medigraphic.com
SPANISH

Acta Médica Grupo Angeles

Órgano Oficial del Hospital Angeles Health System
  • Contents
  • View Archive
  • Information
    • General Information        
    • Directory
  • Publish
    • Instructions for authors        
    • Manuscript submission
    • Policies
    • Names and affiliations of the Editorial Board
  • About us
    • Data sharing policy
    • Stated aims and scope
  • medigraphic.com
    • Home
    • Journals index            
    • Register / Login
  • Mi perfil

2021, Number 4

<< Back Next >>

Acta Med 2021; 19 (4)

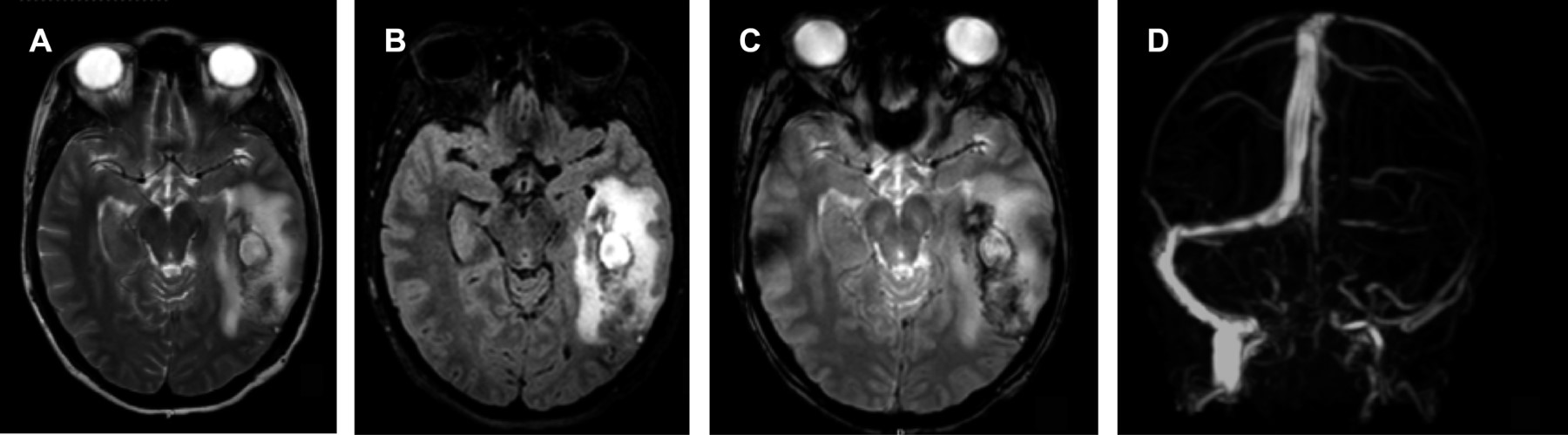
Cerebral venous thrombosis

Hernández DIA, Gómez PMG, Bravo VJ
Full text How to cite this article 10.35366/102549

DOI

DOI: 10.35366/102549
URL: https://dx.doi.org/10.35366/102549

Language: Spanish
References: 4
Page: 564-565
PDF size: 91.16 Kb.


Key words:

No keywords




REFERENCES

  1. Leach JL, Fortuna RB, Jones BV, Gaskill-Shipley MF. Imaging of cerebral venous thrombosis: current techniques, spectrum of findings, and diagnostic pitfalls. v 26, University of Cincinnati College of Medicine, Ohio. 2016, S19-S41.

  2. Guenther G, Arauz A. Trombosis venosa cerebral: aspectos actuales del diagnóstico y tratamiento, v 26, no. 8, Sociedad Espan?ola de Neurologi?a. 2011, 488-498.

  3. Ferro JM, Canhao P, Kasner SE, Goddeau RP Jr. Cerebral venous thrombosis: etiology, clinical features, and diagnosis. Biblioteca Nacional de Medicina, EUA, 2019, 1-3.

  4. Miranda H, Mellado P, Sandoval P, Huete LI. Trombosis venosa cortical aislada: Comunicación de dos pacientes. Rev Méd Chile. 2007; 135: 1313-1317.




Figure 1

2020     |     www.medigraphic.com

Mi perfil

C?MO CITAR (Vancouver)

Acta Med. 2021;19