medigraphic.com
SPANISH

Acta Médica Grupo Angeles

Órgano Oficial del Hospital Angeles Health System
  • Contents
  • View Archive
  • Information
    • General Information        
    • Directory
  • Publish
    • Instructions for authors        
    • Manuscript submission
    • Policies
    • Names and affiliations of the Editorial Board
  • About us
    • Data sharing policy
    • Stated aims and scope
  • medigraphic.com
    • Home
    • Journals index            
    • Register / Login
  • Mi perfil

2021, Number 3

<< Back Next >>

Acta Med 2021; 19 (3)

Jejunal diverticulitis with asymptomatic pneumoperitoneum. Non-operative management considerations

Limón SS, Lastiri LA, Ramírez NJC, Carbajal SVR, Mora TOA
Full text How to cite this article 10.35366/101732

DOI

DOI: 10.35366/101732
URL: https://dx.doi.org/10.35366/101732

Language: Spanish
References: 19
Page: 382-386
PDF size: 212.25 Kb.


Key words:

Jejunal diverticulitis, asymptomatic pneumoperitoneum, jejunal diverticulitis treatment.

ABSTRACT

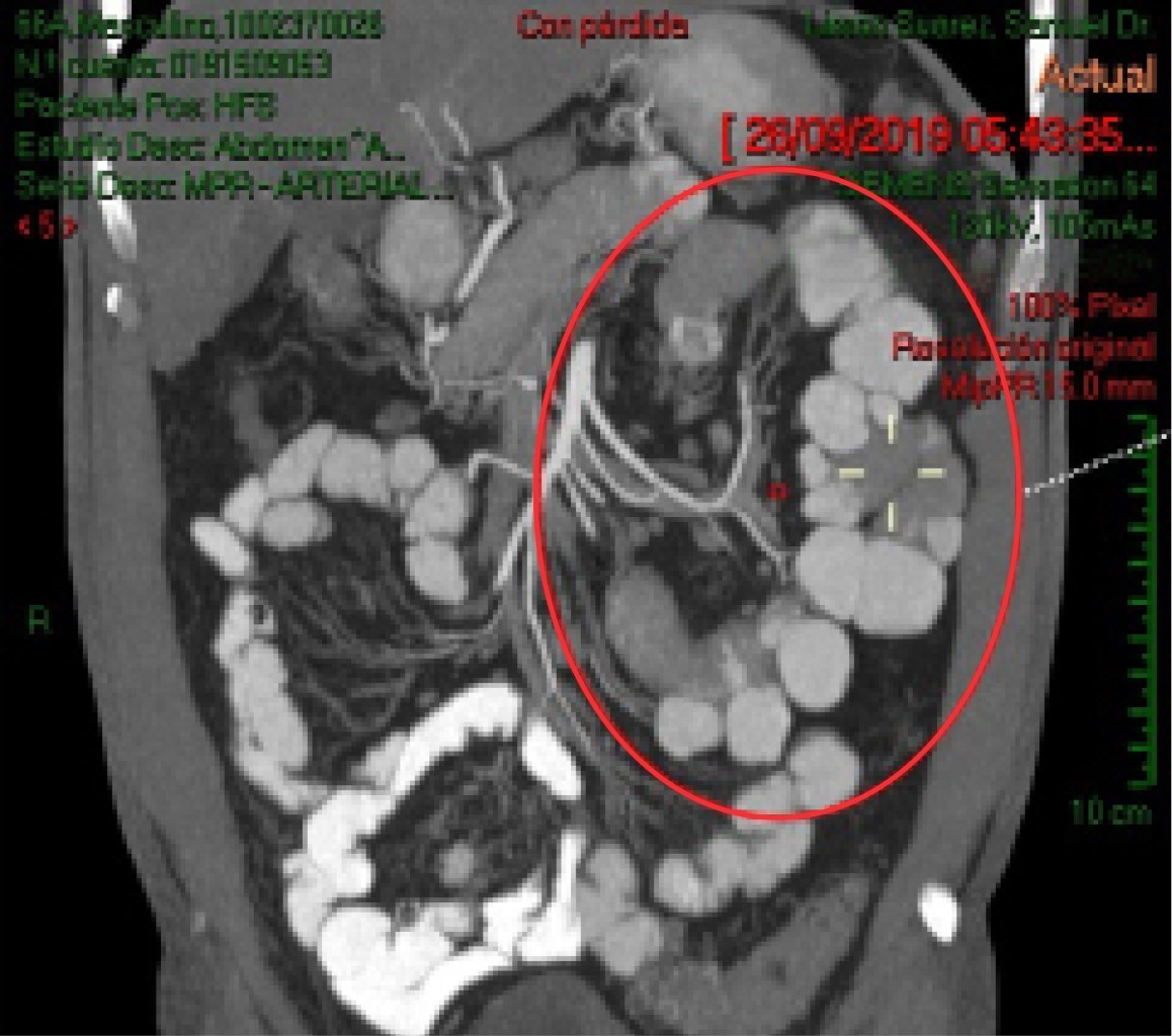
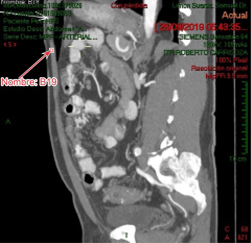
Introduction: Jejunal diverticula are saculations located on the mesenteric edge of the jejunum whose incidence is 0.2 to 4%. Pneumoperitoneum frequently translates acute surgical abdomen but can occur in pathologies that do not require surgical exploration. Objective: To recognize this pathology as an infrequent cause of chronic abdominal pain or acute surgical abdomen. Establish recommendations for its management. Clinical case: 66 years old male with intense colic, postprandial, nocturnal abdominal pain with severe abdominal distension, meteorism, persistent nausea, chronic diarrhea and early satiety with loss of appetite. Abdomen painful, tympanic, peristalsis greatly increased without data of peritoneal irritation. APP: systemic arterial hypertension controlled with ARA-2. A CT scan of the abdomen is performed with a report of jejunal diverticulitis and open air in the abdominal cavity. Conclusion: Jejunal diverticulitis, infrequent pathology, is susceptible to conservative medical treatment as long as the patient's conditions allow; in cases of complications, surgical treatment with resection and intestinal anastomosis is the recommended approach.


REFERENCES

  1. Noer T. Non-Meckelian diverticula of the small bowel. The incidence in an autopsy material. Acta Chir Scand. 1960; 120: 175-179.

  2. Woods K, Williams E, Melvin W, Sharp K. Acquired jejunoileal diverticulosis and its complications: a review of the literature. Am Surg. 2008; 74 (9): 849-854.

  3. Winek TG, Mosely HS, Grout G, Luallin D. Pneumoperitoneum and its association with ruptured abdominal viscus. Arch Surg. 1988; 123 (6): 709-712.

  4. Madura MJ, Craig RM, Shields TW. Unusual causes of spontaneous pneumoperitoneum. Surg Gynecol Obstet. 1982; 154 (3): 417-420.

  5. Kongara KR, Soffer EE. Intestinal motility in small bowel diverticulosis: a case report and review of the literature. J Clin Gastroenterol. 2000; 30 (1): 84-86.

  6. Balducci G, Dente M, Cosenza G, Mercantini P, Salvi PF. Multiple giant diverticula of the foregut causing upper gastrointestinal obstruction. World J Gastroenterol. 2008; 14 (20): 3259-3261.

  7. Macari M, Faust M, Liang H, Pachter HL. CT of jejunal diverticulitis: imaging findings, differential diagnosis, and clinical management. Clin Radiol. 2007; 62 (1): 73-77.

  8. Prost A La Denise J, Douard R, Berger A, Cugnenc PH. Small bowel diverticulosis complicated by perforated jejunal diverticula: conservative and/or surgical management? Hepatogastroenterology. 2008; 55 (86-87): 1657-1659.

  9. El-Haddawi F, Civil ID. Acquired jejuno-ileal diverticular disease: a diagnostic and management challenge. ANZ J Surg. 2003; 73 (8): 584-589.

  10. Longo WE, Vernava AM 3rd. Clinical implications of jejunoileal diverticular disease. Dis Colon Rectum. 1992; 35 (4): 381-388.

  11. Patel VA, Jefferis H, Spiegelberg B, Iqbal Q, Prabhudesai A, Harris S. Jejunal diverticulosis is not always a silent spectator: a report of 4 cases and review of the literature. World J Gastroenterol. 2008; 14 (38): 5916-5919.

  12. Colvin HS, Kuenfoo C, Rajab TK, Sayadatas T. Non-surgical management of recurrent perforation of a jejunal diverticulum following previous segmental bowel resection: a case report. J Med Case Reports. 2009; 3: 7318.

  13. Novak JS, Tobias J, Barkin JS. Nonsurgical management of acute jejunal diverticulitis: a review. Am J Gastroenterol. 1997; 92 (10): 1929-1931.

  14. Akhrass R, Yaffe MB, Fischer C, Ponsky J, Shuck JM. Small-bowel diverticulosis: perceptions and reality. J Am Coll Surg. 1997; 184 (4): 383-388.

  15. Lebert P, Millet I, Ernst O, Boulay-Coletta I, Corno L, Taourel P et al. Acute jejunoileal diverticulitis: multicenter descriptive study of 33 patients. AJR Am J Roentgenol. 2018; 210 (6): 1245-1251.

  16. Ng ZQ, Theophilus M, Navadgi S, Menon T, Wijesuriya R. Jejunal diverticulitis: a single-center experience and proposed management algorithm. Surg Infect (Larchmt). 2019; 20 (6): 499-503. doi: 10.1089/sur.2019.070.

  17. Tan KK, Wong D, Sim R. Superselective embolization for lower gastrointestinal hemorrhage: an institutional review over 7 years. World J Surg. 2008; 32 (12): 2707-2715.

  18. García-Granero A, Argüelles BG, Gallardo CM, Carreño O, Giner F, Pellino G et al. Short article: outcome of medical and surgical management for perforated jejunal diverticulitis. Eur J Gastroenterol Hepatol. 2019; 31 (1): 135-139.

  19. Mularski RA, Sippel JM, Osborne ML. Pneumoperitoneum: a review of nonsurgical causes. Crit Care Med. 2000; 28 (7): 2638-2644.




Figure 1
Figure 2
Figure 3

2020     |     www.medigraphic.com

Mi perfil

C?MO CITAR (Vancouver)

Acta Med. 2021;19