medigraphic.com
SPANISH

Revista ADM Órgano Oficial de la Asociación Dental Mexicana

ISSN 0001-0944 (Print)
Órgano Oficial de la Asociación Dental Mexicana
  • Contents
  • View Archive
  • Information
    • General Information        
    • Directory
  • Publish
    • Instructions for authors        
    • Send manuscript
  • medigraphic.com
    • Home
    • Journals index            
    • Register / Login
  • Mi perfil

2022, Number 1

<< Back Next >>

Rev ADM 2022; 79 (1)

The most common negligence in dental practice.

Tiol-Carrillo A
Full text How to cite this article 10.35366/103816

DOI

DOI: 10.35366/103816
URL: https://dx.doi.org/10.35366/103816

Language: Spanish
References: 16
Page: 32-37
PDF size: 329.66 Kb.


Key words:

Legal odontology, malpractice, negligence, professional responsibility.

ABSTRACT

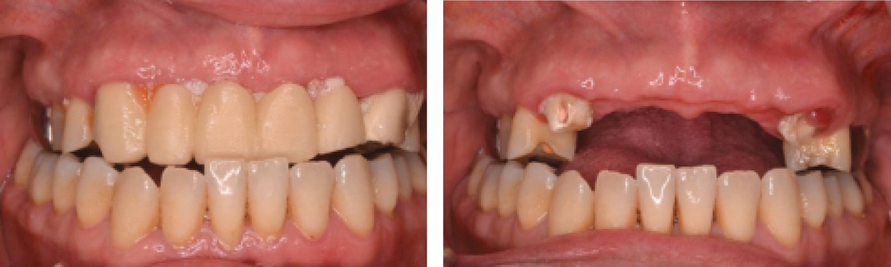
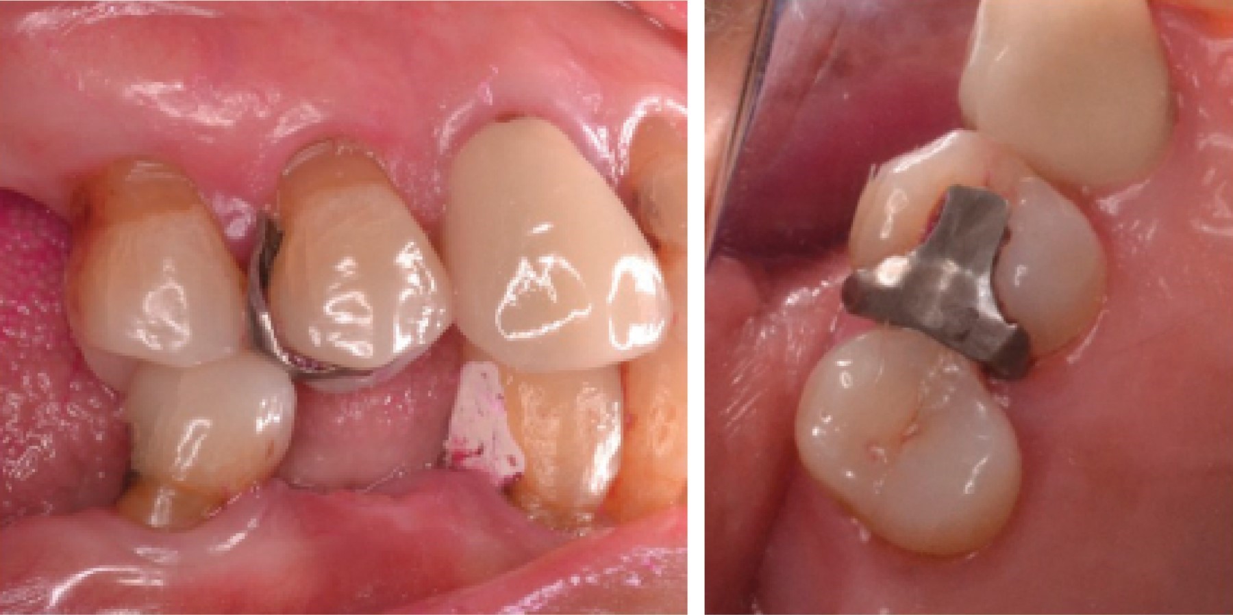
For the proper practice of dentistry, the procedures performed must be carried out adhering at all times to the standards and ethical principles of the profession. When a dentist voluntarily decides to practice the profession without adhering to these principles, he is considered to be acting negligently. Negligence is characterized as an improper act, in which the professional voluntarily executes unjustifiable actions capable of causing damage to the health of patients or the prognosis of a treatment. Negligent acts, in addition to threatening the integrity of the patient, put health professionals at risk who commit legal consequences derived from these acts. The aim of this article is to define the concept of negligence, to describe the most common ways in which it is committed during the dental practice as well as its legal consequences, illustrating them in turn with a brief presentation of some cases.


REFERENCES

  1. García-Solís E, Gómez-Vázquez P, Arispe-Castillo LM. Negligencia, imprudencia, impericia: análisis de casos 2010-2014 en la Comisión de Arbitraje Médico del Estado de Campeche. Rev CONAMED. 2015; 20 (3): 111-116.

  2. Briseño CJM. La responsabilidad profesional en odontología. Rev ADM. 2006; 63 (3): 111-118.

  3. Tamayo J. La relación médico paciente y la mala praxis médica. Revista Novedades Jurídicas. 2007; 4 (19): 12-23.

  4. Astudillo M, Chinchilla D, Sarabia L. Mala praxis odontológica: Artículo de revisión. Rev Venez Invest Odont IADR. 2015; 3 (2): 146-170.

  5. Lupa NS, Yacaman HR, Martínez JE, Ruelas RV. La relevancia del expediente clínico para el quehacer médico. An Med (Mex). 2015; 60 (3): 237-240.

  6. Carmona-Mejía B, Ponce-Gómez G. Evaluación del expediente clínico integrado y de calidad en pacientes de cirugía programada. Rev CONAMED. 2014; 19 (3): 117-127.

  7. Cruz QSM, Díaz SP, Arias SD, Mazón BGM. Microbiota de los ecosistemas de la cavidad bucal. Rev Cubana Estomatol. 2017; 54 (1): 84-99.

  8. Delgado MM. Aislamiento total con dique de hule. Requisito ineludible en procedimientos operatorios. Odontología Actual. 2016; 13 (158): 18-19.

  9. Tiol-Carrillo A. El peritaje odontológico forense. Rev Odont Mex. 2016; 20 (3): 154-158.

  10. Fluent MT. Hand hygiene in the dental setting: reducing the risk of infection. Compend Contin Educ Dent. 2013; 34 (8): 624-627.

  11. Girou E, Chai SH, Oppein F, Legrand P, Ducellier D, Cizeau F et al. Misuse of gloves: the foundation for poor compliance with hand hygiene and potential for microbial transmission? J Hosp Infect. 2004; 57 (2): 162-169.

  12. Ley General de Salud. Cámara de Diputados. 2021.

  13. Ley Federal del Trabajo. Cámara de Diputados. 2021.

  14. Código Penal Federal. Cámara de Diputados. 2021.

  15. Código Civil Federal. Cámara de Diputados. 2021.

  16. Ley Reglamentaria del Artículo 5o Constitucional, Relativo al Ejercicio de las Profesiones en la Ciudad de México. Cámara de Diputados. 2021.




Figure 1
Figure 2
Figure 3
Figure 4
Figure 5

2020     |     www.medigraphic.com

Mi perfil

C?MO CITAR (Vancouver)

Rev ADM. 2022;79