medigraphic.com
SPANISH

Cirujano General

ISSN 2594-1518 (Electronic)
ISSN 1405-0099 (Print)
  • Contents
  • View Archive
  • Information
    • General Information        
    • Directory
  • Publish
    • Instructions for authors        
    • Send manuscript
  • medigraphic.com
    • Home
    • Journals index            
    • Register / Login
  • Mi perfil

2021, Number 1

<< Back Next >>

Cir Gen 2021; 43 (1)

Small bowel bleeding due to gastrointestinal stromal tumor

Zavala-Gutiérrez, René1
Full text How to cite this article 10.35366/103915

DOI

DOI: 10.35366/103915
URL: https://dx.doi.org/10.35366/103915

Language: English/Spanish [Versi?n en espa?ol]
References: 17
Page: 51-55
PDF size: 227.03 Kb.


Key words:

Gastrointestinal stromal tumors, surgical treatment.

ABSTRACT

Introduction: Gastrointestinal stromal tumors are mesenchymal tumors of the gastrointestinal tract specifically expressing receptors, such as tyrosine kinase c-kit. Represent < 1% of gastrointestinal neoplasms, the majority is located in the stomach (60-70%), and the small bowel (30%). Usually, presents nonspecific symptom, more frequently bleeding and/or intestinal obstruction. Case presentation: We report a case of tumor with digestive tract bleeding in ileum, of a 56 years old female. Conclusion: Its vague symptomatology makes it a diagnostic challenge. Being a rare pathology, diagnostic suspicion is important to provide adequate treatment.



INTRODUCTION

Gastrointestinal stromal tumors (GIST) are defined as mesenchymal tumors of the gastrointestinal tract that express specific receptors, such as c-kit tyrosine kinase (CD117).1 GISTs have an indolent growth pattern resulting in medium-sized tumors with a mean diameter of 8 cm at diagnosis.2 GISTs account for less than 1% of gastrointestinal neoplasms and 20% of small bowel neoplasms, with an incidence of 10-20 million people.3 The annual incidence in the United States is approximately 4,500 cases per year.4 Most are in the stomach (60-70%), small intestine (30%), colon and esophagus (5%), but can arise in any part of the gastrointestinal tract, from the esophagus to the anus.3

Recently, many epidemiological centers reported in their data a high occurrence of GIST associated with another malignant neoplasm.5 The most frequent association is stomach and colorectal neoplasms. Reports indicate a frequency that ranges from 2.95 to 33%.6

GISTs originate from interstitial cells of Cajal or their precursor stem cells. Studies based on the expression of the proto-oncogene c-kit support the hypothesis of a common carcinogen in their etiology.7

The most common presentation is gastrointestinal bleeding with or without obstruction. It manifests as vague abdominal symptoms or without specific clinical manifestation 69% of the time. They are usually incidental findings by endoscopy, surgery, or imaging studies in 21% of cases and 10% are found in autopsies.4

A case of small bowel GIST is presented here in a patient who manifested intestinal bleeding and partial obstruction, and in whom a surgical resection with free margins was performed. This condition most frequently presents as intestinal obstruction and may also show intestinal bleeding due to erosion caused by the tumor; however, the symptomatology is usually vague.

Bleeding is the result of erosion in the gastrointestinal tract. Other symptoms result from the mass effect of the tumor, causing discomfort, nausea, vomiting, and early satiety.

Endoscopy frequently fails to detect submucosal and extraluminal GISTs and biopsy specimens are often negative. Fine needle aspiration guided by ultrasound or tomography has been developed as a method for obtaining tumor cells and has allowed preoperative diagnosis of GIST by histological examination with immunohistochemistry.8

Diagnosis can be challenging and involves the use of endoscopy, ultrasound, CT scan, or MRI.

Computed tomography (CT) scan is recommended in these patients to differentiate the cause of obstruction, which can help in deciding management. The CT scan is a class II recommendation by the East Workshop for the management of small bowel obstruction.9

New masses detected clinically or radiologically in patients with a history of GIST should be sampled by biopsy for exclusion of a non-malignant GIST.10

Treatment consists of surgical wedge resection without lymphadenectomy, which represents the cure for patients with a localized primary tumor.11 Since gastric GIST rarely metastasize to lymph nodes, they do not require lymphadenectomy.12 To achieve an adequate resection, a free margin of 1 to 2 cm is recommended.13

Laparoscopic wedge resection could be considered as the procedure of choice and a valid alternative to conventional open surgery for resection of small 2 GISTs < 2 cm.8 The development of endoscopic stapling devices and the evidence of laparoscopic resection of a GIST is an effective approach with minimal morbidity and no reported mortality.

With the advancement of minimally invasive surgery, laparoscopic resection of gastric GISTs ≤ 5 cm has been reported in several studies to be feasible and safe. Open gastrectomy was usually adopted for larger GIST tumors in the stomach.1

Laparoscopic surgery should be considered in cases of intestinal obstruction and cancer. The results are appropriate in the short and long term, like those of open surgery. Laparoscopic surgery has a shorter hospital stay, less bleeding and less requirement of pain medication.14

The introduction of imatinib mesylate opens a new perspective in the treatment of GISTs. It is especially used as a neoadjuvant in cases with inoperable stages and to achieve negative resection margins. Imatinib is a competitive tyrosine kinase inhibitor (KIT), which has been shown to be effective in controlling GIST growth.

Currently, the factors that condition a worse prognosis in gastrointestinal stromal tumors are a size > 5 cm and a mitotic index of 5 mitoses per field.4,15



CLINICAL CASE

A 56-year-old woman provided her consent to the presentation of her case. She a history of three months of evolution, with abdominal pain, small amount of bowel movements with melena, loss of appetite and weight loss, accompanied by headache, asthenia, and adynamic. She was admitted to the emergency department after fainting. The patient has a surgical history of left oophorectomy, laparoscopic cholecystectomy, previous hospitalizations for lower gastrointestinal tract bleeding and mild anemia; she was recently treated for chronic gastritis. The patient had received blood transfusions for post cesarean hemorrhage 17 years ago. She takes no medications and denies any allergies.

On physical examination she had pallor of skin and mucosa, a soft non-tender and depressible and distended abdomen, with good peristaltic sounds. Rectal examination showed no bleeding. She had a severe anemia with a hemoglobin level of 2.6 g/dl, hematocrit 9.1%, and a blood platelet count of 382 × 103/µl. Therefore, a blood transfusion as administered.

An abdominal ultrasonography (USG) scan was performed, reporting an image of a tumor in the right iliac fossa measuring 10.5 × 5.5 × 9.9 cm. The colonoscopy study showed no evidence of tumor in the rectum and colon, and an apparent extrinsic compression at the ileocecal valve orifice (Figure 1).

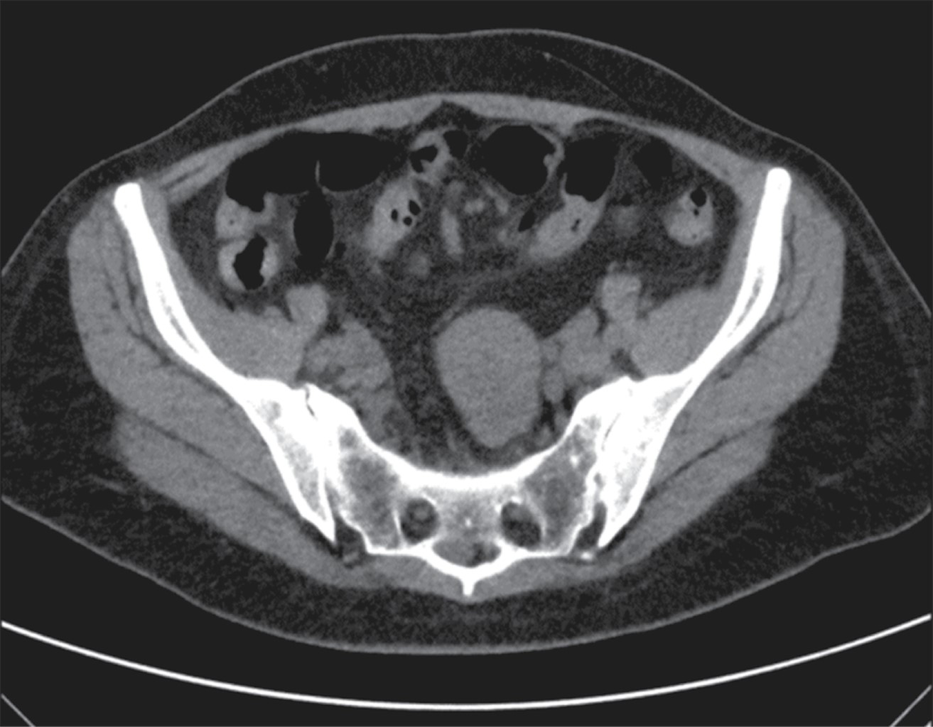
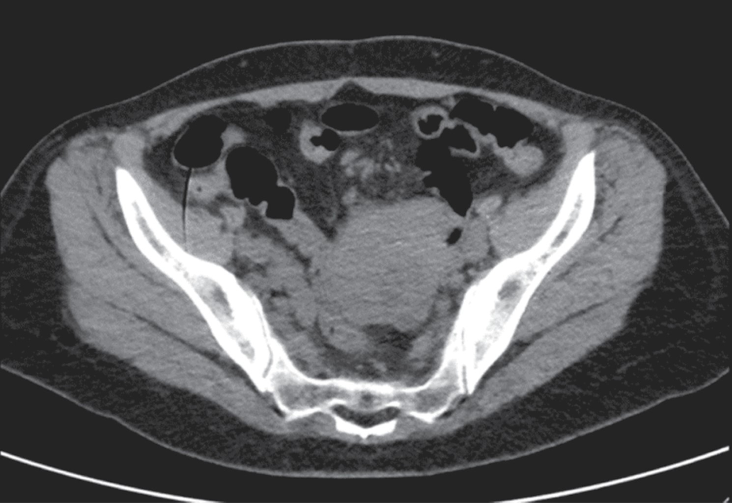
A computed axial tomography (CT) scan showed a stenosing and infiltrative tumor of the ileum walls with a narrow lumen and distended bowel loops (Figures 2 and 3).

During the exploratory laparotomy, a 10 × 10 cm terminal ileum-dependent tumor with partial obstruction of the intestinal lumen was located. Subsequently, resection and open ileostomy were performed, and ceftriaxone 1 g and metronidazole 500 mg were administered post-surgery during her hospital stay. During the surgical procedure the stump was closed with 3-0 Vicryl sutures and the surgical specimen was sent to pathology (Figure 4).

The pathology study reported segmental resection of the ileum, with a gastrointestinal stromal tumor (GIST) measuring 13 cm, with more than 5 mitoses in 50 HPF. The surgical borders were free of tumor and a follicular reactive hyperplasia of lymph nodes was seen. The patient recovered and was discharged on her third postoperative day.



RESULT

The patient did not have any complications after surgery and was asymptomatic and stable at the time of her discharge. She was then sent for further management by the medical oncology department for follow-up.



DISCUSSION

This patient presented with a partial obstruction and vague symptomatology. About 70% of GISTs are symptomatic at the time of diagnosis.

A small percentage require emergency surgery. In this case, the patient presented a partial obstruction and chronic bleeding, requiring improvement of her general conditions with transfusions. She presented with an intestinal obstruction. These tumors may have different characteristics such as a continuous growth of the lesion causing direct occlusion of the bowel, as in this case, and rarely intussusception which has been reported only in a few cases in the literature.16

CT scan was used for diagnosis, which is imaging study of choice since it permits differentiation of possible causes of obstruction.

Curative treatment was possible, since complete resection was performed, avoiding tumor rupture and with negative macroscopic margins.

Although laparoscopic resection would have been preferable due to its low morbidity and mortality, the patient had a good evolution.

Tumor size represents a negative prognostic factor, and resection with free margins is curative, being predictors of good prognosis for the patient.17



CONCLUSION

GIST is a rare pathology. However, it may require emergency medical management. In patients with symptoms of bleeding and/or obstruction, the presence of GIST should be suspected when tumors are found during imaging studies.

It is very useful to perform a CT scan, as it happened in this case, to establish the diagnosis. Resection of the pathology specimen with adequate free margins was performed by open surgery.

In cases of localized tumors where complete resection is possible, the laparoscopic technique is preferable due to its low morbidity and mortality.


REFERENCES

  1. Hsiao CY, Yang CY, Lai IR, Chen CN, Lin MT. Laparoscopic resection for large gastric gastrointestinal stromal tumor (GIST): intermediate follow-up results. Surg Endosc. 2015; 29: 868-873.

  2. Hirota S, Isozaki K, Moriyama Y, Hashimoto K, Nishida T, Ishiguro S, et al. Gain-of-function mutations of c-kit in human gastrointestinal stromal tumors. Science. 1998; 279: 577-580.

  3. Stamatakos M, Douzinas E, Stefanaki C, Safioleas P, Polyzou E, Levidou G, et al. Gastrointestinal stromal tumor. World J Surg Oncol. 2009; 7: 61.

  4. Liegl-Atzwanger B, Fletcher JA, Fletcher CD. Gastrointestinal stromal tumors. Virchows Arch. 2010; 456: 111-127.

  5. Stratakis CA, Carney JA. The triad of paragangliomas, gastric stromal tumours and pulmonary chondromas (Carney triad), and the dyad of paragangliomas and gastric stromal sarcomas (Carney-Stratakis syndrome): molecular genetics and clinical implications. J Intern Med. 2009; 266: 43-52.

  6. Agaimy A, Wunsch PH, Sobin LH, Lasota J, Miettinen M. Occurrence of other malignancies in patients with gastrointestinal stromal tumors. Semin Diagn Pathol. 2006; 23: 120-129.

  7. Gopal SV, Langcake ME, Johnston E, Salisbury EL. Synchronous association of small bowel stromal tumour with colonic adenocarcinoma. ANZ J Surg. 2008; 78: 827-828.

  8. Basu S, Balaji S, Bennett DH, Davies N. Gastrointestinal stromal tumors (GIST) and laparoscopic resection. Surg Endosc. 2007; 21: 1685-1689.

  9. Diaz JJ Jr, Bokhari F, Mowery NT, Acosta JA, Block EF, Bromberg WJ, et al. Guidelines for management of small bowel obstruction. J Trauma. 2008; 64: 1651-1664.

  10. Hechtman JF, DeMatteo R, Nafa K, Chi P, Arcila ME, Dogan S, et al. Additional primary malignancies in patients with gastrointestinal stromal tumor (GIST): a clinicopathologic study of 260 patients with molecular analysis and review of the literature. Ann Surg Oncol. 2015; 22: 2633-2639.

  11. Heinrich MC, Corless CL. Gastric GI stromal tumors (GISTs): the role of surgery in the era of targeted therapy. J Surg Oncol. 2005; 90: 195-207.

  12. Matthews BD, Walsh RM, Kercher KW, Sing RF, Pratt BL, Answini GA, et al. Laparoscopic vs open resection of gastric stromal tumors. Surg Endosc. 2002; 16: 803-807.

  13. Rosen MJ, Heniford BT. Endoluminal gastric surgery: the modern era of minimally invasive surgery. Surg Clin North Am. 2005; 85: 989-1007.

  14. Oida Y, Motojuku M, Morikawa G, Mukai M, Shimizu K, Imaizumi T, et al. Laparoscopic-assisted resection of gastrointestinal stromal tumor in small intestine. Hepatogastroenterology. 2008; 55: 146-149.

  15. Schneider-Stock R, Boltze C, Lasota J, Peters B, Corless CL, Ruemmele P, et al. Loss of p16 protein defines high-risk patients with gastrointestinal stromal tumors: a tissue microarray study. Clin Cancer Res. 2005; 11: 638-645.

  16. Fischer C, Nagel H, Metzger J. Image of the month. Gastrointestinal stromal tumor of the small bowel. Arch Surg. 2009; 144: 379-380.

  17. Everett M, Gutman H. Surgical management of gastrointestinal stromal tumors: analysis of outcome with respect to surgical margins and technique. J Surg Oncol. 2008; 98: 588-593.



AFFILIATIONS

1 Hospital de Alta Especialidad de Veracruz, Secretaría de Salud. Mexico.



Ethical considerations and responsibility: The author declares that the procedures followed were in accordance with ethical standards. No patient data appear in this article.

Funding: The author declares that there was no external funding for this paper.

Disclosure: The author declares that there is no conflict of interest in carrying out the work.



CORRESPONDENCE

René Zavala-Gutiérrez. E-mail: rene8may@hotmail.com




Received: 04/25/2019. Accepted: 11/11/2019

Figure 1
Figure 2
Figure 3
Figure 4

2020     |     www.medigraphic.com

Mi perfil

C?MO CITAR (Vancouver)

Cir Gen. 2021;43