medigraphic.com
SPANISH

Cirujano General

ISSN 2594-1518 (Electronic)
ISSN 1405-0099 (Print)
  • Contents
  • View Archive
  • Information
    • General Information        
    • Directory
  • Publish
    • Instructions for authors        
    • Send manuscript
  • medigraphic.com
    • Home
    • Journals index            
    • Register / Login
  • Mi perfil

2021, Number 1

<< Back Next >>

Cir Gen 2021; 43 (1)

Testicular tuberculosis

Ríos-Cruz, Daniel1; Cantú-Cuevas, Marco Antonio2; Ávila-Camacho, Patricia Keller3; Bañón-Reynaud, Alejandro4; Jiménez-Ocampo, José4; Nava-Jiménez, Edgar4; Rodríguez-Abarca, Diego4
Full text How to cite this article 10.35366/103916

DOI

DOI: 10.35366/103916
URL: https://dx.doi.org/10.35366/103916

Language: English/Spanish [Versi?n en espa?ol]
References: 10
Page: 56-59
PDF size: 184.91 Kb.


Key words:

Testicular tuberculosis, HIV-AIDS, Mexico.

ABSTRACT

Introduction: Testicular tuberculosis is a rare disease and requires a high diagnostic suspicion. As well as its low clinical correlation, its rare appearance and high association with HIV-AIDS make its prognosis bad regardless of the age of onset. Clinical case: Male, 33 years old with testicular tuberculosis diagnosed as a result of intestinal occlusion symptoms. Conclusion: Testicular tuberculosis is an extremely rare entity, with unspecific manifestations whose diagnosis requires high suspicion.



INTRODUCTION

Genitourinary tuberculosis (TB) accounts for 14% of extrapulmonary cases being the epididymis the site where it can be found. Associated with AIDS (acquired immunodeficiency syndrome), the risk of suffering it is 500 times higher than in general population.1 Intestinal TB has been detected in up to 70% of AIDS patients.2



CLINICAL CASE

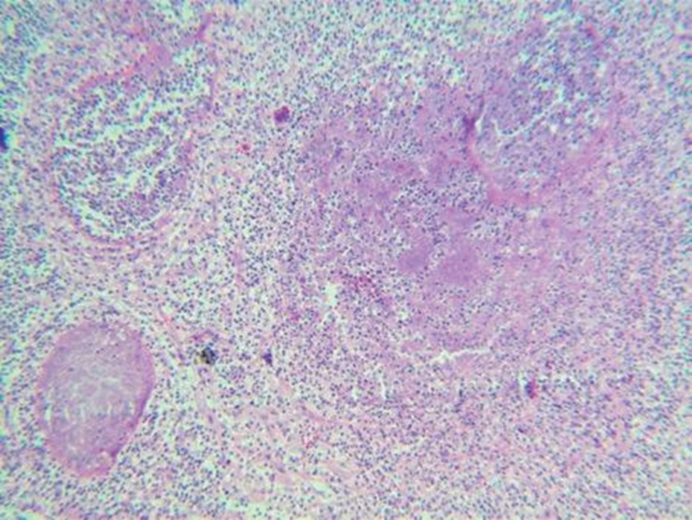
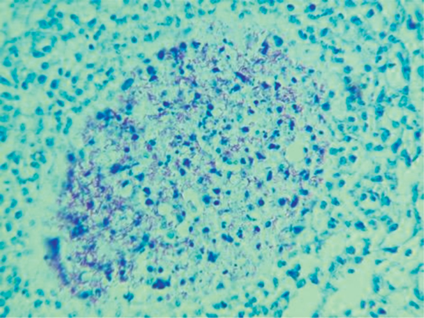
We present the case of 33-year-old male with multiple risky sexual partners. He was treated by a private physician, who performed an ultrasound and clinically corroborated the diagnosis of orchi-epididymitis, for which he received antibiotic treatment with no improvement. Three weeks later he sought a second opinion; a new ultrasonography scan was performed, and the diagnosis of orchi-epididymitis was confirmed, so he was treated again with antibiotics without remission of symptoms. One month later he experienced left testicular enlargement (approximately 10 × 8 cm), weight loss, asthenia and adynamic, so while seeking a third opinion, he went to a public hospital where he underwent a left orchiectomy on suspicion of seminoma, being discharged after 48 hours. That same day he presented constant pain, inability to pass gases and to evacuate, progressive abdominal distention, nausea and vomiting of gastro-alimentary content, so he requested a fourth opinion and underwent a laparoscopy procedure for intestinal occlusion. Multiple implants were found throughout the small intestine as well as retroperitoneal lymph node growth that caused intestinal occlusion at the level of the Treitz angle. A derivative gastrostomy and jejunostomy for feeding were performed, and lymph node biopsies were taken. His evolution was torpid, and he died on the third postoperative day. Two days after his death, a histopathological report of both surgeries was received, which concluded testicular tuberculosis (Figures 1 and 2) and a report of the ELISA test for HIV was received, which was positive.



DISCUSSION

Genital tuberculosis affects patients under 50 years of age in 75% of cases, in a 2:1 ratio in favor of male sex.1 In our case, the patient was a 33-year-old male. Due to its incidence, rapid progression, and aggressiveness, it is a potentially fatal pathology, as it was for the patient presented in this case.

Its presentation is more frequent in HIV-positive patients; however, there have been published cases such as the one of Cruz-Garciavilla3 in which tuberculosis manifested in HIV-negative patients.

World medical literature mentions that the usual symptomatology consists of increasing and painless pollakiuria that does not respond to usual antibiotic treatment,1 which may explain why our patient persisted with fever and pain despite the administration of antibiotics and specialty treatments aimed at the symptomatology he showed.

Intestinal tuberculosis, according to the world literature, is predominantly found in the ileocecal region, involved in 75-90% of patients, followed by the colon and jejunum,4 which is related to the surgical findings in our patient as well as to the pathology report indicating TB activity in the lymph node region of this area.

Symptoms are non-specific and vague, have a mean duration of two months, and 50 to 70% of patients have a history of symptoms over six months.4 Its clinical diagnosis requires a high index of suspicion, since it can simulate other pathological processes of the testicle or intestinal pathologies that present with obstructive symptoms, which is largely related to the fact that the patient had about four to five months with symptoms prior to its definitive diagnosis.

Abdominal tuberculosis is most frequently located in the mesenteric lymph nodes or in the small bowel.5 Initially, in our patient the possibility of having an intestinal occlusion was questioned due to more frequent pathologies of the digestive tract or adhesions. In the intraoperative period, lymph node biopsies were taken, both mesenteric and retroperitoneal, which confirmed to be the reason for the intestinal occlusion, and together with the patient's testicular history plus the confirmation by histopathology provided the accurate diagnosis of the patient with testicular and intestinal TB.

Patients with peritoneal tuberculosis, in addition to ascites, show constitutional symptoms such as fever and weight loss.5 Although our patient did not have ascites, he had a significant weight loss with consumption signs as well as febrile symptoms that did not respond to pharmacological treatment, part of which made diagnosis difficult due to the ambiguity of the symptoms that led the medical staff to think of an oncologic pathology.

Dr. Vinka Calás Hechavarria and collaborators present a case of a 34-year-old HIV-positive patient, who had fever for approximately two months and was diagnosed with genitourinary TB.6 This case clearly represents the average age of onset of the most severe symptoms of genitourinary tuberculosis, which coincide with the case presented by us.

Urinary tuberculosis is a disease of young adults (60% of patients are between 20 and 40 years of age) and is more frequent in men.7 Our patient, who was 33 years-old, was within the average age range in which the disease manifests itself as well as the sex with the highest incidence.

Genital tuberculosis in the male manifests as epididymitis or orchi-epididymitis with testicular swelling, usually painless.8 The above is related to the clinical evolution of our patient as well as to the fact that the clinical focus was initially misdirected towards one of these two pathologies, which are epidemiologically more frequent than the testicular TB our patient had.

Ultrasonography of the epididymis affected by TB provides a heterogeneous appearance that depends on the stage of the inflammatory process in which caseous necrosis, granulomas or fibrosis may predominate.9 In our case, it is noteworthy that in the first two medical visits the ultrasonography scans performed were normal.

María Teresa Milanés-Virelles and her collaborators present the case of a 32-year-old male patient who underwent an exploratory laparotomy where the presence of a citrine-yellow ascitic fluid and crowded and blocky loops covered by multiple vesicular lesions the size of a pimple were seen. Biopsy confirmed peritoneal tuberculosis; the Ziehl-Nielsen staining was positive.10 This case is consistent with the age, surgical findings and pathology report of the case we present, which is striking because of the important correlation in both cases, being a sample of the non-specific clinical features, that testicular TB can present.



CONCLUSION

Testicular tuberculosis is an extremely rare entity, with non-specific manifestations. The diagnosis requires a high suspicion index and the close relationship it has with HIV can give us an orientation towards the diagnosis. The short-term prognosis can be good if diagnosed early, although this rarely occurs due to its low suspicion and rapid progression.


REFERENCES

  1. Arce AJ, Robales CA, Mecca RJ, Coombes AN. Tuberculosis genitourinaria. Revisión de la patología. Rev Posgrado VIa Cátedra Med. 2007; 169: 15-18.

  2. Cabrera Morales MM, González González K, Martínez Rabaza M, Pérez Suárez JC, Meneses Valencia R. Tuberculosis testicular. Presentación de un caso. VIII Congreso Virtual Hispanoamericano de Anatomía Patológica. Octubre 2006. Consultado el 10 de septiembre de 2017. Disponible en: http://conganat.cs.urjc.es/ojs/index.php/conganat/article/download/55/55-2191-1-PB.pdf

  3. Cruz-Garciavilla P, Vázquez AD, Schroeder UM, Landa SM, De la Torre RF. Tuberculosis escrotal: informe de un caso y revisión de la bibliografía. Rev Mex Urol. 2011; 71: 176-181.

  4. Martínez Ordaz JL, Blanco Benavides R. Tuberculosis gastrointestinal. Rev Gastroenterol Mex. 2004; 69: 162-165.

  5. Organización Panamericana de la Salud. Coinfección TB/VIH: Guía Clínica. 2010. Washington, D.C.: OPS; 2010.

  6. Calás Hechavarria V, Duque Vizcaíno M, Cárdenas García A, Peraza Bordao J, Wissmann NG, De Armas Rodríguez Y. Tuberculosis genitourinaria en paciente con sida. Rev Cubana Med Trop. 2015; 67: 139-145.

  7. Jiménez Gálvez M, Herranz Fernández LM, Arellano Gañán R, Rabadán Ruiz M, Pereira Sanz I. Forma de presentación seudotumoral de tuberculosis urogenital: caso clínico. Actas Urol Esp. 2004; 28: 683-687.

  8. Golpe Gómez AL, Lado Lado FL, Ortiz de Barrón AC, Ferreiro Regueiro MJ. Clínica de la tuberculosis. Med Integral. 2002; 39: 181-191.

  9. Mantilla Hernández JC, Cárdenas Durán N, Castellanos Bustos DA. Tuberculosis genitourinaria: Reporte de 9 casos en el Hospital Universitario de Santander, Colombia, 2003-2008. Rev Univ Ind Santander. 2009; 41: 181-196.

  10. Milanés-Virelles MT, de la Paz-García de la Osa M, Gallego-Ariosa G, Rodríguez-Acosta C. Tuberculosis extrapulmonar. Revista CENIC Ciencias Biológicas. 2013; 44. Disponible en: http://www.redalyc.org/articulo.oa?id=181227534012



AFFILIATIONS

1 Department of General Surgery, Hospital General Regional No. 1, IMSS. Cuernavaca, Morelos, Mexico.

2 Department of Anatomic Pathology, Hospital General Regional No. 1, IMSS. Cuernavaca, Morelos, Mexico.

3 Department of General Surgery, ISSSTE Zapata. Morelos, Mexico.

4 School of Medicine of the Universidad Latinoamericana. Cuernavaca, Morelos, Mexico.



Ethical considerations and responsibility

Protection of humans and animals: The authors declare that no experiments on humans or animals have been performed for this research.

Data confidentiality: The authors declare that they have followed their center\'s protocols on the publication of patient data.

Right to privacy and informed consent: The authors declare that no patient data appear in this article.

Funding: No financial support was received for this work.

Disclosure: The authors declare that there is no conflict of interest in carrying out this work.



CORRESPONDENCE

Daniel Ríos-Cruz. E-mail: dr_rioscruz@outlook.com




Received: 03/26/2019. Accepted: 10/10/2019

Figure 1
Figure 2

2020     |     www.medigraphic.com

Mi perfil

C?MO CITAR (Vancouver)

Cir Gen. 2021;43