medigraphic.com
SPANISH

Cirujano General

ISSN 2594-1518 (Electronic)
ISSN 1405-0099 (Print)
  • Contents
  • View Archive
  • Information
    • General Information        
    • Directory
  • Publish
    • Instructions for authors        
    • Send manuscript
  • medigraphic.com
    • Home
    • Journals index            
    • Register / Login
  • Mi perfil

2021, Number 1

<< Back Next >>

Cir Gen 2021; 43 (1)

Gallstone ileus resolved by laparoscopic approach

Ríos-Cruz, Daniel1; Hernández-Linares, Fidel Alfonso1; Cabrera-Valladares, Natividad2; Flores-Hidalgo, Sofía Magaly2; López-Pérez, Wendy2; Vera-Ruíz, Myrtha Guadalupe2
Full text How to cite this article 10.35366/103914

DOI

DOI: 10.35366/103914
URL: https://dx.doi.org/10.35366/103914

Language: English/Spanish [Versi?n en espa?ol]
References: 16
Page: 47-50
PDF size: 175.20 Kb.


Key words:

Gallstone ileus, laparoscopy, cholelithiasis.

ABSTRACT

Introduction: Gallstone ileus is a mechanical obstruction of the gastrointestinal tract caused by the impaction of one or more gallbladder stones inside the intestinal lumen through a bilioenteric-fistula. Clinical case: A 59-year-old woman with multiple comorbidities, who went to the emergency room for intestinal obstruction, pneumobileo and bowel distention are identified by image, so it was decided to enter the operating room for a probable biliary ileus and perform diagnostic laparoscopy, finding a 3.5 cm diameter lithium located in the terminal ileum. Conclusion: Gallstone ileus is a rare complication of cholelithiasis. The treatment integrates rehydration and surgical approach to correct the cause of intestinal obstruction.



INTRODUCTION

Biliary ileus (BI) is defined as a mechanical intestinal obstruction secondary to the presence of a gallstone in the intestinal lumen.1 It is a rare and potentially serious complication of cholelithiasis, accounting for 1-4% of all intestinal obstructions in adults. The most frequent cause is the impaction of a stone in the ileum after passing through a bilioenteric fistula, usually cholecystic-duodenal (68-95%).2 This occurs when there are recurrent episodes of acute cholecystitis that produce inflammation and adhesions between the gallbladder and the digestive tract.3 In most cases, the obstruction occurs in the terminal ileum (60%), followed by the proximal ileum (25%) and, more rarely, in the jejunum (9%), sigmoid colon (4%) or duodenum (2%).4 It mostly occurs in patients over 65 years of age where it can reach up to 25% of small bowel obstructions;5 it is more prevalent in women, with a female to male ratio of 3.6:1. The mortality rate associated with biliary ileus ranges from 12 to 27%, and the morbidity rate reaches 50%, due to the advanced age of patients, associated pathologies (usually severe), late hospital admission and delayed therapeutic treatment.6



CLINICAL CASE

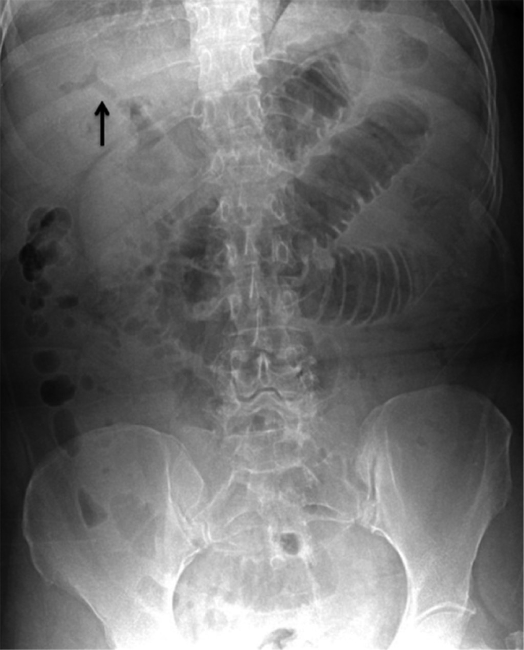
This is the case of a 59-year-old female patient with a history of a stroke event five years ago, type 2 diabetes under control with oral hypoglycemic agents (metformin 850 mg every 12 hours and glibenclamide 5 mg every 24 hours), hiatal hernia and ischemic heart disease under control. She also took acetylsalicylic acid 100 mg orally every 24 hours and atorvastatin 40 mg orally every 24 hours. Her condition began with nausea and vomiting of brown gastrointestinal contents, which leaded to intolerance to the oral route accompanied by pain in the epigastrium zone and referred in intensity of 7/10. She self-medicated with antispasmodics and nonsteroidal anti-inflammatory drugs (NSAIDs), with partial improvement; 48 hours after the onset of symptoms, the intensity of pain increased and she presented abdominal distension, as well as inability to pass gases through the rectum. On admission to the emergency department, the patient was found to be dehydrated, with distended abdomen, painful on superficial palpation and metallic noises on auscultation. A gastric tube was placed, and the aspirated liquid was fecaloid in appearance. Biochemically she had acute renal failure, hydro electrolyte imbalance and metabolic acidosis lab results. Radiographically, there were dilated small bowel loops, pneumobilia (Figure 1) and evidence of intestinal occlusion. In view of this, a laparoscopic surgical exploration was decided which showed dilatation of small bowel loops up to a segment of ileum, located 150 cm from the ileocecal valve, where a protrusion was observed that marked the end of the intestinal dilatation and that corresponded to a 3.5 cm interlocked biliary stone. An enterotomy with stone extraction were performed. The closure was in one plane, with continuous suture with 2-0 Prolene (Figure 2). During the intraoperative period, the patient had hemodynamic instability, so it was necessary to start support with norepinephrine (16 mg in 250 ml of 0.9% saline solution) at a rate of 8 ml/h, dose that was decreased until completely discontinued after 48 hours. Subsequently, she evolved favorably, being discharged on the fifth day while maintaining hemodynamic stability, tolerating the oral route and with no data of systemic inflammatory response. Currently, one year after surgery, she continues to be seen as an outpatient with no complications related to the surgical event.



DISCUSSION

Biliary ileus represents 0.5% of cholelithiasis complications and it is a rare and potentially serious event. It occurs more frequently in elderly women. It accounts for 1-4% of all intestinal obstructions in adults over 65 years of age implying a high risk of complications, with a mortality of 12-27%.7 It is a pathology that is not usually diagnosed prematurely, due to the similarity of symptoms with more common acute abdominal conditions, and the diagnosis is usually done by intraoperatively. Our case is a 59-year-old woman with associated comorbidities. These findings correspond to those published by Sánchez-Pérez and collaborators,2 who studied a group of patients with a diagnosis of intestinal obstruction; of which, 10 cases were caused by biliary ileus; eight were women and the mean age of presentation was 61.9 years. This causes patients to present to the emergency department in poor condition. They usually present with acute renal failure due to dehydration and acid-base imbalance. In our case, the patient presented to the hospital with 48 hours of evolution without tolerance to the oral route, during which time she did not have an adequate food and liquid intake. This conditioned the patient to present acute renal failure due to dehydration and metabolic acidosis together with data of a systemic inflammatory response, findings that this type of patients usually have.2

For a biliary ileus to occur, there must be a bilioenteric fistula, mostly cholecysto-duodenal (68-95%), which appears as secondary to recurrent episodes of acute cholecystitis that produce inflammation and adhesions between the gallbladder and the digestive tract. The stone must have a diameter ≥ 2-2.5 cm to cause obstruction.8 Approximately, only 50% of patients presenting with biliary ileus are aware of having cholelithiasis, being reluctant to elective surgery. The rest of the patients report a history of non-specific abdominal pain, treated as dyspepsia or functional disorders of the colon, and the diagnosis is made intraoperatively as in this case. Our patient was unaware of the history of cholelithiasis and reported abdominal pain in upper quadrants with the ingestion of gastric irritant foods, rich in cholecystokinetic food, which was controlled with antacids, proton pump inhibitors and antispasmodics, so she never sought medical attention. This pattern has been occurring repeated approximately every three weeks for "his entire adult life".

Radiographic findings in a simple abdominal projection include: pneumobilia, evidence of intestinal obstruction, an image suggestive of a stone in intestinal loops, and changes in the location of the stone as was visualized in a previous radiograph.9-13 The use of computed tomography scan is an important diagnostic support since it has a diagnostic sensitivity, specificity, and accuracy of 93, 100 and 99%, respectively, as has been reported.13 Initial treatment requires IV solution administration, as these patients usually present with dehydration. The laparoscopic surgical approach offers more advantages compared to open surgery; recovery requires less time. However, it represents a technical challenge, especially when the intestinal loops are edematous and dilated.14 In our case, we preferred the laparoscopic approach over the open approach because of the advantages that minimally invasive surgery offers. The patient did not present complications related to the surgical event. There is controversy regarding the management of bilioenteric fistula. On the one hand, only enterotomy, removal of the stone and primary closure is preferred, and on the other, in addition to the above, dismantling of the fistula and cholecystectomy are performed.8 It has been reported that elderly patients with multiple comorbidities represent a real challenge, since there is a considerable increase in leakage, both intestinal and biliary, when performing all the procedures described in a single surgery.15 In our case, we decided to perform only enterotomy, removal of the stone and primary closure due to the patient's condition at the time of admission to the operating room and due to the intraoperative hemodynamic instability. We made the decision to resolve the emergency.

As reported by Halabi WJ et al, 5% of patients who underwent enterolithotomy as the only treatment will develop biliary symptoms and 10% will require another emergency operation. In the presence of residual stones, the estimated prevalence of recurrence is 5 to 17% and more than half of these recurrences will be within six months of initial presentation.15 Because of this, if the gallbladder is preserved at the first surgery, deferred cholecystectomy should be performed.

In his article, Salvador Eloy García-Valenzuela and his colleagues present a couple of cases with biliary ileus resolved, one by laparoscopy and the other by conventional open surgery. They point out that they were different scenarios, had different comorbidity factors and different surgical procedures were performed, but the patients evolved satisfactorily, and they concluded that both surgical procedures are valid, and the choice is made by the surgeon, considering the nutritional factors, the comorbidities of each patient and his/her own experience.16 Therefore, the decision to submit our patient to laparoscopic procedure was based on the wide experience in laparoscopy of our team, being a successful procedure and demonstrating that this condition can be solved by this approach.



CONCLUSION

Biliary ileus is a rare pathology that mainly affects elderly people, predominantly women. Enterolithotomy with removal of the ileum is the most frequently performed procedure due to its low incidence of complications.


REFERENCES

  1. Martín-Pérez J, Delgado-Plasencia L, Bravo-Gutiérrez A, Burillo-Putze G, Martínez-Riera A, Alarcó-Hernández A, et al. El íleo biliar como causa de abdomen agudo. Importancia del diagnóstico precoz para el tratamiento quirúrgico. Cir Esp. 2013; 91: 485-489.

  2. Sánchez-Pérez EA, Álvarez-Álvarez S, Madrigal-Téllez MA, Gutiérrez-Uvalle GE, Ramírez-Velásquez JE, Hurtado-López LM. Gallstone ileus, experience in the Dr. Eduardo Liceaga General Hospital of Mexico. Cir Cir. 2017; 85: 114-120.

  3. Zimadlová D, Hoffman P, Bártová J. Gallstone ileus. Case report and review of literature. Folia Gastroenterol Hepatol. 2009; 7: 136-139.

  4. Aguilar-Espinosa F, Gálvez-Romero JL, Falfán-Moreno J, Guerrero-Martínez GA, Vargas-Solís F. Sangrado de tubo digestive y delirium, retos en el diagnóstico del íleo biliar: reporte de un caso y revisión de bibliografía. Cir Cir. 2017: 85: 53-57.

  5. Kirchmayr W, Muhlmann G, Zitt M, Bodner J, Weiss H, Klaus A. Gallstone ileus: rare and still controversial. ANZ J Surg. 2005; 75: 234-238.

  6. Ploneda-Valencia CF, Gallo-Morales M, Rinchon C, Navarro-Muñiz E, Bautista-López CA, De la Cerda-Trujillo LF, et al. El íleo biliar: una revisión de la literatura médica. Rev Gastroenterol Mex. 2017; 82: 248-254.

  7. García-Marín A, Pérez-López M, Pérez-Bru S, Compañ-Rosique A. Gallstone ileus, an uncommon cause of bowel obstruction. Rev Gastroenterol Mex. 2014; 79: 211-213.

  8. Dai XZ, Li GQ, Zhang F, Wang XH, Zhang CY. Gallstone ileus: case report and literature review. World J Gastroenterol. 2013; 19: 5586-5589.

  9. Al-Obaid O. Gallstone ileus: a forgotten rare cause of intestinal obstruction. Saudi J Gastroenterol. 2007; 13: 39-42.

  10. Ripollés T, Miguel-Dasit A, Errando J, Morote V, Gómez-Abril SA, Richart J. Gallstone ileus: increased diagnostic sensitivity by combining plain film and ultrasound. Abdom Imaging. 2001; 26: 401-405.

  11. Clavien PA, Richon J, Burgan S, Rohner A. Gallstone ileus. Br J Surg. 1990; 77: 737-742.

  12. Lassandro F, Gagliardi N, Scuderi M, Pinto A, Gatta G, Mazzeo R. Gallstone ileus analysis of radiological findings in 27 patients. Eur J Radiol. 2004; 50: 23-29.

  13. Yu CY, Lin CC, Shyu RY, Hsieh CB, Wu HS, Tyan YS, et al. Value of CT in the diagnosis and management of gallstone ileus. World J Gastroenterol. 2005; 11: 2142-2147.

  14. Sarli L, Pietra N, Costi R, Gobbi S. Gallstone ileus: laparoscopic-assisted enterolithotomy. J Am Coll Surg. 1998; 186: 370-371.

  15. Halabi WJ, Kang CY, Ketana N, Lafaro KJ, Nguyen VQ, Stamos MJ, et al. Surgery for gallstone ileus: a nationwide comparison of trends and outcomes. Ann Surg. 2014; 259: 329-335.

  16. García-Valenzuela SE, Trujillo-Bracamontes FS, Quintero-García B, Ríos-Beltrán JC, Valdez-Avilés D. Obstrucción intestinal secundaria a íleo biliar: reporte de dos casos. Rev Esp Med Quir. 2015; 20: 111-115.



AFFILIATIONS

1 Department of Surgery, Hospital General Regional No. 1, Instituto Mexicano del Seguro Social. Cuernavaca, Morelos.

2 School of Medicine, Universidad Latinoamericana. Cuernavaca, Morelos.



Ethical considerations and responsibility: This paper has patient\'s authorization, and bioethical research regulations were followed.

Disclosure: The authors declare that there is no conflict of interest in carrying out this work.



CORRESPONDENCE

Daniel Ríos-Cruz. E-mail: dr_rioscruz@outlook.com




Received: 04/03/2019. Accepted: 10/30/2019

Figure 1
Figure 2

2020     |     www.medigraphic.com

Mi perfil

C?MO CITAR (Vancouver)

Cir Gen. 2021;43