medigraphic.com
SPANISH

Latin American Journal of Oral and Maxillofacial Surgery

ISSN 2992-7757 (Electronic)
Órgano de difusión de la Asociación Latinoamericana de Cirugía y Traumatología Bucomaxilofacial (ALACIBU)
  • Contents
  • View Archive
  • Information
    • General Information        
    • Directory
  • Publish
    • Instructions for authors        
  • medigraphic.com
    • Home
    • Journals index            
    • Register / Login
  • Mi perfil

2022, Number 1

<< Back Next >>

Lat Am J Oral Maxillofac Surg 2022; 2 (1)

Epidermoid carcinoma of the oral cavity in pediatric age. Apropos of a case. Review of the literature

Acero J, Pastor Á, Haddad A, Baranda E, Bueno Á, Picón M, Almeida F
Full text How to cite this article 10.35366/103403

DOI

DOI: 10.35366/103403
URL: https://dx.doi.org/10.35366/103403

Language: Spanish
References: 13
Page: 6-11
PDF size: 343.35 Kb.


Key words:

Oral Cancer, childhood, mandibular reconstruction.

ABSTRACT

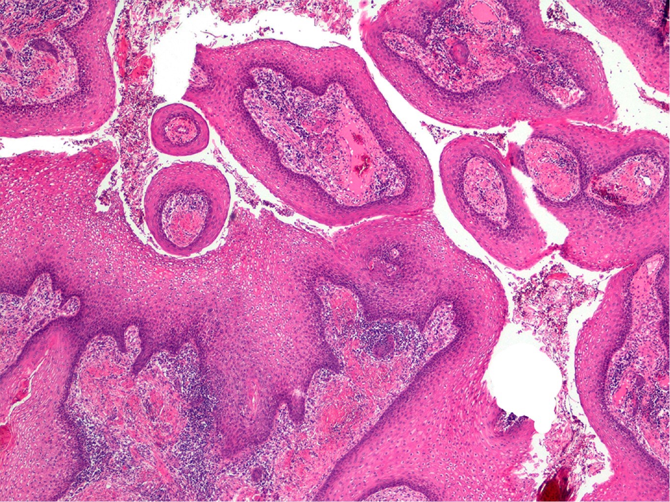
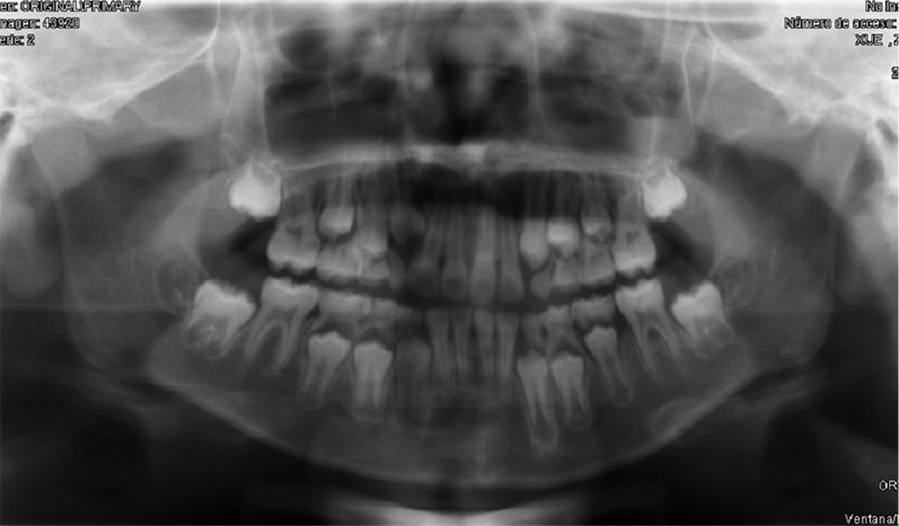
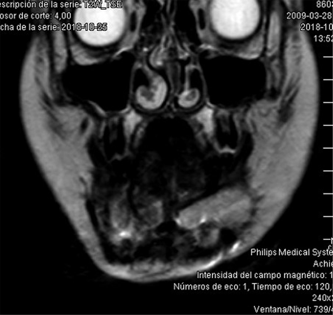
Introduction: Oral cavity squamous cell carcinoma is a frequent entity in adult malignant head and neck pathology; however, it is extremely rare in pediatric age. The treatment and reconstruction of pediatric patients is a challenge due to its high complexity and the few cases described to date in the literature. Material and methods: A clinical case of mandibular squamous cell carcinoma in a pediatric patient is presented. Diagnosis is made by histopathological study and radiological tests, and a virtual planning for mandibular reconstruction is performed. A review of the literature is performed since it is a rare entity. Results: A 9-year-old male of Asian origin came to our office for clinical symptoms of suppuration in the left mandibular region close to the first definitive molar, of approximately 2 months of evolution. A biopsy was performed with an anatomopathological result of squamous cell carcinoma. The case was presented to the Head and Neck Tumors Committee and surgical treatment was decided: left segmental mandibulectomy with oncologic safety margins, left anterolateral functional cervical dissection and reconstruction with microvascularized fibula flap fixed with titanium rod. Cutting guides and virtual planning were used. At 24 months postoperative follow-up there was no locoregional or distant recurrence. Conclusions: Oral cavity squamous cell carcinoma in pediatric age has a low incidence, requiring optimal management and reconstruction. The fibula flap could be the most indicated option for mandibular reconstruction in children. The preservation of the mandibular condyle could favor the mandibular growth of the patient during development.


REFERENCES

  1. Bhanu PV, Mallick S, Upadhyay AD, Rath GK. Systematic review and individual patient data analysis of pediatric head and neck squamous cell carcinoma: An analysis of 217 cases. Int J Pediatr Otorhinolaryngol. 2017; 92: 75-81. doi: 10.1016/j.ijporl.2016.11.005. Epub 2016 Nov 12. PMID: 28012539.

  2. Chow CW, Tabrizi SN, Tiedemann K, Waters KD. Squamous cell carcinomas in children and young adults: a new wave of a very rare tumor? J Pediatr Surg. 2007; 42 (12): 2035-2039. doi: 10.1016/j.jpedsurg.2007.08.025. PMID: 18082703.

  3. Dombrowski ND, Wolter NE, Irace AL, Robson CD, Perez-Atayde AR, Mack JW, Rahbar R. Squamous cell carcinoma of the head and neck in children. Int J Pediatr Otorhinolaryngol. 2019; 117: 131-137. doi: 10.1016/j.ijporl.2018.11.019. Epub 2018 Nov 20. PMID: 30579067.

  4. George AP, Markiewicz MR, Garzon S, Choi DK. Adolescent and Young Adult Oral Maxillofacial Tumors: A Single-Institution Case Series and Literature Review. J Adolesc Young Adult Oncol. 2020; 9 (2): 307-312. doi: 10.1089/jayao.2019.0111. Epub 2019 Dec 20. PMID: 31859579; PMCID: PMC7476397.

  5. Smith A, Petersen D, Samant S, Ver Halen JP. Pediatric mandibular reconstruction following resection of oral squamous cell carcinoma: a case report. Am J Otolaryngol. 2014; 35 (6): 826-828. doi: 10.1016/j.amjoto.2014.07.004. Epub 2014 Jul 17. PMID: 25123780.

  6. Bhanuprasad V, Mallick S, Bhasker S, Mohanti BK. Pediatric head and neck squamous cell carcinoma: Report of 12 cases and illustrated review of literature. Int J Pediatr Otorhinolaryngol. 2015; 79 (8): 1279-1282. doi: 10.1016/j.ijporl.2015.05.031. Epub 2015 May 30. PMID: 26072014.

  7. Stolk-Liefferink SA, Dumans AG, van der Meij EH, Knegt PP, van der Wal KG. Oral squamous cell carcinoma in children; review of an unusual entity. Int J Pediatr Otorhinolaryngol. 2008; 72 (1): 127-131. doi: 10.1016/j.ijporl.2007.09.006. Epub 2007 Oct 29. PMID: 18029030.

  8. Benoit MM, Vargas SO, Bhattacharyya N, McGill TA, Robson CD, Ferraro N, et al. The presentation and management of mandibular tumors in the pediatric population. Laryngoscope. 2013; 123 (8): 2035-2042. doi: 10.1002/lary.24020. Epub 2013 May 13. PMID: 23670306.

  9. Sidell D, Nabili V, Lai C, Cheung G, Kirsch C, Abemayor E. Pediatric squamous cell carcinoma: Case report and literature review. Laryngoscope. 2009; 119 (8): 1538-1541. doi: 10.1002/lary.20531. PMID: 19522006.

  10. Modh A, Gayar OH, Elshaikh MA, Paulino AC, Siddiqui F. Pediatric head and neck squamous cell carcinoma: Patient demographics, treatment trends and outcomes. Int J Pediatr Otorhinolaryngol. 2018; 106: 21-25. doi: 10.1016/j.ijporl.2017.12.032. Epub 2018 Jan 3. PMID: 29447885.

  11. Genden EM, Buchbinder D, Chaplin JM, Lueg E, Funk GF, Urken ML. Reconstruction of the pediatric maxilla and mandible. Arch Otolaryngol Head Neck Surg. 2000; 126 (3): 293-300. doi: 10.1001/archotol.126.3.293. PMID: 10722000.

  12. Crosby MA, Martin JW, Robb GL, Chang DW. Pediatric mandibular reconstruction using a vascularized fibula flap. Head Neck. 2008; 3 0(3): 311-319. doi: 10.1002/hed.20695. PMID: 17685454.

  13. Arnold DJ, Wax MK; Microvascular Committee of the American Academy of Otolaryngology-Head and Neck Surgery. Pediatric microvascular reconstruction: a report from the Microvascular Committee. Otolaryngol Head Neck Surg. 2007; 136 (5): 848-851. doi: 10.1016/j.otohns.2006.11.023. PMID: 17478228.




Figure 1
Figure 2
Figure 3
Figure 4
Figure 5
Figure 6
Figure 7
Figure 8

2020     |     www.medigraphic.com

Mi perfil

C?MO CITAR (Vancouver)

Lat Am J Oral Maxillofac Surg. 2022;2