medigraphic.com
SPANISH

Cirujano General

ISSN 2594-1518 (Electronic)
ISSN 1405-0099 (Print)
  • Contents
  • View Archive
  • Information
    • General Information        
    • Directory
  • Publish
    • Instructions for authors        
    • Send manuscript
  • medigraphic.com
    • Home
    • Journals index            
    • Register / Login
  • Mi perfil

2021, Number 1

<< Back Next >>

Cir Gen 2021; 43 (1)

Peritoneal loose bodies or peritoneal mice

González-Chávez, Mario Andrés1; Ascencio-Martínez, Marco Antonio2; González-Chávez, Alberto Manuel3; García-Osogobio, Sandra Minerva4
Full text How to cite this article 10.35366/103912

DOI

DOI: 10.35366/103912
URL: https://dx.doi.org/10.35366/103912

Language: English/Spanish [Versi?n en espa?ol]
References: 8
Page: 36-39
PDF size: 236.53 Kb.


Key words:

Peritoneal loose body, epiploic appendages, omental appendices, peritoneal mice.

ABSTRACT

Free peritoneal bodies are benign formations generally discovered incidentally during surgery or autopsies. It´s extremely rare to find free foreign bodies in the peritoneal cavity (there´s limited information on the incidence of free peritoneal bodies worldwide, it´s only known that they are more frequent in males with a male-female ratio 18:4 and than in most of them present between 50 and 70 years of age) mainly due to their low incidence and that they are mostly asymptomatic (the most accepted etiology theory proposes that they originate from twisted and infarcted epiploic appendages that detach from the serosa of the colon and gradually fibroses and calcifies. We present the clinical case of an 81-year-old patient with acute appendicitis in whom, as an incidental finding during exploratory laparotomy, three free peritoneal bodies were discovered (it was an incidental, unexpected finding, discovered during laparotomy, unrelated to acute appendicitis).



INTRODUCTION

Free peritoneal bodies are calcic-fibrotic formations generally found incidentally in the abdominal cavity, without being attached to or dependent on any abdominal organ and without their own blood supply (hence their terminology "free").1 There are several theories about their etiology, the most accepted being that they originate from epiploic appendages, which after undergoing a chronic process of ischemia become detached to the peritoneal cavity, with subsequent accumulation of superimposed layers of albumin and fibrotic tissue.1,2

There is limited information on the incidence of free peritoneal bodies worldwide, mainly because they are very infrequent and mostly correspond to asymptomatic lesions that go unnoticed. It is even rarer to find giant peritoneal bodies (greater than 5 cm in diameter)2 or multiple bodies, as in the case of the patient presented below. In the eight articles reviewed, eight cases of single peritoneal bodies between 3 and 9.5 cm in diameter are reported. Five of these eight reported free peritoneal bodies were larger than 5 cm (giants), all patients described were male between 50 and 72 years of age. In one of the articles reviewed,3 a comparative table of 25 cases in total is presented. The oldest from 1951 and the most recent from 2016. These free peritoneal bodies were found in four females (two months, 33, 33, and 69 years) and 21 males (aged 47 to 79 years); 23 were single-body cases and two multiple-body cases (a 63-year-old male with two free peritoneal bodies measuring 5.8 × 4.5 × 3.7 cm and 5.2 × 4.5 × 3.7 cm; and another 79-year-old male, with two bodies measuring 7.0 × 6.0 cm and 7.0 × 6.0 cm).



PRESENTATION OF THE CLINICAL CASE

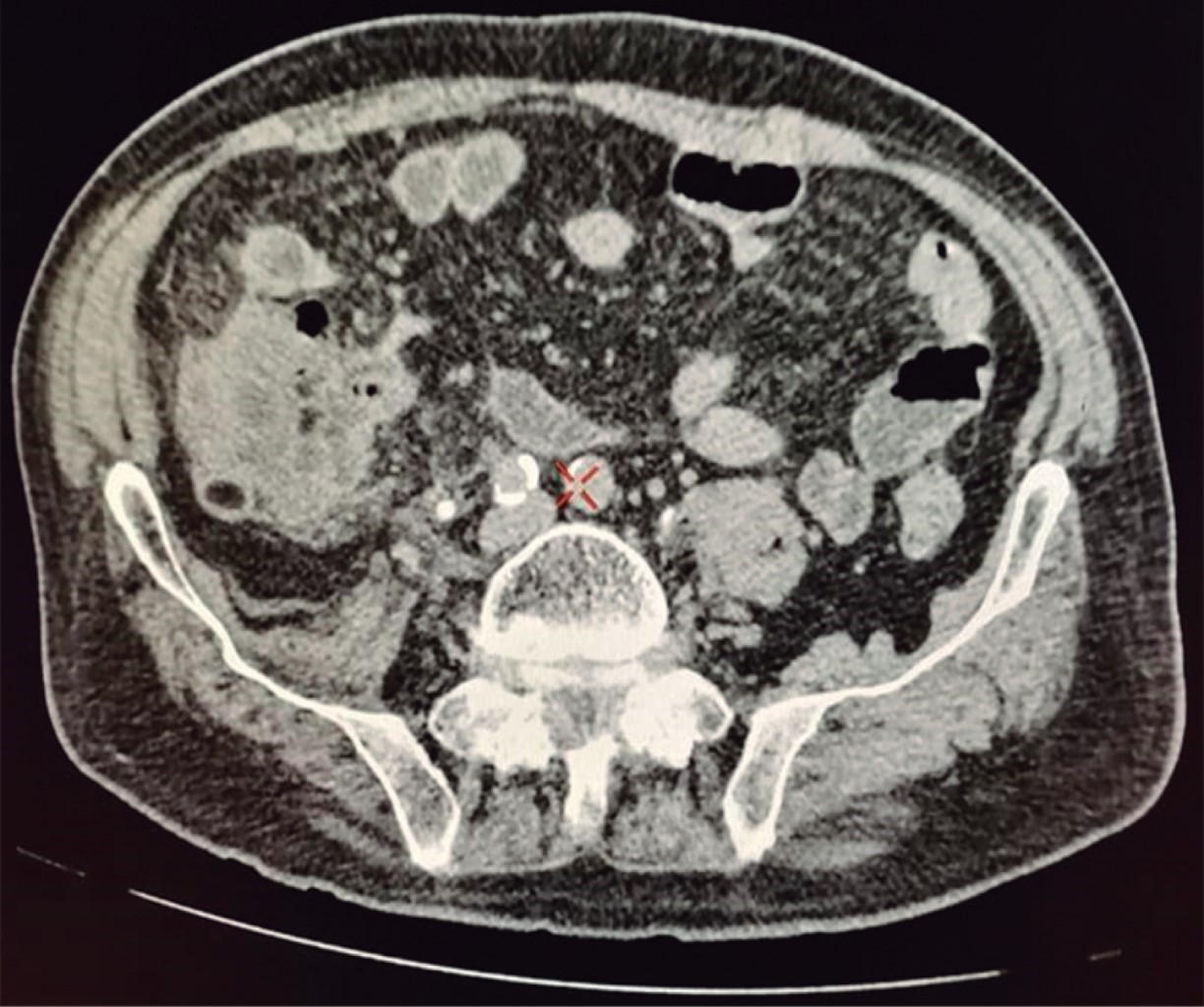
An 81 years-old male presented with a 72-hour abdominal pain evolution, predominantly at the level of the right iliac fossa (RIF), associated with an episode of bacteremia, hyporexia, nausea, vomiting and liquid stools. The abdomen was tender on palpation of the RIF with positive signs of appendix inflammation; hyperactive peristalsis was hard on auscultation and there was evidence of a peritoneal irritation syndrome. His lab tests showed leukocytosis of 11.2 × 103 uL with neutrophilia of 86.9%. An abdominal-pelvic tomography scan with intravenous contrast medium (Figure 1) showed the cecal appendix with data of an acute inflammatory process. Open appendectomy was performed by McBurney incision. Upon entering the abdominal cavity, three free peritoneal bodies were found incidentally, which were sent for histopathological study, together with the resected cecal appendix (Figure 2).

Macroscopic pathological analysis reported three ovoid neoformations of 17 × 15 × 10 mm, 16 × 10 × 10 mm, and 14 × 10 × 10 mm each, with a smooth, yellow, firm surface (Figure 3). When cut they are solid, with a 4-mm whitish gray peripheral thick zone and a yellowish central zone of firm consistency (Figure 4).

Microscopic description consists of epiploic appendices with dense connective tissue at the periphery, with dystrophic calcification and areas of fat necrosis, without other alterations or histological changes of malignant neoplastic type. Final diagnosis was of an acute fibrinopurulent appendicitis (Figure 5).



DISCUSSION

Mobile or free abdominal-pelvic masses are extremely rare and usually tend to be located in the pelvic area due to the effect of gravity.2 Within the differential diagnosis of mobile masses, the existence of free peritoneal bodies should always be kept in mind.3 Free peritoneal bodies, also called by some authors "peritoneal mice" or "peritoneal crumbs",3 are calcium-fibrotic formations found free in the peritoneal cavity. Since they are mostly asymptomatic, on many occasions they represent incidental findings during surgeries or autopsies.1 In the case of our patient, they were also asymptomatic since they did not confirm additional pathology to the appendicular condition. Only on some occasions, depending on the size and location, can they produce non-specific symptoms characterized by lower abdominal pain/discomfort, constipation, intestinal obstruction, or urinary symptoms such as polyuria or acute urinary retention.4 There is very little epidemiological data published on these neoformations; however, it seems that they are more frequent in males with a male-female ratio of 18:4, which coincides with the patient we present, and that they mostly occur between 50 and 70 years of age, although there are reports of their presence as young as two months of age.3 The few reports in the literature are mostly about single giant bodies larger than 5 cm in diameter,2-8 unlike the case we present in which we discovered not one, but three different peritoneal bodies, but smaller than those reported in the literature. In our hospital (HMG Coyoacán), no similar cases have been reported since 2016 to date.

Different theories have been proposed on the origin of these free peritoneal bodies, but their exact etiology is still unknown. Possible origins include epiploic appendages, omentum, self-amputated adnexa, or pancreatic adipose tissue. The most accepted theory is that they originate from epiploic appendages.3 The first to describe the epiploic appendages was Andre Vesalius and subsequently several anatomical studies were carried out to describe other anatomical aspects of them. The first to report a series of cases of free epiploic appendages was Harrigan in 1917.5 The theory on the sequential changes leading to their formation was presented by Virchow in 1863, where it was proposed a gradual and progressive increase of fatty tissue within an epiploic appendix, usually in the context of obesity, leading to obliteration and obstruction of the blood vessels of the pedicle; then a process of torsion, strangulation, and necrosis of the epiploic appendix occurs until its amputation.2 Later, in 1933, Patterson proposed that ischemia is the predominant etiological factor in its pathophysiology and that it is the cause that leads to infarction of the epiploic appendix. It is the dominant etiologic factor in the pathophysiology meaning that this ischemia leads to infarction and amputation.4 Once the epiploic appendix is free floating in the abdominal cavity, it undergoes a process of saponification and calcification.6 Over the years, the peritoneal reaction on this free body and the deposition around it of peritoneal fluid (exudative serum fluid rich in proteins, mainly albumin) produces the progressive increase in its size by addition of peripheral fibrous layers.2,4 This theory was proven in 1968 by Donado and Kerr, who took peri-uterine fat from guinea pigs and placed it in the peritoneal cavity of these animals, generating typical free peritoneal bodies that became larger over time.7 Once formed, establishing a correct preoperative diagnosis is difficult, and on many occasions, they are mistaken for neoplasms and resected unnecessarily. These peritoneal free bodies are rare and asymptomatic lesions, but sometimes they can be detected by imaging studies. In computed tomography scans they are seen as masses, usually single, round or oval, well defined, with central calcification, and surrounded by peripheral soft tissue. In MRIs they are seen as well circumscribed masses, hypointense in T1 and T2, but with an area of central hyperintensity in T1. By lacking vascular supply, they are not seen with any imaging modality on contrast media administration.1 If serial imaging studies are performed or taken in different positions, either supine or prone, and compared, the mobility of the mass can be seen as showing variable locations within the abdominal cavity.1,7 A proper differential diagnosis should be made with benign diseases, such as leiomyomas, rhabdomyomas, teratomas, and fibromas; malignant diseases including colorectal cancer, ovarian cancer, lymphomas, metastases; urinary, biliary or appendicular calculi; dermoid cysts, tuberculous granulomas, lymph node calcification, foreign bodies, and hydatid cysts, among others.3,7 If detected incidentally in surgery, which occurred in our case, the free peritoneal bodies floating inside the peritoneal cavity are seen, and they look like a white, hard, shiny concretion giving the appearance of a boiled egg.1,8 Surgical excision with subsequent histologic examination can definitively confirm the diagnosis based on morphologic features. Such pathologic findings consist of a central core of calcified necrotic fat, laminated by layers of hyalinized acellular fibrous tissue at the periphery,1,2 as was the case of the bodies found in our patient. If an adequate preoperative diagnosis is achieved, free peritoneal bodies usually do not require treatment and are managed only with surveillance.2 It is essential that physicians know this entity and its features in imaging studies, as well as its differential diagnoses, in order to make the correct diagnosis with a high index of suspicion and avoid unnecessary interventions, since these are benign neoformations that can be managed with surveillance.


REFERENCES

  1. Gayer G, Petrovitch I. CT diagnosis of a large peritoneal loose body: a case report and review of the literature. Br J Radiol. 2011; 84: e83-85.

  2. Rajbhandari M, Karmacharya A, Shrestha S. Pathological diagnosis of peritoneal loose body: a case report. J Pathol Nepal. 2013; 3: 512-514.

  3. Kosam S, Kujur P, Mire V. Peritoneal Mice' A Peritoneal Loose Body in Pelvic Cavity of 70 Years Old Man, An Incidental Finding-A Case Report. Int J Sci Res (Raipur). 2017; 6: 2366-2369.

  4. Hedawoo JB, Wagh A. Giant peritoneal loose body in a patient with haemorrhoids. Trop Gastroenterol. 2010; 31: 132-133.

  5. Harrigan AH. Torsion and inflammation of the appendices epiploicae. Ann Surg. 1917; 66(4):467-478. doi: 10.1097/00000658-191710000-00014

  6. Elsner A, Walensi M, Fuenfschilling M, Rosenberg R, Mechera R. Symptomatic giant peritoneal loose body in the pelvic cavity: A case report. Int J Surg Case Rep. 2016; 21: 32-35.

  7. Donado KJ, Kerr JF. Peritoneal loose bodies. Aust N Z Surg. 1968; 37:403-406.

  8. Sewkani A, Jain A, Maudar K, Varshney S. 'Boiled egg' in the peritoneal cavity-a giant peritoneal loose body in a 64-year-old man: a case report. J Med Case Rep. 2011; 5: 297. doi: 10.1186/1752-1947-5-297.



AFFILIATIONS

1 Surgery Service. Fundación Clínica y Hospital Médica Sur. Humanitas Medical Group Coyoacán. Spanish Hospital of Mexico, Mexico City. México.

2 Surgery Service. ABC Medical Center (American British Cowdray), Mexico City. Mexico.

3 Surgery Service. Hospital Español de México. Humanitas Medical Group Coyoacán, Mexico City. México.

4 Surgery Service. Fundación Clínica y Hospital Médica Sur. Humanitas Medical Group Coyoacán, Mexico City. México.



Ethical considerations: The authors declare that the procedures followed conformed to ethical standards. No patient data appear in this article.

Funding: Authors used own resources.

Disclosure: The authors declare that there is no conflict of interest.



CORRESPONDENCE

Sandra Minerva García-Osogobio. E-mail: lapcolon@gmail.com




Received: 08/25/2021. Accepted: 11/11/2021

Figure 1
Figure 2
Figure 3
Figure 4
Figure 5

2020     |     www.medigraphic.com

Mi perfil

C?MO CITAR (Vancouver)

Cir Gen. 2021;43