medigraphic.com
SPANISH

Revista Mexicana de Pediatría

ISSN 0035-0052 (Print)
  • Contents
  • View Archive
  • Information
    • General Information        
    • Directory
  • Publish
    • Instructions for authors        
    • Send manuscript
  • medigraphic.com
    • Home
    • Journals index            
    • Register / Login
  • Mi perfil

2021, Number 3

<< Back Next >>

Rev Mex Pediatr 2021; 88 (3)

Mutations of the hepatocyte nuclear factor gene 1β (HNF1β) as a cause of kidney, liver and diabetes damage

Bonilla-Ruvalcaba DM, Villegas-Nicanor P, García-Nieto VM, Tejera-Carreño P, Luis-Yanes MI
Full text How to cite this article 10.35366/102191

DOI

DOI: 10.35366/102191
URL: https://dx.doi.org/10.35366/102191

Language: Spanish
References: 14
Page: 108-111
PDF size: 302.49 Kb.


Key words:

HNF1β, mutation, diabetes, renal congenital anomalies, hypomagnesemia, transaminasemia.

ABSTRACT

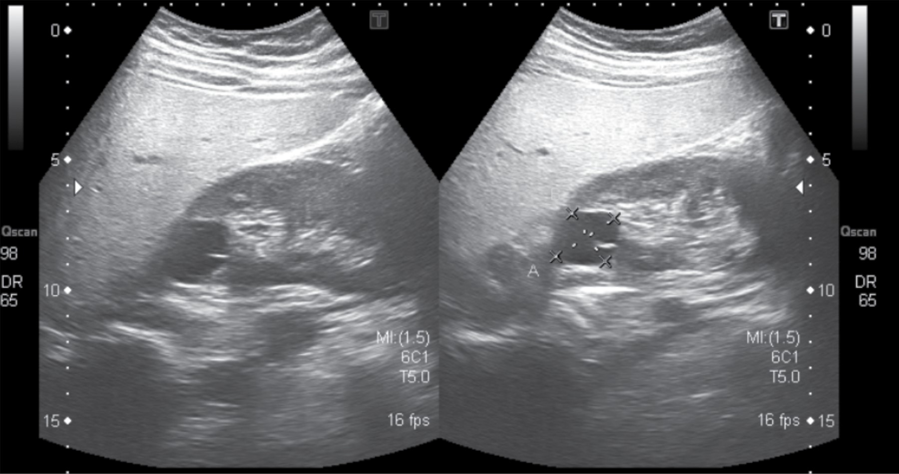
Objective: The presence of mutations in the HNF1β gene is associated with diabetes, renal and genital malformations, as well as electrolyte disorders. The clinical presentation varies with the age of onset of symptoms. Case presentation: We report the evolution of two pediatric patients with this entity who began their follow-up due to a renal malformation. As the study continued, more manifestations were added that led to the diagnosis suspicion. Diagnosis was confirmed by molecular study (Multiplex Ligation-dependent Probe Amplification). The first case is an 11-year-old female patient, who was detected prenatally with a multicystic kidney; during her follow-up hypomagnesaemia (4 years old) was identified. During puberty, alterations in the lipid and liver profiles, as well as agenesis of the right ovary were demonstrated. The second case is a 17-year-old male, with a prenatal diagnosis of left pyelocalyceal dilation. At three years of age, a right renal cyst was detected and, at 13 years, diabetes and hepatic steatosis. In both cases, when carrying out a molecular study, a mutation was detected in the HNF1β gene. Conclusions: In pediatric age, the search for mutations in the HNF1β gene should be taken into account in patients with renal malformations, who have other clinical manifestations such as diabetes or electrolyte disorders.


REFERENCES

  1. Horikawa Y, Iwasaki N, Hara M, Furuta H, Hinokio Y, Cockburn BN et al. Mutation in hepatocyte nuclear factor-1 beta gene (TCF2) associated with MODY. Nat Genet. 1997; 17(4): 384-385.

  2. Verhave JC, Bech AP, Wetzels JF, Nijenhuis T. Hepatocyte nuclear factor 1β-associated kidney disease: more than renal cysts and diabetes. J Am Soc Nephrol. 2016; 27(2): 345-353.

  3. Bach I, Galcheva-Gargova Z, Mattei MG, Simon-Chazottes D, Guénet JL, Cereghini S et al. Cloning of human hepatic nuclear factor 1 (HNF1) and chromosomal localization of its gene in man and mouse. Genomics. 1990; 8(1): 155-164.

  4. Ferre S, Veenstra GJ, Bouwmeester R, Hoenderop JG, Bindels RJ. HNF-1β specifically regulates the transcription of the γa-subunit of the Na+/K+-ATPase. Biochem Biophys Res Commun. 2011; 404(1): 284-290.

  5. Adalat S, Woolf AS, Johnstone KA, Wirsing A, Harries LW, Long DA et al. HNF1β mutations associate with hypomagnesemia and renal magnesium wasting. J Am Soc Nephrol. 2009; 20(5): 1123-1131.

  6. Devuyst O, Olinger E, Weber S, Eckardt KU, Kmoch S, Rampoldi L et al. Autosomal dominant tubulointerstitial kidney disease. Nat Rev Dis Primers. 2019; 5(1): 60.

  7. Madariaga L, García-Castaño A, Ariceta G, Martínez-Salazar R, Aguayo A, Castaño L et al. Variable phenotype in HNF1β mutations: extrarenal manifestations distinguish affected individuals from the population with congenital anomalies of the kidney and urinary tract. Clin Kidney J. 2018; 12(3): 373-379.

  8. Viering DHHM, de Baaij JHF, Walsh SB, Kleta R, Bockenhauer D. Genetic causes of hypomagnesemia, a clinical overview. Pediatr Nephrol. 2017; 32(7): 1123-1135.

  9. Luis Yanes MI, Tejera Carreño P, Moraleda Mesa T, Madariaga L, García Castaño A, García Nieto VM. Nefropatía HNF1β. Otra causa de pérdida renal distal de cloro y potasio. Vox Paediatr. 2019; 26: 165.

  10. Fajans SS, Bell GI. MODY: history, genetics, pathophysiology, and clinical decision making. Diabetes Care. 2011; 34(8): 1878-1884.

  11. Bingham C, Bulman MP, Ellard S, Allen LI, Lipkin GW, Hoff WG et al. Mutations in the hepatocyte nuclear factor-1beta gene are associated with familial hypoplastic glomerulocystic kidney disease. Am J Hum Genet. 2001; 68(1): 219-224.

  12. Alvelos MI, Rodrigues M, Lobo L, Medeira A, Sousa AB, Simao C et al. A novel mutation of the HNF1B gene associated with hypoplastic glomerulocystic kidney disease and neonatal renal failure: a case report and mutation update. Medicine (Baltimore). 2015; 94(7): e469.

  13. Vasileiou G, Hoyer J, Thiel CT, Schaefer J, Zapke M, Krumbiegel M et al. Prenatal diagnosis of HNF1B-associated renal cysts: Is there a need to differentiate intragenic variants from 17q12 microdeletion syndrome? Prenat Diagn. 2019; 39(12): 1136-1147.

  14. Nagano C, Morisada N, Nozu K, Kamei K, Tanaka R, Kanda S et al. Clinical characteristics of HNF1B-related disorders in a Japanese population. Clin Exp Nephrol. 2019; 23(9): 1119-1129.




Figure 1
Figure 2

2020     |     www.medigraphic.com

Mi perfil

C?MO CITAR (Vancouver)

Rev Mex Pediatr. 2021;88