medigraphic.com
SPANISH

Revista Mexicana de Pediatría

ISSN 0035-0052 (Print)
  • Contents
  • View Archive
  • Information
    • General Information        
    • Directory
  • Publish
    • Instructions for authors        
    • Send manuscript
  • medigraphic.com
    • Home
    • Journals index            
    • Register / Login
  • Mi perfil

2021, Number 3

<< Back Next >>

Rev Mex Pediatr 2021; 88 (3)

Multiple sclerosis in pediatrics. Presentation of two cases

Martínez-Padilla JC, Astorga-Chávez ML, Mandujano-Trejo MG
Full text How to cite this article 10.35366/102190

DOI

DOI: 10.35366/102190
URL: https://dx.doi.org/10.35366/102190

Language: Spanish
References: 18
Page: 101-107
PDF size: 368.66 Kb.


Key words:

Multiple sclerosis, demyelinating disease, neurological manifestations, magnetic resonance, adolescents.

ABSTRACT

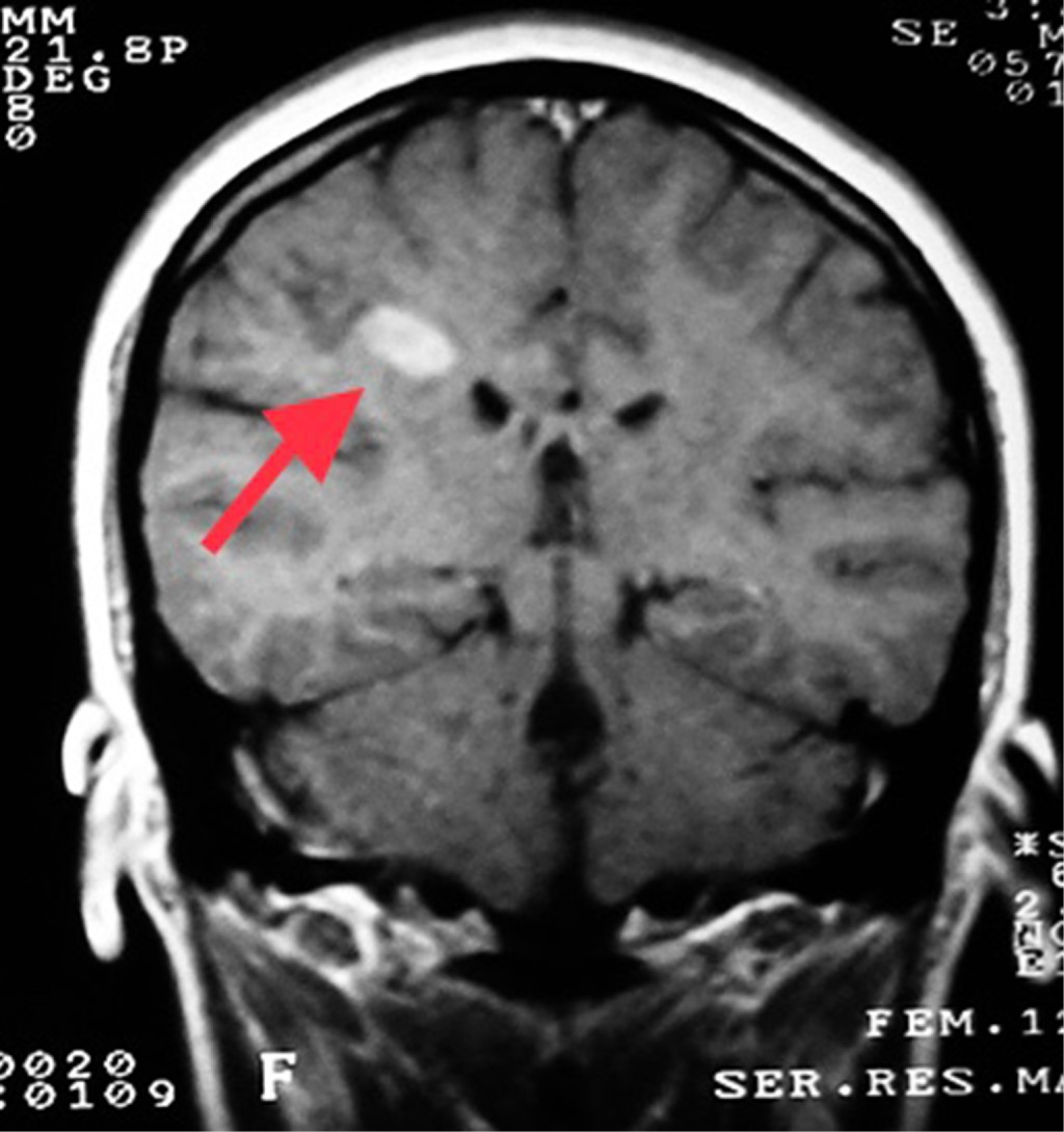
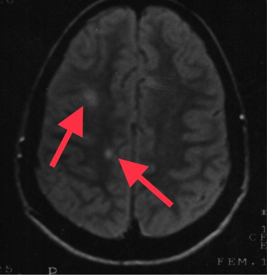
Objective: We describe two adolescent patients with multiple sclerosis, which is a demyelinating disease of the central nervous system. Presentation of the cases: The first case was a 14-year-old female patient with overweight; her condition was characterized by dizziness, headache, paresthesia in the lower limbs, diplopia and bradylalia. On physical examination, compatible data of cerebellar involvement were identified. A magnetic resonance imaging (MRI) of the skull showed areas of demyelination in the posterior fossa. Multiple sclerosis, the relapsing-remitting variety, is diagnosed. After the administration of steroids and beta interferon, there was improvement in symptoms. Second case: 13-year-old female, who presented fall from her own height, bladder incontinence, loss of strength in the left arm and leg. On physical examination, left hemiparesis was detected. MRI: demyelination data in lateral ventricle, cerebellum and spinal cord. The patient improved after starting steroids and interferon. Conclusions: The clinical presentation of multiple sclerosis in pediatric patients is a challenge, since it is a condition with unspecific manifestations. Establishing the diagnosis requires multiple studies. The earlier treatment is started, the more favorable the prognosis.


REFERENCES

  1. Camacho-Aguilera J. Charcot y su legado a la medicina. Gaceta Médica de México. 2012; 148: 321-326.

  2. Domínguez-Moreno R, Morales-Esponda M, Rossiere-Echazarreta N, Olan-Triano R, Gutiérrez-Morales J. Esclerosis múltiple: revisión de la literatura. Revista de la Facultad de Medicina de la UNAM. 2012; 55: 26-35.

  3. Polman C, Reingold S, Banwell B, Clanet M, Cohen J, Filippi M et al. Diagnostic criteria for multiple sclerosis: 2010 revisions to the McDonald criteria. Ann Neurol. 2011; 69: 292-302.

  4. Duquette P, Murray J, Pleines J, Ebers C. Multiple sclerosis in childhood: clinical profile in 125 patients. J Pediatr. 1987; 11: 359-363.

  5. Facchini SA, Harding SA, Waldron II RL. Human immunodeficiency virus-1 infection and multiple sclerosis-like illness in a child. Pediatr Neurol. 2002; 26: 231-235.

  6. Mirallave PA, Hernández PM, Arnau SA, Hadgigeorgiu I, Sosa HM. El rol de la vitamina D en la esclerosis múltiple. Revista Española de Esclerosis Múltiple. 2012; 5-11.

  7. Thompson A, Banwell B, Barkhof F, Carroll W, Coetzee T, Comi G et al. Diagnosis of multiple sclerosis: 2,017 revisions of the McDonald criteria. Lancet Neurol. 2018; 17(2): 162-173.

  8. Martinez-Altarriba M, Ramos-Campoy O, Luna-Calcaño I, Arrieta-Antón E. Revisión de la esclerosis múltiple (2). Diagnóstico y tratamiento. Medicina de Familia-SEMERGEN. 2015; 41(6): 324-328.

  9. Robinson-Agramonte M, Guzmeli V, Martínez-Benítez M, Infante-Velázquez E, Galvizo-Sánchez R, Ochoa-Zaldívar M et al. Contribución de la detección de bandas oligoclonales (BOC) en LCR para la confirmación del diagnóstico en esclerosis múltiple. Rev Mex Neuroci. 2005; 6(1): 8-15.

  10. Pohl D, Rostasy K, Reiber A, Hanefeld F. CFS characteristic in early-onset multiple sclerosis. Neurology. 2004; 63: 1966-1967.

  11. Visudhiphan P, Chiemchanya S, Santadusit S. Optic neuritis in children: Recurrence and subsequent development of multiple sclerosis. Pediatr Neurol. 1995; 13: 293-295.

  12. Jones CT. Childhood autoimmune neurologic diseases of the central nervous system. Neurol Clin North Am. 2003; 21: 745-764.

  13. García-Merino A, Ara-Callizo A, Fernández-Fernández O, Landete-Pascual L, Moral-Torres E, Rodríguez Antigüedad-Zarrantz A. Consenso para el tratamiento de la esclerosis múltiple 2016. Sociedad Española de Neurología. Neurología. 2017; 32(2): 113-119.

  14. Aguilar-Juárez P, Castillo-Lara R, Ceballos-Godina M, Colorado-Ochoa H, Espinosa-Zacarías P, Flores-Ramírez F. Consenso para el diagnóstico y tratamiento de la esclerosis múltiple en pacientes del ISSSTE. Med Int Méx. 2019; 35(5): 732-771.

  15. Lyncet-Mejorado D, Barragán-Pérez E. Esclerosis múltiple en pediatría. Bol Med Hosp Infant Mex. 2006; 63: 40-46.

  16. Handel A, Williamson A, Disanto G, Handunnetthi L, Giovannoni G, Ramagopalan S. An updated metaanalysis of risk of multiple sclerosis following infectious mononucleosis. PLoS One. 2010; 5: 1-5.

  17. Filippi M, Preziosa P, Meani A, Ciccarelli O, Mesaros S, Rovira A et al. Prediction of a multiple sclerosis diagnosis in patients with clinically isolated syndrome using the 2016 MAGNIMS and 2010 McDonald criteria: a retrospective study. Lancet Neurol. 2018; 17(2): 133-142.

  18. Brenton N, Banwell B Therapeutic approach to the management of pediatric demyelinating disease: multiple sclerosis and acute disseminated encephalomyelitis. Neurotherapeutics. 2016; 13: 84-95.




Figure 1
Figure 2
Figure 3
Figure 4
Figure 5
Figure 6
Figure 7
Table 1
Table 2

2020     |     www.medigraphic.com

Mi perfil

C?MO CITAR (Vancouver)

Rev Mex Pediatr. 2021;88