medigraphic.com
SPANISH

Orthotips AMOT

ISSN 2007-8560 (Print)
Órgano Oficial de Difusión Científica de la Federación Mexicana de Colegios de Ortopedia y Traumatología, A.C. (FEMECOT)
  • Contents
  • View Archive
  • Information
    • General Information        
    • Directory
  • Publish
    • Instructions for authors        
  • medigraphic.com
    • Home
    • Journals index            
    • Register / Login
  • Mi perfil

2022, Number 1

<< Back Next >>

Ortho-tips 2022; 18 (1)

Use of orthobiologics and allograft in the treatment of pseudoarthrosis with femoral diaphyseal bone loss

Lobato SMB, Sánchez AR, Barriga MMA, Silva MJA, Gutiérrez-Mendoza I, Rodríguez BÁ, Matus JJ, García BM, Cugat BR
Full text How to cite this article 10.35366/103737

DOI

DOI: 10.35366/103737
URL: https://dx.doi.org/10.35366/103737

Language: Spanish
References: 24
Page: 80-85
PDF size: 266.84 Kb.


Key words:

Orthobiologics, platelet rich plasma, pseudoarthrosis, critical bone defect, allograft.

ABSTRACT

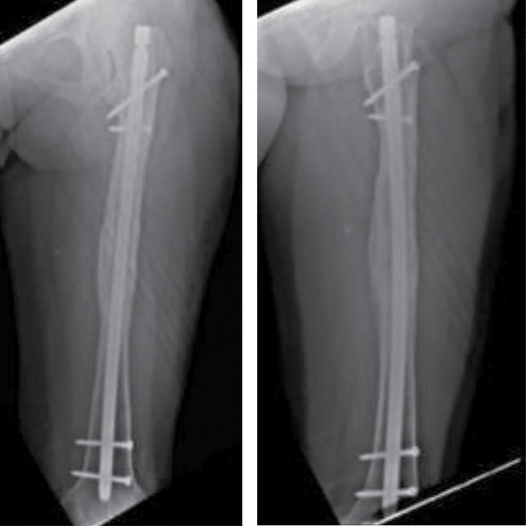
Pseudoarthrosis is a complication that poses a challenge for the orthopedist. If is associated with bone loss, a salvage surgery is indicated. There is no protocol for treatment for pseudoarthrosis with a "critical defect". The induced membrane technique, distraction osteogenesis, among others, has been described; however, the long time and elevated costs involved have opened a new landscape on the research of new protocols. The "diamond concept" which is not only based of improving biomechanics, but also introduces biological stimulation as a pillar of treatment, was recently introduced. We present the case of a 16-year-old female patient with a femoral shaft fracture after a traffic accident, treated initially with a centromedullar blocked nailing that progresses to pseudoarthrosis, presenting a 5 cm bone loss. Treatment consisted of removing the centromedullar blocked nail, resection of the nonviable bone segment, osteosynthesis with another centromedullar blocked nailing, placement a 7 cm diaphyseal allograft, platelet-rich plasma (PRP), matrix allograft, and bone chips, thus achieving radiographic and clinical consolidation; restoring limb function in a shorter time, considering the PRP as the main orthobiological element in this case.


REFERENCES

  1. Schmal H, Brix M, Bue M, Ekman A, Ferreira N, Gottlieb H, et al. Nonunion - consensus from the 4th annual meeting of the Danish Orthopaedic Trauma Society. EFORT Open Rev. 2020; 5 (1): 46-57.

  2. Nandra R, Grover L, Porter K. Fracture non-union epidemiology and treatment. Trauma. 2016; 18 (1): 3-11.

  3. Sen C, Eralp L, Gunes T, Erdem M, Ozden VE, Kocaoglu M. An alternative method for the treatment of nonunion of the tibia with bone loss. J Bone Joint Surg Br. 2006; 88 (6): 783-789.

  4. Pihlajamaki HK, Salminen ST, Bostman OM. The treatment of nonunions following intramedullary nailing of femoral shaft fractures. J Orthop Trauma. 2002; 16 (6): 394-402.

  5. Stewart SK. Fracture non-union: a review of clinical challenges and future research needs. Malays Orthop J. 2019; 13 (2): 1-10.

  6. Adamczyk A, Meulenkamp B, Wilken G, Papp S. Managing bone loss in open fractures. OTA Int. 2020; 3 (1): e059.

  7. Haines NM, Lack WD, Seymour RB, Bosse MJ. Defining the lower limit of a "critical bone defect" in open diaphyseal tibial fractures. J Orthop Trauma. 2016; 30 (5): 158-163.

  8. Keating JF, Simpson AH, Robinson CM. The management of fractures with bone loss. J Bone Joint Surg Br. 2005; 87 (2): 142-150.

  9. Cavanna M. WITHDRAWN: Allograft for the treatment of massive bone loss in open and infected IIIA fracture of the distal femur: a case report. Injury. 2021. Available in: https://doi.org/10.1016/j.injury.2018.11.046

  10. Mendieta A, Soriano JC, Negrete CJ. Utility of platelet-rich plasma and growth factors bone in the bone defects. Acta Ortop Mex. 2007; 21 (5): 256-260.

  11. Romo RJ, Gámez SL, Escriva MJ. Factores de crecimiento en cirugía ortopédica. Orthotips. 2009; 5 (1): 88-92.

  12. Fernández-Fairen M, Gutiérrez-Gómez J, Hernández-Vaquero D, Torres-Pérez AI, Sueiro-Fernández J. Evidencia científica de los factores de crecimiento en cirugía ortopédica y traumatología. Orthotips. 2014; 10 (4): 235-257.

  13. Calori GM, Colombo M, Mazza EL, Mazzola S, Malagoli E, Marelli N, et al. Validation of the Non-Union Scoring System in 300 long bone non-unions. Injury. 2014; 45 Suppl 6: S93-S97.

  14. Alford AI, Nicolaou D, Hake M, McBride-Gagyi S. Masquelet's induced membrane technique: Review of current concepts and future directions. J Orthop Res. 2021; 39 (4): 707-718.

  15. Masquelet A, Kanakaris NK, Obert L, Stafford P, Giannoudis PV. Bone repair using the Masquelet technique. J Bone Joint Surg Am. 2019; 101 (11): 1024-1036.

  16. Dallo I, Etcheto HFR, Collazo C, Chahla J, Gobbi A. Terapias biológicas en artroscopia de rodilla. De las ciencias básicas a la aplicación clínica. Artroscopia. 2020; 27: 136-145.

  17. Wang W, Yeung KWK. Bone grafts and biomaterials substitutes for bone defect repair: a review. Bioact Mater. 2017; 2 (4): 224-247.

  18. Vastel L. Aloinjertos óseos y bancos de tejidos. EMC - Apar Locomot. 2010; 43 (3): 1-10.

  19. Mainard D. Sustitutos óseos. EMC - Apar Locomot. 2014; 47 (2): 1-11.

  20. Balakrishnan M, Agarwal DC, Kumar S. A study of efficacy of heterogeneous bone grafts (surgibone) in orthopaedic surgery. Med J Armed Forces India. 2000; 56 (1): 21-23.

  21. Rodriguez-Collazo E, Khan AA, Khan HA. An algorithmic approach towards the orthoplastic management of osseous and soft tissue defects in post-traumatic distal tibial fractures. J Orthop Trauma Surg Rel Res. 2017; 12 (2): 56-61.

  22. Issaoui H, Fekhaoui MR, Jamous M, Masquelet AC. Modified masquelet technique using allogeneic graft for a Gustilo-Anderson type III-A open fracture of the femur with an 8 cm bone defect. Case Rep Orthop. 2021; 2021: 8829158.

  23. Vejarano-Solano JC, Shu-Yip SB, Ruiz-Semba CF, Vidal-Escudero JA. Uso de plasma rico en plaquetas autólogo en el tratamiento quirúrgico de pseudoartrosis atrófica de fémur y tibia. Rev Med Hered. 2013; 24 (2): 122-130.

  24. Neogi DS, Kumar V, Malhotra R. Femoral allograft in the management of osseous hydatidosis presenting as femoral shaft non-union. Arch Orthop Trauma Surg. 2009; 129 (12): 1627-1632.




Figure 1
Figure 2
Figure 3
Figure 4
Figure 5

2020     |     www.medigraphic.com

Mi perfil

C?MO CITAR (Vancouver)

Ortho-tips. 2022;18