medigraphic.com
SPANISH

Revista Mexicana de Pediatría

ISSN 0035-0052 (Print)
  • Contents
  • View Archive
  • Information
    • General Information        
    • Directory
  • Publish
    • Instructions for authors        
    • Send manuscript
  • medigraphic.com
    • Home
    • Journals index            
    • Register / Login
  • Mi perfil

2021, Number 6

<< Back Next >>

Rev Mex Pediatr 2021; 88 (6)

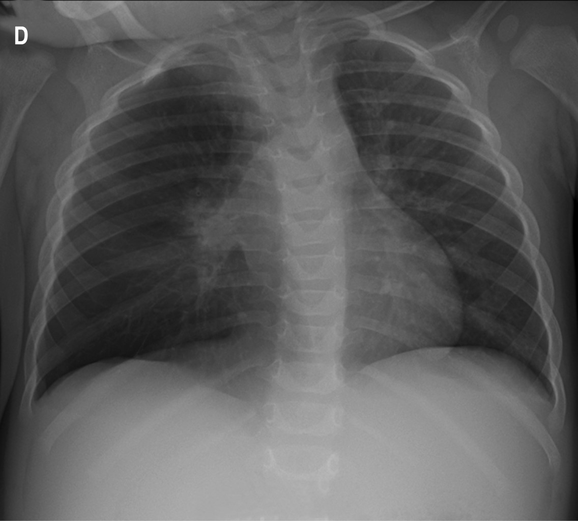
Infant with unilateral pulmonary obstruction

Respaldiza-Pulido C, Calleja-Gero ML, Sirvent-Cerdá SI, Bascuas-Arribas M
Full text How to cite this article 10.35366/105429

DOI

DOI: 10.35366/105429
URL: https://dx.doi.org/10.35366/105429

Language: Spanish
References: 4
Page: 254-255
PDF size: 163.55 Kb.


Key words:

Foreign body aspiration, respiratory distress, infant.

ABSTRACT

We present the radiological image of a 14-month-old infant who required hospital admission for acute bronchitis. Due to the persistence of the symptoms and asymmetry in the pulmonary auscultation, a chest X-ray was taken, in which hyperinflation of the right lung and partial atelectasis of the middle lobe were observed. These findings suggested aspiration of a foreign body, which was verified when the patient expelled it spontaneously, and the symptoms disappeared.


REFERENCES

  1. Cutrone B, Pedruzzi G, Tava E, Emanuelli U, Barion D, Fischetto et al. The complimentary role of diagnostic and therapeutic endoscopy in foreign body aspiration in children. Int J Pediatr Otorhinolaryngol. 2011; 75: 1481-1485.

  2. Alvarado León U, Palacios Acosta JM, León Hernández A, Próspero Chávez EP, Vázquez Gutiérrez M, Shalkow-Klincovstein J. Cuerpos extraños alojados en las vías aérea y digestiva. Diagnóstico y tratamiento. Acta Pediatr Mex. 2011; 32(2): 93-100.

  3. Sink JR, Kitsko DJ, Georg MW, Winger DG, Simons JP. Predictors of foreign body aspiration in children. Otolaryngol Head Neck Surg. 2016; 155(3): 501-507.

  4. Sersar SI, Rizk WH, Bilal M, El Diasty MM, Eltantawy TA, Abdelhakam BB et al. Inhaled foreign bodies: presentation, management and value of history and plain chest radiography in delayed presentation. Otolaryngol Head Neck Surg. 2006; 134: 92-99.




Figure 1
Figure 2

2020     |     www.medigraphic.com

Mi perfil

C?MO CITAR (Vancouver)

Rev Mex Pediatr. 2021;88