medigraphic.com
SPANISH

Revista del Centro Dermatológico Pascua

ISSN 1405-1710 (Print)
  • Contents
  • View Archive
  • Information
    • General Information        
    • Directory
  • Publish
    • Instructions for authors        
  • medigraphic.com
    • Home
    • Journals index            
    • Register / Login
  • Mi perfil

2021, Number 3

<< Back Next >>

Rev Cent Dermatol Pascua 2021; 30 (3)

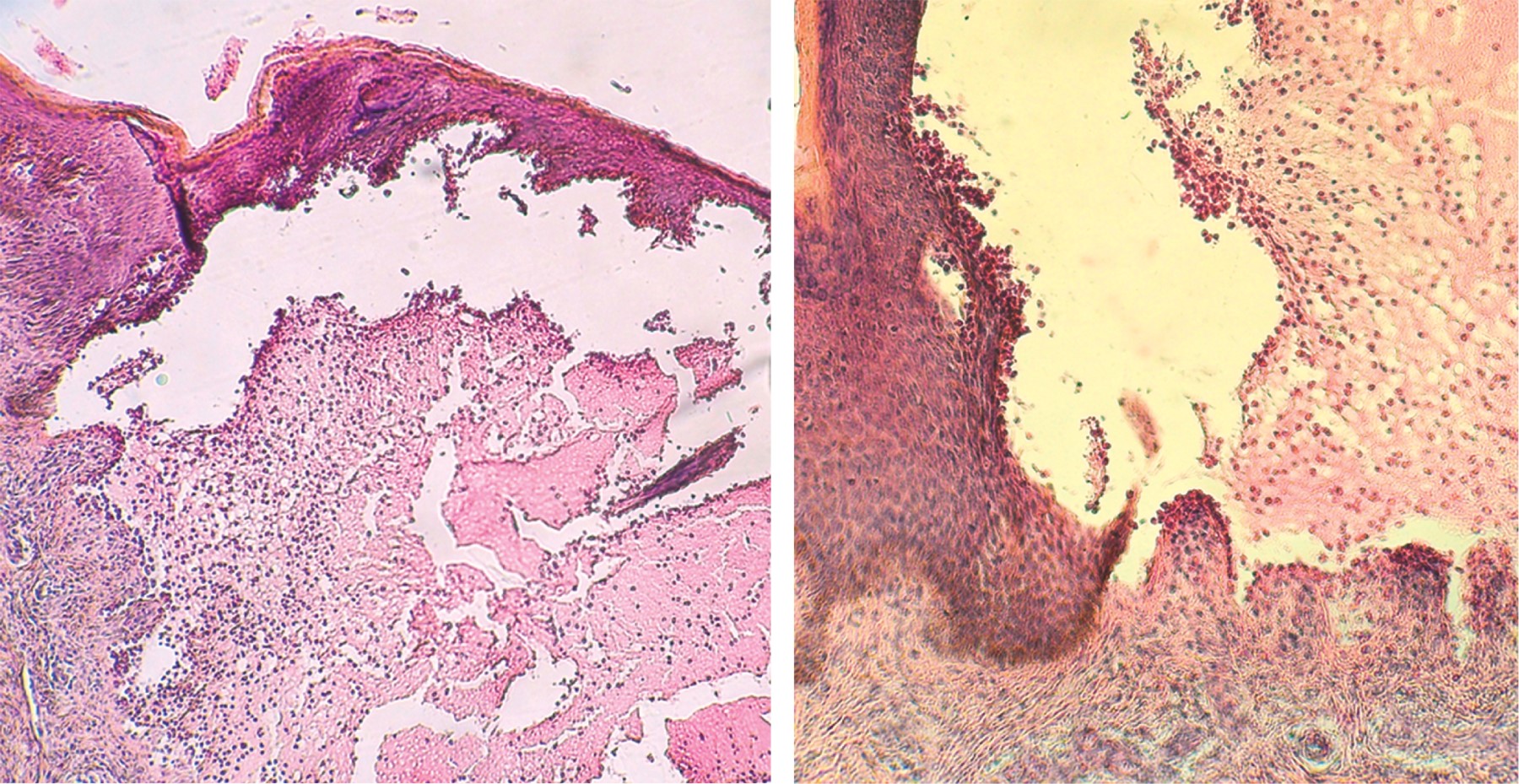
Bullous pemphigoid

De PJ, Ramos-Garibay A, Ortiz-Lobato L, Álvarez-Rivero V
Full text How to cite this article 10.35366/103830

DOI

DOI: 10.35366/103830
URL: https://dx.doi.org/10.35366/103830

Language: Spanish
References: 15
Page: 156-160
PDF size: 371.52 Kb.


Key words:

Bullous pemphigoid, tense blisters, palmoplantar keratoderma.

ABSTRACT

Bullous pemphigoid is an autoimmune bullous disease caused by antibodies directed against BP180/BPAG2 and BP230/BPAG1e proteins of the hemidesmosomes located in the spinous stratum. It affects individuals older than 60 year, manifesting with multiple large tense blisters alone or accompanied by pruritus of variable intensity, as well as other primary skin lesions seen in the four extremities. In this article we present the case and evolution of a 46 year-old female patient with the diagnosis of bullous pemphigoid plus palmoplantar keratoderma.


REFERENCES

  1. Kershenovich R, Hodak E, Mimouni D. Diagnosis and classification of pemphigus and bullous pemphigoid. Autoimmun Rev. 2014; 13: 477-481. doi: 10.1016/j.autrev.2014.01.011.

  2. Bagci IS, Horváth ON, Ruzicka T, Sárdy M. Bullous pemphigoid. Autoimmun Rev. 2017; 16: 445-455. doi: 10.1016/j.autrev.2017.03.010.

  3. Joly P, Baricault S, Sparsa A, Bernard P, Bédane C, Duvert-Lehembre S et al. Incidence and mortality of bullous pemphigoid in France. J Invest Dermatol. 2012; 132: 1998-2004.

  4. Bastuji-Garin S, Joly P, Lemordant P, Sparsa A, Bedane C, Delaporte E et al. Risk factors for bullous pemphigoid in the elderly: a prospective case-control study. J Invest Dermatol. 2011; 131: 637-643.

  5. Zhao CY, Chiang YZ, Murrell DF. Neonatal autoimmune blistering disease: a systematic review. Pediatr Dermatol. 2016; 33: 367-374.

  6. Atzmony L, Mimouni I, Reiter O, Leshem YA, Taha O, Gdalevich M et al. Association of bullous pemphigoid with malignancy: a systematic review and meta-analysis. J Am Acad Dermatol. 2017; 77: 691-699. doi: 10.1080/07853890.2018.1443346.

  7. Hammers CM, Stanley JR. Mechanisms of disease: Pemphigus and bullous pemphigoid. Annu Rev Pathol. 2016; 11: 175-197. doi: 10.1146/annurev-pathol-012615-044313.

  8. Bernard P, Antonicelli F. Bullous pemphigoid: a review of its diagnosis, associations and treatment. Am J Clin Dermatol. 2017; 18: 513-528. doi: 10.1007/s40257-017-0264-2.

  9. Lucariello RJ, Villablanca SE, Mascaró JM Jr, Reichel M. Association between bullous pemphigoid and malignancy: a meta-analysis. Australas J Dermatol. 2018; 59: 253-260. doi: 10.1111/ajd.12764.

  10. Baum S, Sakka N, Artsi O, Trau H, Barzilai A. Diagnosis and classification of autoimmune blistering diseases. Autoimmun Rev. 2014; 13: 482-489.

  11. Vera-Izaguirre DS, Karam-Orantes M, Vega-Memije E. Penfigoide ampolloso. Rev Hosp Gea Glz. 2006; 7: 27-32.

  12. Miyamoto D, Santi CG, Aoki V, Maruta CW. Bullous pemphigoid. An Bras Dermatol. 2019; 94: 133-146. doi: 10.1590/abd1806-4841.20199007.

  13. Kridin K, Schwartz N, Cohen AD, Zelber-Sagi S. Mortality in bullous pemphigoid: a systematic review and meta-analysis of standardized mortality ratios. J Dermatol. 2018; 45: 1094-1110. doi: 10.1111/1346-8138.14503.

  14. Wang Y, Mao X, Wang Y, Zeng Y, Liu Y, Jin H et al. Relapse of bullous pemphigoid: an update on this stubborn clinical problem. Ann Med. 2018; 50 (3): 234-239. doi: 10.1080/07853890.2018.1443346.

  15. Fuertes de Vega I, Iranzo-Fernández P, Mascaró-Galy JM. Bullous pemphigoid: clinical practice guidelines. Actas Dermosifiliogr. 2014; 105: 328-346. doi: 10.1016/j.ad.2012.10.022.




Figure 1
Figure 2
Figure 3
Figure 4
Figure 5

2020     |     www.medigraphic.com

Mi perfil

C?MO CITAR (Vancouver)

Rev Cent Dermatol Pascua. 2021;30