medigraphic.com
SPANISH

Revista ADM Órgano Oficial de la Asociación Dental Mexicana

ISSN 0001-0944 (Print)
Órgano Oficial de la Asociación Dental Mexicana
  • Contents
  • View Archive
  • Information
    • General Information        
    • Directory
  • Publish
    • Instructions for authors        
    • Send manuscript
  • medigraphic.com
    • Home
    • Journals index            
    • Register / Login
  • Mi perfil

2022, Number 1

<< Back Next >>

Rev ADM 2022; 79 (1)

Angioleiomyoma in the oral cavity ''a rare neoplasm in an unusual site''. Case report and literature review.

Partida GMF, Díaz CGP, Alvarado SA, Ruiz VY, Guerra LDA
Full text How to cite this article 10.35366/103818

DOI

DOI: 10.35366/103818
URL: https://dx.doi.org/10.35366/103818

Language: Spanish
References: 26
Page: 48-53
PDF size: 338.24 Kb.


Key words:

Angioleiomyoma, vascular leiomyoma, angiomyoma, smooth muscle, oral leiomyoma, buccal leiomyoma.

ABSTRACT

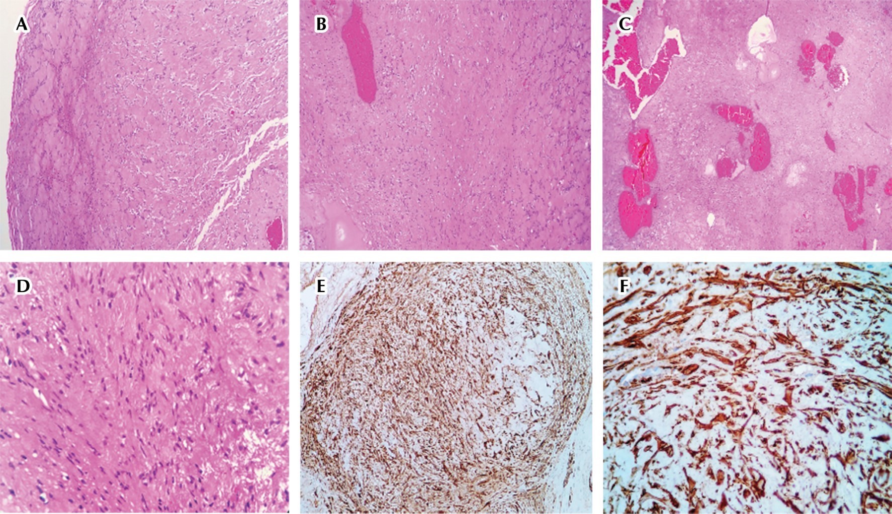
The angioleiomyoma (AL) is a benign neoplasm, well circumscribed and slow growing, that represents 5% of the soft tissue neoplasms, whose etiology is unknown. It originates from smooth muscle, mostly from the walls of blood vessels; regarding its location, it more frequently appears in the extremities, being rare in the head and neck region, and even more so in the oral cavity. Histologically, the lesion is characterized by being a well encapsulated nodule with proliferation of mature smooth muscle bundles around the lumen of the blood vessels, whose cells are usually positive for immunohistochemical markers such as alpha smooth muscle actin, desmin, HHF35, myosin, calponin and H-caldesmon. The current treatment is complete surgical excision having zero recurrence rate. The objective of the following article is to educate on the importance of correct diagnosis and management of intraoral lesions through the presentation of a clinical case of a vascular leiomyoma located in the nasolabial region, in addition to reviewing the corresponding literature.


REFERENCES

  1. Virchow R. Ueber makroglossie und pathologische neubildung quergestreifter muskelfasern. Virchows Arch (Pathol Anat). 1854; 7: 126-138.

  2. Stout AP. Solitary cutaneous and subcutaneous leiomyoma. Am J Cancer. 1937; 29: 435-469.

  3. Peric B, Vidakovic B, Grgic N, Manojlovic S, Cavka H. Angiomyoma of the upper lip - case report and review of the literature. Acta Clin Croat. 2019; 58 (1): 183-186. doi: 10.20471/acc.2019.58.01.24.

  4. Thakker T, Anehosur V, US D, Anand J, Kumar N. Gingival angioleiomyoma - A rare case report. Oral and Maxillofacial Surgery Cases. 2019; 5 (3): 100114. doi: 10.1016/j.omsc.2019.100114.

  5. Goldblum JR, Folpe AL, Weiss SW. Enzinger and Weiss's soft tissue tumors. 7th ed. Philadelphia, PA, USA: Elsevier; 2019.

  6. da Silva LAB, de Medeiros AMC, de Oliveira PT, da Silveira EJD, Miguel MCDC. Angioleiomioma oral: relato de um caso e revisão dos achados atuais. J Vasc Bras. 2017; 16 (1): 68-72.

  7. Ramesh P, Annapureddy SR, Khan F, Sutaria PD. Angioleiomyoma: a clinical, pathological and radiological review. Int J Clin Pract. 2004; 58 (6): 587-591. doi: 10.1111/j.1368-5031.2004.00085.x.

  8. Ishikawa S, Fuyama S, Kobayashi T, Taira Y, Sugano A, Iino M. Angioleiomyoma of the tongue: a case report and review of the literature. Odontology. 2016; 104 (1): 119-122. doi: 10.1007/s10266-014-0175-0.

  9. Tsuji T, Satoh K, Nakano H, Kogo M. Clinical characteristics of angioleiomyoma of the hard palate: report of a case and an analysis of the reported cases. J Oral Maxillofac Surg. 2014; 72 (5): 920-926. doi: 10.1016/j.joms.2013.11.008.

  10. Giudice A, Bennardo F, Buffone C, Brancaccio Y, Plutino FM, Fortunato L. Clinical and immunohistochemical features of oral angioleiomyoma: a comprehensive review of the literature and report of a case in a young patient. Case Rep Dent. 2019; 2019: 2498353. doi: 10.1155/2019/2498353.

  11. Gueiros LA, Romañach MJ, Pires-Soubhia AM, Pires FR, Paes-de-Almeida O, Vargas PA. Angioleiomyoma affecting the lips: report of 3 cases and review of the literature. Med Oral Patol Oral Cir Bucal. 2011; 16 (4): e482-e487.

  12. Sayit E, Sayit AT, Zan E, Bakirtas M, Akpinar H, Gunbey HP. Vascular leiomyoma of an extremity: Report of two cases with MRI and histopathologic correlation. J Clin Orthop Trauma. 2014; 5 (2): 110-114. doi: 10.1016/j.jcot.2014.04.001.

  13. Bajpai M, Pardhe N, Kumar M. Angioleiomyoma of gingiva masquerading as pyogenic granuloma. J Coll Physicians Surg Pak. 2016; 26 (7): 631-632.

  14. Inaba T, Adachi M, Yagisita H. A case of angioleiomyoma in the buccal space. Odontology. 2015; 103 (1): 109-111. doi: 10.1007/s10266-013-0128-z.

  15. Kim HY, Jung SN, Kwon H, Sohn WI, Moon SH. Angiomyoma in the buccal space. J Craniofac Surg. 2010; 21 (5): 1634-1635. doi: 10.1097/SCS.0b013e3181ef67f1.

  16. Ribeiro JL, Costa FH, Cavalcante AS, Kaminagakura E, Carvalho YR, Anbinder AL. Vascular leiomyoma in the oral cavity - Report of two cases. J Clin Exp Dent. 2019; 11 (6): e582-e586. doi: 10.4317/jced.55684.

  17. Chan MH, Wolf JC. Biopsy techniques and diagnoses & treatment of mucocutaneous lesions. Dent Clin North Am. 2012; 56 (1): 43-73, vii-viii.

  18. Tamgadge S, Tamgadge A, Agre B. Writing oral pathology biopsy report: a guide for beginners. J Exp Ther Oncol. 2018; 12 (4): 273-279.

  19. Matiakis A, Karakostas P, Pavlou AM, Anagnostou E, Poulopoulos A. Angioleiomyoma of the oral cavity: a case report and brief review of the literature. J Korean Assoc Oral Maxillofac Surg. 2018; 44 (3): 136-139. doi: 10.5125/jkaoms.2018.44.3.136.

  20. Eley KA, Alroyayamina S, Golding SJ, Tiam RN, Watt-Smith SR. Angioleiomyoma of the hard palate: report of a case and review of the literature and magnetic resonance imaging findings of this rare entity. Oral Surg Oral Med Oral Pathol Oral Radiol. 2012; 114 (2): e45-e49. doi: 10.1016/j.oooo.2012.01.014.

  21. Arruda MM, Monteiro DY, Fernandes AM, Menegatti V, Thomazzi E, Hubner RA et al. Angioleiomyoma of the nasal cavity. Int Arch Otorhinolaryngol. 2014; 18 (4): 409-411. doi: 10.1055/s-0033-1364173.

  22. Michael RC, Shah S. Angioleiomyoma of the nasal cavity. Indian J Microbiol Pathol. 2009; 52 (3): 386-388.

  23. Barboza CAG, Ginani F, Leite-Segundo AV, Da Silva UH. Oral angioleiomyoma: a case report and considerations on differential diagnosisJ Bras Patol Med Lab. 2013; 49 (6): 429-432. doi: 10.1590/s1676-24442013000600008.

  24. Rawal SY, Rawal YB. Angioleiomyoma (vascular leiomyoma) of the oral cavity. Head Neck Pathol. 2018; 12 (1): 123-126. doi: 10.1007/s12105-017-0827-9.

  25. Osano H, Ioka Y, Okamoto R, Nakai Y, Hayashi H, Tsuchiya Y et al. Angioleiomyoma of the cheek: a case report. J Oral Sci. 2015; 57 (1): 63-66. doi: 10.2334/josnusd.57.63.

  26. Morimoto N. Angiomyoma (vascular leiomyoma): a clinicopathologic study. Med J Kagoshima Univ. 1973; 24: 663-683.




Figure 1
Figure 2

2020     |     www.medigraphic.com

Mi perfil

C?MO CITAR (Vancouver)

Rev ADM. 2022;79