medigraphic.com
SPANISH

Anales Médicos de la Asociación Médica del Centro Médico ABC

ISSN 0185-3252 (Print)
Revista de la Asociación Médica del Centro Médico ABC
  • Contents
  • View Archive
  • Information
    • General Information        
    • Directory
  • Publish
    • Instructions for authors        
  • medigraphic.com
    • Home
    • Journals index            
    • Register / Login
  • Mi perfil

2022, Number 1

<< Back Next >>

An Med Asoc Med Hosp ABC 2022; 67 (1)

External auditory canal osteoma

Rodríguez RI, Corvera BLG
Full text How to cite this article 10.35366/104369

DOI

DOI: 10.35366/104369
URL: https://dx.doi.org/10.35366/104369

Language: Spanish
References: 26
Page: 52-60
PDF size: 351.38 Kb.


Key words:

Osteoma, external auditory canal, benign bone tumor.

ABSTRACT

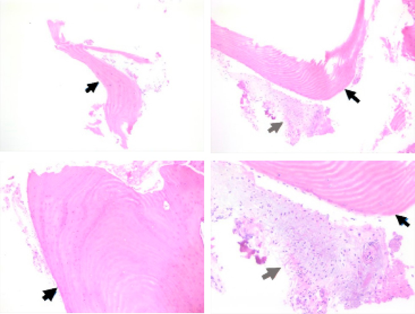
Osteomas of the external auditory canal are benign tumors of bone tissue, slow growing, unilateral and initially asymptomatic so there are no real data on their incidence and frequency. The location of the osteomas is lateral to the isthmus of the external auditory canal and originate from pre-bone connective tissue located in the tympanosquamous or tympanomastoid sutures. The most common complication of osteoma is the formation of cholesteatoma and erosion of the duct walls. Treatment depends on the size of the lesion, and it can be conservative or surgical. We present a case of a 30-year-old female with an osteoma in the right external auditory canal diagnosed and treated at the Mexican Institute of Otology and Neurotology of Mexico City and a literature review of case reports and case series with this pathology published until April 2021.


REFERENCES

  1. Abhilasha S, Viswanatha B. Osteomas of temporal bone: a retrospective study. Indian J Otolaryngol Head Neck Surg. 2019; 71 (Suppl 2): 1135-1139. doi: 10.1007/s12070-017-1244-9.

  2. Iaccarino I, Bozzetti F, Piccioni LO, Falcioni M. A case of external auditory canal osteoma complicated with cholesteatoma, mastoiditis, labyrinthitis and internal auditory canal pachymeningitis. Acta Otorhinolaryngol Ital. 2019; 39 (5): 358-362. doi: 10.14639/0392-100X-1547.

  3. Vlaic J, Lamot L, Simunic S, Harjacek M, Bojic D et al. Unusual localization and presentation of osteoid osteoma mimicking juvenile spondyloarthritis: a case report. BMC Musculoskelet Disord. 2019; 20: 17. Available in: https://doi.org/10.1186/s12891-018-2383-1.

  4. Georgalas C, Goudakos J, Fokkens WJ. Osteoma of the skull base and sinuses. Otolaryngol Clin North Am. 2011; 44 (4): 875-890, vii. doi: 10.1016/j.otc.2011.06.008.

  5. Sayan NB, Ucok C, Karasu HA, Günhan O. Peripheral osteoma of the oral and maxillofacial region: a study of 35 new cases. J Oral Maxillofac Surg. 2002; 60 (11): 1299-1301. doi: 10.1053/joms.2002.35727.

  6. Abdel THM, Kumar VR, Tabook SM. Osteoma presenting as a painless solitary mastoid swelling. Case Rep Otolaryngol. 2015; 2015: 590783. doi: 10.1155/2015/590783.

  7. Mahalle S. Osteoma of external auditory canal associated with external auditory canal cholesteatoma and exuberant granulation tissue in mastoid air cell system: a rare association. Indian J Otolaryngol Head Neck Surg. 2019; 71 (Suppl 2): 1505-1507. doi: 10.1007/s12070-019-01643-9.

  8. Viswanatha B. A case of osteoma with cholesteatoma of EAC and cerebellar abscess. Int J Pediatr Otolaryngol 2007; 2 (1): 34-39.

  9. Chen CK, Chang KP, Chien CY, Hsieh LC. Endoscopic transcanal removal of external auditory canal osteomas. Biomed J. 2021; 44 (4): 489-494. S2319-4170(20)30039-1. doi: 10.1016/j.bj.2020.04.003.

  10. Lee K, Choi YJ, Choi HS, Jeong J. Spongiotic osteoma in the external auditory canal: Two cases of a rare tumor. SAGE Open Med Case Rep. 2020; 8: 2050313X20981469. doi: 10.1177/2050313X20981469.

  11. Viswanatha B. Characteristics of osteoma of the temporal bone in young adolescents. Ear Nose Throat J. 2011; 90 (2): 72-79. doi: 10.1177/014556131109000207.

  12. Lee DH, Jun BC, Park CS, Cho KJ. A case of osteoma with cholesteatoma in the external auditory canal. Auris Nasus Larynx. 2005; 32 (3): 281-284. doi: 10.1016/j.anl.2005.03.010.

  13. Carbone PN, Nelson BL. External auditory osteoma. Head Neck Pathol. 2012; 6 (2): 244-246. doi: 10.1007/s12105-011-0314-7.

  14. Shah S, Chetri ST, Manandhar S, Pokhrel A, Aryal B, Prakash A. Osteoma of the external auditory canal masquerading as an aural polyp: case report and review of literature. American Journal of Medical Case Reports. 2013; 1 (1): 3-5. doi: 10.12691/ajmcr-1-1-2.

  15. Spielmann PM, McKean S, White RD, Hussain SS. Surgical management of external auditory canal lesions. J Laryngol Otol. 2013; 127 (3): 246-251. doi: 10.1017/S0022215112003155.

  16. Lee RE, Balkany TJ. Giant mastoid osteoma with postoperative high-frequency sensorineural hearing loss. Ear Nose Throat J. 2008; 87 (1): 23-25.

  17. Marlowe FI, Dave U, Wolfson RJ. Giant osteoma of the mastoid. Am J Otolaryngol. 1980; 1 (2): 191-193. doi: 10.1016/s0196-0709(80)80015-9.

  18. Iizuka T, Haruyama T, Nagaya K. Large osteoma of the external auditory canal. Ear Nose Throat J. 2013; 92 (7): 286-290. doi: 10.1177/014556131309200703.

  19. Kim YD, Bae CH. Spongiotic osteoma of the external auditory canal. Otolaryngol Head Neck Surg. 2012; 146 (2): 331-332. doi: 10.1177/0194599811424990.

  20. Caballero M, Tieso M. Osteoma de conducto auditivo externo asociado a colesteatoma, un caso por frecuente. Revisión de la literatura. Revista FASO. 2019; 26 (2): 65-70.

  21. Orita Y, Nishizaki K, Fukushima K, Akagi H, Ogawa T, Masuda Y et al. Osteoma with cholesteatoma in the external auditory canal. Int J Pediatr Otorhinolaryngol. 1998; 43 (43): 289-293.

  22. Ohtani I, Aikawa T, Honda M, Ouchi J. Osteoma of the external auditory canal. Auris Nasus Larynx. 1984; 11 (1): 19-24. doi: 10.1016/s0385-8146(84)80013-9.

  23. Bahgat M, Bahgat Y, Bahgat A, Aly S. External auditory canal osteoma. BMJ Case Rep. 2012; 2012: bcr2012006745. doi: 10.1136/bcr-2012-006745.

  24. Ebelhar AJ, Gadre AK. Osteoma of the external auditory canal. Ear Nose Throat J. 2012; 91 (3): 96-100. doi: 10.1177/014556131209100304.

  25. Zielinski R, Zakrzewska A. Multifocal osteoma of external auditory canal in a child. A case report. Open Medicine. 2013;8(1): 96-98.

  26. Gheorghe DC, Stanciu AE, Ulici A, Zamfir-Chiru-Anton A. Bilateral external ear canal osteomas-discussion on a clinical case. J Med Life. 2016; 9 (4): 434-436.




Figure 1
Figure 2
Figure 3
Figure 4
Table 1

2020     |     www.medigraphic.com

Mi perfil

C?MO CITAR (Vancouver)

An Med Asoc Med Hosp ABC. 2022;67