medigraphic.com
SPANISH

Revista Mexicana de Patología Clínica y Medicina de Laboratorio

ISSN 0185-6014 (Print)
Órgano oficial de difusión de la Federación Mexicana de Patología Clínica, AC y de la Asociación Latinoamericana de Patología Clínica/Medicina de Laboratorio
  • Contents
  • View Archive
  • Information
    • General Information        
    • Directory
  • Publish
    • Instructions for authors        
  • medigraphic.com
    • Home
    • Journals index            
    • Register / Login
  • Mi perfil

2021, Number 3

<< Back Next >>

Rev Mex Patol Clin Med Lab 2021; 68 (3)

Acinetobacter baumannii with extended resistance in a post-COVID-19 patient

Portillo-Gallo JH, Sánchez-González JM, Velo-Méndez G, Rivera-Cisneros AE, Ishida-Gutiérrez C, Franco-Santillán R
Full text How to cite this article 10.35366/105031

DOI

DOI: 10.35366/105031
URL: https://dx.doi.org/10.35366/105031

Language: Spanish
References: 30
Page: 137-139
PDF size: 248.41 Kb.


Key words:

SARS-CoV-2, Acinetobacter baumannii, antimicrobial resistance, pan resistance, nosocomial infections, COVID-19.

ABSTRACT

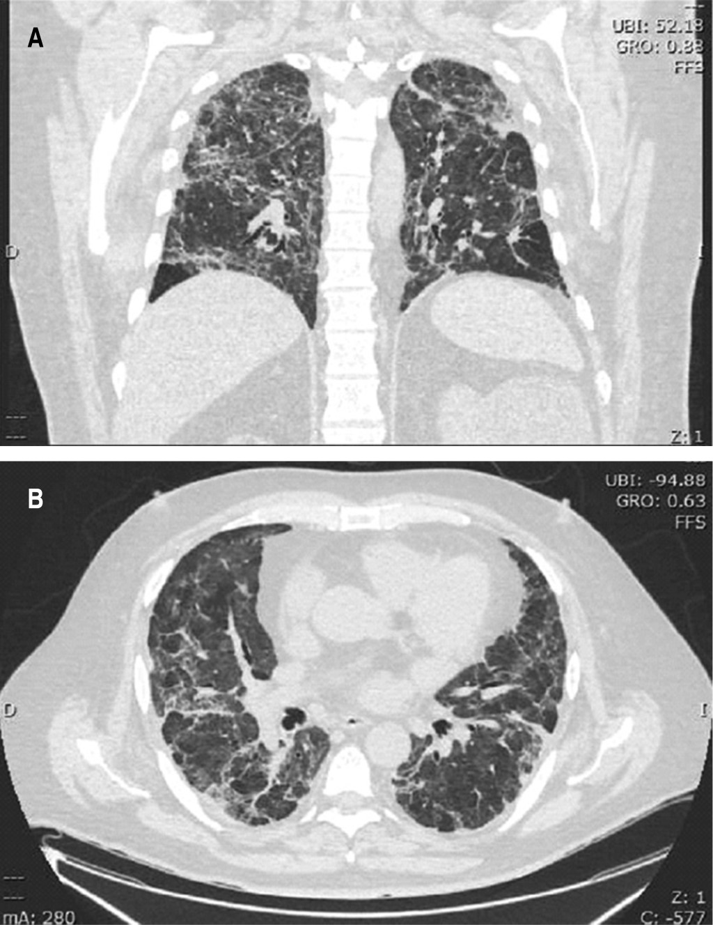
The pandemic caused by the SARS-CoV-2 coronavirus has generated a global problem and disrupted life in different areas, mainly in coexistence, economy and health. Due to the characteristics of the disease caused by this virus, the superinfections, similarities in the clinical manifestations, the indiscriminate use of antibiotics and the ignorance of this new pathogen, has generated negative consequences in the treatment. In addition to the great problem generated by antimicrobial resistance, which keeps all health systems on alert. The inadequate management of this pandemic and its treatments will undoubtedly contribute to increasing bacterial resistance, resulting in the appearance of strains that present multi-resistance and pan-resistance in bacteria, but undoubtedly also in parasitic viruses and fungi. The case of a 54-year-old male patient with various comorbidities and multithreaded who suffered from COVID-19 infection and, after his recovery, acquired additional nosocomial urinary infection, during his hospitalization, due to multidrug-resistant Acinetobacter baumannii that required combination and antimicrobial synergy is presented. It highlights the importance of doctor-laboratory communication to better deal with the increasing antimicrobial resistance.


REFERENCES

  1. CDC. Antibiotic resistance threats in the United States, 2019. Atlanta, GA: U.S. Department of Health and Human Services, CDC; 2019. pp. 1-113.

  2. Langford BJ, So M, Raybardhan S, Leung V, Westwood D, MacFadden DR et al. Bacterial co-infection and secondary infection in patients with COVID-19: a living rapid review and meta-analysis. Clin Microbiol Infect. 2020; 26 (12): 1622-1629.

  3. CDC. Antibiotic resistance threats in the United States, 2019. Atlanta, GA: U.S. Department of Health and Human Services, CDC; 2019. pp. 1-113. Available in: https://www.cdc.gov/drugresistance/biggest_threats.html

  4. Tacconelli E, Carrara E, Savoldi A, Kattula D, Burkert F. Global priority list of antibiotic-resistant bacteria to guide research, discovery, and development of new antibiotics [Internet]. [Cited 2021 Feb 23]. Available in: http://www.cdc.gov/drugresistance/threat-report-2013/

  5. Brisou J, Prevot AR. Studies on bacterial taxonomy. X. The revision of species under Acromobacter group. Ann Inst Pasteur (Paris). 1954; 86: 722-728.

  6. Baumann P, Doudoroff M, Stanier RY. A study of the Moraxella group. II. Oxidative-negative species (genus Acinetobacter). J Bacteriol. 1968; 95: 1520-1541.

  7. Howard A, O'Donoghue M, Feeney A, Sleator RD. Acinetobacter baumannii: an emerging opportunistic pathogen. Virulence. 2012; 3 (3): 243-250. doi: 10.4161/viru.19700.

  8. Montefour K, Frieden J, Hurst S, Helmich C, Headley D, Martin M et al. Acinetobacter baumannii: an emerging multidrug-resistant pathogen in critical care. Crit Care Nurse. 2008; 28: 15-25, quiz 26.

  9. Chang HC, Wei YF, Dijkshoorn L, Vaneechoutte M, Tang CT, Chang TC. Species-level identification of isolates of the Acinetobacter calcoaceticus-Acinetobacter baumannii complex by sequence analysis of the 16S-23S rRNA gene spacer region. J Clin Microbiol. 2005; 43: 1632-1639. Available in: http://dx.doi.org/10.1128/JCM.43.4.1632-1639.2005

  10. Rice LB. Federal funding for the study of antimicrobial resistance in nosocomial pathogens: no ESKAPE. J Infect Dis. 2008; 197: 1079-1081. Available in: http://dx.doi.org/10.1086/533452

  11. Mulani MS, Kamble EE, Kumkar SN, Tawre MS, Pardesi KR. Emerging strategies to combat ESKAPE pathogens in the era of antimicrobial resistance: a review. Front Microbiol. 2019; 10: 539. doi: 10.3389/fmicb.2019.00539.

  12. World Health Organization. WHO publishes list of bacteria for which new antibiotics are urgently needed. Available in: https://www.who.int/es/news/item/27-02-2017-who-publishes-list-of-bacteria-for-which-new-antibiotics-are-urgently-needed

  13. Tafur JD, Torres JA, Villegas MV. Mecanismos de resistencia a los antibióticos en bacterias Gram negativas. Asociación Colombiana de Infectología. 2008; 12 (3): 223-233. Disponible en: http://www.sld.cu/galerias/pdf/sitios/apua-cuba/mecanismos de_resistencia_a_los_antibioticos_en_bacterias_gram_negativas.pdf

  14. Cerqueira GM, Peleg AY. Insights into Acinetobacter baumannii pathogenicity. IUBMB Life. 2011; 63 (12): 1055-1060. doi: 10.1002/iub.533.

  15. Seifert H, Dijkshoorn L, Gerner-Smidt P, Pelzer N, Tjernberg I, Vaneechoutte M. Distribution of Acinetobacter species on human skin: comparison of phenotypic and genotypic identification methods. J Clin Microbiol. 1997; 35 (11): 2819-2825.

  16. Bergogne-Bérézin E, Towner KJ. Acinetobacter spp. as nosocomial pathogens: microbiological, clinical, and epidemiological features. Clin Microbiol Rev. 1996; 9: 148-165.

  17. Gusten WM, Hansen EA, Cunha BA. Acinetobacter baumannii pseudomeningitis. Heart Lung. 2002; 31: 76-78. Available in: http://dx.doi.org/10.1067/mhl.2002.120258.

  18. Lorente C, Del Castillo Y, Rello J. Prevention of infection in the intensive care unit: current advances and opportunities for the future. Curr Opin Crit Care. 2002; 8: 461-464. Available in: http://dx.doi.org/10.1097/00075198-200210000-00015.

  19. Gaddy JA, Actis LA. Regulation of Acinetobacter baumannii biofilm formation. Future Microbiol. 2009; 4: 273-278. Available in: http://dx.doi.org/10.2217/fmb.09.5

  20. Kim SW, Choi CH, Moon DC, Jin JS, Lee JH, Shin JH et al. Serum resistance of Acinetobacter baumannii through the binding of factor H to outer membrane proteins. FEMS Microbiol Lett. 2009; 301: 224-231. Available in: http://dx.doi.org/10.1111/j.1574-6968.2009.01820.x

  21. Choi CH, Lee EY, Lee YC, Park TI, Kim HJ, Hyun SH et al. Outer membrane protein 38 of Acinetobacter baumannii localizes to the mitochondria and induces apoptosis of epithelial cells. Cell Microbiol. 2005; 7: 1127-1138. Available in: http://dx.doi.org/10.1111/j.1462-5822.2005.00538.x

  22. Bassetti M, Ginocchio F, Mikulska M. New treatment options against gram-negative organisms. Crit Care. 2011; 15: 215. Available in: http://dx.doi.org/10.1186/cc9997

  23. Fournier PE, Vallenet D, Barbe V, Audic S, Ogata H, Poirel L et al. Comparative genomics of multidrug resistance in Acinetobacter baumannii. PLoS Genet. 2006; 2: e7. Available in: http://dx.doi.org/10.1371/journal.pgen.0020007

  24. Peleg AY, Adams J, Paterson DL. Tigecycline efflux as a mechanism for nonsusceptibility in Acinetobacter baumannii. Antimicrob Agents Chemother. 2007; 51 (6): 2065-2069. Available in: https://aac.asm.org/content/51/6/2065

  25. Jiménez Pearson MA, Galas M, Corso A, Hormazábal JC, Duarte Valderrama C, Salgado Marcano N et al. Consenso latinoamericano para definir, categorizar y notificar patógenos multirresistentes, con resistencia extendida o panresistentes. Rev Panam Salud Publica. 2019; 43: e65. doi: 10.26633/RPSP.2019.65.

  26. Lin YW, Aye SM, Rao G, Zhou QT, Chan HK, Li J. Treatment of infections caused by Gram-negative pathogens: current status on the pharmacokinetics/pharmacodynamics of parenteral and inhaled polymyxins in patients. Int J Antimicrob Agents. 2020; 56 (6): 106199.

  27. Camacho Silvas LA, Portillo Gallo JH, Rivera Cisneros AE, Sánchez González JM, Franco Santillán R, Duque Rodríguez J et al. Multirresistencia, resistencia extendida y panresistencia a antibacterianos en el norte de México. Cir Ciruj. 2021; 89 (4): 426-434.

  28. Garza-González E, Morfín-Otero R, Mendoza-Olazarán S, Bocanegra-Ibarias P, Flores-Treviño S, Rodríguez-Noriega E et al. A snapshot of antimicrobial resistance in Mexico. Results from 47 centers from 20 states during a six-month period. PLoS One. 2019; 14 (3): e0209865. doi: 10.1371/journal.pone.0209865.

  29. Organización Mundial de la Salud. Plan de acción mundial sobre la resistencia a los antimicrobianos. Ginebra: Organización Mundial de la Salud; 2016 [citado 8 de septiembre de 2021]. 30 p. Disponible en: https://apps.who.int/iris/handle/10665/255204

  30. Acuerdo por el que se declara la obligatoriedad de la Estrategia Nacional de Acción contra la Resistencia a los Antimicrobianos (RAM). DOF: 05/06/2018. Disponible en: http://dof.gob.mx/nota_detalle.php?codigo=5525043&fecha=05/06/2018




Figure 1

2020     |     www.medigraphic.com

Mi perfil

C?MO CITAR (Vancouver)

Rev Mex Patol Clin Med Lab. 2021;68