medigraphic.com
SPANISH

Cirugía Plástica

ISSN 2992-8559 (Electronic)
ISSN 1405-0625 (Print)
  • Contents
  • View Archive
  • Information
    • General Information        
    • Directory
  • Publish
    • Instructions for authors        
    • Send manuscript
  • Policies
    • Políticas éticas
    • Políticas de acceso abierto
    • Políticas de revisión de manuscritos
    • Políticas editoriales generales
  • medigraphic.com
    • Home
    • Journals index            
    • Register / Login
  • Mi perfil

2021, Number 2

<< Back Next >>

Cir Plast 2021; 31 (2)

Necrotizing fasciitis due to Klebsiella pneumoniae secondary to intramuscular gluteal injection managed with a negative pressure system

Barajas-Puga JÁ, Barajas-Rico R, López-Giacoman C
Full text How to cite this article 10.35366/102748

DOI

DOI: 10.35366/102748
URL: https://dx.doi.org/10.35366/102748

Language: Spanish
References: 17
Page: 68-71
PDF size: 251.01 Kb.


Key words:

Necrotizing fasciitis, Klebsiella pneumoniae, intramuscular injection, negative pressure therapy.

ABSTRACT

Necrotizing fasciitis is a serious, rare and fast progressing infection, which that is difficult to diagnose in the early stages. It produces thrombosis of the microcirculation with involvement of the subcutaneous cellular tissue and muscle fascia and is related to high mortality. Documented cases of necrotizing fasciitis in which Klebsiella pneumoniae is the etiologic agent are extremely rare and have a mortality rate of 70%. We present the case of a 57-year-old woman who developed necrotizing fasciitis after an intramuscular injection in the right gluteus. She was handled with negative pressure therapy at the General Hospital of Zacatecas "Luz González Cosío" showing a good progress, with satisfactory functional and aesthetic results. The negative pressure therapy facilitated the treatment and evolution of the patient considerably, favoring the granulation of the wound and the definitive closure. We underline highlight the usefulness of negative pressure therapy in the management and healing of wounds, staving off avoiding complex reconstructive surgeries.


REFERENCES

  1. Wong CH, Khin LW, Heng KS, Tan KC, Low CO. The LRINEC (Laboratory Risk Indicator for Necrotizing Fasciitis) score: a tool for distinguishing necrotizing fasciitis from other soft tissue infections. Crit Care Med 2004; 32 (7): 1535-1541.

  2. Parra Caballero P, Pérez Esteban S, Patiño Ruiz ME, Castañeda Sanz S, García Vadillob JA. Actualización en fascitis necrotizante. Semin Fund Esp Reumatol 2012; 13 (2): 41-88.

  3. Chaudhry AA, Baker KS, Gould ES, Gupta R. Necrotizing fasciitis and its mimics: What radiologists need to know? Am J Roentgen 2015; 204(1): 128-139.

  4. Stevens DL, Bryant AE. Necrotizing Soft-Tissue Infections. N Engl J Med 2017; 377 (23): 2253-2265.

  5. Rahim GR, Gupta N, Maheshwari P, Singh MP. Monomicrobial Klebsiella pneumoniae necrotizing fasciitis: an emerging life-threatening entity. Clin Microbiol Infect 2018; 25 (3): 316-323.

  6. Taviloglu K, Cabioglu N, Cagatay A, Yanar H, Ertekin C, Baspinar I et al. Idiopathic necrotizing fasciitis: risk factors and strategies for management. Am Surg 2005; 71 (4): 315-320.

  7. Sarani B, Strong M, Pascual, Schwab CW. Necrotizing fasciitis: current concepts and review of the literature. J Am Coll Surg. 2009; 208 (2):279-288.

  8. Al-Subhi FS, Zuker RM, Cole WG. Vacuum-assisted closure as a surgical assistant in life-threatening necrotizing fasciitis in children. Can J Plast Surg 2010; 18 (4): 139-142.

  9. Roujeau JC. Critères cliniques et facteurs de risque Necrotizing fasciitis. Clinical criteria and risk factors. Ann Dermatol Venereol 2001; 128 (3 Pt 2): 376-381.

  10. Mok MY, Wong SY, Chan TM, Tang WM, Wong WS, Lau CS. Necrotizing fasciitis in rheumatic diseases. Lupus 2006; 15(6): 380-383.

  11. Holland C, Jaeger L, Smentkowski U, Weber B, Otto C. Septic and aseptic complications of corticosteroid injections: an assessment of 278 cases reviewed by expert commissions and mediation boards from 2005 to 2009. Dtsch Arztebl Int 2012; 109(24): 425-430.

  12. Frick S, Cerny A. Necrotizing fasciitis due to Streptococcus pneumoniae after intramuscular injection of nonsteroidal anti-inflammatory drugs: report of 2 cases and review. Clin Infect Dis 2001; 33 (5): 740-744.

  13. Pillans PI, O'Connor N. Tissue necrosis and necrotizing fasciitis after intramuscular administration of diclofenac. Ann Pharmacother 1995; 29 (3): 264-266.

  14. Persichino J, Tran R, Sutjita M, Kim D. Klebsiella pneumoniae necrotizing fasciitis in a Latin American male. J Med Microbiol 2012; 61 (Pt 11): 1614-1616.

  15. Wong CH, Kurup A, Wang YS, Heng KS, Tan KC. Four cases of necrotizing fasciitis caused by Klebsiella species. Eur J Clin Microbiol Infect Dis 2004; 23 (5): 403-407.

  16. Tenenhaus M, Rennekampff HO. Surgical advances in burn and reconstructive plastic surgery: new and emerging technologies. Clin Plast Surg 2012; 39 (4): 435-443.

  17. Buendía Pérez J, Vila Sobral A, Gómez Ruiz R, Qiu Shao SS, Marré Medina D, Romeo M et al. Tratamiento de heridas complejas con terapia de presión negativa. Experiencia en los últimos 6 años en la Clínica Universitaria de Navarra, Pamplona (España). Cir Plast Iberolatinam 2011; 37(supl 1): 65-71.




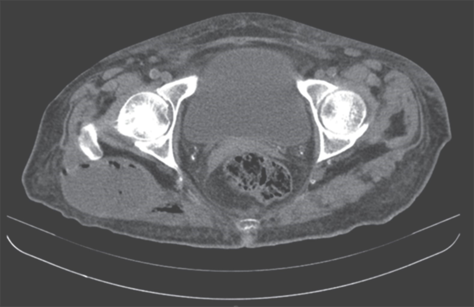
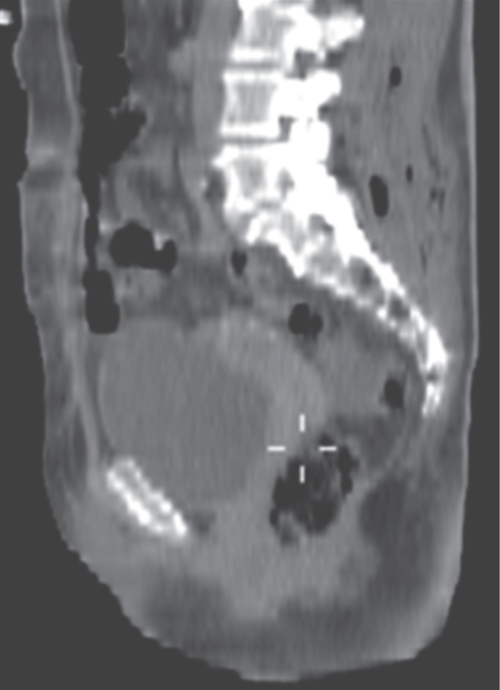
Figure 1
Figure 2
Figure 3
Figure 4
Figure 5

2020     |     www.medigraphic.com

Mi perfil

C?MO CITAR (Vancouver)

Cir Plast. 2021;31