medigraphic.com
SPANISH

Anales Médicos de la Asociación Médica del Centro Médico ABC

ISSN 0185-3252 (Print)
Revista de la Asociación Médica del Centro Médico ABC
  • Contents
  • View Archive
  • Information
    • General Information        
    • Directory
  • Publish
    • Instructions for authors        
  • medigraphic.com
    • Home
    • Journals index            
    • Register / Login
  • Mi perfil

2022, Number 2

<< Back Next >>

An Med Asoc Med Hosp ABC 2022; 67 (2)

Late-onset of hypertrophic piloric stenosis

Ortiz ROE, Sandoval GMA, Rodríguez WLO, Crespo SD
Full text How to cite this article 10.35366/106031

DOI

DOI: 10.35366/106031
URL: https://dx.doi.org/10.35366/106031

Language: Spanish
References: 8
Page: 148-151
PDF size: 272.64 Kb.


Key words:

Stenosis, pyloric, hipertrophy, gastric outlet obstruction.

ABSTRACT

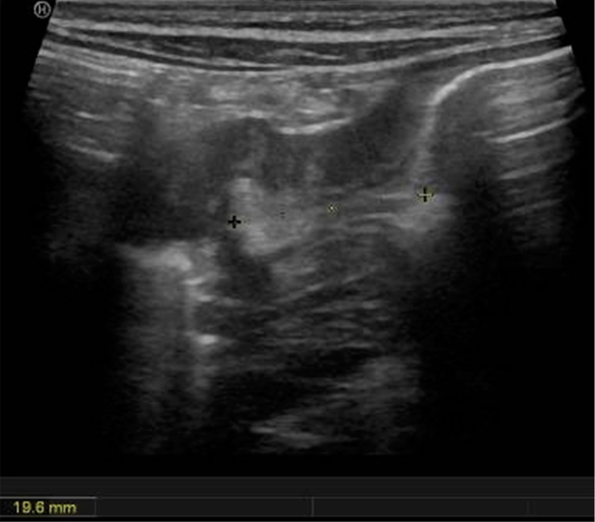
Hypertrophic pilorc stenosis is a common surgical cause of vomiting in infants. Its etiology is not yet well defined. It arises from the growth or hypertrophy of the pylorus muscle causing partial or complete luminal occlusion. It occurs in babies 2-8 weeks old. It is rarely seen in older children. Clinically, it presents as a newborn or infant with a gastric outlet obstruction with immediate, non-biliary vomiting and evidence of dehydration. We present the case of a 2-year-8-month-old male with hypertropic pyloric stenosis that was surgically resolved. First-contact pediatricians should be aware of this diagnosis in the approach of gastric outlet obstruction, even in older children.


REFERENCES

  1. Jobson M, Hall NJ. Contemporary mamagement of pyloric stenosis. Semin Pediatr Surg. 2016; 25 (4): 219-224.

  2. Keys C, Johnson C, Teague W and MacKinlay G. One hundred years of pyloric stenosis in teh Royal Hospital for Sick Children Edinburg. J of Pediatr Surg. 2015; 50 (2): 280-284.

  3. Johnson P, Ross A. Infantile hypertrophic pyloric stenosis. Surgery. 2016; 34 (12): 609-611.

  4. Mahalik S, prasad A, Sinha A, Kulshrestha R. Delayed presentation of hypertrophic pyloric stenosis: a rare case. J Pediatr Surg. 2010; 45 (2): E9-11.

  5. Boybeyi O, Karnak I, Ekinci S, Ciftci O, Akcoren Z, Tanyel F et al. Late- onset hypertrophic stenosis: definition of diagnosis criteria and algorithm for the management. J Pediatr Surg. 2010; 45 (9): 1777-1783.

  6. Ceccanti S, Mele E, Frediani S, Di Nardo G, Roggini M and Cozzi DA. Laparoscopic pyloroplasty for idiopathic non- hypertronic pyloric stenosis in a child. J Pediatr Surg. 2012; 47 (10): 1955-1958.

  7. Parnall T, Caldwell K, Noel JM, Russell J, Reyes C. Hypertrophic pyloric stenosis in a 15-year-old male. J Pediatr Surg. 2016; 15: 33-35.

  8. Fernández AB, Ganchegui I, Campos A, Urtasun L, Gorroño I, Martínez C et al. Estenosis hipertófica pilórica del adulto. Gastroenterol Hepatol. 2016; 39 (9): 643-645.




Figure 1
Figure 2
Figure 3
Figure 4
Figure 5

2020     |     www.medigraphic.com

Mi perfil

C?MO CITAR (Vancouver)

An Med Asoc Med Hosp ABC. 2022;67