medigraphic.com
SPANISH

Revista Odontológica Mexicana Órgano Oficial de la Facultad de Odontología UNAM

ISSN 1870-199X (Print)
Órgano oficial de la Facultad de Odontología, UNAM
  • Contents
  • View Archive
  • Information
    • General Information        
    • Directory
  • Publish
    • Instructions for authors        
  • medigraphic.com
    • Home
    • Journals index            
    • Register / Login
  • Mi perfil

2021, Number 1

<< Back Next >>

Rev Odont Mex 2021; 25 (1)

2018 Classification of periodontal and peri-implant conditions and diseases. First part

Vargas Casillas, Ana Patricia1; Yáñez Ocampo, Beatriz Raquel1
Full text How to cite this article

Language: English/Spanish [Versi?n en espa?ol]
References: 19
Page: 10-26
PDF size: 509.72 Kb.


Key words:

Diagnosis, classification, gingivitis, periodontal necrotizing diseases, systemic diseases and conditions, periodontitis.

ABSTRACT

The periodontology academies meet at certain times to review the scientific advances, according to which they modify the classification of periodontal diseases and conditions. In such a way, the classification of periodontal diseases from 1999 was valid for 18 years. In 2017 a global workshop was held sponsored by the American Academy of Periodontology and the European Federation of Periodontology, in which periodontal experts from all over the world met to update and present a new classification. They were all divided into four working groups: I. Periodontal health and gingival diseases and conditions; II. Forms of periodontitis; III. Periodontal manifestations of systemic diseases and developmental and acquired conditions; IV. Peri-implant diseases and conditions. The new classification -published in 2018-presents significant changes such as the definitions of periodontal health (for detection in clinical situations and epidemiological purposes) on an intact and reduced periodontium; the exclusion of chronic periodontitis and aggressive periodontitis, including them in the single term of periodontitis (determined through attachment loss and bone loss) categorized by stages (I, II, III and IV) and rates of progression (grades A, B or C); also the incorporation of peri-implant diseases and conditions. In addition, the new classification seeks to be helpful, practical, and flexible, with case definitions and diagnostic criteria to support the clinician in the treatment of their patients and allow both clinicians and researchers in any area to communicate with a common language. This paper aims to present the main definitions and parameters of each concept of the new classification for both students and clinicians in the first of two parts. Group I (Periodontal health and gingival diseases and conditions) and group II (Forms of periodontitis) will be addressed in this first part.



INTRODUCTION

Classifications are designed to facilitate understanding of a large number of factors and data in an ordered way. They must be useful; they have to cover different categories in which every element of a group has its own place to avoid its location in more than one class; they also need to be simple enough to use them in practical applying.1

Classifications of periodontal diseases and conditions have been proposed by the American Academy of Periodontology in 1986, 19892 y 19993 and by the European Federation of Periodontology in 1993,4 according to their etiology, pathogenesis, diagnosis, prognosis and treatment. These were changing or modifying according to the evidence that scientific research was producing.

The 1999 Classification of Periodontal Diseases3 was valid during 18 years, despite its weakness, for example, the criteria to diagnose severe generalized chronic periodontitis, aggressive periodontitis and periodontitis as a manifestation of a systemic disease, weren't clear. Furthermore, it didn't determine features related to periodontal health.

During this time, scientific research has produced new data related to the impact of genetic, local or systemic risk factors in periodontal diseases,5,6 the inflammatory-immune response to microbial aggression7 and the emergence of new diseases such as mucositis and periimplantitis around an osseointegrated implant.8 Due to this situation, in 2017 the American Academy of Periodontology and the European Federation of Periodontology brought together 120 experts, 50 from each association and 20 from all over the world to update and present a new classification based on scientific evidence available in periodontology and implantology; some other lower-level evidence and expert opinion were included, in case sufficient research data were unavailable.

The experts were assigned to one of the four working groups: I. Periodontal health and gingival diseases and conditions; II. Forms of periodontitis; III. Periodontal manifestations of systemic diseases and developmental and acquired conditions; IV. Peri-implant diseases and conditions (Table 1).

From the review, in 2018 a new classification of periodontal and peri-implant diseases and conditions was published.9 19 articles and four consensus reports indorsing changes and additions were published.

The new classification of periodontal and peri-implant diseases and conditions, as well as their consensus reports, seek that clinician carry out diagnosis and treatments of patients appropriately, and scientists can research the etiology, pathogenesis, natural history and treatment of such diseases and conditions.

This paper aims to present in two parts the main definitions and parameters of each concept of the new classification. In this first part the first two sections will be addressed.



I. PERIODONTAL HEALTH, GINGIVAL DISEASES AND CONDITIONS



1. PERIODONTAL HEALTH

Periodontal health is defined as the state free of inflammatory periodontal disease, which, in turn means the absence of inflammation associated gingivitis, periodontitis or other clinically supported or diagnosed periodontal condition.10

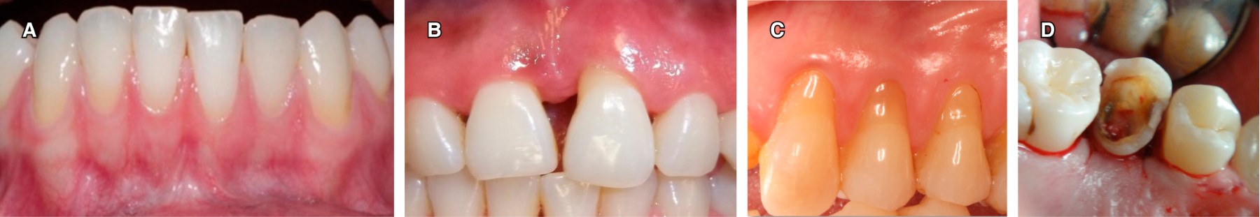
The consensus of opinion proposes to differentiate two situations in periodontal health, depending on whether it is found on an intact or reduced periodontium (Figure 1).10

  • a. Clinical gingival health on an intact periodontium is a structurally and clinically healthy periodontium; this refers to the absence of inflammation or destruction of the periodontal issues (Figure 2A).10
  • b. Clinical gingival health on a reduced periodontium is characterized by the absence of bleeding on probing, erythema or edema, patient symptoms or attachment and bone loss.11

It might occur in two situations:

  • i. Patient with stable periodontitis whose disease has been successfully treated and the clinical signs of the disease do not seem to aggravate the extent or severity despite the presence of a reduced periodontium (Figure 2B).
  • ii. Non- periodontitis patient, who presents a reduced periodontium due to gingival recessions or who underwent resection procedures such as crown lengthening (Figures 2C y 2D).11

For epidemiological purposes, it is defined as a case of gingival health on an intact or reduced periodontium when it is lower than 10% at the bleeding points and probing depth equal to or less than 3 mm.11



2. DENTAL BIOFILM-INDUCED GINGIVITIS

  • a. Gingivitis associated with dental biofilm alone. Gingivitis associated with dental biofilm alone is an inflammatory lesion produced by the interaction of dental biofilm and the inflammatory-immune host response; it encompasses just the gingiva no affecting the periodontal attachment (cementum-periodontal ligament and alveolar bone).11
  • Depending on the fact that if dental biofilm-induced gingival inflammation appears on an intact or reduced periodontium or if it refers to a case of stable periodontitis diagnose, gingivitis can be classified as:
    • • Gingivitis on an intact periodontium.
    • • Gingivitis on a reduced periodontium with stable periodontitis.
    • • Gingivitis on a reduced periodontium with no periodontitis (gingival recession, crown lengthening).11

The most common signs include erythema, gingival swelling, edema, bleeding, and halitosis. The intensity of clinical signs and symptoms varies among individuals, as well as among sites within the dentition (Figure 3A).12

A case of gingivitis can be defined simply by measuring bleeding on probing, determined as the number of bleeding sites (dichotomous assessment of present/absent response) when probing from the gingival margin to the bottom of the sulcus, controlling the force with a periodontal probe (~0.25 N) in six places (mesial-buccal, mid buccal area, distal-buccal, mesial-lingual, mid lingual area, distal-lingual) on all teeth.

For epidemiological purposes, gingivitis on an intact or reduced periodontium is defined when bleeding sites are lower than 10% and probing depth equal or less than 3 mm.11

  • i. Extent: extent of gingivitis is determined from the inflamed gingival sites amount and it might be localized (10 to 30% bleeding sites) or generalized (over 30% bleeding sites).11
  • ii. Severity: severity of inflammation in a site, tooth, or the entire dentition is determined based on the gingival index described by Löe13 and includes:

  • a. Mild gingival inflammation: involves minor change in color and little change in the texture of the tissue.
  • b. Moderate gingival inflammation involves an area with glazing, redness, edema enlargement and bleeding upon probing.
  • c. Severe gingival inflammation: it implies an area of overt redness and edema with tendency toward bleeding when touched rather than probed.

There is no sound evidence to differentiate between mild, moderate, and severe gingivitis, so definitions remain a matter of professional opinion.

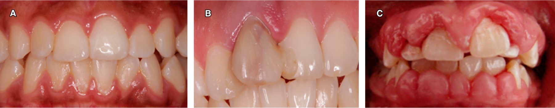
  • b. Gingivitis mediated by local and systemic risk factors. Even though dental biofilm is this disease etiological factor, gingivitis clinical manifestations might vary according to predisposing and modifying factors10 which can exacerbate the clinical inflammation signs (Figure 3B).

    • i. Predisposing factors: they are defined as any agent or local condition that contributes to dental biofilm accumulation (dental anatomy, tooth position, restorations).
    • ii. Modifying factors: they are defined as any agent or condition that impairs the host response to subgingival biofilm (systemic diseases, smoking, medications).

  • c. Drug-influenced gingival enlargement. Gingival enlargement might be produced by specific medications like antiepileptic drugs (phenytoin, sodium valproate) calcium channel bloquers (nifedipine, verapamil, diltiazem, amlodipine, felodipine) and immunoregulators (cyclosporine) which cause a greater accumulation of dental biofilm and a more severe inflammation.
  • A drug-induced gingival enlargement is larger than might be expected from a standard inflammatory reaction in the gingival tissues. It can be classified by its extent and severity (Figure 3C).

    • i. Extent: localized gingival enlargement occurs when enlargement is limited to the gingiva in relation to a single tooth or group of teeth, while generalized enlargement involves the gingiva throughout the mouth.12
    • ii. Severity: gingival enlargement severity is classified as:

  • a. Mild gingival enlargement involves enlargement of the gingival papilla.
  • b. Moderate gingival enlargement involves enlargement of the gingival papilla and marginal gingiva.
  • c. Severe gingival enlargement involves enlargement of the gingival papilla, gingival margin and attached gingiva.12



3. GINGIVAL DISEASES NON DENTAL BIOFILM- INDUCED.

The gingival diseases non dental biofilm-induced are often systemic condition manifestations and they can appear due to pathological changes in gingival tissues.14

The classification of diseases and conditions non dental biofilm-induced is supported by its etiology and it includes:

  • • Genetic or developmental disorders.
  • • Specific infections.
  • • Inflammatory and immune conditions and lesions.
  • • Reactive processes.
  • • Neoplasms.
  • • Endocrine, nutritional and metabolic diseases.
  • • Traumatic lesions.
  • • Gingival pigmentation.14

Table 2 lists these diseases and conditions not induced by dental biofilm.



II. FORMS OF PERIODONTITIS

Periodontitis is defined as a chronic multifactorial inflammatory disease associated with dysbiotic dental biofilms. Its main features include the loss of periodontal tissue support which is manifested bone loss, as well as the presence of periodontal pockets and gingival bleeding.15

The new classification categorizes three forms of periodontitis (Figure 4):

  • 1. Necrotizing periodontal diseases.
  • 2. Periodontitis as a manifestation of systemic diseases.
  • 3. Periodontitis.



1. NECROTIZING PERIODONTAL DISEASES

This new classification established that necrotizing ulcerative gingivitis and necrotizing ulcerative periodontitis must be jointly denominated "necrotizing periodontal diseases", which have three typical features: necrosis of the interdental papilla,gingival bleeding and pain; they're associated a low systemic resistance to bacterial infection.16

  • a. Necrotizing gingivitis. Necrotizing gingivitis is an acute inflammatory process of the gingival tissues characterized by presence of necrosis/ulcer of interdental papilla, gingival bleeding, and pain. Other signs/symptoms associated with this condition may include halitosis, pseudomembrane, regional lymphadenopathy, fever, and sialorrhea in children.
  • b. Necrotizing periodontitis. Necrotizing periodontitis is a periodontal inflammatory process featured by ulcer or necrosis of the interdental papilla, gingival bleeding, pain, and rapid bone loss. Other symptoms associated this condition might include halitosis, pseudomembranous rising, lymphadenopathy and fever.
  • c. Necrotizing stomatitis. Necrotizing stomatitis is a serious inflammatory condition of the periodontium and oral cavity whose soft tissues necrosis extends beyond the gingiva and bone exposure might happen through the alveolar mucosa, with large osteitis areas and osseous sequestrum. Generally, it occurs in severe systemic compromised patients.15,16



2. PERIODONTITIS AS A MANIFESTATION OF SYSTEMIC DISEASES

Some systemic diseases and conditions can affect periodontal tissues either by:

  • • Influence the onset of periodontitis or its progression.
  • • Affect the periodontal supporting tissues, regardless inflammation dental biofilm-induced.

Systemic diseases and conditions that influence at the onset of periodontitis or its progression include:

  • • Uncommon systemic diseases and conditions such as Papillon- Lefevre syndrome, leukocyte adhesion deficiency or hypophosphatasia since they facilitate the severe periodontitis early onset.
  • • Ordinary systemic diseases and conditions (diabetes mellitus, the most representative). They favor the periodontitis presence and its severity, even their effect might vary.17

Diseases and conditions that affect the periodontal supporting tissues in non-periodontitis case will be included in the second part of the paper.

Table 3 lists the systemic diseases and conditions affecting the periodontal attachment apparatus and it includes diagnose codes by the International Classification of Diseases, tenth revision (ICD-10).18



3. PERIODONTITIS

The new classification categorizes periodontitis by stages (I, II, III and IV) and rate of progression (A, B, C) primarily from attachment loss and bone loss.

A periodontitis case can be defined when:

  • • The interdental clinical attachment loss is detectable in over two adjacent teeth or,
  • • Oral clinical attachment loss is equal or deeper than 3 mm with pockets at two or more adjacent teeth.19

    • a. Staging. Different stages are based in disease's severity, complexity, extent, and distribution. Stage I refers to incipient periodontitis. Stage II refers to moderate periodontitis. Stage III refers to severe periodontitis and tooth loss risk. Stage IV refers to advanced periodontitis and tooth loss risk.19
    • Stages and rate of progression should be stablished in each case, using clinical history, periodontal clinical data and radiological images.

Severity is determined by three elements:

  • • Interdental clinical attachment loss (CAL).
  • • Radiographic bone loss.
  • • Tooth loss.

Interdental clinical attachment loss should be measured at the most affected site. Radiographic bone loss is assessed by the root bone support loss and tooth loss is calculated by the number of missing teeth attributable to periodontitis.

Complexity aims to control the current disease and management of both, function and aesthetics. It is determined by local factors such as probing depth, type of bone loss (horizontal or vertical), furcation involvement, ridge defects, as well as the necessity of a complex rehabilitation due to a masticatory dysfunction, secondary occlusal trauma, bite collapse and the number of remaining teeth.

  • b. Extent and distribution. Periodontitis extent refers to the destroyed and damaged tissue amount due to periodontitis. It is determined from periodontally affected teeth, as localized (< 30% teeth involved) and generalized (> 30% teeth involved). A molar/incisor distribution is given it when first molar and incisors are affected).19
  • Table 4 shows the parameters to assign the stages and Figure 5 exemplify clinical cases for each stage.
  • Primarily, staging should use clinical attachment loss (CAL); if not available then radiographic bone loss should be used and if this latter is not available, tooth loss caused by periodontitis should be used.19
  • Some cases could have only a few complexity factors; just a single factor is enough for shifting to a higher stage,19 for example:
    • • Furcation II or III involvement might shift to III or IV stages regardless the clinical attachment loss.
    • • Tooth mobility grade 2 or higher-with or without posterior bite collapse- would indicate stage IV.

If the treatment has eliminated the factors which produced the stage changing, this one stage shouldn't back to a lower level since the original stage complexity factor must be taken into account during the maintenance phase management.19

It should be noted that these definitions are useful if applying together with a sound clinical discernment to get an adequate diagnose.19

  • c. Grades. The grade is an indicator of the speed or rate of progression of periodontitis that could be slow (A), moderate (B) or rapid (C). The main criterion for qualification can be obtained through:

Direct evidence of progression: the overtime archived data on radiographs that show either the bone loss or clinical attachment loss.

Indirect evidence of progression: in absence of previous data on radiographic bone loss or clinical attachment, grading is possible taking into account the current bone loss percentage of the most affected tooth by patient's age. Grade A corresponds when result is < 0.25, grade B covers from 0.25 to 1.0 and grade C when > 1.0 (Figure 6).19

Indirect evidence of progression can also be determined by tissues response to dental biofilm presence which could show low levels of destruction, destruction consistent to biofilm deposits or great destruction and no expected response to standard periodontal therapies for its control.

Grade modifiers refer to smoking or diabetes risk factors, increasing grade according to the number of smoked cigarettes per day or to the glycated hemoglobin HbA1c levels in diabetic patients.19

Table 5 shows the parameters for grading and Figure 7 exemplifies clinical cases for each grade.

Clinicians should start with B grade and then look for specific evidence for shifting to A or C grade, if available. Once the grade has been established, it can be modified based in presence of risk factors.19

The C-reactive protein (CRP) values depict the sum of the patient's systemic inflammation, which may be partly influenced by periodontitis, but it also might due to other causes to determine with the patient's physician. In the future it will be possible to integrate the information given by biomarkers (saliva, gingival crevicular fluid and blood serum) to the grades of periodontitis.19



CONCLUSION

In this first part, main definitions and parameters of periodontal health, gingival diseases, and conditions, as well as the forms of periodontitis, were presented.

Definitions of periodontal health in different situations, gingivitis according to its severity and extension, as well as periodontitis by stages and degrees, seek to facilitate the diagnosis and decision-making regarding the prognosis and treatment for each specific case.

For better understanding, the reader should rely on articles published by the American Academy of Periodontology and the European Federation of Periodontology.


REFERENCES

  1. Real Academia Española. Diccionario de la lengua española. 2019. [Consultado el 24 de febrero de 2020]. Disponible en: https://dle.rae.es/

  2. The American Academy of Periodontology. Proceedings of the world workshop in clinical periodontics. Chicago, USA: American Academy of Periodontology; 1989. I: 23-24.

  3. Armitage GC. Development of a classification system for periodontal diseases and conditions. Ann Periodontol. 1999; 4 (1): 1-6.

  4. Lang N, Karring T. Proceedings on the 1st European Workshop on Periodontology. European Workshop on Periodontology. Germany: Quintessence Publishing; 1994.

  5. Genco RJ, Borgnakke WS. Risk factors for periodontal disease. Periodontol 2000. 2013; 62: 59-94.

  6. Michalowicz BS, Diehl SR, Gunsolley JC, Sparks BS, Brooks CN, Koertge TE et al. Evidence of a substantial genetic basis for risk of adult periodontitis. J Periodontol. 2000; 71 (11): 1699-1707.

  7. Ebersole JL, Dawson D 3rd, Emecen-Huja P, Nagarajan R, Howard K, Grady ME et al. The periodontal war: microbes and immunity. Periodontol 2000. 2017; 75 (1): 52-115.

  8. Lindhe J, Meyle J; Group D of European Workshop on Periodontology. Peri-implant diseases: Consensus Report of the Sixth European Workshop on Periodontology. J Clin Periodontol. 2008; 35 (8 Suppl): 282-285.

  9. Caton JG, Armitage G, Berglundh T, Chapple ILC, Jepsen S, Kornman KS et al. A new classification scheme for periodontal and peri-implant diseases and conditions - Introduction and key changes from the 1999 classification. J Clin Periodontol. 2018; 45 Suppl 20: S1-S8.

  10. Lang NP, Bartold PM. Periodontal health. J Periodontol. 2018; 89 Suppl 1: S9-S16.

  11. Chapple ILC, Mealey BL, Van Dyke TE, Bartold PM, Dommisch H, Eickholz P et al. Periodontal health and gingival diseases and conditions on an intact and a reduced periodontium: Consensus report of workgroup 1 of the 2017 World Workshop on the Classification of Periodontal and Peri-Implant Diseases and Conditions. J Clin Periodontol. 2018; 45 Suppl 20: S68-S77.

  12. Murakami S, Mealey BL, Mariotti A, Chapple ILC. Dental plaque–induced gingival conditions. J Clin Periodontol. 2018; 45 (Suppl 20): S17-S27.

  13. Löe H. The Gingival index, the plaque index and the retention index systems. J Periodontol. 1967; 38 Suppl: 610-616.

  14. Holmstrup P, Plemons J, Meyle J. Non–plaque?induced gingival diseases. J Periodontol. 2018; 45 (Suppl 20): S28-S43.

  15. Papapanou PN, Sanz M, Buduneli N, Dietrich T, Feres M, Fine DH et al. Periodontitis: Consensus report of workgroup 2 of the 2017 World Workshop on the Classification of Periodontal and Peri-Implant Diseases and Conditions. J Clin Periodontol. 2018; 45 Suppl 20: S162-S170.

  16. Herrera D, Retamal-Valdes B, Alonso B, Feres M. Acute periodontal lesions (periodontal abscesses and necrotizing periodontal diseases) and endo-periodontal lesions. J Periodontol. 2018; 45 (Suppl 20): S78-S94.

  17. Jepsen S, Caton JG, Albandar JM, Bissada NF, Bouchard P, Cortellini P et al. Periodontal manifestations of systemic diseases and developmental and acquired conditions: Consensus report of workgroup 3 of the 2017 World Workshop on the Classification of Periodontal and Peri-Implant Diseases and Conditions. J Clin Periodontol. 2018; 45 Suppl 20: S219-S229.

  18. Albandar JM, Susin C, Hughes FJ. Manifestations of systemic diseases and conditions that affect the periodontal attachment apparatus: Case definitions and diagnostic considerations. J Periodontol. 2018; 45 (Suppl 20): S171-S189.

  19. Tonetti MS, Greenwell H, Kornman KS. Staging and grading of periodontitis: Framework and proposal of a new classification and case definition. J Periodontol. 2018; 45 (Suppl 20): S149-S161.



AFFILIATIONS

1 Especialidad en Periodoncia e Implantología, División de Estudios de Posgrado e Investigación. Departamento de Periodontología. Facultad de Odontología de la Universidad Nacional Autónoma de México. México.



CORRESPONDENCE

Beatriz Raquel Yáñez Ocampo. E-mail: raquel.yaez@gmail.com




Received: Marzo 2020. Accepted: Junio 2020.

Figure 1
Figure 2
Figure 3
Figure 4
Figure 5
Figure 6
Figure 7
Table 1
Table 2
Table 3
Table 4
Table 5

2020     |     www.medigraphic.com

Mi perfil

C?MO CITAR (Vancouver)

Rev Odont Mex. 2021;25