medigraphic.com
SPANISH

Latin American Journal of Oral and Maxillofacial Surgery

ISSN 2992-7757 (Electronic)
Órgano de difusión de la Asociación Latinoamericana de Cirugía y Traumatología Bucomaxilofacial (ALACIBU)
  • Contents
  • View Archive
  • Information
    • General Information        
    • Directory
  • Publish
    • Instructions for authors        
  • medigraphic.com
    • Home
    • Journals index            
    • Register / Login
  • Mi perfil

2022, Number 2

<< Back Next >>

Lat Am J Oral Maxillofac Surg 2022; 2 (2)

Relationship between clinical and imagenologic findings of temporo-mandibular joint effusion in adolescents

Ortiz-Guzmán Y, Hernández-Andara A, Ortega-Pertuz AI
Full text How to cite this article 10.35366/104858

DOI

DOI: 10.35366/104858
URL: https://dx.doi.org/10.35366/104858

Language: Spanish
References: 17
Page: 58-65
PDF size: 354.21 Kb.


Key words:

Temporomandibular joint disorders, temporomandibular joint, adolescents, magnetic resonance.

ABSTRACT

Objective: To relate the clinical and imaging findings found in the temporomandibular joints with effusion in adolescents. Material and methods: 92 temporomandibular joints corresponding to 46 patients with joint effusion were studied. The following variables were evaluated: presence/absence of joint pain and noise, mouth opening, disc displacement and type of displacement, disc shape, retrodiscal protrusion, and bone marrow edema in the mandibular condyle. The severity of the effusion was classified according to Westesson and Brooks. The goodness of fit test using the chi square statistic (χ2) was used to determine if any category of the variables under study was predominant. Results: 40.8% of the patients presented pain and 58.9% joint noise. Mouth opening limitation was observed in 78.3% (p < 0.0001). Disc displacement was present in all evaluated joints (p < 0.0001); 53.2% of the discs showed reduction and 40.2% were displaced without reduction. 53.2% of the joints showed a bent articular disc (p < 0.02) 52.2% had a diagnosis of retrodiscal protrusion. No bone marrow edema was found in any joint. Conclusion: The presence of effusion was related to mouth opening limitation, disc displacement and morphological changes of the articular disc.


REFERENCES

  1. Limchaichana N, Peterson A, Rohlin M. The efficacy of magnetic resonance imaging in the diagnosis of degenerative and inflammatory temporomandibular joint disorders: a systematic literature review. Oral Surg Oral Med Oral Pathol Oral Radiol Endod. 2006; 102 (4): 521-535.

  2. Yano K, Sano T, Okano T. A longitudinal study of magnetic resonance (MR) evidence of temporomandibular joint (TMJ) fluid in patients with TMJ Disorders. Cranio. 2004; 22 (1): 64-71.

  3. Westesson PL, Brooks SL. Temporomandibular joint: relationship between MR evidence of effusion and the presence of pain and disk displacement. AJR Am J Roentgenol. 1992; 159 (3): 559-563.

  4. Koh K, Park H, Kim K. Relationship between anterior disc displacement with/without reduction and effusion in temporomandibular disorder patients using magnetic resonance imaging. Imaging Sci Dent. 2013; 43 (4): 245-251.

  5. Emshoff R, Brandlmaier I, Bertram S, Rudisch A. Relative odds of temporomandibular joint pain as a function of magnetic resonance imaging findings of internal derangement, osteoarthrosis, effusion, and bone marrow edema. Oral Surg Oral Med Oral Pathol Oral Radiol Endod. 2003; 95: 437-445.

  6. Díaz J, Suazo L, Castiglioni C, Bevilacqua J. Utilidad de la resonancia magnética en el diagnóstico de las enfermedades musculares hereditarias. Rev Chil Radiol. 2015; 21 (4): 144-150.

  7. Takahashi T, Nagai H, Seki H, Fukuda M. Relationship between joint effusion, joint pain, and protein levels in joint lavage fluid of patients with internal derangement and osteoarthritis of the temporomandibular joint. J Oral Maxillofac Surg. 1999; 57 (10): 1187-1193.

  8. Adame CG, Monje F, Offnoz M, Martin-Granizo R. Effusion in magnetic resonance imaging of the temporomandibular joint: a study of 123 joints. J Oral Maxillofac Surg. 1998; 56 (3): 314-318.

  9. Abramowicz S, Cheon JE, Kim S, Bacic J, Lee EY. Magnetic resonance imaging of temporomandibular joints in children with arthritis. J Oral Maxillofac Surg. 2011; 69: 2321-2328.

  10. Westesson PL OYM, Sano T, Okano T. Anatomy, pathology, and imaging of the temporomandibular joint. In: Som PM, Curtin HD, editors. Head and neck imaging-2 volume set. 5th edition. St. Louis: Mosby; 2011. pp. 1547-613.

  11. Murakami S, Takahashi A, Nishiyama H, Fujishita M, Fuchihata H. Magnetic resonance evaluation of the TMJ disc position and configuration. Dentomaxillofac Radiol. 1993; 22 (4): 205-207.

  12. Larheim TA. Role of magnetic resonance imaging in the clinical diagnosis of the temporomandibular joint. Cells Tissues Organs. 2005; 180 (1): 6-21.

  13. Larheim TA, Westesson P, Sano T. Temporomandibular joint disk displacement: comparison in asymptomatic volunteers and patients. Radiology. 2001; 218: 428-432.

  14. Manfredini D, Basso D, Arboretti R, Guarda-Nardini L. Association between magnetic resonance signs of temporomandibular joint effusion and disk displacement. Oral Surg Oral Med Oral Pathol Oral Radiol Endod. 2009; 107: 266-271.

  15. Huh JK, Kim HG, Ko JY. Magnetic resonance imaging of temporomandibular joint synovial fluid collection and disk morphology. Oral Surg Oral Med Oral Pathol Oral Radiol Endod. 2003; 95: 665-671.

  16. Tasaki MM, Westesson PL, Isberg AM, Ren YF, Tallents RH. Classification and prevalence of temporomandibular joint disk displacement in patients and symptom-free volunteers. Am J Orthod Dentofacial Orthop. 1996; 109: 249-262.

  17. Taskaya-Yilmaz N, Ogütcen-Toller M. Magnetic resonance imaging evaluation of temporomandibular joint disc deformities in relation to type of disc displacement. J Oral Maxillofac Surg. 2001; 59 (8): 860-865; discussion 865-866.




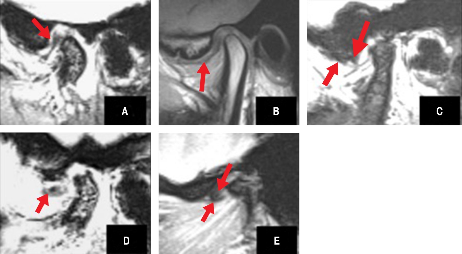
Figure 1
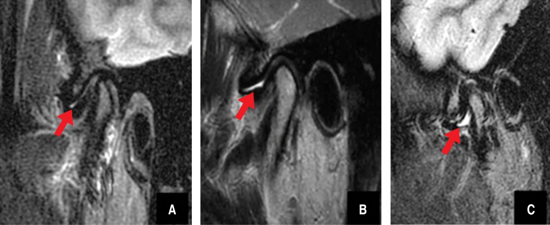
Figure 2
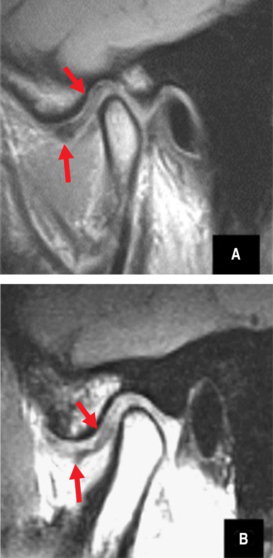
Figure 3
Figure 4
Table 1
Table 2
Table 3
Table 4
Table 5
Table 6
Table 7

2020     |     www.medigraphic.com

Mi perfil

C?MO CITAR (Vancouver)

Lat Am J Oral Maxillofac Surg. 2022;2