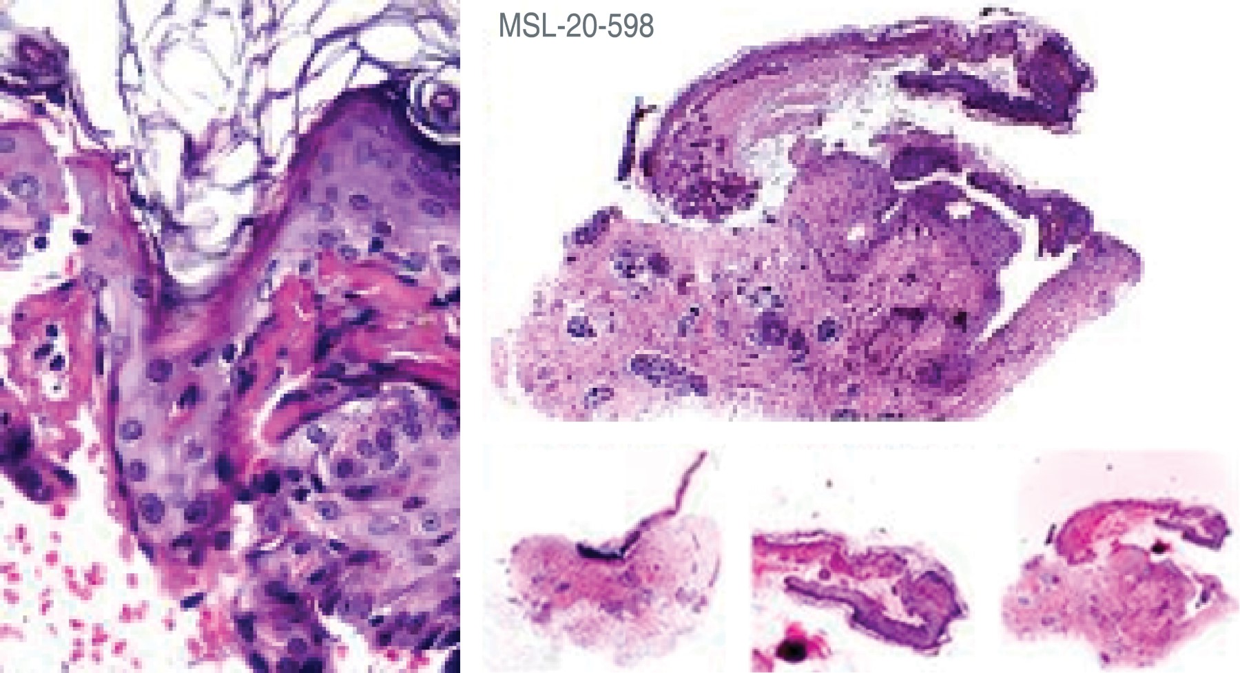
Stevens Johnson/toxic epidermal necrolysis overlap syndrome associated with hypogammaglobulinemia in the neonatal period: case report

Ramírez-Vásquez DG, Julián-García O, Ramírez-Cruz L, Martínez-Canseco R
Full text How to cite this article 10.35366/101644

DOI

DOI: 10.35366/101644
URL: https://dx.doi.org/10.35366/101644

Language: Spanish
References: 11
Page: 58-61
PDF size: 232.18 Kb.


Key words:

Toxic epidermal necrolysis, Stevens Johnson syndrome, pharmacoderma, bullous syndromes, immunodeficiency.

ABSTRACT

The overlap of Stevens Johnson syndrome (SJS) and toxic epidermal necrolysis (TEN) is an acute, rare drug reaction associated to a mortality rate of up to 29%. According to the widely accepted classification, the SJS/TEN overlap is considered an extensive manifestation of SJS, affecting between 10-30% of the body surface, presenting in the form of blisters and erosions caused mainly by drugs and infections. Case report: The case of a 1-month-old male patient is presented; at 12 days of age, he started showing generalized dermatosis with mucosal involvement characterized by blisters and blood crusts with a histopathological report of compatible superficial perivascular lymphocyte-pauciinflammatory vacuolar interface dermatitis along toxic epidermal necrolysis. Treatment using immunoglobulin was established at 2 g/kg/do, however, he later died of septic shock secondary to Candida albicans. Conclusion: SJS/TEN overlap is considered extremely rare in the neonatal period, it has few reported cases, so it should be considered within the differential diagnosis of bullous syndromes and therefore a skin biopsy shoud be performed in a timely manner.


REFERENCES

  1. Tristani-Firouzi P, Petersen MJ, Saffle JR, Morris SE, Zone JJ. Treatment of toxic epidermal necrolysis with intravenous immunoglobulin in children. J Am Acad Dermatol. 2002; 47 (4): 548-552.

  2. Frey N, Jossi J, Bodmer M, Bircher A, Jick SS, Meier CR et al. The epidemiology of Stevens-Johnson syndrome and toxic epidermal necrolysis in the UK. J Invest Dermatol. 2017; 137 (6): 1240-1247.

  3. McPherson T, Exton LS, Biswas S, Creamer D, Dziewulski P, Newell L et al. British Association of Dermatologists' guidelines for the management of Stevens-Johnson syndrome/toxic epidermal necrolysis in children and young people, 2018. Br J Dermatol. 2019; 181 (1): 37-54.

  4. Lee HY, Chung WH. Toxic epidermal necrolysis: the year in review. Curr Opin Allergy Clin Immunol. 2013; 13 (4): 330-336.

  5. Demoly P, Adkinson NF, Brockow K, Castells M, Chiriac AM, Greenberger PA et al. International Consensus on drug allergy. Allergy. 2014; 69 (4): 420-437.

  6. Corrick F, Anand G. Question 2: Would systemic steroids be useful in the management of Stevens-Johnson syndrome? Arch Dis Child. 2013; 98 (10): 828-830.

  7. Lohmeier K, Megahed M, Schulte KW, Stannigel H, Mayatepek E, Schroten H. Toxic epidermal necrolysis in a premature infant of 27 weeks' gestational age. Br J Dermatol. 2005; 152 (1): 150-151.

  8. de Groot R, Oranje AP, Vuzevski VD, Mettau JW. Toxic epidermal necrolysis probably due to Klebsiella pneumoniae sepsis. Dermatologica. 1984; 169 (2): 88-90.

  9. Scully MC, Frieden IJ. Toxic epidermal necrolysis in early infancy. J Am Acad Dermatol. 1992; 27 (2 Pt 2): 340-344.

  10. Islam S, Singer M, Kulhanjian JA. Toxic epidermal necrolysis in a neonate receiving fluconazole. J Perinatol. 2014; 34 (10): 792-794.

  11. Anzilotti C, Swan DJ, Boisson B, Deobagkar-Lele M, Oliveira C, Chabosseau P et al. An essential role for the Zn2+ transporter ZIP7 in B cell development. Nat Immunol. 2019; 20 (3): 350-361.




Figure 1
Figure 2
Figure 3
Figure 4

2020     |     www.medigraphic.com

Mi perfil

C?MO CITAR (Vancouver)

Alerg Asma Inmunol Pediatr. 2021;30