medigraphic.com
SPANISH

Revista Mexicana de Pediatría

ISSN 0035-0052 (Print)
  • Contents
  • View Archive
  • Information
    • General Information        
    • Directory
  • Publish
    • Instructions for authors        
    • Send manuscript
  • medigraphic.com
    • Home
    • Journals index            
    • Register / Login
  • Mi perfil

2021, Number 4

<< Back Next >>

Rev Mex Pediatr 2021; 88 (4)

Unilateral interstitial pulmonary emphysema in a newborn

Martínez-Lemus O, Pérez-González JA, Jiménez-Abreu SE, Rodríguez-Díaz H
Full text How to cite this article 10.35366/102782

DOI

DOI: 10.35366/102782
URL: https://dx.doi.org/10.35366/102782

Language: Spanish
References: 11
Page: 159-162
PDF size: 240.65 Kb.


Key words:

Newborn, premature, pulmonary interstitial emphysema, selective ventilation.

ABSTRACT

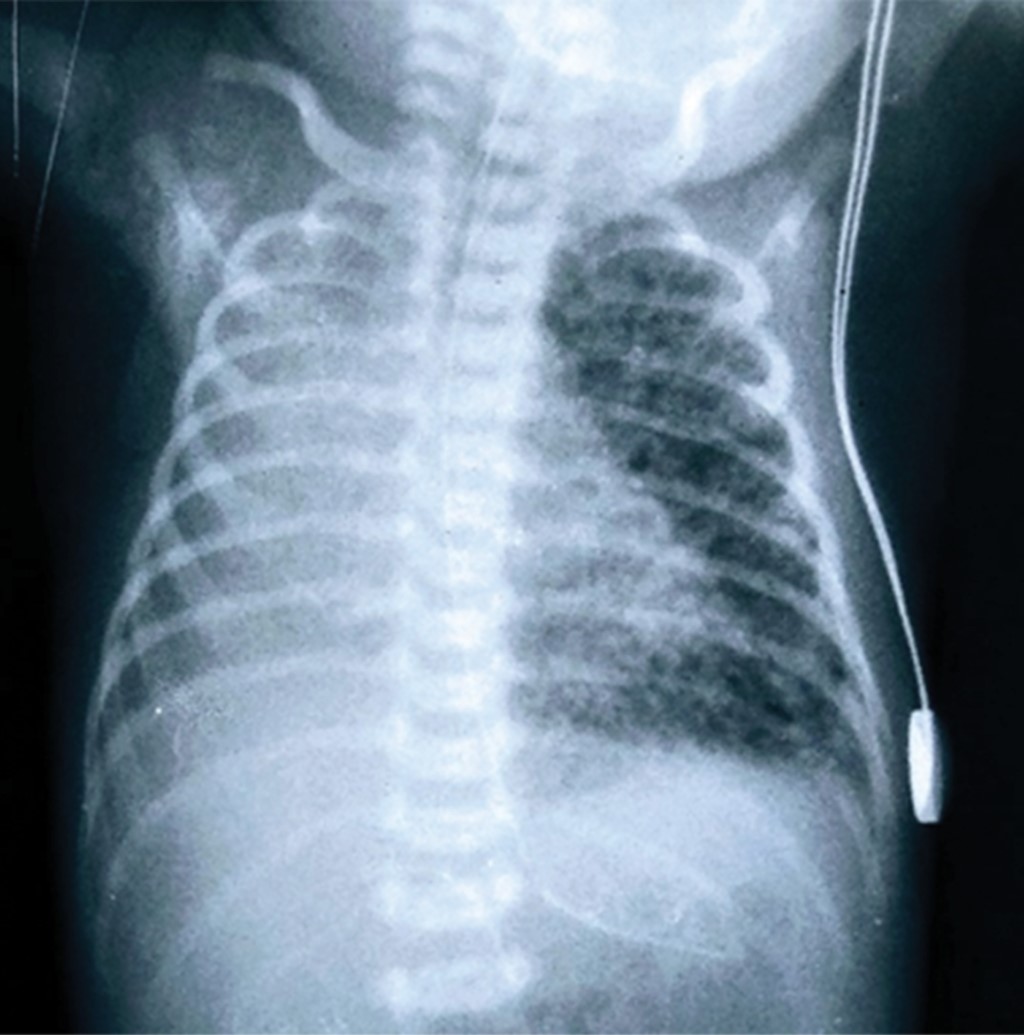
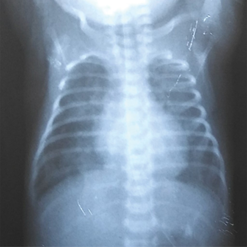
Objective: To describe the clinical outcome of a newborn (NB) with unilateral pulmonary interstitial emphysema (PID) who required selective ventilation of the contralateral lung. Case presentation: This is a 32-week gestation female newborn, who presented respiratory distress syndrome (RDS), requiring mechanical ventilation. On the second day of life, she presented left unilateral interstitial PID. High-frequency oscillatory ventilation was used as treatment for this complication, as well as positioning of the newborn on the affected side, but there was no improvement. Subsequently, after selective ventilation of the contralateral lung was used for 48 hours total resolution of the emphysema was achivied. Conclusion: PID is a serious complication in newborns. The use of selective ventilation to the contralateral lung is a therapeutic alternative for its resolution.


REFERENCES

  1. Rosero-Armijos V, Valverde-Palma L, Palma-Estrada CM, Cabrera-Jiménez FP, Ramírez-Amaya J. Complicaciones pulmonares asociadas a la ventilación mecánica en el neonato crítico. Recimundo. 2019; 3(4): 511-527.

  2. Robert-Lee SY, Chiu-Shek Ch. Resolution of localized pulmonary interstitial emphysema in two neonates-whydoes neurally adjusted ventilatory assist work? J Clin Neonatol. 2015; 4 (2): 115-118.

  3. Liszewski-MC, Lee-EY. Neonatal lung disorders: pattern recognition approach to diagnosis. Pediatric Imaging. 2018; 210: 964-975.

  4. Deutsch G. Trastornos adquiridos e idiopáticos en recién nacidos y niños pequeños. En: Zander-DS, Farver-CF. Patología pulmonar. 2nd ed. Barcelona: ELSEVIER; 2018. p. 61-80.

  5. Bancalari E, Claure N, Jain D. Tratamiento respiratorio neonatal. En: Gleason-CA, Juul-SE. Avery. Enfermedades del recién nacido. 10 ed. Barcelona: ELSEVIER; 2019. p. 632-652.

  6. Martínez-Rodríguez LP, Moreno-Gómez LA, Carrillo-Bayona JA, Rueda-Badillo EY. Lesiones pulmonares quísticas en el neonato: no todo es enfermedad congénita pulmonar. Reporte de caso. MÉD UIS. 2018; 31 (1): 65-70.

  7. Lei X, Stangl O, Bosche Ch, Stuchlik K, Czorba R, Wieg Ch. Positional treatment without mechanical ventilation in a very preterm infant with unilateral pulmonary interstitial emphysema: case report and review of the literatura. BMC Pediatr. 2019; 19 (267).

  8. Rent SM, Donn SM. Treatment of severe unilateral pulmonary interstitial emphysema in a preterm infant. Clin Case Rep Int. 2017; 1: 1019.

  9. Huerta-Millán C, Lorenzo-Silva J, Zafra-Jiménez I, Gil-Willy W, Moscoso-Jaramillo MB. Ventilación mecánica selectiva (a un pulmón) y manejo anestésico en cirugía toracoscópica videoasistida. Rev Mex Anest. 2002; 25 (2): 102-109.

  10. González-Alonso MV, Mesa-Riquelme LA, Domínguez-Dieppa F, Porto-Rodríguez AS. Tratamiento del enfisema intersticial pulmonar unilateral con ventilación monopulmonar contralateral. Presentación de un caso. Rev Cub Pediatr. 2008; 70 (2): 108-112.

  11. Kauark-Amoedo M, Soares-Souza LV, Soares-Souza A, Soares-Souza A, Marchiori E. Pulmonary interstitial emphysema a case report and review of the literatura. Radiol Bras. 2013; 46 (5): 317-319.




Figure 1
Figure 2
Figure 3

2020     |     www.medigraphic.com

Mi perfil

C?MO CITAR (Vancouver)

Rev Mex Pediatr. 2021;88